一男子咳嗽、发热伴腹泻 原来是这种细菌在作祟
41岁男性,既往身体健康。发病前因淋雨受凉后出现咳嗽,逐渐出现咳黄痰,每日约10ml,伴有畏寒、发热,体温最高可达39.5℃,口服 布洛芬混悬液,热可退,伴大汗,复上升。口服“阿莫西林”4天,上述症状未好转,且出现大便次数增多,呈稀水样便,每天3~4次,遂到笔者医院就诊。该患者患有……
患者男性,41岁,于2011年5月12日入院。
一、主诉
咳嗽、咳痰、发热5天。
二、病史询问
(一)初步诊断思路及问诊目的
患者年龄相对较轻,近日出现呼吸道症状并伴有发热,首先考虑是呼吸道感染性疾病。因此,在问诊过程中应该主要围绕感染性疾病的诱因(原因)、发病时的主要症状及特点、伴随症状,是否曾治疗及效果如何等问题展开,并兼顾重要鉴别疾病的临床表现,以寻找符合感染性疾病表现的证据。
(二)问诊主要内容及目的
1.发病前是否有受凉、感冒或接触感冒患者?
呼吸道感染性疾病患者常具有一定的诱发因素,空气中飞沫传播是呼吸道疾病的主要传播途径。
2.咳嗽、咳痰的特点?
如果是阵发性刺激性呛咳,多提示支原体肺炎;咳嗽伴有咳黄痰是细菌感染的重要证据;咳白色黏痰,拉之成丝,是真菌感染的重要证据。
3.是否发热?如果有,多于何时出现?体温如何?是否用了退热药物,效果如何?
发热是感染性疾病的重要证据,而且了解发热的时间、热型对鉴别疾病具有重要作用,还应注意体温是否受到解热药物的影响。
4.入院前是否治疗?效果如何?
通过了解院外是否治疗及其治疗情况有助于进一步分析病情,并为下一步药物的选择提供依据。
(三)问诊结果及临床分析
患者为工人,既往身体健康。本次发病前因淋雨受凉后出现咳嗽,逐渐出现咳黄痰,每日约10ml,痰中无血丝,无异味,伴有畏寒、发热,体温最高可达39.5℃,口服布洛芬混悬液,热可退,伴大汗,复上升。无胸闷气短及呼吸困难,无胸痛。口服“阿莫西林”4天,上述症状未好转,且出现大便次数增多,呈稀水样便,每天3~4次,遂来医院就诊。
【临床分析】
通过问诊可明确,患者既往无呼吸系统疾病,本次发病前有明确的诱因(淋雨受凉),随之出现咳嗽、咳黄痰并伴有高热,符合呼吸道感染性疾病的特点,应在体格检查时重点注意肺部听诊是否存在啰音,并通过实验室检查和影像学检查寻找感染的证据。腹泻主要考虑是胃肠道感染的伴随症状,同时不除外口服“阿莫西林”所致的不良反应。
评价:这次病史采集及临床分析为我们初始治疗提供了方向。但这里有一个细节:患者随之出现腹泻。本来对这“大便次数增多”在问诊时应仔细询问,但却被病史采集者忽视了,认为是胃肠道感染的伴随症状或是口服“阿莫西林”的药物不良反应“一带而过”,对诊断思路具有重要提示作用的信息未能在病史采集中意识到,从而导致了临床思维的偏离。
三、体格检查
(一)重点检查内容和目的
考虑患者呼吸系统感染的可能性最大,因此在对患者进行系统的、全面的检查同时,应重点注意体温变化和肺部体征,尤其是肺部听诊有无啰音。
(二)体格检查结果及临床分析
体温39.4℃,呼吸24次/分,脉搏110次/分,血压120/60mmHg。神志清楚,急性面容,表情忧虑,自主体位。口唇发绀,气管居中,无三凹征。胸廓对称,双侧呼吸运动一致,右肺触诊语颤增强,叩诊呈浊音,听诊可闻及湿啰音。心界不大,心音钝,律齐,各瓣膜听诊区未闻及杂音和奔马律。腹软,无压痛及反跳痛,肠鸣音5次/分。四肢、神经等系统检查未见明显异常。
【临床分析】
体格检查结果与问诊后初步考虑呼吸系统感染的思路相吻合。体温39.4℃,肺部湿啰音提示有肺部感染。进一步实验室和影像学检查的主要目的是明确病变部位、病原学,并判断病情,以为治疗方案提供依据。
四、实验室和影像学检查
(一)初步检查内容及目的
1.血常规、CRP、PCT:进一步证实感染性疾病。
2.血清支原体、衣原体、军团菌、病毒抗体检查:明确病原。
3.痰菌涂片、痰菌培养:明确病原。
4.动脉血气分析:评估病情。
5.便常规、便隐血、便球杆比、便培养:明确腹泻病因。
6.胸部影像学:明确诊断并了解病变部位和范围。
(二)检查结果及临床分析
【检查结果】
1.血常规:白细胞计数12.9×109/L,中性粒细胞百分比79%,红细胞计数4.6×1012/L,血红蛋白140.6g/L,血小板计数159×109/L。C-反应蛋白313.6mg/L,降钙素原0.512ng/ml。
2.血清支原体、衣原体、军团菌、病毒抗体检测均阴性。
3.痰菌培养:待3天后出结果。
4.动脉血气分析(未吸氧):pH 7.51,PaO2 63mmHg,PaCO2 28mmHg。
5.便常规:性状:黏稠水样,白细胞0~2个/HP;便隐血、便球杆比未见明显异常。便培养待3天后出结果。
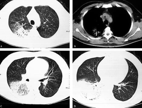
6.胸部影像学:右肺多叶、多段片状浸润性阴影,有实变,右胸腔有少量胸腔积液(图1)。

图1
【临床分析】
具有临床意义的检查结果有:①血常规示白细胞计数、中性粒细胞百分比均增高; C-反应蛋白,降钙素原显著升高;②胸部影像学示右肺多发浸润影;③动脉血氧分压降低。结合患者的病史和体格检查结果,进一步支持感染性疾病—社区获得性肺炎(community acquired pneumonia,CAP)的诊断。动脉血氧分压降低考虑因肺部大面积炎性病变进而影响气体交换所致。进一步的处理应是立即选择合适的抗感染药物进行治疗。
五、治疗方案及理由
【方案】
哌拉西林钠/他唑巴坦钠4.5g,每12小时1次,静脉滴注。
【理由】
在对CAP实施抗感染治疗时初始治疗常是经验性的。CAP最主要的病原体包括肺炎链球菌,葡萄球菌属、肺炎支原体、肺炎衣原体以及军团菌等,后三者为非典型病原体。根据实验室检查结果初步排除非典型病原体的可能。该患者发病以来曾口服“阿莫西林”,治疗效果不明显,考虑可能是因为阿莫西林适用于不产生β-内酰胺酶菌株的敏感菌,而现在许多病原体对β-内酰胺类抗生素耐药,所以在下一步抗生素的选择上应注意选择β-内酰胺酶抑制剂类抗生素。并且患者伴有腹泻症状,胃肠道疾病多以G-杆菌为主,所以选择可以覆盖球菌、杆菌及厌氧菌的哌拉西林钠/他唑巴坦钠。
评价:实验室检查血清支原体、衣原体、军团菌抗体均阴性,就否定了非典型病原体感染的可能性,这未免“为时尚早”。实验室检查结果只能反映检查时的状态,而疾病发展的特点可以使一些实验室检查结果在不同时间有不同的结果,所以在临床诊治治疗中不能“百分百”依靠和相信实验室检查结果,更不能片面的分析实验室检查结果。这些结果应该与病史及体格检查联系在一起,综合分析,才能发挥其最大作用。
六、治疗效果及临床分析
(一)治疗效果
经哌拉西林钠/他唑巴坦钠治疗5天后,患者体温较前降低,但仍波动在37.5~38.5℃之间。咳嗽加重,多为阵发性刺激性呛咳,咳较多黄色痰,出现胸闷气短,无明显呼吸困难,无胸痛。肺部听诊右肺湿啰音较前增加,虽然给予抗感染及肠道调节菌群等对症治疗,但患者仍有腹泻,且逐渐出现幻觉、语言杂乱等神经系统症状。
复查实验室检查,结果如下:
1.血常规:白细胞计数11.12×109/L,中性粒细胞百分比93.9%,红细胞计数4.43×1012/L,血红蛋白128g/L,血小板计数275×109/L。
2.C-反应蛋白:213.15mg/L,降钙素原:0.375ng/ml。
3.痰菌培养(3次):未生长细菌、烟曲菌。
4.便培养(两次):未见明显异常。
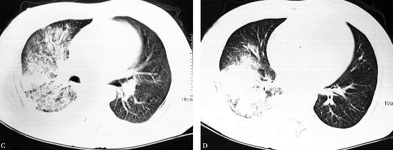
5.胸部CT(治疗5天后):肺部阴影进行性发展(图2)。


图2
(二)临床分析
结合病史、查体、实验室及影像学检查,均支持CAP的诊断。但是经过积极的抗感染治疗,该患者临床症状好转不明显,血生化检查虽有所下降,但仍明显高于正常值,复查胸部CT呈进行性发展,且患者先后出现消化系统及神经系统症状,综合分析上述临床资料可以用一种疾病解释—军团菌肺炎。
评价:原本认为血清支原体、衣原体、军团菌抗体阴性,就可以排除非典型病原体致病的可能性,但通过该患者入院后逐渐出现的临床表现及初始治疗失败进行综合分析后,似乎更倾向于军团菌肺炎。但是入院时检查血军团菌抗体阴性,是原来的实验室检查结果错了吗?错在哪个环节?临床实验室检查结果的判读,不仅要知道其结果所代表的意义,更应该知道其结果假阳性或假阴性所代表的的意义。如果不清楚可能会给临床诊断与治疗带来偏差,甚至酿成大错!
七、再次进行实验室检查
这次不仅完善血清军团菌抗体检测,还进一步完善尿军团菌抗原检测。结果回报:血清军团菌抗体检测仍为阴性,但尿军团菌抗原检测为阳性。据文献报道,即使在军团菌分离培养阳性的患者中,仍有20%~30%的患者在恢复期抗体滴度小于4倍升高,甚至有些患者在发病2个月以后也不会出现血清抗体滴度的升高,但尿抗原检测可以在早期筛查是否有军团菌感染,尿标本中的阳性抗原可持续2周至数个月,且不受是否应用抗生素的影响。补充上述实验室检查后,诊断思路变得清晰起来,该病的致病菌为嗜肺军团菌。
评价:至此才恍然大悟,由于我们“过分依靠”血清军团菌抗体的检测结果,导致该结果回报阴性时,即否认了军团菌肺炎的诊断,其实这是为时尚早的,应进一步完善尿军团菌抗原检查以明确诊断。因此,临床治疗中,对于疑似的致病菌应“刨根问底”。
八、调整治疗方案及疗效
(一)新方案
停用哌拉西林钠/他唑巴坦钠,改用莫西沙星400mg,每日1次,静脉滴注10天;莫西沙星片400mg,每日1次,口服6天。
(二)疗效
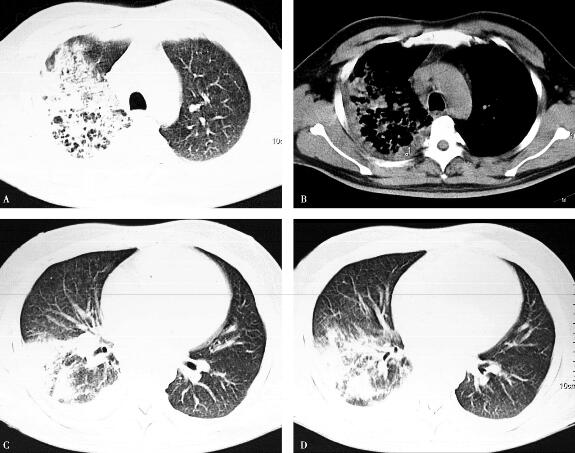
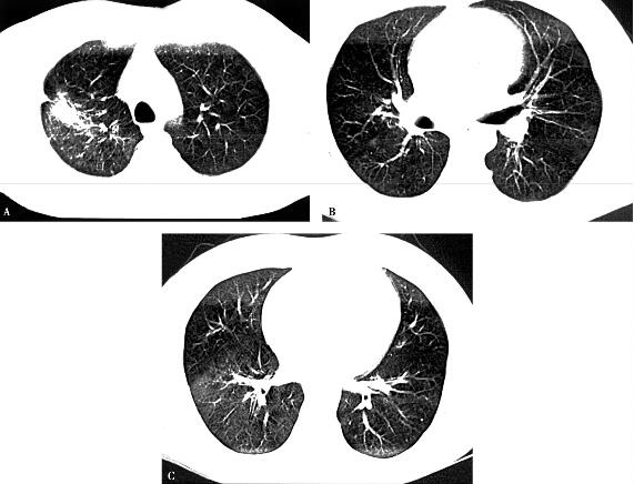
治疗10天后,咳嗽、咳痰症状逐渐消失,肺部听诊未闻及湿啰音,体温正常,消化系统、神经系统症状消失,胸部CT较前略有吸收(图3)。治疗两个月后,随访:无不适症状,胸部CT病变明显吸收(图4)。

图3

图4
【最终诊断】
军团菌肺炎
九、对本病例误诊误治的思考
军团菌肺炎是以肺部炎症为主的全身性疾病,临床表现复杂。可有多个系统临床表现,如呼吸系统、神经系统、消化系统、循环系统、泌尿系统及电解质紊乱等。2007年世界卫生组织将军团菌病分为3种亚型:①肺炎型军团菌病,又称军团菌肺炎;②肺外综合征,即感染从肺部播散至肺外其他系统;③庞蒂亚克热,主要表现为急性发热,病程呈自限性。本病例患者以呼吸系统症状发病,并逐渐出现消化系统、神经系统症状,值得我们思考的是:该患者是同时患有多种系统疾病?还是一种疾病的多种表现?在临床中,如果一种疾病可以解释多种症状,那么就应优先考虑该种疾病。在本病例中,由于入院时血军团菌抗体阴性,就过早否认了军团菌为致病菌的可能性,但是伴随在诊治过程中逐渐出现的问题,且初始治疗效果不理想,再次详细分析病情考虑是军团菌肺炎。到这里,值得我们反思的是:是检查结果出现错误了?还是我们没有真正了解实验室检查结果的意义?
在多种军团菌检测方法中,分离培养是检测军团菌的金标准,但由于军团菌生长速度缓慢,需要3~7天,所以分离培养不利于实验室的快速诊断。血清抗体检测是目前临床上应用最广泛的检测方法,该方法确诊军团菌感染时需要采集急性期和恢复期双份血清,恢复期抗体滴度升高达急性期≥4倍,且滴度1∶128时可确诊。但是在分离培养阳性患者中仍有20%~30%患者在恢复期抗体滴度小于4倍升高,甚至有些患者在发病2个月后也不出现血清抗体滴度的升高,故血清抗体检测缺乏早期诊断意义。而尿抗原的检测是一种简便、快速的诊断方法,在军团菌患者发病的1~3天即可从尿中检测出军团菌抗原,检测时间为15分钟,特异性为100%,为早期诊断提供了依据,但是只适用于检测LP1型,对其他血清型的检测敏感性很低。
该患者最初血军团菌抗体结果为阴性,在没有进行不同时期两份血清的比较即过早否定军团菌为致病菌,是对实验室检查的意义掌握不全面所致,并且没有很好的了解各种检查方法的优缺点,从而错误的判读实验室检查结果,进而在治疗中走了弯路。通过该病例我们应汲取的教训是应该正确的全面的分析实验室检查结果,并且结合临床表现进行分析,对于高度怀疑的病原体,我们应“穷追不舍”,而不是通过一次检查“敷衍了事”。正确分析实验室检查结果是治疗成功与否的关键因素。
综上所述,本病例误诊误治关键点是:①实验室结果分析不全面;②对军团菌肺炎认识不足,没有临床“兴奋灶”;③错误的实验室结果判读导致疾病的误诊误治。
小贴士
军团菌尿抗原检测特点
1.免疫色谱法,检测时间为15分钟。
2.发病的1~3天即可从尿中检测出军团菌抗原。
3.特异性为100%。
4.只适用于检测LP1型。
5.尿标本中的阳性抗原可持续2周至数个月。
6.不受是否应用抗生素的影响。
沈阳医学院附属中心医院 夏书月 郭丹
(环球医学编辑:余霞霞)
来源:《防范与走出常见诊疗误区:呼吸疾病临床病例精粹》
作者:康健
页码:69-75
出版:人民卫生出版社
- 评价此内容
- 我要打分
近期推荐
热门关键词
最新会议
- 2013循证医学和实效研究方法学研讨会
- 欧洲心脏病学会年会
- 世界帕金森病和相关疾病2013年会议
- 英国介入放射学学会2013年第25届年会
- 美国血液学会2013年年会
- 美国癫痫学会2013年第67届年会
- 肥胖学会 2013年年会
- 2013年第9届欧洲抗体会议
- 国际精神病学协会 2013年会议
- 妇科肿瘤2013年第18届大会
- 国际创伤压力研究学会2013年第29届…
- 2013年第4届亚太地区骨质疏松症会议
- 皮肤病协会国际2013年会议
- 世界糖尿病2013年大会
- 2013年国际成瘾性药年会
- 彭晓霞---诊断试验的Meta分析
- 武姗姗---累积Meta分析和TSA分析
- 孙凤---Network Meta分析
- 杨智荣---Cochrane综述实战经验分享
- 杨祖耀---疾病频率资料的Meta分析
合作伙伴
Copyright g-medon.com All Rights Reserved 环球医学资讯 未经授权请勿转载!
网络实名:环球医学:京ICP备08004413号-2
关于我们|
我们的服务|版权及责任声明|联系我们
互联网药品信息服务资格证书(京)-经营性-2017-0027
互联网医疗保健信息服务复核同意书 京卫计网审[2015]第0344号




会员登录

