老奶奶胸闷气短数天 胸部X线提示右侧大量胸腔积液
60岁女性,1个月前曾因腹胀于妇产医院行妇科检查诊断“子宫脱垂”。近5天主要表现为进行性胸闷、气短,活动后明显,伴咳嗽,院外未诊治。1天前外院胸部X线提示右侧大量胸腔积液,遂入笔者医院。该患者患有……
患者女性,60岁,于2012年9月6日入院。
一、主诉
胸闷、气短5天。
二、病史询问
(一)初步诊断思路及问诊目的
老年女性,胸闷、气短为主要症状,无发热,外院胸部X线提示右侧大量胸腔积液,故诊断上首先考虑恶性胸腔积液可能性大,结核性胸膜炎及肺炎旁胸腔积液需进一步除外。因此,问诊主要围绕恶性胸腔积液的原因、发病时主要症状及特点、伴随症状,院外如何治疗及治疗效果等问题展开,并针对胸腔积液的病因询问相关的临床表现,以寻找符合恶性胸腔积液表现的证据。
(二)问诊主要内容及目的
1.如何起病,有无诱因、基础疾病及环境暴露史?
急性起病,常见于感染性胸膜疾病,如肺炎旁胸腔积液、脓胸等;结核性胸膜炎起病多为亚急性;而恶性胸腔积液则为隐袭性起病。若曾有外伤史,需警惕血胸;既往肺结核病史或近期有肺结核患者接触史,则需考虑结核性胸膜炎;长期石棉接触史者,应注意除外胸膜间皮瘤。
2.病程中有无发热?
单侧胸腔积液是否伴发热以及发热程度对诊断非常重要:中度至高度发热多见于复杂性肺炎旁胸腔积液或脓胸;中度至低度发热,则多见于结核性胸膜炎;而恶性胸腔积液常不伴有发热。
3.病程中有无其他伴随症状?
单侧胸腔积液主要临床表现为进行性胸闷气短,且常有多种伴随症状,不仅需要询问是否存在发热,而且还应常规询问其他伴随症状和系统回顾:伴随咳嗽、咳黄痰、甚至脓臭痰,提示感染性疾病,如肺炎或支气管胸膜瘘;伴随咯血,需考虑支气管肺癌、肺血栓栓塞症;持续剧烈胸痛者需注意除外胸膜间皮瘤;伴随进行性乏力、贫血等表现者,则需警惕血胸。伴随关节疼痛、皮疹、口腔溃疡等可提示结缔组织疾病;伴随心悸,提示心功能不全或心包积液;伴随腹胀、腹痛,提示腹部疾病或腹腔积液。
4.院外如何诊治,效果怎样?
院外治疗及效果对诊断也是间接证据:若抗感染治疗有效,则提示感染性胸腔积液;若抗结核治疗有效,则支持结核性胸膜炎。通过了解院外诊疗情况有助于进行鉴别诊断分析和指导进一步治疗。
(三)问诊结果及临床分析
患者为退休工人,1个月前曾因腹胀于妇产医院行妇科检查诊断“子宫脱垂”。无呼吸系统疾病和心脏疾病病史。本次发病无明确诱因,近5天主要表现为进行性胸闷、气短,活动后明显,伴咳嗽、无咳痰及咯血,无发热、盗汗,无心悸和夜间阵发性呼吸困难,无体重下降。院外未诊治,1天前外院胸部X线(2012年9月5日)提示右侧大量胸腔积液,遂入我院。
【临床分析】
通过问诊可明确,本次发病以胸闷、气短为主要症状,无发热,胸部X线提示单侧(右侧)胸腔积液,即老年、无发热、单侧大量胸腔积液,符合恶性胸腔积液的特点。故应注意肺部查体及全身其他部位的体格检查情况,并通过诊断性胸膜腔穿刺术明确胸腔积液性质,寻找恶性胸腔积液的病理学依据。患者既往无呼吸和心脏疾病病史,单侧大量胸腔积液,故呼吸困难主要考虑与胸腔积液有关,可除外心源性呼吸困难。
评价:这是初次问诊后进行病史整理,诊断思路似乎正确,临床分析近乎合理,但是我们应注意一个细节:患者于1个月前因“腹胀”于妇产医院行妇科检查诊断“子宫脱垂”。对“腹胀”、“子宫脱垂”原因在问诊时应刨根问底,并积极思考其与本次“呼吸困难”“单侧胸腔积液”病因是否关联,但医生却因“已在专科医院得到诊治”而忽略这一信息,从而延长了诊断时间。
三、体格检查
(一)重点检查内容和目的
考虑患者恶性胸腔积液可能性最大,因此在对患者进行系统地、全面地检查同时,应重点注意准确测量体温和肺部体征,同时注意是否有浅表淋巴结肿大及包块可能。
(二)体格检查结果及临床分析
体温36.0℃,呼吸21次/分,心率76次/分,血压120/70mmHg。神志清楚,呼吸略促,口唇无发绀。颈部、锁骨上窝、腋窝、腹股沟区浅表淋巴结未触及,气管轻度左偏,右侧呼吸动度及语颤减弱,叩诊呈浊音,右肺呼吸音减弱,左肺呼吸音粗糙,双肺未闻及干湿啰音。心界不大,律齐,各瓣膜区未闻及杂音。下腹部可触及约8cm×10cm大小肿块,边界尚清,质硬,无压痛,移动性浊音阳性,四肢、神经等系统检查未见异常。
【临床分析】
体格检查结果支持右侧胸腔积液,移动性浊音阳性考虑有腹腔积液可能,故为多浆膜腔积液。呼吸频率快及肺部查体,结合影像学检查提示为右侧大量胸腔积液。心脏检查未见异常,不支持心源性疾病。进一步行诊断性胸膜腔穿刺术明确胸腔积液是渗出液还是漏出液,及寻找细胞学依据。
评价:患者在既往史中提示1个月前妇产医院行妇科检查诊断“子宫脱垂”。体格检查发现下腹部可触及约8cm×10cm大小肿块,边界尚清,质硬,无压痛,移动浊音阳性。这些信息都未引起足够的重视,是因为患者及家属自诉“已于专科医院行专科检查明确,并予治疗”。故没能及时将“子宫脱垂”病因与多浆膜腔积液联系起来。过分相信专科医院专科检查和忽视非本专业方面的重要症状和阳性体征,正是本例患者诊断时间延长的原因,故当代医学需要每位医师成为“整合医学”的精英。
四、实验室和影像学检查
(一)初步检查内容及目的
1.血常规:
进一步证实有无感染性疾病及感染的程度。
2.血气分析:
了解有无缺氧及二氧化碳潴留,有助于评价病情。
3.CEA、Cyfra21-1、NSE:
寻找肿瘤依据。
4.诊断性胸膜腔穿刺术:
行胸腔积液常规、生化、细胞学检查,明确胸腔积液性质。
(二)检查结果及临床分析
【检查结果】
1.血常规:白细胞计数6.53×109/L,中性粒细胞百分比58.5%,淋巴细胞百分比28.5%,血红蛋白112g/L,血小板计数523×109/L。
2.血气分析:pH 7.446,PaCO2 36.7mmHg,PaO2 54.9mmHg。
3.CEA 4.88ng/ml(0~5ng/ml),Cyfra21-1 14.01ng/ml(0~3.3ng/ml),NSE 46.75ng/ml(0~24ng/ml)。
4.第一次胸腔积液常规:外观为血性,黏蛋白试验阳性,总细胞数41816/mm3,有核细胞数1500/mm3,中性粒细胞百分比10%,淋巴细胞百分比60%,间皮细胞百分比30%,比重为1.035。
【临床分析】
胸腔积液常规检查为血性外观,黏蛋白试验阳性,比重大于1.018,支持渗出液诊断。细胞分类以淋巴细胞为主,中性粒细胞百分比仅占10%,血白细胞及中性粒细胞均正常,故可除外感染性胸腔积液。间皮细胞百分比高达30%,首先考虑恶性胸腔积液。血气分析提示Ⅰ型呼吸衰竭,考虑为大量胸腔积液压迫肺组织,肺通气和血流比例失调,影响通气和换气功能。进一步处理应为反复胸膜腔穿刺术寻找胸腔积液病因以明确诊断,并缓解呼吸困难。
五、治疗方案及理由
(一)方案
患者胸腔积液原因未明确,无感染性胸腔积液依据,无应用抗生素指征。患者呼吸困难明显,胸腔穿刺不仅可以缓解呼吸困难症状,而且能够明确病因。故积极胸腔穿刺放液(4次,共1720ml),并对症支持治疗。待胸腔积液结果回报后再进一步调整治疗方案。
(二)治疗效果及临床分析
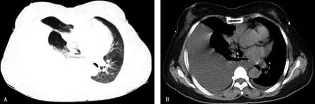
患者反复胸腔穿刺排液,症状略好转。同时实验室检查结果:①两次行胸膜腔穿刺术,分别抽出胸腔积液240ml,胸腔积液常规提示外观均为血性,蛋白均阳性,总细胞数分别为41816/mm3、36500/mm3,有核细胞数分别为2024/mm3、1500/mm3,中性粒细胞百分比分别为10%、9%,淋巴细胞百分比分别为60%、62%,间皮细胞百分比分别为30%、29%,比重均为1.035;胸腔积液腺苷脱氨酶(ADA)分别为16.2IU/L、14.6IU/L(0~25IU/L),乳酸脱氢酶(LDH)分别为703IU/L、582IU/L,蛋白分别为50.7g/L、48.9g/L;胸腔积液癌胚抗原(CEA)分别为3.73ng/ml、3.54ng/ml; 于2012年9月13日行胸腔穿刺置管引流术,先后两次抽出血性胸腔积液240ml、1000ml四次胸腔积液脱落细胞学均见淋巴细胞及间皮细胞,未找到肿瘤细胞。②胸部CT(图1,A肺窗、B纵隔窗):右侧胸腔积液伴右下肺膨胀不良,右肺中叶不张,前下纵隔多发肿大淋巴结,腹腔积液。因仍未能明确诊断,2012年9月18日行胸膜活检术,送检病理未找到肿瘤细胞。

图1
【临床分析】
患者拟诊恶性胸腔积液,但反复行胸膜腔穿刺术及胸膜活检术均未找到肿瘤的细胞学及组织学依据,应考虑以下问题:
1.根据胸腔积液Light标准提示,胸腔积液为渗出液,外观血性,细胞分类以淋巴细胞为主,两次胸腔积液LDH均>500IU/L,以上仍提示为恶性胸腔积液,是胸膜间皮瘤还是肿瘤胸膜转移不清楚。
2.两次胸腔积液ADA均正常,无发热,不支持结核性胸膜炎的诊断。
3.胸腔积液细胞分类以淋巴细胞为主,两次胸腔积液常规中性粒细胞百分比分别为10%、9%,临床无发热、咳黄痰等症状,影像学未见明确肺炎征象,均不支持肺炎旁胸腔积液和脓胸。
4.其原发灶不一定在肺部,可能在腹部(结合病史及体格检查)。
评价:入院考虑恶性胸腔积液的思路是正确的,但是寻找病理学依据时仅仅围绕胸腔积液进行查找,目标范围过于局限在本专业范围疾病。我们应该注重临床分析中的每一个细节,任何细节的疏忽均会影响诊断。诊断思路过于局限将使诊断时间延长,因此应该重新整理病史及体格检查资料重新寻找突破点。
六、再问病史和实验室检查结果
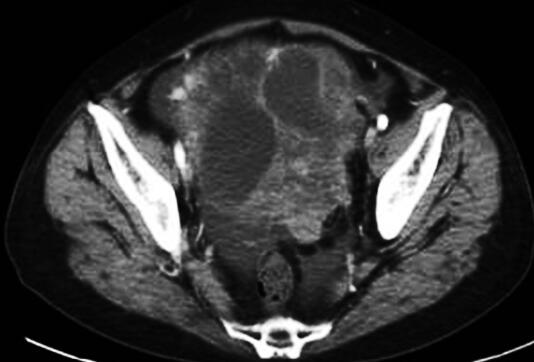
通过再次深入询问病史及进行详细的体格检查得知:患者同时存在胸腔积液和腹水,属于多浆膜腔积液,1个月前因腹胀于妇产医院行妇科检查诊断“子宫脱垂”。虽予治疗,但是未告知患者子宫脱垂原因,查体:下腹部可触及约8cm×10cm大小肿块,边界尚清,质硬,无压痛。入我科后未查妇科,原发灶可能在腹部。进一步行腹部增强CT提示盆腔内可见一巨大肿块影,密度不均匀,CT值为20~33HU,增强后呈不均匀强化,实性部分可见强化,动脉期、静脉期及平衡期CT值分别为70HU、58HU、66HU,最大层面大小约为14.0cm×11.7cm。肝周、脾周及盆腔内可见液性密度影。盆腔肿物考虑为卵巢囊性癌可能性大(图2)。此时,诊断思路豁然开朗,多浆膜腔积液性质为渗出液,原发灶位于卵巢,即卵巢肿瘤伴胸腔和腹腔积液。进一步查糖链抗原125(CA125)为4577U/ml(0~35U/ml),附睾蛋白(HE4)为607pmol/L(0~82.9pmol/L),均明显升高,考虑卵巢恶性肿瘤可能性大。

图2
评价:此时诊断才浮出水面,这是病史及体格检查中最重要的信息!如果我们能在对胸腔积液进行检查的同时注意腹部的检查,可能会更早明确诊断。另外,即使是外院专科医院的诊断仅可作为参考,还需根据病情综合判断。对病史的每一个细节均应究其原因,呼吸科医师在掌握本科疾病的同时,更多的注意交叉学科的知识,不仅要掌握胸腔积液的病因,更应重视了解多浆膜腔积液病因。
七、调整治疗方案及疗效
建议转妇科手术进一步寻找病理依据,但家属拒绝。出院后电话随访结果如下:患者出院后自行至当地妇产医院就诊并手术,术后病理诊断卵巢癌,规范化疗后病情稳定。
【最终诊断】
卵巢癌伴右侧胸膜、腹膜转移、Ⅰ型呼吸衰竭
八、对本病例误诊误治的思考
(一)渗出性胸腔积液
渗出性胸腔积液常见病因主要包括感染性疾病(结核病、各类肺部感染)和恶性肿瘤(胸膜肿瘤,包括恶性肿瘤转移、间皮瘤)以及其他疾患(结缔组织病、外伤、气胸、胸部手术后等)。该患首先考虑恶性胸腔积液,恶性胸腔积液是指由肺癌或其他部位恶性肿瘤累及胸膜或胸膜原发性肿瘤所致的胸膜腔积液,是晚期恶性肿瘤的常见并发症。几乎所有肿瘤均可侵犯胸膜,病理类型以腺癌多见。在所有恶性肿瘤中,以肺癌、乳腺癌、卵巢癌、淋巴瘤累及胸膜较为常见,约占75%。本病例在诊断最初临床思路较局限,仅仅围绕胸腔积液及肺部检查进行寻找病理学依据及原发灶,未能总体上把握恶性胸腔积液的病因,未能深究子宫脱垂的病因,因此全面细致的询问病史及体格检查,更多的了解呼吸系统及其以外学科的知识尤为重要,任何无法解释的疑问均应得到重视,或许这个疑问就是我们诊断的关键点。
(二)多浆膜腔积液
本例患者入院后发现为多浆膜腔积液,多浆膜腔积液最常见病因为恶性肿瘤(31.3%),其次为结缔组织疾病、结核、肝硬化、心功能不全等。恶性肿瘤导致胸腔积液合并腹水,原发肿瘤多来自卵巢、肝脏及其他消化器官,此时肺癌的可能性很小。如果入院即从多浆膜腔积液入手,可能会更快地找到原发灶。
(三)Meigs综合征
卵巢和(或)盆腔肿瘤常引起多浆膜腔积液,包括Meigs综合征。Meigs综合征(Meigs'syndrome)是一种少见的妇科并发症,1937年由Meigs首次正式描述,即卵巢良性实体肿瘤合并腹水或胸腔积液。当肿瘤被切除后,胸腹水迅速消失。肿瘤类型包括纤维瘤、纤维上皮瘤、泡膜细胞瘤、颗粒细胞瘤、硬化性间质瘤,而其他病理类型的盆腔良性肿瘤也可合并胸腹水,如卵巢良性畸胎瘤、黏液性囊腺瘤、盆腔血管瘤、子宫平滑肌瘤及输卵管乳头状瘤等,甚至包括部分交界性或恶性卵巢表面上皮性肿瘤则称作假性Meigs综合征(pseudo-Meigs'syndrome)。
综上所述,本病例误诊误治关键点是:①病史询问不详细;②对呼吸科以外知识的系统认识不足;③对多浆膜腔积液的病因认识不全面。
小贴士
真、假Meigs综合征
(真)Meigs综合征:卵巢良性实体肿瘤合并腹腔或胸腔积液,胸腹水为良性漏出液,可为血性。当肿瘤被切除后,胸腹水迅速消失。肿瘤类型包括纤维瘤、纤维上皮瘤、泡膜细胞瘤、颗粒细胞瘤、硬化性间质瘤。
假性Meigs综合征:非卵巢纤维瘤的其他病理类型的盆腔良性肿瘤合并胸腔或腹腔积液,如卵巢良性畸胎瘤、黏液性囊腺瘤、盆腔血管瘤、子宫平滑肌瘤及输卵管乳头状瘤等,甚至包括部分交界性或恶性卵巢表面上皮性肿瘤,其胸腹水性质属于渗出液,常为血性,包含或未含恶性细胞,虽经手术摘除肿瘤,其伴发胸腹水未能消退,或消退后于短期内复发。
大连医科大学附属第一医院 唐海英 张中和
(环球医学编辑:余霞霞)
来源:《防范与走出常见诊疗误区:呼吸疾病临床病例精粹》
作者:康健
页码:38-42
出版:人民卫生出版社
- 评价此内容
- 我要打分
近期推荐
热门关键词
最新会议
- 2013循证医学和实效研究方法学研讨会
- 欧洲心脏病学会年会
- 世界帕金森病和相关疾病2013年会议
- 英国介入放射学学会2013年第25届年会
- 美国血液学会2013年年会
- 美国癫痫学会2013年第67届年会
- 肥胖学会 2013年年会
- 2013年第9届欧洲抗体会议
- 国际精神病学协会 2013年会议
- 妇科肿瘤2013年第18届大会
- 国际创伤压力研究学会2013年第29届…
- 2013年第4届亚太地区骨质疏松症会议
- 皮肤病协会国际2013年会议
- 世界糖尿病2013年大会
- 2013年国际成瘾性药年会
- 彭晓霞---诊断试验的Meta分析
- 武姗姗---累积Meta分析和TSA分析
- 孙凤---Network Meta分析
- 杨智荣---Cochrane综述实战经验分享
- 杨祖耀---疾病频率资料的Meta分析
合作伙伴
Copyright g-medon.com All Rights Reserved 环球医学资讯 未经授权请勿转载!
网络实名:环球医学:京ICP备08004413号-2
关于我们|
我们的服务|版权及责任声明|联系我们
互联网药品信息服务资格证书(京)-经营性-2017-0027
互联网医疗保健信息服务复核同意书 京卫计网审[2015]第0344号




会员登录

