大叔间咯血半年多 加重伴胸闷气短入院 真凶是…
54岁男性,半年前开始出现少量痰中带血,无明确诱因,其后咯整口鲜血,无胸痛,有轻度活动后气短。于当地诊所检查,胸部CT示双肺多发磨玻璃影,团片影、边缘呈晕轮征。给予抗感染及止血对症治疗(具体不详),咯血有所减轻。两个月前,患者为明确诊断就诊于医院。该患者患有……
患者男性,54岁,于2013年3月20日入院。
一、主诉
间断痰中带血半年余,加重伴胸闷气短2周。
二、病史询问
(一)初步诊断思路及问诊目的
中年男性,近半年反复出现痰中带血,有时咯整口鲜血,近2周加重并伴有胸闷气短,初步诊断是咯血原因待查,要注意肺癌、肺泡出血综合征,肺栓塞等疾病。因此,问诊主要围绕咯血的诱因(原因)、咯血的量及性状,发病时主要症状及特点、伴随症状,是否曾就诊,当时的检查结果,以及当时的治疗和疗效如何等问题展开,并兼顾重要鉴别疾病的临床表现,以寻找咯血的原因。
(二)问诊主要内容及目的
1.咯血的量和性状?
咯血的病因很多,肺结核、支气管扩张、肺癌是较常见的原因。咯血量的多少有助于病因的判断,临床上一般将24小时内咯血量大于500ml称为大量咯血,属临床急重症。大量咯血常见于支气管扩张,肺脓肿或弥漫性肺泡出血。支气管炎、肺栓塞、肺癌很少引起大咯血,常为痰中带血。肺动脉瘤破裂或较为严重的肺泡出血也可以咯出大量鲜血,如咳粉红色泡沫痰常提示心功能不全或肺水肿。
2.咯血是否伴有咳痰、咳痰性状?
如咯血与咳痰尤其是脓性痰同时出现,注意是否存在肺脓肿或者支气管扩张。
3.是否有发热?
如伴有发热,注意肺脓肿、感染引起的咯血,另外,系统性血管炎活动时可伴有发热,累及肺血管时可引起咯血。
4.是否伴有胸痛、呼吸困难等症状?
呼吸困难、咯血、胸痛是肺栓塞经典的三联征,但仅有1/3左右的肺栓塞患者出现三联征。胸痛也是肺癌对周围组织侵袭的常见症状。另外,要询问呼吸困难是否平卧加重或有无夜间憋醒的表现,以鉴别心源性呼吸困难,慢性心功能不全患者可以出现间断的咯血、呼吸困难。
5.是否有脓鼻涕、鼻出血等慢性鼻窦炎的症状?是否有口腔溃疡,皮疹等症状?
注意询问Wegener肉芽肿等血管炎的症状。
6.入院前是否就诊于其他医院?是否被诊断及治疗?效果如何?
通过了解院外的诊治情况缩小鉴别诊断的范围,避免不必要的重复检查。
7.既往有何种疾病,是否有出血倾向?
首先关注肺结核的病史,因为肺结核复发可出现咯血;肺结核常引起支气管扩张,部分患者表现为“干性支气管扩张”,即仅有咯血,而无慢性咳嗽、咳脓性痰病史;肺结核空洞可继发曲菌球,曲菌球也易引起慢性咯血。关注患者是否有“肾炎”或“血尿、蛋白尿”的病史,因为很多患者的“肾炎”等诊断不是建立在病理学诊断的基础上,这些患者如伴有咯血,则可能存在广义的肺肾综合征。询问有无心脏瓣膜病、冠心病、慢性心功能不全病史,有助于除外心源性肺水肿引起的咯血。有无经常牙龈出血、皮肤瘀斑病史,注意凝血功能障碍。有无深静脉血栓病史,注意肺栓塞的风险;另外,深静脉血栓患者长期应用抗凝药,注意抗凝药物引起的肺泡出血。
8.何种职业?
例如浓酸等易引起吸入性肺泡损伤,应注意特殊职业接触情况。
(三)问诊结果及临床分析
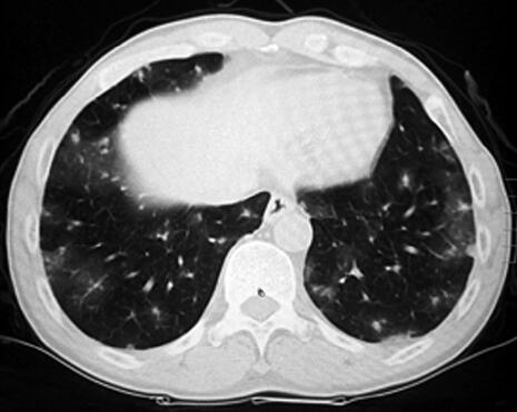
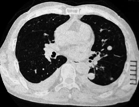
患者为农民,主要从事家务。既往身体健康,无呼吸系统疾病。半年前开始出现少量痰中带血,无明确诱因,其后咯整口鲜血,无胸痛,有轻度活动后气短。于当地诊所检查,胸部CT示双肺多发磨玻璃影,团片影、边缘呈晕轮征(图1)。给予抗感染及止血对症治疗(具体不详),咯血有所减轻。两个月前,患者为明确诊断就诊于我院,进行免疫生化检测时发现P-ANCA(±),诊断为弥漫性肺泡出血,肺血管炎可能性大,止血治疗的同时给予甲泼尼龙治疗,咯血症状消失,气短有所缓解,复查胸部CT:晕轮征及磨玻璃影有所吸收(2)。继续甲泼尼龙24mg,每日1次,院外口服治疗。患者应用甲泼尼龙1个月后减量至每日20mg,但此后应用不规范,剂量波动于每日16~20mg。患者于入院前半个月再次出现痰中带血,伴胸闷气短,咯血量有增加趋势。

图1

图2
【临床分析】
通过问诊可明确,患者既往无呼吸系统疾病,本次发病无明显诱因出现咯血,胸部影像学提示肺部有多发磨玻璃影及晕轮征。曾被诊断为肺血管炎,并应用糖皮质激素治疗,治疗之初有一定改善,咯血症状消失,但激素减量过程中咯血症状复发。结合患者既往诊断和治疗过程,肺血管炎诊断似乎成立,咯血复发的原因可能是激素减量及使用不规律。
评价:这是初次病史采集,看似无明显漏洞,对问诊内容进行的临床分析也似合情合理。但肺血管炎的诊断存在问题,P-ANCA(±),而且无病理学诊断,肺血管炎的诊断有待商榷,需要注意有无恶性疾病的可能。另外,患者之前治疗的疗效是糖皮质激素带来的,还是止血对症治疗的结果也值得思考,尽管患者后期激素减量过程中使用不规律,但仅是剂量少了4mg/d的差别,应该对治疗影响不大,故咯血复发也许不是血管炎引起,对激素的反应是因为同时使用止血药物造成的“假象”。因此,在查体过程中更要关注血管炎系统受累情况的体征,以及寻找是否存在恶性肿瘤的证据。
三、体格检查
(一)重点检查内容和目的
考虑患者弥漫肺泡出血原因以肺血管炎和恶性肿瘤可能性最大,因此在对患者进行系统地、全面地检查同时,应重点注意浅表淋巴结触诊和肾脏查体。
(二)体格检查结果及临床分析
体温36.2℃,呼吸22次/分,脉搏96次/分,血压124/80mmHg。神志清楚,呼吸平稳,自主体位。口唇轻度发绀,气管居中,无三凹征。胸廓对称,双下肺叩诊呈浊音。双肺听诊可闻及细湿啰音,双下肺呼吸音减弱。心界不大,心音纯,律整。肾区无叩痛。腹部、四肢、神经等系统检查未见异常。
【临床分析】
体格检查结果与问诊后初步考虑弥漫肺泡出血原因以肺血管炎和恶性肿瘤可能性最大。肺部闻及细湿啰音提示肺泡出血仍然存在。心脏检查未见异常,不支持心源性疾病。进一步实验室和影像学检查的主要目的是明确病变的变化情况,并判断病情,为治疗方案提供依据。
评价:此时的体检“双下肺叩诊呈浊音”,“双下肺呼吸音减弱”这些信息需引起足够的重视,因为这提示可能存在肺外并发症,例如胸腔积液,需进一步通过影像学求证。
四、实验室和影像学检查
(一)初步检查内容及目的
1.血常规、C-反应蛋白、血沉、D-二聚体、凝血功能:评价慢性咯血是否存在贫血及贫血的程度,凝血功能情况。
2.风湿免疫相关抗体检测,尤其是ANCA,再次确认是否存在血管炎。
3.痰查瘤细胞,血清肿瘤标志物:评估是否存在肺部恶性肿瘤。
4.动脉血气分析:评价病情。
5.胸部影像学:行胸部HRCT检查同时进行肺动脉CTA检查,评估肺内病变的变化情况,并除外肺栓塞。
(二)检查结果及临床分析
【检查结果】
1.血常规:白细胞计数9.83×109/L;中性粒细胞百分比78%,淋巴细胞百分比20%,单核细胞百分比2%,红细胞计数3.22×1012/L,血红蛋白92g/L,血小板计数332×109/L。
2.C-反应蛋白、血沉、D二聚体、凝血功能:正常范围。
3.痰查瘤细胞:阴性。
4.风湿病相关抗体阴性,血清肿瘤标志物阴性。
5.动脉血气分析(未吸氧):pH 7.44,PaO2 62mmHg,PaCO2 34.2mmHg。
6.胸部影像学:肺动脉CTA未见血管充盈缺损,胸膜下见双肺多发球形结节影,周围伴晕轮征,肺内见多发磨玻璃影,双侧胸腔积液,少量心包积液(图3)。
7.左侧胸膜腔穿刺示:血性胸腔积液。

图3
【临床分析】
动脉血氧分压降低,结合患者的病史和体格检查结果,提示患者肺泡出血面积较大,换气功能障碍,因此患者自觉呼吸困难。风湿免疫相关抗体均为阴性,尚不支持肺血管炎的诊断。另外,肺内原有小结节在短时间内迅速增大,并出现双侧血性胸腔积液,心包积液用血管炎也较难解释,应进一步寻求病理诊断。
五、治疗方案及理由
【方案】
注射用蛇毒血凝酶1KU,每日2次,静脉推注;垂体后叶素每小时2U,持续静脉滴注;甲泼尼龙500mg,每日1次,静脉滴注,连续3天;其后改为甲泼尼龙80mg,每8小时1次,静脉滴注。
【理由】
止血对症治疗是首要的,2个月前曾用过糖皮质激素有一定疗效,ANCA复查未回报之前、在肺血管炎不能除外的前提下可用糖皮质激素试验治疗。鉴于之前的糖皮质激素治疗有效,故重复之前的糖皮质激素治疗方案。
六、治疗效果及临床分析
【治疗效果】
经过5天治疗,患者咯血量略有减少,但仍有新鲜血咯出。在征得患者及家属同意情况下,为进一步明确病因,为患者进行了内科胸腔镜检查。
【临床分析】
在止血对症治疗基础上联合激素治疗,患者咯血量略有减少,但仍有新鲜血咯出,说明活动性出血仍然存在。此时,寻求确定诊断,针对病因治疗更为重要。
评价:血管炎的诊断需要慎重,尤其是ANCA阴性,无肾脏受累,无组织病理学证据的情况下。按血管炎经验性治疗疗效欠佳的情况下应考虑其他诊断的可能,患者病情允许的条件下进行有创病理学诊断,寻求病因是必要的。
七、内科胸腔镜检查结果
内科胸腔镜下见壁层及脏层胸膜多发充血结节,大小不等,胸膜增厚,局部有粘连(图4)。病理结果显示:恶性胸膜间皮瘤(肉瘤型)。至此诊断明确,为恶性胸膜间皮瘤(肉瘤型)。

图4
【最终诊断】
恶性胸膜间皮瘤(肉瘤型)
八、对本病例误诊误治的思考
咯血是呼吸科常见症状,其病因复杂,一旦误诊或漏诊,对患者的治疗可能延误,导致预后不良。因此,细致的鉴别诊断是极为重要的。本例患者肺内多发出血灶,伴有晕轮征,首先考虑到肺血管炎是正确的,但初次就诊时,没有病理诊断和免疫学指标支持即诊断血管炎,从鉴别诊断的角度来看工作尚存不足。在肺内结节病变没有吸收的情况下,没有积极寻求病理学诊断以除外肿瘤性疾病值得思考。其实,恶性疾病引起的咯血并不少见,主要见于肺癌,肺转移癌(例如绒毛膜癌、血管网状细胞瘤等)。
(一)如何看待血清抗体的结果
血清相关抗体检测是目前临床非常重要的检查手段,但没有一个指标的敏感度和特异度是百分之百的,本例患者初诊时将一次ANCA(±)作为血管炎的证据之一是欠妥的。在临床评估中要注意到免疫指标假阳性和假阴性的问题,这就需要综合患者的症状、体征,其他检查结果进行综合评价。另外,在日常学习过程中应掌握常用免疫指标多见于哪些疾病,以利于在出现阳性指标时鉴别诊断。当遇到可疑阳性或阳性指标与临床不符时要及时复查。
(二)晕轮征(halo sign)的鉴别诊断需要重视,但动态评估更为重要
本例患者病初磨玻璃影和晕轮征,结合咯血病史,考虑可能的诊断为血管炎是正确的。同时需要注意晕轮征缺乏特异性,但对缩小鉴别诊断范围有一定的帮助。另外,影像学需要动态评估,第一次就诊,在激素治疗后晕轮征有所吸收,而结节影没有吸收,应引起足够的重视去鉴别恶性疾病,引起晕轮征的常见恶性疾病包括:细支气管肺泡癌,肺鳞癌,肺腺癌,血管肉瘤,骨肉瘤,Kaposi肉瘤等。在诊断不确切时,如果病情允许,应积极进行组织病理学检查。
综上所述,本病例误诊误治关键点是:①血管炎诊断较轻率;②对晕轮征(halo sign)认识有限;③没有积极寻求病理学诊断。
小贴士
咯血病因鉴别诊断简要分类(I BET I'M BUFF)
Idiopathic(特发性):约10%咯血找不到原因。
Bronchiectasis(支气管扩张):慢性咳痰,咳脓性痰,可有杵状指。
Embolism(栓塞):常有DVT病史或其他易栓症危险因素。
Tuberculosis(结核):结核暴露史,咳嗽,发热,乏力,盗汗。
Immune-mediated pulmonary-renal syndromes(免疫相关性广义肺肾综合征):韦格纳肉芽肿,Goodpasture综合征,显微镜下多血管炎。
Malignancy(恶性疾病):最常见为肺癌,大量咯血注意肉瘤型肿瘤。
Bronchitis(急、慢性支气管炎):急性起病或慢性支气管炎急性发作。
Usual pulmonary infection(肺部感染):肺炎或肺脓肿。
Failure(心衰、心源性肺水肿):心脏基础疾病史,粉红色泡沫痰。
Fungus ball(曲菌球):曲菌球常引起咯血,有时为致命性大咯血,手术为首选治疗。
中国医科大学附属第一医院 侯刚
(环球医学编辑:余霞霞)
来源:《防范与走出常见诊疗误区:呼吸疾病临床病例精粹》
作者:康健
页码:65-69
出版:人民卫生出版社
- 评价此内容
- 我要打分
近期推荐
热门关键词
最新会议
- 2013循证医学和实效研究方法学研讨会
- 欧洲心脏病学会年会
- 世界帕金森病和相关疾病2013年会议
- 英国介入放射学学会2013年第25届年会
- 美国血液学会2013年年会
- 美国癫痫学会2013年第67届年会
- 肥胖学会 2013年年会
- 2013年第9届欧洲抗体会议
- 国际精神病学协会 2013年会议
- 妇科肿瘤2013年第18届大会
- 国际创伤压力研究学会2013年第29届…
- 2013年第4届亚太地区骨质疏松症会议
- 皮肤病协会国际2013年会议
- 世界糖尿病2013年大会
- 2013年国际成瘾性药年会
- 彭晓霞---诊断试验的Meta分析
- 武姗姗---累积Meta分析和TSA分析
- 孙凤---Network Meta分析
- 杨智荣---Cochrane综述实战经验分享
- 杨祖耀---疾病频率资料的Meta分析
合作伙伴
Copyright g-medon.com All Rights Reserved 环球医学资讯 未经授权请勿转载!
网络实名:环球医学:京ICP备08004413号-2
关于我们|
我们的服务|版权及责任声明|联系我们
互联网药品信息服务资格证书(京)-经营性-2017-0027
互联网医疗保健信息服务复核同意书 京卫计网审[2015]第0344号




会员登录

