女学生喘息、呼吸困难2周 以支气管哮喘治疗数天却仍不缓解
21岁女学生,遇冷空气有打喷嚏、流涕症状,未经医院诊断过敏性鼻炎。追溯近两个月来时有胸闷、气短症状,时轻时重,但未引起注意。此次喘息发作前家里正装修房子,油漆气味刺鼻,感到胸闷、气短症状加重,出现喘息,有“咝咝”的喘鸣音,夜间加重,有时憋醒。在当地医院急诊应用氨茶碱静脉滴注,头孢呋辛静脉滴注一周,沙丁胺醇气雾剂按需吸入,有时喘息稍有缓解,有时无效。自觉咳痰费力,偶尔咳出一口痰液呈微黄色。症状逐渐加重来笔者医院就诊。
女性,21岁,2006年12月入院。
一、主诉
喘息、呼吸困难2周。
二、病史询问
(一)初步诊断思路及问诊目的
患者年轻,起病急,病程短,以喘息、呼吸困难为主要表现。按呼吸系统常见病多发病考虑应当将支气管哮喘放在首位。在病史询问中应当注意问诊发病时的主要症状、伴随症状、诱发因素,院外治疗经过,并注意问诊鉴别诊断的临床表现,以寻找符合支气管哮喘诊断的证据。
(二)问诊主要内容及目的
1.发病前是否存在诱发因素?
支气管哮喘急性发作常常与接触过敏原、异常气味刺激、呼吸道感染等诱发因素有关。
2.以前病史中有无类似的喘息发作,既往有无过敏性鼻炎病史?
支气管哮喘有的儿时发病,有反复发作性喘息的临床特点。过敏性鼻炎常可伴发支气管哮喘,两种疾病是上下气道共同的慢性炎症性疾病。
3.从事何种职业?
一些职业因素接触如异氰酸酯等能引起支气管哮喘,称为职业性哮喘。
4.有无吸烟史?
与慢性支气管炎急性发作鉴别。
5.近期有无骨折、外科手术史?
呼吸困难症状需与肺栓塞鉴别,骨折、外科手术是肺栓塞最常见的危险因素,呼吸困难是肺栓塞常见的临床症状。
6.院外治疗经过?
院外曾用何种药物治疗?经治疗后喘息症状是否得到缓解?
(三)问诊结果及临床分析
患者为学生。既往身体健康,无吸烟史,无喘息病史,近期无骨折及外科手术史。遇冷空气有打喷嚏、流涕症状,未经医院诊断过敏性鼻炎。追溯近两个月来时有胸闷、气短症状,时轻时重,但未引起注意。此次喘息发作前家里正装修房子,油漆气味刺鼻,感到胸闷、气短症状加重,出现喘息,有“咝咝”的喘鸣音,夜间加重,有时憋醒。在当地医院急诊应用氨茶碱静脉滴注,头孢呋辛静脉滴注一周,沙丁胺醇气雾剂按需吸入,有时喘息稍有缓解,有时无效。自觉咳痰费力,偶尔咳出一口痰液呈微黄色。症状逐渐加重来诊。
【临床分析】
通过问诊可以明确,患者既往可能存在过敏性鼻炎,本次发病以喘息、呼吸困难为主,油漆气味可能为诱发因素,符合支气管哮喘的特点。应在体格检查中注意肺部体征,如肺部听诊是否有广泛的哮鸣音。并通过实验室及辅助检查寻找支气管哮喘诊断及发作严重程度的证据。患者年轻,无吸烟史,近期无骨折及外科手术史,可排除慢性支气管炎急性发作及肺栓塞。
评价:初次病史采集,看似很完整,对既往史、诱发因素、临床表现的特点、治疗经过、病情缓解方式等方面都做了详细的问诊,对问诊内容的临床分析也合乎情理,对疾病的诊断已考虑支气管哮喘的急性发作,问诊内容也支持此诊断。但是在问诊中忽略了一个细节,患者“胸闷、气短症状时轻时重”,没有继续往下追问何时轻?何时重?病史采集者忽略了这一重要的诊断线索,导致临床思维的偏离。
三、体格检查
(一)重点检查内容和目的
考虑患者支气管哮喘急性发作的可能性很大,因此在对患者进行系统、全面地体格检查的同时,应重点注意肺部体征,尤其是肺部听诊情况。为判断支气管哮喘急性发作的严重程度,还要注意患者的一般状态、神志状态、口唇有无发绀等情况,以判断有无呼吸衰竭。
(二)体格检查结果及临床分析
体温36.2℃,呼吸36次/分,脉搏106次/分,血压120/80mmHg。神志清楚,问话能正确回答。呼吸急促,坐位略前倾,多汗。口唇发绀,气管居中,无三凹征。胸廓对称,双侧呼吸运动一致,双肺弥漫广泛哮鸣音,不用听诊器就可听到“咝咝”似拉风箱样的喘鸣音,无湿啰音。心界不大,心音纯,心率106次/分,节律规整,各瓣膜区未闻及杂音。腹部、四肢、神经等系统检查未见异常。
【临床分析】
体格检查结果与问诊后初步考虑支气管哮喘的诊断思路相吻合。患者呼吸促、脉搏快、前倾坐位、多汗、肺部体征等提示支气管哮喘的急性发作,口唇发绀提示有缺氧症状。进一步的实验室和辅助检查的主要目的是明确有无呼吸衰竭及鉴别肺部有无其他疾病。
评价:病史中患者“气短症状时轻时重”,体检时患者呈略前倾坐位,这些信息都未能引起足够的重视,是因为前面病史采集时漏掉了重要信息,从而不能将其联系在一起做进一步的问诊病史补充,仍一味地考虑是支气管哮喘急性发作所致。
四、实验室及辅助检查
(一)初步检查内容及目的
1.血常规:进一步证实有无嗜酸细胞增高,有无感染征象。
2.血清总IgE和特异性IgE,查找过敏因素。
3.动脉血气分析:评价哮喘急性发作的病情严重程度。
4.胸部影像学:与其他肺部疾病鉴别。
5.肺功能检查:评价病情严重程度。
(二)检查结果及临床分析
【检查结果】
1.血常规:白细胞计数11.2×109/L,中性粒细胞百分比78%,淋巴细胞百分比18%,单核细胞百分比2%,嗜酸性粒细胞百分比2%。
2.血清总IgE 167IU/ml,特异性IgE阴性。
3.动脉血气分析(未吸氧):pH 7.48,PaO2 69.5mmHg,PaCO2 29.8mmHg。
4.肺功能检查:患者喘息重,无法去肺功能室接受肺功能检查。床边行峰流速测定,PEF 180L/min,占预计值40%。吸入支气管舒张剂沙丁胺醇气雾剂(2喷)20分钟后PEF 190L/min,改善率5.6%。
5.胸部X线检查:双肺未见异常。
【临床分析】
重要的检查结果有三项:①末梢血白细胞计数、中性粒细胞百分比均增高,嗜酸性粒细胞正常,提示有感染;②血气分析示动脉血氧分压降低,动脉二氧化碳分压降低,血pH增高,提示低氧血症,失代偿性呼吸性碱中毒;③肺功能检查提示阻塞性通气功能障碍,支气管舒张试验阴性。考虑支气管哮喘急性发作,严重程度判断为中度。因哮喘持续不缓解,气道痉挛,痰液阻塞引流不畅导致感染。支气管舒张试验阴性虽然不符合支气管哮喘的诊断标准,但是在哮喘急性发作时,气道高度痉挛,患者吸气不足,吸入支气管舒张剂后不能屏气,使药物不能达到下呼吸道发挥支气管舒张效应,也是在哮喘急性发作时肺功能检查支气管舒张试验阴性的常见原因。尽管患者在院外已经应用氨茶碱等治疗措施,但是病情未缓解,并进行性加重,进一步的处理应立即使用有效的抗炎、平喘及抗感染治疗。目的有三:①控制支气管哮喘急性发作;②治疗感染;③通过治疗反应进一步明确诊断或修正诊断。
评价:除了血清总IgE水平升高外,实验室检查中没有发现与支气管哮喘相关的反应过敏因素指标的异常,辅助检查肺功能支气管舒张试验阴性,仅用支气管哮喘急性发作时对吸入支气管舒张剂的反应不好来解释,没有更深入的思考是否还有其他病因。
五、治疗方案及理由
(一)抗炎
甲泼尼龙40mg,每日2次,静脉滴注。
【理由】
根据支气管哮喘防治指南,支气管哮喘急性发作一经诊断,应尽快使用有效的抗炎治疗,糖皮质激素为最有效的抗炎药物,甲泼尼龙为中效激素,起效较快,维持时间较长,安全性较好。本例患者为中度哮喘发作,选择日剂量80mg,分两次使用。
(二)平喘
多索茶碱0.2g,每日2次,静脉滴注;沙丁胺醇雾化溶液5mg,经雾化泵每日3次吸入。
【理由】
哮喘急性发作时气道高度痉挛,需要尽快使用支气管舒张剂缓解气道痉挛,使支气管舒张,有利于缓解症状及痰液引流,减轻感染。
(三)抗感染
头孢哌酮钠/舒巴坦2.0g,每日2次,静脉滴注。
【理由】
哮喘急性发作时,气道高度痉挛,远端气道陷闭,痰液引流不畅,引发感染。且患者末梢血白细胞增高,中性粒细胞百分比增高,均提示感染存在。患者在住院前已经应用二代头孢菌素(头孢呋辛)抗感染治疗一周无效,考虑随着病情迁延,可能存在耐药菌(如对β-内酰胺酶耐药菌)感染,故选择头孢哌酮钠/舒巴坦抗感染治疗。
(四)化痰
盐酸氨溴索30mg,每日2次,静脉注射。
【理由】
哮喘急性发作时,气道高度痉挛,远端气道陷闭,痰液引流不畅,容易形成黏液栓,黏液栓阻塞气道会加重气道痉挛,形成恶性循环,哮喘不易缓解。使用化痰药物作为辅助治疗。
(五)补液
【理由】
患者哮喘急性发作,呼吸困难,多汗,失水较多,补水不足。水分的缺失更易造成痰液黏稠形成黏液栓,加重气道痉挛。
六、治疗效果及临床分析
【治疗效果】
经上述治疗3天,病情仍不缓解,喘息时轻时重,重时端坐呼吸,口唇发绀,大汗淋漓,出现三凹征,心率加快达120次/分。静脉推注毛花苷丙(西地兰)0.2mg后诉稍有缓解,继而又再次加重。增加甲泼尼龙静脉推注剂量,日剂量达到160mg,喘息症状仍无明显缓解。复查血气分析,吸氧3L/min,pH 7.33,PaO2 62mmHg,PaCO2 46mmHg。
【临床分析】
对患者拟诊支气管哮喘急性发作,按照指南规范治疗3天,喘息症状仍不缓解,应考虑以下问题:
1.治疗尚未到位?
哮喘急性发作持续时间长,气道高度痉挛,远端气道陷闭,黏液栓形成,阻塞气道,痉挛不缓解。血气分析提示低氧血症,二氧化碳出现潴留倾向,出现呼吸性酸中毒。是否需要加大激素剂量,或采用气管插管吸痰、机械通气等治疗。
2.诊断是否有误?
患者年轻,按病史及目前检查考虑支气管哮喘急性发作的可能性大。但是在辅助检查中仅行胸部X线检查是否能完全排除其他疾病。是否需要进一步增加其他辅助检查,如胸部CT检查。
评价:原本认为支气管哮喘急性发作的诊断思路是合理的,但经过规范化抗炎、平喘治疗的“验证”,支气管哮喘急性发作的诊断似乎并不合理。原来的诊断思路错了吗?错在哪个环节?临床实践的任何一个环节,如病史采集、查体、实验室检查结果的判读、治疗效果的评估等都可以影响诊断思路。如果不清楚错误发生在哪个环节,就应该回到临床诊断的原点—重新询问病史。病史中气短症状时轻时重,到底何时轻?何时重?有时夜间症状加重有憋醒,在什么情况下加重?这些都是需要补充询问的。
七、再问病史和辅助检查结果
通过再次详细并有针对性的询问病史得知:患者喘息症状在右侧卧位时加重,右侧卧位睡眠夜间有憋醒,左侧卧位时有减轻,近两个月来上述症状逐渐加重。医生在场时嘱患者分别左侧及右侧卧位,患者右侧卧位仅几分钟,喘息骤然加重,甚至窒息,患者被迫坐起,呼吸急促,张口喘气。左侧卧位时未出现上述症状。
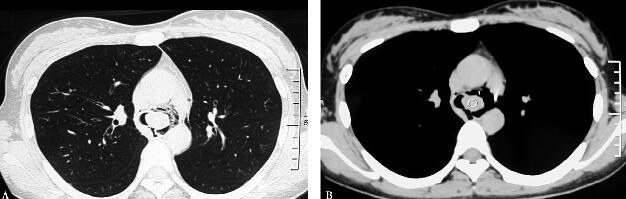
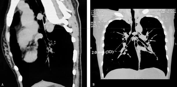
补充上述病史资料后,诊断思路逐渐清晰,患者气道内有阻塞因素,是异物附着在气管壁上?还是气管内肿物?需要进一步做胸部CT检查。胸部3D CT结果显示在隆突上方主气管内生长一肿物(图1A肺窗、B纵隔窗;图2A矢状位、B冠状位),左侧有蒂。因此解释了患者的临床症状特点,右侧卧位时,肿物下坠,将气管完全阻塞,造成患者窒息。左侧卧位时肿物与支气管右侧壁间留有缝隙,使呼吸困难稍有缓解。当气流通过狭窄的气管缝隙时产生哮鸣音,出现喘息症状。并随着肿物的增长,症状日趋严重。继而行纤维支气管镜检查,在隆突上方有圆形结节样肿物几乎将气管完全阻塞(图3),因肿物位置较高,未做活检,活检取材可能因创面出血导致窒息危及生命。

图1

图2

图3
评价:至此患者的诊断方才明朗,原来是大气道肿物。一系列的胸闷、气短、喘息症状均是肿物阻塞气道所致。在病史中被忽视的“症状时轻时重、夜间憋醒”正是诊断最重要的信息,但是对支气管哮喘发作的表现,其特点与体位的关系未加以仔细询问,造成误诊。
八、调整治疗方案及疗效
立即请胸外科会诊,考虑到大气道肿物,且生长速度很快,患者已经出现Ⅱ型呼吸衰竭,时间刻不容缓,立即急诊开胸手术切除肿物。术后患者喘息、呼吸困难症状消失。术后一周肿物病理结果回报:大气道平滑肌瘤。
九、对本病例误诊误治的思考
尽管大气道平滑肌瘤为良性病变,但是因肿物生长部位在大气道,造成气道狭窄。早期症状类似支气管哮喘急性发作。平滑肌瘤生长速度快,后期阻塞气道,出现呼吸衰竭,可危及生命。肺通气功能检查呼气曲线的图形对大气道梗阻有提示,呼气曲线常表现半圆形,不像正常呼气曲线,没有陡峭的吸气峰和呼气下降的坡度,而是呈馒头样的图形。遇到此种图形,有经验的肺功能技师会提醒医生可能存在大气道梗阻,需要进一步行胸部CT检查,因为胸部X线检查不能看到大气道肿物。该患者因病情重,无法去肺功能室行肺通气功能检查,仅在床边行简易肺功能峰呼气流速测定,得不到呼气曲线图形,未能及早发现大气道肿物的线索。
(一)问诊的重要性
患者在初诊时主诉气短、胸闷症状时轻时重,夜间有憋醒,病史采集者仅把它认为是支气管哮喘发作的症状,未加以详细询问症状的特点,致使初诊时症状与体位的关系这一重要的信息被遗漏。而恰恰这一病史特点是提示诊断的关键。支气管哮喘急性发作时,患者确实喜坐位,平卧位会有喘息加重,但是与左侧或右侧卧位并无相关。若在初诊时问出此特点,尽早行胸部CT检查,也可避免误诊误治。
(二)寓诊断于治疗中
本病例初诊时考虑支气管哮喘急性发作,立即实施治疗是必要的。观察疗效的过程也是诊断的过程。治疗效果与预期一致,则证明诊断正确;反之,治疗效果与预期不一致,应立即查找原因,补充病史、补充实验室及辅助检查,尽快修正原诊断,并针对新的诊断积极治疗。这种“寓诊断于治疗中”的思维方法常用于临床实践中。
综上所述,本病例误诊误治关键点是:①初诊病史询问不细致;②临床思路单一,对大气道肿物这一疾病认识不足,鉴别诊断不够;③初期误诊导致初期误治。
中国医科大学附属第一医院 孔灵菲
(环球医学编辑:余霞霞)
来源:《防范与走出常见诊疗误区:呼吸疾病临床病例精粹》
作者:康健
页码:43-48
出版:人民卫生出版社
- 评价此内容
- 我要打分
近期推荐
热门关键词
最新会议
- 2013循证医学和实效研究方法学研讨会
- 欧洲心脏病学会年会
- 世界帕金森病和相关疾病2013年会议
- 英国介入放射学学会2013年第25届年会
- 美国血液学会2013年年会
- 美国癫痫学会2013年第67届年会
- 肥胖学会 2013年年会
- 2013年第9届欧洲抗体会议
- 国际精神病学协会 2013年会议
- 妇科肿瘤2013年第18届大会
- 国际创伤压力研究学会2013年第29届…
- 2013年第4届亚太地区骨质疏松症会议
- 皮肤病协会国际2013年会议
- 世界糖尿病2013年大会
- 2013年国际成瘾性药年会
- 彭晓霞---诊断试验的Meta分析
- 武姗姗---累积Meta分析和TSA分析
- 孙凤---Network Meta分析
- 杨智荣---Cochrane综述实战经验分享
- 杨祖耀---疾病频率资料的Meta分析
合作伙伴
Copyright g-medon.com All Rights Reserved 环球医学资讯 未经授权请勿转载!
网络实名:环球医学:京ICP备08004413号-2
关于我们|
我们的服务|版权及责任声明|联系我们
互联网药品信息服务资格证书(京)-经营性-2017-0027
互联网医疗保健信息服务复核同意书 京卫计网审[2015]第0344号




会员登录

