24岁男子咳嗽发热数天 胸部影像学提示双肺部浸润影
24岁男性,入院3天前因受凉后出现寒战,发热,体温38℃,自服对乙酰氨基酚片(具体用法不详)热退,未进一步系统治疗。1天前再次出现寒战、发热,体温最高达39℃,伴头痛及四肢肌肉痛,自服“阿莫西林胶囊及清开灵口服液”(具体用量不详),仍有发热,咳嗽,为系统诊治来笔者医院。询问病史得知半月前有下呼吸道感染患儿接触史及疲劳和受凉史。该患者怎么了?
患者男性,24岁,于2008年6月23日入院。
一、主诉
寒战、发热3天,干咳1天。
二、病史询问
(一)初步诊断思路及问诊目的
患者青年男性,主要表现为发热,同时伴有咳嗽呼吸道症状,首先考虑感染性疾病,呼吸道感染可能性大。问诊目的主要围绕呼吸道感染性疾病的诱因(原因)、发病时主要症状及特点、伴随症状、是否曾抗感染治疗及效果如何等问题展开,同时应兼顾其他系统感染的临床表现,如胆系感染、尿路感染及传染性疾病。
(二)问诊主要内容及目的
1.发热的分度及热型?有无畏寒、寒战、大汗或盗汗?
发热的分度、热型、伴随症状对发热的原因鉴别有重要意义。
2.咳嗽的性质及程度、有无咳痰、痰的性质和量?
咳嗽的轻重、性质、咳痰情况对咳嗽的原因鉴别有重要意义。
3.发病前是否有受凉、淋雨、醉酒、病毒感染史?
下呼吸道感染如肺炎,常有一定的诱发因素。
4.入院前用药情况?包括具体药物名称、剂量、疗效等。
通过了解院外应用药物种类、剂量、疗效及症状缓解情况,帮助进一步评估此次疾病,并有助于分析药物的选择是否合理,同时对入院后的药物选择及应用剂量起指导作用。
5.有无其他伴随症状,如消化道症状、尿路症状?
有助于与其他系统感染性疾病的鉴别,对于疾病的判断及用药具有指导意义。
6.既往疾病史,重点有无呼吸道慢性疾病史?
某些慢性呼吸系统疾病如支气管扩张、肺结核在急性期会出现发热、咳嗽等表现。
(三)问诊结果及临床分析
【问诊结果】
患者于入院3天前因受凉后出现寒战,发热,体温38℃。无咳嗽,无胸痛。自服“对乙酰氨基酚片”(具体用法不详)热退,未进一步系统治疗。1天前再次出现寒战、发热,体温最高达39℃,伴头痛及四肢肌肉痛,干咳,无咯血及胸痛。自服“阿莫西林胶囊及清开灵口服液”(具体用量不详),仍有发热,咳嗽,为系统诊治来我院。病程中无乏力、盗汗,无声音嘶哑及吞咽困难,无腹痛、腹泻,无尿频、尿急、尿痛,无恶心、呕吐,精神状态尚可,饮食及睡眠欠佳,二便正常,体重无明显减轻。
半月前有下呼吸道感染患儿接触史及疲劳和受凉史。
既往史:否认高血压、糖尿病等疾病。否认肝炎、结核史。有青霉素过敏史。无手术、外伤史。无吸烟史。
【临床分析】
该病例病史特点:半月前有下呼吸道感染患儿接触史及疲劳和受凉史;伴随症状为头痛及四肢肌痛;口服“乙酰氨基酚片、阿莫西林胶囊及清开灵口服液”效果欠佳;一般状况,精神状态尚可,饮食及睡眠欠佳,二便正常,体重无明显减轻。该患者为青年男性,无基础疾病史,院外起病,首先考虑肺炎链球菌、肺炎支原体、流感嗜血杆菌、肺炎衣原体等感染。
三、体格检查
(一)重点检查内容和目的
患者呼吸系统感染的可能性最大,应重点注意咽喉部(如扁桃体)和肺部体征(如叩诊音、语颤、干湿啰音)。同时注意皮肤有无皮疹及腹部体征,以除外传染性疾病、胆系感染、尿路感染等疾病。
(二)体格检查结果及临床分析
体温39.3℃,呼吸22次/分,脉搏110次/分,血压125/80mmHg。神清语明,急性热面容,浅表淋巴结未触及。巩膜无黄染,口唇无发绀,咽充血,扁桃体无肿大,颈静脉无怒张。胸廓对称,双肺呼吸音粗,未闻及干湿啰音。心界不大,心率110次/分,律齐。腹平软,无压痛,肝脾肋下未触及。双下肢无水肿。
【临床分析】
该患者阳性体征表现为发热、心率及呼吸频率增快。无氧合障碍及心脏异常改变体征,肺部无异常啰音,腹部无阳性体征。
评价:患者无确切、有指导意义的阳性体征,但通过一些阴性体征初步排除胆系、尿路、皮肤等部位感染。
四、实验室和影像学检查
(一)初步检查内容及目的
1.血常规、C-反应蛋白、血沉:
进一步证实感染性疾病。
2.血清支原体、衣原体、军团菌、病毒抗体检查:
明确病原。
3.痰细菌涂片、痰细菌培养:
明确病原。
4.动脉血气分析:
评价病情。
5.胸部影像学:
明确诊断并了解病变部位、范围及变化情况。
(二)检查结果
【检查结果】
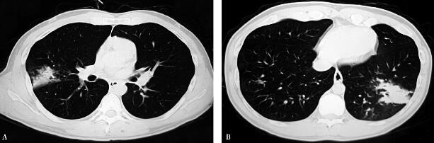
入院前(2008年6月23日)血常规:白细胞计数7.52×109/L,中性粒细胞百分比75.2%;肺炎支原体抗体(IgM)1∶160(+);胸部CT:右肺中叶及左肺下叶可见斑片状、索条状高密度影及实变影(图1A右肺中叶斑片影,B左肺下叶斑片影)。

图1
入院后(24小时内):痰细菌涂片:找到革兰阳性球菌及阴性杆菌;痰中未查到抗酸杆菌;血常规:白细胞计数6.19×109/L,中性粒细胞百分比75.54%;肝功能:丙氨酸氨基转移酶42.5U/L,天门冬氨酸氨基转移酶68.9U/L;肾功能、血糖正常;血沉:25mm/h;心肌酶学:肌酸激酶386U/L;结核抗体:阴性;痰细菌培养:待3天后出结果;动脉血气分析正常;心电图:窦性心律,大致正常。
(三)结果分析及评价
异常结果有以下四点:①血常规白细胞总数正常,中性粒细胞比率增高;②肺炎支原体抗体(IgM)1∶160(+);③肝功转氨酶及心肌酶学增高;④胸部影像学示双肺浸润影。
评价:从血常规、肺炎支原体抗体及胸部影像学检查结果来看,支持肺炎、肺炎支原体感染诊断。此时临床医生单纯地认为是肺炎支原体的感染,而未考虑可能合并其他病原体的混合感染,从而导致了治疗的片面性。
五、诊断及分析
结合患者的病史和体格及辅助检查结果,支持感染性疾病——社区获得性肺炎的诊断。病原学:肺炎支原体。
支原体肺炎临床表现及诊断标准:
1.症状
好发于秋冬季节,一般呈散发,也可发生小流行。起病缓慢,常有剧烈头痛、畏寒、发热、厌食、乏力等。伴有咽痛、顽固性刺激性咳嗽,有时咳嗽迁延日久。少数患者可并发中枢神经系统病症。
2.体征
胸部一般无明显异常体征,约半数可闻及干性或湿性啰音,约10%~15%病例发生少量胸腔积液。
3.血清学改变
肺炎支原体(MP)检测方法中被喻为诊断金标准的支原体培养阳性率较低,目前临床上多用MP抗体检测。而对MP急性感染诊断当属MP-IgM检测。MP感染1周后抗体产生,3~6周可达高峰,2~3个月后逐渐下降。通常检测滴度阳性起点为1∶40,但在临床上因隐性感染存在,此值多无临床意义。一般认为双份血清(间隔2周)恢复期抗体滴度上升4倍或下降至原来的1/4或MP-IgM抗体滴度持续>1∶160为判定标准。检测MP-IgG无早期诊断价值,可供回顾性诊断。
4.影像学表现
MP肺炎的胸部X线异常率明显高于肺部体征阳性率,其表现呈多样性,病变以单侧为主,其中以肺下野最多见,右侧多于左侧。最常见的胸部X线改变是与肺的区域分布相一致的容量减少的阴影,这与受累部位的支气管管壁肿胀、管腔堵塞、通气不畅,导致病变区域的气体吸收,局部容量减少有关。部分病例不典型,胸部X线显示类似肺结核、细菌性大叶肺炎、病毒性肺炎时,可行CT检查进一步协助诊断。同时,CT可以更好的观察有无肺门和纵隔淋巴结肿大,有利于发现胸部X线难以观察到的节段性肺不张,并能发现少量的胸腔积液。出现节段性肺不张或局灶性充气不均的阴影,多提示存在局灶性的小气道阻塞,部分患者存在马赛克灌注征、支气管扩张、磨玻璃阴影等闭塞性细支气管炎的影像学特点。
5.临床诊断
有发热、咳嗽、呼吸困难及肺部啰音;胸部X线有片状影或相应影像学改变;MP血清学检测阳性;肺外并发症(肺外脏器受累):可累及心、脑、肾、淋巴、血液系统等,并出现相应受累症状与体征,如出现胸腔积液、MP脑炎、感染后肾炎、心肌炎、血小板减少性紫癜等。
评价:该病例支原体感染诊断成立,但实际上患者影像学改变与典型的支原体肺炎表现并不是十分相符,由于支原体肺炎影像学的多样性,造成了我们的疏忽。
六、治疗方案及理由
【方案】
1.一般治疗
静脉补液量每天1500ml,口服补液量每天2000ml。
2.抗生素治疗
阿奇霉素注射液0.5g,加入5%葡萄糖注射液中静脉滴注,每日1次。
3.辅助治疗
体温达38.5℃以上予布洛芬混悬液10ml口服。
【理由】
支原体肺炎治疗首选大环内酯类抗生素。同时应给予支持治疗,包括卧床休息、补充蛋白质、热量及维生素,防止休克。对发热、干咳、头痛等可对症治疗。
七、治疗效果及临床分析
(一)治疗效果
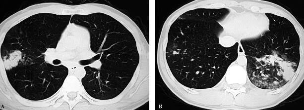
治疗三天后,患者体温不下降,仍持续在38~39℃;咳嗽加重,出现咳黄痰;肺部听诊出现左下肺湿啰音;胸部CT(6月26日)提示感染面积扩大(图2A右肺中叶斑片影,B左肺下叶斑片影);实验室检查示支原体抗体(IgM)>1∶320;痰培养:肺炎链球菌生长。

图2
(二)临床分析及评价
患者社区获得性肺炎诊断成立:社区感染,急性起病,患病半月前有下呼吸道感染患儿接触史及疲劳和受凉史,病程早期呼吸道症状不明显(MP感染特点),支原体抗体(IgM)增高并有动态变化支持支原体肺炎的诊断。但经治疗仍持续高热,咳嗽加重,出现黄痰,应考虑是否为多重病原体感染,经痰培养证实合并肺炎链球菌感染。
MP的混合感染在临床也并不罕见,对于重症MP感染的患者和对大环内酯类抗生素治疗反应不佳的患者要考虑有混合感染的可能。常见的社区获得性呼吸道感染病原是MP感染时主要的混合感染病原体,包括呼吸道合胞病毒、腺病毒、肺炎链球菌、流感病毒、肺炎衣原体、流感嗜血杆菌等病原体混合感染,有个别病例合并3种病原体的感染。一般来讲混合感染的病例,病程长,发热时间长,肺部啰音和肺部阴影吸收时间也偏长,造成临床治疗棘手,应及早进行多病原的联合检测及治疗。
评价:从入院时患者的临床症状及实验室检查结果来看诊断非常明确,从而造成了我们对于一些可能合并的其他情况放松了警惕,忽视了肺炎支原体混合感染的可能。该患者经痰细菌培养证实合并肺炎链球菌感染,而目前肺炎链球菌对大环内酯类抗生素耐药率较高,故治疗无效。
八、调整治疗方案及疗效
(一)新方案
1.抗生素
环丙沙星注射液0.2g,每12小时1次,静脉滴注(协同抗支原体感染,覆盖肺炎链球菌及其他G-杆菌)。
2.化痰药
盐酸氨溴索注射液30mg,每日两次,静脉滴注。
3.其他
美敏伪麻溶液、孟鲁司特钠片,口服。
(二)疗效
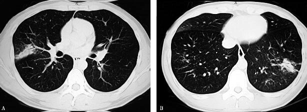
24小时后体温下降。咳嗽减轻,痰易咳出,头痛及四肢肌痛基本缓解。酶学检查:恢复正常。胸部CT表现(2008年7月1日):病灶明显吸收(图3A右肺中叶斑片影、B左肺下叶斑片影)。

图3
九、对本病例误诊误治的思考
肺炎支原体是成人和学龄前儿童呼吸道感染常见的病原菌之一。在国内报道支原体肺炎在社区获得性肺炎中占22.3%~36.0%。支原体肺炎每隔4~8年出现一次流行高峰。临床表现不典型,不仅引起呼吸道、肺部炎症,还可导致肺外多器官系统的并发症,表现在肝脏、肾脏、心血管、神经、血液、皮肤等。可出现低热、中热,也可出现高热。该病例支原体感染诊断明确,但忽视了其可能出现混合感染的发生。对于肺炎治疗48~72小时进行评价,如治疗无效,除应考虑到特殊病原体感染(如结核分枝杆菌、真菌、病毒等)、出现并发症或存在影响疗效的宿主因素(如免疫抑制)、非感染性疾病、药物热外,还应注意到是否药物未能覆盖致病菌或细菌耐药。该病例提示我们认症的重要性,要通过熟练掌握病史采集、体格检查、医学理论支持及医学实践提高认证能力,避免和减少误诊、误治发生。
综上所述,本病例误诊误治关键点是:①对支原体肺炎认识不足;②过于依赖实验室病原学检查,对疾病缺少综合分析;③初期误诊导致初期误治。
小贴士
支原体肺炎的治疗原则
1.对仅有上呼吸道症状的肺炎支原体感染,不需要进行抗生素治疗;
2.支原体肺炎虽然有一定的自限性,但仍应进行抗生素治疗以缩短病程并减少其传染性;
3.抗生素的使用首选大环内酯类,也可选用四环素类(老年人)和喹诺酮类。Mp对β-内酰胺类抗生素天然耐药,磺胺类对Mp也没有作用;
4.抗生素使用一般应持续7~10天,但口服用药延长至14~21天也是合适的;
5.除使用抗生素外,还应采取一些对症治疗措施,如止咳药、退烧药、止痛剂等。
中国医科大学附属第四医院 王笑歌 李方治
(环球医学编辑:余霞霞)
来源:《防范与走出常见诊疗误区:呼吸疾病临床病例精粹》
作者:康健
页码:59-64
出版:人民卫生出版社
- 评价此内容
- 我要打分
近期推荐
热门关键词
最新会议
- 2013循证医学和实效研究方法学研讨会
- 欧洲心脏病学会年会
- 世界帕金森病和相关疾病2013年会议
- 英国介入放射学学会2013年第25届年会
- 美国血液学会2013年年会
- 美国癫痫学会2013年第67届年会
- 肥胖学会 2013年年会
- 2013年第9届欧洲抗体会议
- 国际精神病学协会 2013年会议
- 妇科肿瘤2013年第18届大会
- 国际创伤压力研究学会2013年第29届…
- 2013年第4届亚太地区骨质疏松症会议
- 皮肤病协会国际2013年会议
- 世界糖尿病2013年大会
- 2013年国际成瘾性药年会
- 彭晓霞---诊断试验的Meta分析
- 武姗姗---累积Meta分析和TSA分析
- 孙凤---Network Meta分析
- 杨智荣---Cochrane综述实战经验分享
- 杨祖耀---疾病频率资料的Meta分析
合作伙伴
Copyright g-medon.com All Rights Reserved 环球医学资讯 未经授权请勿转载!
网络实名:环球医学:京ICP备08004413号-2
关于我们|
我们的服务|版权及责任声明|联系我们
互联网药品信息服务资格证书(京)-经营性-2017-0027
互联网医疗保健信息服务复核同意书 京卫计网审[2015]第0344号




会员登录

