农民伯伯反复咳嗽咳痰数10年伴双下肢肌肉疼痛 多次治疗均未见效
50岁男性,主要从事农务。平素体质较差,常患感冒。近10年每于受凉感冒后出现咳嗽、咳痰症状,曾于当地医院诊断为“支气管扩张症”,反复发作,无逐年加重趋势,病情迁延至今。本次发病前自述感冒,咳嗽,不剧烈,咳少许白痰,偶有低热,未测体温,常有盗汗,未在意。1个月来明显消瘦,体重减轻约5kg。行胸部CT提示支气管扩张合并肺部感染,应用阿奇霉素抗感染治疗数天(具体不详)病情未缓解,改为氨曲南抗感染治疗,因双下肢疼痛而停用,治疗效果欠佳,后就诊于当地胸科医院,结合患者临床表现及胸部影像学除外肺结核,入笔者医院初步考虑支气管扩张合并肺部感染。
患者男性,50岁,于2012年6月4日入院。
一、主诉
反复咳嗽、咳痰10年,再发1个月。
二、病史询问
(一)初步诊断思路及问诊目的
该患者近10年常在受凉感冒后反复出现咳嗽、咳痰,咳嗽呈阵发性,同时咳少许白痰,曾于当地医院诊断为“支气管扩张症”,应用抗感染药物后好转,冬春季节好发。患者常患感冒,此次因感冒后再次出现上述呼吸道症状,偶有低热,曾于市胸科医院就诊除外肺结核,行胸部CT提示支气管扩张、肺部感染,结合患者既往病史,同时按常见病优先考虑原则,初步考虑该患者为支气管扩张合并肺部感染。因此,问诊主要围绕肺部感染性疾病的诱因(原因)、发病时主要症状特点及持续时间、伴随症状,是否行相关检查及其结果回报,来诊前治疗经过及疗效等,同时注意需要与其他相关疾病鉴别的症状体征,充分寻找符合感染性疾病表现的证据。
(二)问诊主要内容及目的
1.发病前是否有受凉、感冒、淋雨、醉酒史或导致机体免疫功能低下的因素。
患者既往常因受凉感冒出现肺部感染表现,肺部感染常有一定诱因,患者既往有支气管扩张疾病病史,询问上述原因进一步明确此次是否合并肺部感染;醉酒后的误吸可导致吸入性肺炎;免疫功能低下可导致患者易出现感染。
2.发病时是否有发热,体温最高多少度,是否伴发冷及寒战,发热是否有时间规律,是否应用退热药物,有无其他伴随症状,如盗汗、乏力等。
发热可以是感染性疾病,也可以是非感染性疾病,不同疾病热型不同,如患者高热,伴发冷及寒战,则感染性疾病可能性大,血培养明确病原菌具有重要意义;如患者午后低热,且未用退热药物干预,同时伴有盗汗、乏力等症状时,则应高度警惕结核的可能。
3.咳嗽是否伴有咳痰,痰液颜色、性质以及量的多少,是否伴有咯血或痰中带血。
咳嗽,咳黄痰,是细菌感染的重要依据;咳嗽,呈阵发性,干咳或咳少许白痰,同时伴咽痛等,非典型致病菌感染可能性大;咳嗽,伴咯血或痰中带血,应警惕肿瘤、结核等疾病。
4.入院前是否行血常规、胸部CT等相关检查。
患者入院前检查即为发病时的最早证据,有助于疾病初期判断,此后行相关检查与之对比,利于了解疾病进展状况。
5.入院前是否应用药物治疗,何种药物,应用剂量及天数,药物疗效如何,症状缓解情况。
通过了解院外应用药物种类、剂量、疗效及症状缓解情况,帮助进一步评估此次疾病,并有助于分析药物的选择是否合理,同时对入院后的药物选择及应用剂量起指导作用。
6.既往健康状况,有何基础疾病,疾病控制情况如何。
了解患者既往健康状况,对本次疾病诊治有一定提示作用,某些肺部疾病隐袭性存在,如肺结核,当患者机体免疫功能低下,或既往基础疾病控制不佳时(如糖尿病)可出现急性加重。
(三)问诊结果及临床分析
患者为农民,主要从事农务。平素体质较差,常患感冒。近10年每于受凉感冒后出现咳嗽、咳痰症状,曾于当地医院诊断为“支气管扩张症”,反复发作,无逐年加重趋势,病情迁延至今。否认吸烟、饮酒史,否认糖尿病史,否认肺结核病史等。本次发病前自述感冒,咳嗽,不剧烈,咳少许白痰,无痰中带血及咯血,无呼吸困难,偶有低热,未测体温,无发冷及寒战,常有盗汗,未在意。1个月来明显消瘦,体重减轻约5kg。行胸部CT提示支气管扩张合并肺部感染,应用阿奇霉素抗感染治疗数天(具体不详)病情未缓解,改为氨曲南抗感染治疗,因双下肢疼痛而停用,治疗效果欠佳,后就诊于当地胸科医院,结合患者临床表现及胸部影像学除外肺结核,入我院初步考虑支气管扩张合并肺部感染。
【临床分析】
根据患者病史、临床表现及入院前检查,初步考虑患者此次发病原因是感染,可能是细菌、病毒、结核、吸入性因素导致,注意鉴别,还应注意机体免疫功能紊乱所致疾病的可能。通过问诊了解到,患者既往支气管扩张病史10余年,平素体质较差,常患感冒,否认其他基础疾病,否认吸烟、饮酒史。本次发病有感冒诱因,说明患者机体免疫功能欠佳,易于感染,或存在其他机体免疫功能紊乱所导致的疾病,虽有结核菌感染相关表现,但影像学检查只提示支气管扩张合并肺部感染,应在体格检查时重点注意肺部查体,尤其听诊是否存在啰音,并通过血液感染指标检测及微生物学等实验室检查寻找感染的证据。
评价:初次采集病史,对病史进行的临床分析似乎合理到位。但有一个问题却被我们忽略了,患者自院外应用氨曲南后因双下肢疼痛而停用,虽已停药多日,但始终存在双下肢疼痛,且疼痛逐渐加重,甚至影响行走,同时患者自觉低热,常有盗汗。应该就上述问题进行更为详细问诊,但初次的病史采集不够全面详细,仅凭患者症状、既往病史及胸部影像学做出初步判断,未对患者自身免疫功能以及双下肢疼痛的问题做进一步评估及思考,对诊断思路具有帮助的重要信息被忽略了,在疾病正确诊断问题上走了弯路。
三、体格检查
(一)重点检查内容和目的
考虑患者呼吸系统感染的可能性最大,因此在对患者进行系统全面查体的同时,还应重点注意准确测量体温和重点进行肺部查体,尤其是肺部听诊是否存在啰音。
(二)体格检查结果及思维提示
体温37.6℃,呼吸22次/分,脉搏108次/分,血压150/100mmHg。神志清楚,呼吸平稳,自动体位。口唇无发绀,气管居中。胸廓对称,双侧呼吸运动一致,肋间隙无增宽或缩窄,双肺触觉语颤对称,无胸膜摩擦感,双肺叩诊呈清音。听诊双肺呼吸音粗,双上肺可闻及少许哮鸣音,双下肺可闻及小水泡音。心界不大,心音纯,律齐,未闻及奔马律,各瓣膜听诊区未闻及杂音,腹部、四肢、神经等系统检查未见异常。
【临床分析】
初次采集的病史,入院前胸部CT提示双肺支气管扩张合并肺部感染,肺部听诊双肺呼吸音粗,双上肺可闻及少许哮鸣音,双下肺可闻及小水泡音,以上均符合支气管扩张合并肺部感染的诊断思路。体温37.6℃,肺部小水泡音提示有感染,双肺干鸣音表明气道内可能有分泌物或炎症所致痉挛。进一步需行血感染检验及微生物学等实验室检查,主要目的是明确感染病原体,判断病情,为确定治疗方案提供依据,指导药物治疗。
评价:病史中患者应用氨曲南出现双下肢疼痛,停药多日仍逐渐进展,甚至影响行走,但在体格检查时并未对患者四肢及神经系统进行详细检查,是因为前面病史采集时忽略了上述信息,从而对神经系统及四肢查体未引起重视。
四、实验室和影像学检查
(一)初步检查内容及目的
1.血常规、C反应蛋白、血沉:进一步证实感染性疾病。
2.血清支原体、衣原体、军团菌、病毒抗体检查:明确病原。
3.痰细菌涂片、痰菌培养、尿培养、血培养:明确病原。
4.肿瘤系列:与肿瘤疾病相鉴别。
5.痰结核菌涂片、结核抗体:与肺结核相鉴别。
(二)检查结果及临床分析
【检查结果】
1.血常规:白细胞计数12.7×109/L,中性粒细胞百分比80.5%,淋巴细胞百分比11.7%,红细胞计数4.56×1012/L,血红蛋白140g/L,血小板计数489×109/L;C-反应蛋白95.99mg/L;血沉59mm/L;
2.血清支原体、衣原体、军团菌、病毒抗体均阴性;
3.痰细菌涂片未查到致病菌,痰细菌培养:待3天后出结果,尿培养及血培养3~5天结果回报;
4.肿瘤系列均在正常范围;
5.痰查结核菌及结核抗体均阴性。
【临床分析】
检查结果:①末梢血白细胞计数、中性粒细胞百分比均增高;②患者入院时胸部CT提示双肺支气管扩张合并肺部感染。结合患者的病史和体格检查结果,进一步支持感染性疾病即支气管扩张合并肺部感染的诊断,但目前病原学尚不明确。患者发病以来先后间断应用阿奇霉素及氨曲南治疗,考虑可能对病原体覆盖不够或间断用药应用疗程不够,故未能奏效。血常规、C-反应蛋白及血沉异常说明患者仍存在感染,进一步的处理应是立即选择针对覆盖肺部感染病原菌合适的抗感染药物进行治疗。
五、治疗方案及理由
【方案】
哌拉西林钠/他唑巴坦钠3.375g,每8小时1次,静脉滴注。
【理由】
在对支气管扩张合并肺部感染实施抗感染治疗时行微生物学检查尚未明确病原体,因此,初诊治疗常是经验性的。支气管扩张主要的病原体包括流感嗜血杆菌、铜绿假单胞菌、卡他莫拉菌、肺炎克雷伯杆菌、金黄色葡萄球菌等,其中前两者为主要致病菌。本患者为中年人,既往反复感染,应用阿奇霉素后未见效,应用氨曲南因出现双下肢疼痛而被迫停药,该疾病病原体以流感嗜血杆菌,铜绿假单胞菌为主,选用药物应覆盖杆菌,尤其对铜绿假单胞菌有效,所以选择该药作为该患者的经验性抗感染药物。
六、治疗效果及临床分析
(一)治疗效果
经哌拉西林钠/他唑巴坦钠治疗3天,咳嗽、咳痰症状缓解,但体温未下降,反而逐渐升高,高达38.5℃,双下肢仍疼痛,主要是双侧腓肠肌疼痛,疼痛进行性加重,影响行走。此时痰培养、尿培养、血培养回报均未见异常。复查血常规:白细胞计数12.72×109/L,中性粒细胞百分比81.8%,淋巴细胞百分比9.7%,红细胞计数4.32×1012/L,血红蛋白132g/L,血小板计数546×109/L;C-反应蛋白185.63mg/L,血液感染指标均较前升高。
(二)临床分析
患者诊断为支气管扩张合并肺部感染,经过抗感染治疗72小时评估疗效,患者咳嗽、咳痰等肺部感染症状较前缓解,肺部啰音较前明显减少,但目前存在的问题是:①患者发热,体温较前升高,最高为38.5℃,复查血常规、CRP均较前升高,尤以后者升高明显,考虑是否存在特殊病原体感染,或其他部位感染,或合并有其他可导致发热的疾病;②患者自觉双下肢疼痛加重,以肌肉疼痛为主,影响日常生活。
根据上述病情综合评估,考虑患者可能合并有其他疾病,尤其注意结缔组织疾病。因此,暂停哌拉西林钠/他唑巴坦钠,重新寻找证据,进一步详细询问病史,全面体格查体,应注意患者是否有关节变形,患者肌力、双下肢活动度及行走步态等,完善ANCA谱,抗核抗体系列,类风湿系列,HLA-B27等结缔组织疾病相关的实验室检查。
评价:以支气管扩张合并肺部感染进行规范化抗感染治疗,并未达到预期治疗效果,再次评估,发现忽略了一些问题。可见,在疾病诊治中,任何一个环节被忽视,都会影响疾病的判断。再次详细询问病史及查体,进一步完善实验室检查,方能找到问题的症结。
七、再问病史、查体和完善实验室检查结果
通过再次询问病史得知,患者此次发病前即有双下肢疼痛,未在意,感冒后症状逐渐明显,考虑可能由于感冒所致肌肉酸痛而未在意,应用氨曲南静静脉滴注时疼痛较前略加重又考虑由药物所致而停药,入院后疼痛症状进一步加重,乏力症状明显,并影响日常行走。查体患者左下肢下1/3肿胀,左踝部麻木,腓肠肌疼痛,右下肢无肿胀,疼痛症状较左侧轻,双踝关节形态正常,活动自如,无疼痛感,双下肢肌力下降,神经反射存在。完善相关实验室检查回报::①酶学检查:丙氨酸氨基转移酶63IU/L,天门冬酸氨基转移酶40IU/L,肌酸激酶22IU/L,乳酸脱氢酶123IU/L;②免疫相关检验:类风湿因子423.40IU/ml,抗链球菌溶血素“O”61IU/ml,抗中性粒细胞胞浆抗体IgG(+),抗髓性过氧化物酶抗体(+),其他ANCA相关抗体,类风湿抗体系列、抗核抗体系列均阴性;HLA-B27(-);③血清总IgE(+++);④双下肢X线检查未见异常;⑤复查胸部CT:双肺支气管轻度扩张合并感染,双肺点状高密度影;⑥患者体温升高,血培养无异常。
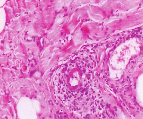
给予患者停药观察后,患者体温仍有升高趋势,体温升至39℃,结合上述补充的临床资料,考虑患者存在结缔组织疾病可能,肌炎?血管炎?经过综合分析,考虑患者肌炎可能性大,因此,进一步完善肌电图及肌活检检查,肌电图提示肌源性损害,周围神经传导速度减慢;腓肠肌肌活检病理:镜下见横纹肌组织内肌间血管扩张出血,周围有较多淋巴细胞浸润,少数肌纤维变性萎缩,肌间脂肪细胞增生,符合多发性肌炎病理改变(图1)。

图1
评价:谜底终于揭晓,患者双下肢肌肉疼痛才是本疾病的关键所在,可见病史采集及查体时,哪怕是一个细微的线索都不能忽略。要做详细全面的分析,才不至于在疾病诊治中走了弯路,才能掌握好疾病诊断的正确思路。
八、调整治疗方案及疗效
(一)新方案
甲泼尼龙40mg,每日1次,静脉滴注;5天后改为泼尼松30mg,每日1次,口服。
(二)疗效
应用激素治疗后,患者体温逐渐下降至热退,双下肢肌肉疼痛症状明显缓解。
【最终诊断】
多发性肌炎(PM)、支气管扩张合并肺部感染
九、对本病例误诊误治的思考
多发性肌炎(polymyositis,PM)是结缔组织病中特发性炎症性肌病的一种,是一组病因未明的以四肢近端肌无力为主的骨骼肌非化脓性炎症性疾病。本病可发生于任何年龄,以女性受累多见,男女之比约为1∶2。常隐袭起病,病情于数周、数月甚至数年发展至高峰。近端肢体肌无力为其主要临床表现,有些患者伴有自发性肌痛与肌肉压痛,可出现肺脏受累如间质性肺炎、肺纤维化及吸入性肺炎等。血常规可见白细胞正常或升高,血沉增快,酶学升高,尤以肌酸激酶升高最敏感,部分患者RF阳性。90%病例可出现肌电图异常,早期发现典型肌源性病变。约2/3病例肌活检呈典型肌炎病理改变,另1/3病例肌活检呈非典型变化,甚至正常。该病起病隐袭,临床症状不明显,易与其他疾病相混淆,且缺乏特异相关实验室检查,病理活检尚有1/3非典型变化,因此容易误诊,故在有相关临床表现时应对本病保持警惕。
该疾病在确诊前被误诊有以下几个原因:
1.临床医师在询问病史方面不够详细,体格检查不仔细,以致忽略了一些重要的阳性症状(如自发性肌痛,肌肉压痛、肢体肌无力等)及体征。
2.临床医师经验不足,对相关鉴别诊断的知识掌握不全面,未尽早行血清酶学、肌电图、肌活检等必要的辅助检查。
3.对该疾病的相关临床表现及诊断要点缺乏全面认识,诊断思维片面局限,整体性不强。该患者就诊时提及双下肢疼痛,但未引起临床医师的重视,加之对该方面疾病知识掌握不充分,未进行详细的问诊,导致临床医生未在结缔组织病方面多做考虑,相关的实验室检查不全面、不及时,诊断证据不足。所以问诊是首要关键的环节。目前临床中结缔组织疾病较为多见,临床医生应对该类疾病引起重视,掌握相关临床知识。
综上所述,本病例误诊误治关键点是:①认症和查体基本功不实;②对并发症认识不足;③初期错误判读导致初期重视不足。
小贴士
老年肺炎临床特点
1.临床表现常不典型;
2.体征无特异性;
3.实验室检查变异大;
4.合并症多、并发症严重。
手抖病因
帕金森综合征,肝豆状核变性,肝性脑病,小脑、脑干病变,脑动脉硬化,脑缺血,药物中毒,痴呆以及心理性因素等。
中国医科大学附属第四医院 王笑歌 刘朔
(环球医学编辑:余霞霞)
来源:《防范与走出常见诊疗误区:呼吸疾病临床病例精粹》
作者:康健
页码:55-59
出版:人民卫生出版社
- 评价此内容
- 我要打分
近期推荐
热门关键词
最新会议
- 2013循证医学和实效研究方法学研讨会
- 欧洲心脏病学会年会
- 世界帕金森病和相关疾病2013年会议
- 英国介入放射学学会2013年第25届年会
- 美国血液学会2013年年会
- 美国癫痫学会2013年第67届年会
- 肥胖学会 2013年年会
- 2013年第9届欧洲抗体会议
- 国际精神病学协会 2013年会议
- 妇科肿瘤2013年第18届大会
- 国际创伤压力研究学会2013年第29届…
- 2013年第4届亚太地区骨质疏松症会议
- 皮肤病协会国际2013年会议
- 世界糖尿病2013年大会
- 2013年国际成瘾性药年会
- 彭晓霞---诊断试验的Meta分析
- 武姗姗---累积Meta分析和TSA分析
- 孙凤---Network Meta分析
- 杨智荣---Cochrane综述实战经验分享
- 杨祖耀---疾病频率资料的Meta分析
合作伙伴
Copyright g-medon.com All Rights Reserved 环球医学资讯 未经授权请勿转载!
网络实名:环球医学:京ICP备08004413号-2
关于我们|
我们的服务|版权及责任声明|联系我们
互联网药品信息服务资格证书(京)-经营性-2017-0027
互联网医疗保健信息服务复核同意书 京卫计网审[2015]第0344号




会员登录

