大妈反复咳嗽、咳痰1年 胸部CT提示双肺弥漫性病变
40岁女性,1年前患者无诱因出现咳嗽、咳少量白痰,病初伴发热,体温最高38.0℃。自诉曾行胸部X线检查提示“双肺炎症”,外院予抗感染治疗(具体不详),体温恢复正常,但仍有咳嗽、少量白黏痰。未再诊治。5天前出现咯血一口,为暗红色血痰。遂就诊于笔者医院,急诊胸部CT检查示“双肺弥漫性病变”。该患者患有……
患者女性,40岁,于2008年12月29日入院。
一、主诉
反复咳嗽、咳痰1年,咳痰带血5天。
二、病史询问
女性,40岁,车工,接触铁屑约10年。无饲鸽史,无棉尘、发霉物质等有机粉尘接触史。既往有反复腕关节、膝关节丘疹病史,未诊治。1年前患者无诱因出现咳嗽、咳少量白痰,病初伴发热,体温最高38.0℃,无畏寒、寒战。自诉曾行胸部X线检查提示“双肺炎症”,外院予抗感染治疗(具体不详),体温恢复正常,但仍有咳嗽、少量白黏痰。未再诊治。5天前出现咯血一口,为暗红色血痰,无发热,无气短,无胸痛,无皮疹,无关节肿痛。我院急诊胸部CT检查示“双肺弥漫性病变”收入院。
评价:首次病史采集,按照常规问诊病史,但应注意几个细节:①患者自诉1年前外院胸部X线示“双肺炎症”,本次入院前胸部CT示“双肺弥漫性病变”,间隔1年的两次影像学改变属于同一个疾病还是两个疾病?如果为同一疾病,则需要考虑非感染性疾病或恶性肿瘤。如果为两个疾病,则不能除外感染性疾病。②生育期女性患者,曾反复出现关节部位皮疹,本次发病主要症状为少量咯血,胸部CT表现为“双肺弥漫病变”,故需要考虑风湿性疾病。③患者曾有铁屑接触史,需要常规进行铍肺的筛查。
三、体格检查
体温37.0℃,心率70次/分,呼吸16次/分,血压130/90mmHg,神志清楚,呼吸平稳,结膜无苍白,口唇无发绀,皮肤无皮疹、瘀斑、结节。气管居中,胸廓对称,双侧呼吸运动一致,双肺叩诊呈清音,双肺呼吸音粗,未闻及干湿啰音,无帛裂音。心脏、腹部、四肢、神经系统查体未见异常。杵状指阴性。
评价:临床表现与胸部CT“双肺弥漫病变”不相称,成为本病例非常明显的特征。症状较轻、体格检查正常,而胸部CT病变呈弥漫性,两者不相称的疾病包括肺炎支原体感染、早期结节病、肺泡蛋白沉积症、早期尘肺等。依据该线索进一步完善辅助检查。
四、实验室和影像学检查
【检查结果】
1.血常规、尿常规、肝肾功能、血糖、电解质(包括血钙、血磷)均正常。
2.肝炎病毒学、HIV抗体、梅毒抗体均阴性。风湿免疫指标正常。
3.肿瘤标志物:包括CEA、C211、NSE、CA125、CA199、AFP均正常。
4.PPD(5U)试验:阴性。
5.血气分析:pH 7.432,PaO2 77.1mmHg,PaCO2 38.8mmHg,AaDO2 26.6mmHg。
6.肺功能:FEV1占预计值100%,FEV1/FVC 105%,MVV占预计值123%,DLCO占预计值86%。
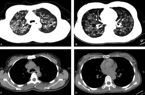
7.胸部高分辨CT(2008年12月25日):双肺纹理增多紊乱,双肺弥漫磨玻璃、斑片、结节影,密度不均匀,边界欠清,部分沿支气管血管束分布,纵隔内见多个增大淋巴结,双侧肺门正常,双侧胸腔内未见积液(图1)。
8.腹部超声检查:肝、胆、脾、胰、双肾未见异常。

图1
【临床分析】
1.胸部高分辨CT提示病变累及周围肺间质、肺泡腔、所属淋巴管、支气管壁及淋巴结。分析如下:①疾病累及肺泡腔为主,如肺泡蛋白沉积症(PAP)、特殊病原体感染(包括结核菌、真菌等)等;②源于淋巴组织疾病,如结节病、肿瘤(包括淋巴系统肿瘤)等;③风湿性疾病,如肉芽肿性疾病、血管炎等;④职业相关疾病,如铍肺等。但上述疾病单纯依靠胸部CT难以鉴别,需要取得组织病理,明确诊断。
2.血气分析提示轻度低氧血症;肺功能提示肺通气功能、弥散功能均正常,不仅与患者“临床表现与胸部CT弥漫性病变不相称”的特点互相吻合,而且表明疾病可能存在一定的可逆性。
五、经纤维支气管镜肺活检(TBLB)
由于首先考虑为间质性肺疾病,故无应用抗生素指征,需要完善纤维支气管镜检查,取得病理依据。
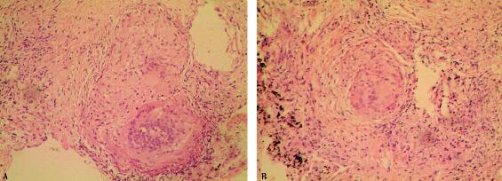
纤维支气管镜检查:双侧支气管及其各分支色泽、管口大小正常,未见结节、肿物;于右肺中叶灌洗,回收液似“牛奶样”,但PAS染色阴性;右肺上叶后段行肺活检,病理提示“类上皮细胞结节”(图2 HE×100)。

图2
【临床分析】
根据肺活检病理表现,可能的疾病为:
1.结节病
依据为:①中年女性,反复关节皮疹,可自行消退;轻度咳嗽、咳痰,无气短,无发热;肺部查体正常;②PPD试验阴性;胸部CT提示双肺弥漫病变,呈斑片、网状、结节影,纵隔内见多个肿大淋巴结;③纤维支气管镜肺活检(TBLB)病理结果为类上皮细胞结节。故临床诊断首先考虑结节病。
2.肺结核
中年女性,慢性病程,胸部CT提示双肺弥漫病变,呈斑片、网状、结节影,TBLB病理结果为类上皮细胞结节,需要与肺结核鉴别。尽管患者无低热、盗汗、乏力等结核中毒症状,但仍不能除外肺结核可能,需要进一步行抗酸染色。
3.尘肺
本例患者曾有铁屑接触史,胸部CT发现双肺弥漫病变,TBLB病理提示类上皮细胞结节,需要考虑尘肺可能。但患者症状轻,肺部无阳性体征,轻度低氧血症,肺通气和弥散功能均正常,与“尘肺”引起的双肺弥漫病变程度不匹配,即无法单纯用“尘肺”解释患者临床表现。
4.肺泡蛋白沉积症
支持该疾病诊断的依据包括:①亚急性起病、慢性病程(1年),轻度咳嗽、少量白痰,无气短、发热,肺部查体正常;②胸部CT提示双肺弥漫磨玻璃、斑片影,近心端为主;③纤维支气管镜检查肺泡灌洗液呈“牛奶样”外观。但肺泡灌洗液PAS染色阴性,肺活检病理提示类上皮样结节,PAS染色也阴性,故可除外肺泡蛋白沉积症。
评价:肺活检病理表现为“类上皮细胞结节”的疾病常见于结核病、结节病、肺铍病、矽肺等。结核病的类上皮样肉芽肿可见典型干酪样坏死或抗酸杆菌阳性,即可确诊;结节病病理特征为非干酪样坏死性上皮细胞肉芽肿,临床表现多种多样,但肺或胸部的淋巴结几乎总会受累。结节病的诊断需要一个以上器官证实为典型病变,并排除其他已知的肉芽肿性疾病后才能诊断;肺铍病、矽肺等为职业病,多数有长期接触金属铍或二氧化硅粉尘病史,主要发病于高技术电子元件制作行业或采石行业,与本例患者职业接触铁屑不符。
六、经胸腔镜肺活检
由于纤维支气管镜取得的肺活检组织标本很小,无法进行肺活检组织培养,尽管抗酸染色结果阴性,但病理特征仍不能除外肺结核。故暂不予糖皮质激素治疗,也无试验性抗结核指征。
评价:文献报道,结节病和结核可同时存在或在不同的时间出现于同一患者,特别是在中国,从临床角度来看,诊断结节病应常规注意除外结核病或合并结核病。因此,结节病的诊断不仅需要病理诊断,而且要求仔细除外所有已知能引起肉芽肿病变的原因。有曾被临床和病理确诊的结节病,而后来却被证明为其他疾病。故即使结节病的诊断成立,以后还需要定期随访。
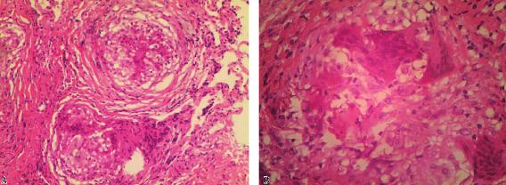
为进一步明确诊断,该患者有经胸腔镜进行肺活检的指征。患者经胸腔镜进行肺活检病理结果提示:非干酪样坏死性类上皮细胞肉芽肿(图3A:HE×100,B:HE×200)、抗酸染色阴性。肺活检组织结核杆菌PCR检查阴性、真菌和结核菌培养均阴性。至此,终于明确诊断。

图3
【最终诊断】
肺结节病Ⅲ期
七、治疗方案及疗效
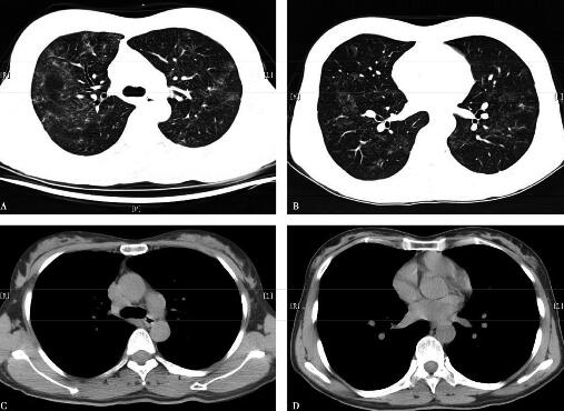
2009年3月给予泼尼松40mg/d[0.75mg/(kg·d)],病情好转,2009年6月9日复查胸部CT,提示双肺病变吸收明显,遗留条索影,纵隔淋巴结缩小(图4)。逐渐规律减量至停用,总疗程1.5年,外院复查胸部CT提示肺部病变吸收,纵隔淋巴结消失。

图4
评价:类上皮肉芽肿的中央部分主要是多核巨噬细胞和类上皮细胞。类上皮细胞为圆形或卵圆形,具有微细的染色质网,核质清晰,表现为水泡状的核。类上皮细胞在巨噬细胞刺激下而形成,虽有吞噬能力,但缺乏溶酶菌颗粒。类上皮细胞可以融合成多核巨细胞,周围有淋巴细胞浸润,而无干酪样病变。初期病变可见有较多的单核细胞、巨噬细胞、淋巴细胞等炎症细胞浸润,累及肺泡壁和肺间质。随着病情的进展,炎症细胞减少,非特异性的纤维化逐渐加重,多核巨细胞还常见于不易被消化的较大异物和代谢产物周围,所以类上皮肉芽肿的组织形态学并非结节病的特异性表现,也可见于分枝杆菌和真菌感染,异物或外伤的组织反应,亦可见于铍肺、梅毒三期、淋巴瘤和外源性变态反应性肺泡炎等。故临床医师需要熟练掌握上述疾病的特征性改变,有助于进一步甄别。
八、对本病例误诊误治的思考
结节病的胸部CT,尤其是HRCT的影像学,典型表现是以双侧肺门、纵隔淋巴结对称性肿大为特征,肺内改变早期为肺泡炎表现,继而发展为肺间质浸润,以及晚期肺间质纤维化。而不典型胸部CT可表现如下:支气管狭窄或压迫,甚至造成肺不张,特别是右肺中叶;肺内孤立阴影;空洞病变;单侧或双侧肺实变;双肺粟粒样结节;胸腔积液、液气胸;单侧纵隔和(或)肺门淋巴结肿大、双侧肺门淋巴结不对称肿大以及淋巴结钙化等。
HRCT对于评价第Ⅱ、Ⅲ期结节病的肺内活动性炎症和不可逆的肺纤维化有重要意义。通常情况下结节影、磨玻璃影、肺泡实变影均被认为是可用药物治疗逆转的肉芽肿性改变;而蜂窝肺、囊性改变、肺大泡、粗大的小叶间隔影像、肺结构破坏、牵拉性支气管扩张、肺容积减少预示疾病不可逆。本例胸部CT主要表现为双肺内弥漫性片状影、小结节影、腺泡样影,从影像学分析仍以肉芽肿性炎症为主,虽有轻微的牵拉性细支气管扩张,病情仍可逆,预示治疗反应相对较好。但胸部HRCT有轻微的牵拉性细支气管扩张,提示可能存在纤维组织增生,药物治疗后不完全可逆,预计可能遗留纤维瘢痕或支气管扩张。随后的治疗反应充分印证了上述观点。
依据胸部X线表现,结节病分五期。①0期:肺部清晰,无异常;②Ⅰ期:两侧肺门和(或)纵隔淋巴结肿大,肺内无异常;③Ⅱ期:肺门和(或)纵隔淋巴结肿大,伴肺内浸润。④Ⅲ期:弥漫性的肺部病变,无肺门淋巴结肿大;⑤Ⅳ期:肺纤维化、蜂窝肺等改变。对于Ⅰ期和Ⅱ期结节病,训练有素的呼吸内科临床医生较容易诊断,但对于Ⅲ期和Ⅳ期结节病,诊断难度相对较大。本病例属于肺结节病Ⅲ期,诊断经历较曲折。然而,目前尚无临床实验证明Ⅲ期和Ⅳ期结节病确诊率低于Ⅰ期和Ⅱ期结节病。
综上所述,本病例延误诊断关键点是:①对于临床表现和影像学病变程度不相称的疾病鉴别诊断思路不清晰;②对于无肺门淋巴结肿大的结节病影像学认识不足。
小贴士
结节病的影像学特征
1.典型胸内结节病影像学表现
(1)胸内淋巴结肿大:①肺门淋巴结肿大:双侧肺门为主;②纵隔淋巴结肿大:右上纵隔、主动脉窗常见。
(2)肺实质改变:①间质性改变:最常见;②肺泡型改变;③粟粒样改变;④肺内肉芽肿性病变;⑤双肺磨玻璃样阴影和纤维瘢痕性病变。
2.不典型结节病影像学表现
(1)肺内病变:①孤立结节影;②肺不张;③单侧或双侧肺实变;④双肺粟粒样结节。
(2)单纯纵隔淋巴结病变:①纵隔肿物:右上常见;②纵隔淋巴结肿大。
(3)胸膜病变:少见。
(4)肺门病变:少见。
大连医科大学附属第一医院 赵亚东 季颖群
(环球医学编辑:余霞霞)
来源:《防范与走出常见诊疗误区:呼吸疾病临床病例精粹》
作者:康健
页码:140-145
出版:人民卫生出版社
- 评价此内容
- 我要打分
近期推荐
热门关键词
最新会议
- 2013循证医学和实效研究方法学研讨会
- 欧洲心脏病学会年会
- 世界帕金森病和相关疾病2013年会议
- 英国介入放射学学会2013年第25届年会
- 美国血液学会2013年年会
- 美国癫痫学会2013年第67届年会
- 肥胖学会 2013年年会
- 2013年第9届欧洲抗体会议
- 国际精神病学协会 2013年会议
- 妇科肿瘤2013年第18届大会
- 国际创伤压力研究学会2013年第29届…
- 2013年第4届亚太地区骨质疏松症会议
- 皮肤病协会国际2013年会议
- 世界糖尿病2013年大会
- 2013年国际成瘾性药年会
- 彭晓霞---诊断试验的Meta分析
- 武姗姗---累积Meta分析和TSA分析
- 孙凤---Network Meta分析
- 杨智荣---Cochrane综述实战经验分享
- 杨祖耀---疾病频率资料的Meta分析
合作伙伴
Copyright g-medon.com All Rights Reserved 环球医学资讯 未经授权请勿转载!
网络实名:环球医学:京ICP备08004413号-2
关于我们|
我们的服务|版权及责任声明|联系我们
互联网药品信息服务资格证书(京)-经营性-2017-0027
互联网医疗保健信息服务复核同意书 京卫计网审[2015]第0344号




会员登录

