一工人咳嗽、呼吸困难2年咯血1周 治疗数天后不幸死亡
49岁工人,主要从事装卸工作,每天接触汽车尾气。慢性咳嗽,呼吸困难2年,外院曾诊断为间质性肺疾病(ILD)。1周前因受凉感冒为诱因出现咳嗽、咳痰,痰为脓性,咯血,为痰中带血。2天前咳嗽、咳痰加重伴发热。该患者患有……
患者男性,49岁,于2011年1月10日入院。
一、主诉
咳嗽、呼吸困难2年,咯血1周,加重伴发热2天。
二、病史询问
(一)初步诊断思路及问诊目的
患者既往健康,年龄相对较轻,诊断为间质性肺疾病(ILD)已经2年,原有慢性咳嗽,呼吸困难症状2年,外院曾诊断为“间质性肺疾病”,新近出现发热,咳痰,咯血等呼吸道症状,按常见病优先考虑的原则,首先考虑到呼吸系统感染性疾病,然后考虑间质性肺疾病进展加重。因此,问诊目的主要围绕感染性疾病及间质性肺疾病的诱因(原因)、发病时主要症状及特点、伴随症状,是否曾抗感染治疗及效果如何等问题展开,并兼顾寻找间质性肺疾病的病因。
(二)问诊主要内容及目的
1.发病前是否有明显的诱发因素?例如特殊职业、特殊物质接触史。
下呼吸道感染或肺炎患者常有一定的诱发因素,如受凉,劳累,醉酒等。间质性肺疾病分为原因已明和原因未明,特殊职业及接触史可帮助查找病因。
2.呼吸困难是否加重?咳嗽是否伴有咳痰或黄痰?有无咯血?
如间质性肺疾病进展或感染可导致呼吸困难加重,伴随咳黄痰则是感染的重要依据,咯血则可能是肺结核、肺癌、支气管扩张症、肺栓塞。
3.整个病程体温的变化规律。
不同疾病会呈现不同的热型,治疗干预也影响体温的变化。
4.入院前是否应用了糖皮质激素及抗生素?其他药物应用情况?效果如何?
通过了解院外激素应用情况来考虑间质性肺疾病进展及控制情况,通过了解抗生素治疗的情况来考虑感染性疾病的严重性及可能性,并进一步分析药物的选择是否合理等问题。
5.既往有何种疾病,在当地医院已行哪些检查?
以此来了解间质性肺疾病的诊断是否合理,是否行间质性肺疾病相关的病因筛查。
(三)问诊结果及临床分析
患者为工人,主要从事装卸工作,每天接触汽车尾气。既往身体健康,无呼吸系统疾病病史,无心脏病及无风湿病病史,无禽类接触史,无特殊粉尘接触史,无双下肢水肿及静脉炎病史,无外伤,手术及骨折病史。有慢性咳嗽,呼吸困难症状2年,外院曾诊断为间质性肺疾病(ILD)。本次发病为冬季急性起病,1周前因受凉感冒为诱因出现咳嗽、咳痰,痰为脓性,咯血,为痰中带血。2天前咳嗽、咳痰加重伴发热。
【临床分析】
通过问诊可明确,患者既往无呼吸系统疾病,本次发病符合肺部感染性疾病的特点,应在体格检查时重点注意肺部听诊是否存在啰音,并通过实验室检查和影像学检查寻找感染的证据。呼吸困难,咯血主要考虑如下原因:①肺纤维化合并感染;②支气管扩张;③不除外结核,真菌或特殊细菌感染;④不除外马乔林溃疡。
评价:临床常见咯血原因很多,常见于支气管疾病、肺实质性疾病、肺血管疾病和心血管疾病以及血液病,如:支气管扩张症、肺癌、肺结核、肺炎、肺脓肿、肺栓塞、肺血管畸形、二尖瓣狭窄、肺水肿、白血病等。此病例对问诊内容进行的临床分析还不够全面,尤其是对咯血的可能因素没有综合考虑、分析,考虑感染所致病情加重可以一元论解释病因。
三、体格检查
(一)重点检查内容和目的
考虑患者肺炎的可能性最大,不除外合并间质性肺疾病,因此在对患者进行系统地、全面地检查同时,应重点注意准确测量体温和肺部体征,尤其是啰音的变化及生命体征,同时应该注意各种并发症所表现的临床体征。
(二)体格检查结果及临床分析
体温38.8℃,呼吸45次/分,脉搏120次/分,血压150/90mmHg,SpO2 80%。神志清楚,呼吸急促,自主体位。口唇发绀,气管居中,无三凹征。胸廓对称,双侧呼吸运动一致,双肺叩诊呈清音,双肺听诊可闻及广泛湿啰音(中小水泡音及Velcro啰音)。心界不大,律整,未闻及奔马律,心音弱,P2大于A2,三尖瓣听诊区可闻及3/6级收缩期杂音。腹部、四肢、神经等系统检查未见异常。
【临床分析】
体格检查结果与问诊后初步考虑与肺部感染的思路相吻合。体温38.8℃,肺部听诊吸气相可闻及广泛中小水泡音及Velcro啰音,水泡音提示肺部感染,Velcro啰音提示间质性肺疾病的存在,心脏检查P2略大于A2,考虑肺动脉高压,进一步实验室和影像学检查的主要目的是明确是否存在弥漫性间质性肺疾病及病变部位、严重程度、病原学,并判断病情,为治疗方案提供依据。
评价:病史中及体格检查患者间断咯血和气急未能引起足够的重视,是因为肺炎和间质性肺疾病均可以出现上述症状,并没有想到肺栓塞发生的可能,而间质性肺疾病合并肺栓塞的病例临床较少见。
四、实验室和影像学检查
患者自带外院检查结果(2011年1月2日):
1.血气分析:
pH 7.46,PaCO2 36mmHg,PaO2 71mmHg,SaO2 95%,余正常范围。
2.肝功能、肾功能:
丙氨酸氨基转移酶30U/L,天门冬氨酸氨基转移酶33U/L,总蛋白66.5g/L,白蛋白38.5g/L,胆碱酯酶6530U/L,乳酸脱氢酶398U/L,血糖7.62mmol/L,肌酐51.5μmol/L,尿素氮6.54mmol/L。
3.血常规:
白细胞计数12.0×109/L,中性粒细胞百分比78%,红细胞计数5.65×1012/L,血红蛋白169g/L,血小板计数183×109/L。
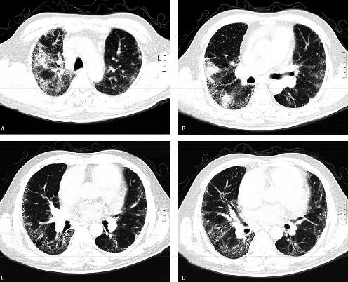
4.胸部CT:
双肺野弥漫性索条状,斑片状阴影及磨玻璃影,近胸膜处可见纤维网格影,以双下肺为著。心包积液,双侧胸膜增厚(图1)。

图1
5.心电图:
窦性心动过速,不正常心电图,不完全右束支传导阻滞,S-T段下移。
2011年1月5日检查结果:
1.痰培养:
铜绿假单胞菌。药敏试验示环丙沙星敏感。
2.心脏彩超:
右心室增大,三尖瓣关闭不全,心包积液(少量)。
2011年1月8日检查结果:
1.血常规:
白细胞计数15.3×109/L,中性粒细胞百分比89.5%,红细胞计数5.17×1012/L,血红蛋白164g/L,血小板计数97×109/L。
2.D-二聚体:
691ng/ml,ANCA胞浆型(c-ANCA):阴性,核周型(P-ANCA):阴性,血沉: 44mm/h,类风湿因子:10IU/mL,C-反应蛋白:10mg/L,抗“O”:98IU/mL。
3.肝功能、肾功能:
丙氨酸氨基转移酶41U/L,天门冬氨酸氨基转移酶39U/L,总蛋白49.5g/L,白蛋白27.2g/L,胆碱酯酶4530U/L,乳酸脱氢酶328U/L;血糖7.28mmol/L;肌酐60.2μmol/L,尿素氮8.11mmol/L。
(一)初步检查内容及目的
1.血常规、C-反应蛋白、血沉、ANCA、ANA、风湿三项:明确病情及查找间质性肺炎病因。
2.血清支原体、衣原体、军团菌、病毒抗体系列检查:明确病原。
3.痰菌涂片、痰菌培养:明确病原。
4.动脉血气分析:评价病情。
5.胸部影像学:协助诊断并了解病变部位和范围。
6.急检心电图。
(二)检查结果及临床分析
【检查结果】(2011年1月10日)
1.血气分析:pH 7.53,PCO2 31mmHg,PaO2 37mmHg,HCO-325.9mmol/L,TCO2 26.9mmol/L,BE 3.8mmol/L,SaO2 78%。
2.血常规:白细胞计数20.3×109/L,中性粒细胞百分比96.2%,红细胞计数4.72×1012/L,血红蛋白151g/L,血小板计数39×109/L。
3.D-二聚体:852ng/ml。
4.肝功、肾功:丙氨酸氨基转移酶37U/L,天门冬氨酸氨基转移酶35U/L,总蛋白43.6g/L,白蛋白24.9g/L,胆碱酯酶3546U/L,乳酸脱氢酶676U/L,血糖4.94mmol/L,肌酐81.6μmol/L,尿素氮8.67mmol/L,K+3.37mmol/L,Na+141mmol/L。
5.痰菌培养:待4天后出结果。
6.急检心电图:不完全右束支传导阻滞,右房大,右室大,心肌缺血。
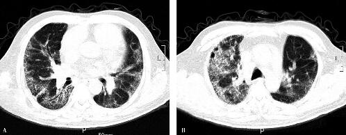
7.胸部CT:双肺野弥漫性条索状、斑片状阴影及磨玻璃影,以肺周边部为主,近胸膜处可见纤维网格影,以双下肺为著,与2011年1月2日胸部CT比较无明显吸收。心包积液,双侧胸膜增厚(图2)。

图2
【临床分析】
1.根据患者自带胸部CT考虑可明确间质性肺疾病的诊断(因患者病情危重,未能行肺活检,故未能行间质性肺炎的分型)。
2.明确肺炎的诊断。
3.结合该患者咯血,气急,心脏查体阳性体征(P2>A2,三尖瓣听诊区可闻及3/6级收缩期杂音),Ⅰ型呼吸衰竭,D-二聚体的增高,短时间心电图的改变(后出现的右心房、右心室增大)及心脏彩超结果(右心室增大,三尖瓣关闭不全,心包积液),胸部CT的结果(双下肺渗出略增多)考虑到患者很可能合并了肺栓塞。
目前采取的治疗及进一步检查措施如下:①合适的抗感染药物;②糖皮质激素联合细胞毒类药物控制间质性肺疾病;③无创机械通气;④预防性抗凝治疗;⑤双下肢动静脉彩超(次日);⑥建议患者行肺动脉CTA检查(但家属因费用问题及搬运和检查过程中可能存在的风险,暂拒绝此项检查)。
五、治疗方案
【方案】
甲泼尼龙120mg(冲击治疗),每日2次,静脉滴注;硫唑嘌呤50mg,每日1次,口服;环丙沙星0.2g,每日2次,静脉滴注;依诺肝素4000U,每日1次,皮下注射;无创呼吸机辅助通气。
六、治疗效果及临床分析
(一)治疗效果
以上方案治疗3天,无明显效果,生命体征:体温38.0℃,呼吸51次/分,脉搏127次/分,血压110/80mmHg,SpO2 70%~80%。患者稍烦躁,呼吸困难明显,口唇发绀,剧烈咳嗽,不能耐受呼吸机,形成人机对抗,大汗,双肺听诊呼吸音弱,可闻及吸气相中小水泡音以及呼气相少量干啰音,心率127次/分,节律规整,心音弱,三尖瓣听诊区仍可闻及收缩期杂音,病情进一步加重。
(二)临床分析
考虑患者虽然经积极抗感染等综合治疗,但病情未能得到控制,仍进展迅速,需先行维持生命体征的支持治疗,给抗感染治疗争取时间,病原学检查需要时间,激素冲击治疗略见效果(患者SpO2曾一过性达到90%)。但是仍不能明确是否存在肺栓塞,不能决定是否予溶栓治疗。再次与家属沟通,家属同意行肺动脉CTA检查。期待相关检查结果。
七、再问病史和实验室检查结果
病史同前,未发现更有价值的线索。
急检心电图(2011年1月13日):不完全右束支传导阻滞,右房大,右室大,心肌缺血。
双下肢动静脉彩超(2011年1月13日):未见异常。
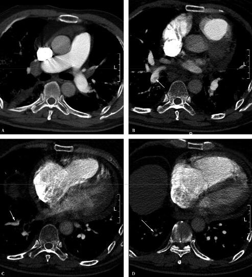
肺动脉CTA(2011年1月13日):右下肺动脉栓塞,心包积液(图3)。

图3
补充上述临床资料后,诊断思路明朗起来。明确诊断为:间质性肺疾病、肺炎、右肺下动脉栓塞。
评价:按照上述辅助检查的先后顺序推断,该患者肺栓塞的发生时间应该是2011年1月5日之前,当地医院仅给予抗感染及口服激素治疗,未能够明确患者咯血及突然气急的原因,这是肺栓塞三联征主要的两个症状(患者无胸痛)。就诊于本院后,两次心电图及心脏彩超的结果明显变化提示右心房及右心室增大,D-二聚体逐渐升高,这些结果引起我们的重视,考虑可能存在肺血栓栓塞症,但未能有效劝导家属及时行肺动脉CTA检查。
八、调整治疗方案及疗效
(一)新方案
因患者目前肺栓塞诊断明确,血压进行性下降,存在血流动力学不稳定及右心功能不全征象,应属于高危组,故拟给予溶栓治疗,但患者家属因畏惧出血风险,未立即同意溶栓治疗。暂给予抗凝治疗:依诺肝素4000U,每日2次,皮下注射,其他治疗不变。
(二)疗效
患者于2011年1月13日死亡。
【最终诊断】
非特异性间质性肺炎(NSIP)合并感染、右肺下动脉栓塞
九、对本病例误诊误治的思考
间质性肺炎是呼吸医师经常见到的疾病,但合并肺栓塞则少见,通常情况下是在应用糖皮质激素或免疫抑制剂的前提下,患者易患感染性疾病,多因病毒性感冒就诊于当地医院或小诊所,接受抗感染治疗。即使是专业的呼吸科医生也会自然考虑到肺部是否会合并病毒感染、细菌感染、结核分枝杆菌感染、真菌感染、激素减量间质病复发加重等造成呼吸衰竭的问题,但有可能未考虑到合并肺栓塞的问题,而辅助检查的异常结果通常也能用原发病给予较合理的解释。比如,长时间的肺部疾病如COPD、间质性肺炎,长期的哮喘等均能引起肺动脉高压,造成右心房室的增大,导致心电图和心脏彩超结果异常。当然该患者病情不同的是,在短时间内出现的相关症状及辅助检查结果异常未能引起重视,这里强调“短时间内”,通常在发病后数小时即可出现心电图和心脏彩超的异常。此外,还可能存在其他原因对于此病例的误诊误治,比如一些小型医院的医疗条件相对落后,无检查肺动脉CTA的条件,或者经验较少的医生未经历过此类病例,或者存在患者个人原因未能及时赶往大型综合医院。
综上所述,本病例误诊误治关键点是:①对患者突然发生的新的临床症状未予重视,以为是原发病的必然结果;②对新出现的右心增大未予重视;③未能及时行肺动脉CTA检查;④明确诊断肺栓塞后未立即给予溶栓治疗。
小贴士
ILD为什么会并发肺栓塞?
ILD(间质性肺疾病)合并肺栓塞的病例临床较少见,这也是容易被医生忽视的原因,浅析病因如下:静脉血液淤滞、静脉系统内皮损伤和血液高凝状态是导致静脉内血栓形成的3个主要因素。ILD可能因为以下原因通过这3种因素而增加静脉血栓形成的风险,从而增加肺栓塞的发病风险:
1.继发性血管病变(见内科学ILD发病机制);
2.血液高凝状态;
3.低氧血症;
4.肺部感染;
5.其他:住院卧床等。
吉林大学第二医院 吴艳峰
(环球医学编辑:余霞霞)
来源:《防范与走出常见诊疗误区:呼吸疾病临床病例精粹》
作者:康健
页码:69-75
出版:人民卫生出版社
- 评价此内容
- 我要打分
近期推荐
热门关键词
最新会议
- 2013循证医学和实效研究方法学研讨会
- 欧洲心脏病学会年会
- 世界帕金森病和相关疾病2013年会议
- 英国介入放射学学会2013年第25届年会
- 美国血液学会2013年年会
- 美国癫痫学会2013年第67届年会
- 肥胖学会 2013年年会
- 2013年第9届欧洲抗体会议
- 国际精神病学协会 2013年会议
- 妇科肿瘤2013年第18届大会
- 国际创伤压力研究学会2013年第29届…
- 2013年第4届亚太地区骨质疏松症会议
- 皮肤病协会国际2013年会议
- 世界糖尿病2013年大会
- 2013年国际成瘾性药年会
- 彭晓霞---诊断试验的Meta分析
- 武姗姗---累积Meta分析和TSA分析
- 孙凤---Network Meta分析
- 杨智荣---Cochrane综述实战经验分享
- 杨祖耀---疾病频率资料的Meta分析
合作伙伴
Copyright g-medon.com All Rights Reserved 环球医学资讯 未经授权请勿转载!
网络实名:环球医学:京ICP备08004413号-2
关于我们|
我们的服务|版权及责任声明|联系我们
互联网药品信息服务资格证书(京)-经营性-2017-0027
互联网医疗保健信息服务复核同意书 京卫计网审[2015]第0344号




会员登录

