老爷爷阵发性心前区疼痛2个月 病因是?如何治疗?
老爷爷2月前开始出现活动后心前区闷痛,范围约手掌大小,无放散,无心悸、呼吸困难,休息1~2分钟后可缓解。入院前1天无明显诱因出现心前区针刺样疼痛,部位、程度同前,并向左肩部放射,持续10~15分钟缓解。该患者怎么了?如何治疗?
患者男性,74岁,于2013年3月20日入院。
一、主诉
阵发性心前区疼痛2个月,加重1天。
二、病史询问
(一)初步诊断思路及问诊目的
患者老年男性,近2个月来出现胸痛。我们需要考虑胸痛的可能疾病及问诊要素。胸腹痛是临床工作中鉴别诊断较为复杂和困难的症状,因为其涉及的疾病众多,最终的诊断往往要依靠详尽的病史、症状体征的特点及其变化以及完善的辅助检查手段来确诊。就胸痛来说,心血管疾病、呼吸系统疾病、纵隔疾病等均可能出现。特定的胸前区疼痛最容易想到的是心血管疾病,尤其对于高龄患者。同样,因为患者高龄,肿瘤性疾病亦应考虑。而胸痛的性质、持续时间、诱发因素等是问诊的重点。同时相应的伴随症状如有无咳嗽、发热、呼吸困难、咯血、吞咽困难等有助于鉴别诊断,也要询问。详尽无遗漏的既往病史、个人史等对诊断往往具有意外的帮助。
(二)问诊主要内容及目的
1.胸痛的具体部位、性质、持续时间、有无诱发及缓解因素?
大部分胸痛均有一定的部位。如胸壁疾病的疼痛点往往就是病变部位,心绞痛及心肌梗死的位置多在胸骨后及心前区或剑突下,可伴有左肩及左臂内侧甚至向面颊部的放射痛,胸膜疾病的疼痛往往在侧胸壁等。不同的疼痛性质亦提示不同疾病,烧灼痛常见于食管炎,心绞痛呈压榨并有窒息感,心肌梗死疼痛更加剧烈,胸膜炎则常呈现隐痛、钝痛、刺痛,夹层动脉瘤常呈胸背部的撕裂样剧痛等。经验证实肿瘤、栓塞、梗死所导致的疼痛往往持续,而心绞痛发作时间短暂。心绞痛常发生于心脏负荷增加时,休息后可缓解,食管疾病所致疼痛可在进食时加重等。
2.是否存在某些伴随症状?
胸痛伴有咳嗽、咳痰、发热、呼吸困难,咯血时常提示呼吸系统疾病,伴有皮肤苍白、大汗、血压下降或休克等时多见于心血管疾病,伴有吞咽困难则提示食管疾病可能。
3.其他一般情况及既往病史、个人史等。
仍要强调详尽无遗漏的既往病史、个人史等对诊断往往具有意外的帮助。
(三)问诊结果及临床分析
患者2月前开始出现活动后心前区闷痛,范围约手掌大小,无放散,无心悸、呼吸困难,休息1~2分钟后可缓解。入院前1天无明显诱因出现心前区针刺样疼痛,部位、程度同前,并向左肩部放射,持续10~15分钟缓解。无发热、咳嗽、咳痰、咯血、呼吸困难,无皮肤苍白、大汗,无反酸、恶心、吞咽困难及腹痛。
既往病史:既往体健,否认慢性内科疾病病史,否认吸烟、酗酒等不良嗜好。
【临床分析】
从问诊病史来看,患者似乎是一个典型的冠心病心绞痛患者,心脏负荷增加时出现胸痛症状,休息后可缓解,入院前一天静息状态下即有症状,提示病情加重。没有其他伴随症状,患者否认基础疾病病史——这不排除患者既往缺乏健康体检,对自己身体状况不清楚可能。无烟酒等不良嗜好,除年龄外目前已知危险因素并不多。基于目前的资料,初步诊断更加倾向于心血管疾病,尤其是心绞痛的诊断。
评价:较典型的心绞痛症状常常诱导接诊医生麻痹大意,只考虑冠心病,心绞痛,形成了急性冠脉综合征初步判断的思维,忽略了胸痛的鉴别诊断。
三、体格检查
入院查体:体温36.5℃,脉搏75次/分,呼吸18次/分,血压130/80mmHg。神志清楚,自主体位。口唇无发绀,气管居中。胸廓对称,双侧呼吸运动一致,双肺叩诊呈清音,双肺听诊呼吸音清。心界不大,心率75次/分,律齐,各瓣膜听诊区未闻及杂音及异常心音。腹部、四肢、神经等系统检查未见异常。
评价:查体并没有发现异常情况。同样,心绞痛患者在非发作期可能没有任何体征。这一点目前仍支持心绞痛的诊断。同时,胸痛中需要鉴别的主动脉夹层动脉瘤、肺栓塞等严重疾病同样可能看不到明确的体征。
四、实验室及影像学检查
1.血常规:白细胞计数6.1×109/L,中性粒细胞百分比74.7%,红细胞计数4.86×1012/L,血红蛋白160g/L,血小板计数176×109/L。
2.尿、便常规未见异常。
3.凝血及D-二聚体:凝血酶原时间国际标准化比值0.89,D-二聚体8500ng/ml。
4.血生化:肌酐115.2μmol/L,余未见异常。
5.心肌酶及肌钙蛋白:肌酸激酶同工酶3.9ng/ml,肌钙蛋白0.07ng/ml。
6.B型钠尿肽250pg/ml。
7.心电图:窦性心动过缓(心率56次/分),心电轴左偏,T波倒置(Ⅱ、aVF),ST-T异常(V3、V4、V5)。
8.心脏超声:右心稍大,右房横径60mm,上下径66mm,二尖瓣口探及反流信号,面积约5.0cm2,三尖瓣口探及反流信号,面积约13.0cm2,最大反流速度425cm/s,估测的肺动脉收缩压(sPAP)为72mmHg。主动脉瓣口探及反流信号,面积约3.3cm2。
9.胸部CT:两肺纹理增多,右肺上叶胸膜下见点状钙化影,两肺下叶见条片影,纵隔内见淋巴结钙化。
评价:入院后的辅助检查已经提示患者有D-二聚体升高,并出现右心受累及肺动脉高压等征象就应注意是否为肺栓塞,而不应一味的考虑急性冠脉综合征。
五、初步诊断及治疗方案
【初步诊断】
缺血性心脏病 急性冠脉综合征 不稳定心绞痛 心功能Ⅰ级
【治疗方案】
心电监护、吸氧;阿司匹林100mg,每日1次,口服;瑞舒伐他汀1mg,每日1次,口服;氢氯吡格雷75mg,每日1次,口服;呋塞米20mg,每日1次,口服;螺内酯20mg,每日1次,口服;单硝酸异山梨酯40mg,每日1次,口服;二丁酰环磷腺苷钙40mg,每日1次,静脉滴注;大株红景天10ml,每日1次,静脉滴注;
六、治疗效果及分析
患者20日中午入院,至次日清晨8∶00,监护记录显示在中流量吸氧条件下患者血氧饱和度一直波动于85%~93%之间,心率60次/分水平,血压120/70mmHg水平。住院次日晨查房,病情较前加重,呼吸困难,呈端坐呼吸,不能平卧,且口唇及颜面明显发绀呈青紫色,四肢也有明显的发绀,监护示心率66次/分,呼吸22次/分,血压120/75mmHg,血氧饱和度83%。查体未见异常。动脉血气分析: pH 7.47,PaCO2 33mmHg,PaO2 60mmHg,HCO-324mmol/L。病情变化与临床诊断不相符。于是怀疑诊断是否有问题,因D-二聚体明显增高故请呼吸内科会诊,会诊后决定转入呼吸内科。
评价:患者并没有左心衰竭证据,监护提示血流动力学稳定,中流量吸氧条件下血氧饱和度仍然维持在较低水平,这引起了医生的注意,同时查阅患者心脏超声结果,结合患者的低氧血症和右心压力明显增高,D-二聚体明显增高,高度怀疑肺血栓栓塞症。
七、补充检查项目结果
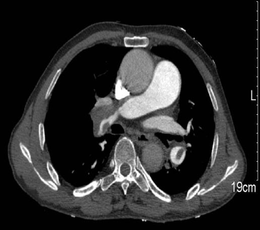
肺动脉CTA:双肺动脉干可见低密度充盈缺损,右上肺动脉未见显影,右下肺动脉、左下肺动脉可见低密度充盈缺损(图1,2)。双侧下肢静脉内可见广泛低密度充盈缺损。

图1

图2
八、调整方案及治疗
至此,患者肺动脉栓塞的诊断已明确。根据急性肺栓塞的危险分层治疗原则,此例患者虽然血流动力学稳定,但同时存在心肌损伤及右心室功能不全,属于高危(大面积)PTE,有溶栓治疗指征。给予溶栓、抗凝、改善循环、抗血小板聚集、对症支持治疗。
【治疗方案】
1.一般治疗:
吸氧、呼吸、血压、心率、氧饱和度监护等。
2.溶栓:
尿激酶25万U,静脉推注20分钟,尿激酶150万U,持续静脉滴注12小时。
3.抗凝:
低分子肝素4100U,每日2次,皮下注射,开始抗凝第4天后口服华法林,并监测INR。
4.改善循环:
舒血宁70mg,每日1次,静脉滴注。
5.抗血小板:
奥扎格雷钠80mg,每日2次,静脉滴注。
6.祛痰:
氨溴索60mg,每日2次,静脉推注。
7.营养心肌:
二丁酰环磷腺苷钙40mg,每日1次,静脉滴注。
8.抗感染:
头孢米诺钠2.0g,每日2次,静脉滴注。
九、转归及最终诊断
溶栓治疗后病情明显好转,呼吸困难缓解。第二天即可以平卧,颜面及四肢发绀消失。患者住院8天后,一般状况良好,行走自如,监测INR 2.75,复查心脏超声:右房50mm×69mm,二尖瓣口探及反流信号,面积约5.3cm2,三尖瓣口探及反流信号,面积约7.8cm2,最大反流速度380cm/s,sPAP 58mmHg。主动脉瓣口探及反流信号,面积约2.0cm2。较前有明显的改善,治愈出院。
【最终诊断】
肺栓塞、Ⅰ型呼吸衰竭、肺动脉高压、缺血性心脏病、心功能Ⅰ级
十、对本例误诊误治的思考
肺栓塞属于呼吸内科急症,其症状多种多样,往往缺乏特异性,且症状的严重程度有很大区别,这增加了诊断困难。如此例患者,以典型的心绞痛样症状入院,而肺栓塞患者的胸痛完全可以呈现心绞痛样表现,稍有疏忽就可能导致误诊。
此患者以急性冠脉综合征入院,入院后检查亦围绕急性冠脉综合征展开。这里我们必须注意的是如何综合各项检查结果,进行正确分析。此患者有阵发性心前区疼痛2月加重1天,很容易想到冠心病伴急性心梗,并且当时心电图也有T波倒置,Ⅱ、Ⅲ、AVL导联ST段轻度抬高的心肌梗死征象。但患者有明显的D-二聚体增高,心脏彩超有明显的肺动脉高压,右房增大,三尖瓣反流,这些异常检查结果并未引起注意,而一味的诊断为冠心病心肌梗死。值得庆幸的是,由于次日病情加重,我们重新审视了以上的结果,做了肺动脉CTA,明确了肺栓塞的诊断,及时溶栓,使患者转危为安。2013年3月17日复查心电图,上抬的S-T段已经消失,只有T波倒置。心脏彩超示右房内径50mm×69mm,三尖瓣反流面积已经缩小至7.8cm2,较前有明显好转。
此患者冠心病诊断明确,但此次发病的原因应为肺动脉栓塞而不是急性心肌梗死。之所以会误认为心肌梗死,是由于没有对所有的辅助检查进行正确的综合分析,而是先入为主,认为老年有心前区疼痛病史2月应为冠心病,没有认真审核心电图Ⅱ、Ⅲ、AVL导联ST段轻度抬高不符合下壁心肌梗死的改变,没有注意右心房、右心室压力增高改变。因此,正确的分析辅助检查结果,综合分析判断,对于与诊断不符合的结果要紧追其原因。反复思考才能得出正确结论,才能有正确的诊断和治疗。
小贴士
肺栓塞患者中约19%发生心绞痛,其原因为:①巨大栓塞时心排血量明显下降,造成冠状动脉供血不足,心肌缺血;②右心室压力增高,冠状动脉中可形成反常栓塞。
所以,诊断冠状动脉供血不足时,如发现患者有肺栓塞易发因素时,则需考虑肺栓塞的可能性。此外,急性肺栓塞部分患者心电图肢体导联出现ST-T改变,广泛性T波倒置或胸前导联呈冠状T,同时存在气短,胸痛,并向肩背部放射,在血清心肌酶不升高或轻度升高时,也易被误诊为冠心病、心绞痛、心肌梗死,应注意二者之间的鉴别。
吉林大学第二医院 张曼颖
(环球医学编辑:余霞霞)
来源:《防范与走出常见诊疗误区:呼吸疾病临床病例精粹》
作者:康健
页码:164-167
出版:人民卫生出版社
- 评价此内容
- 我要打分
近期推荐
热门关键词
最新会议
- 2013循证医学和实效研究方法学研讨会
- 欧洲心脏病学会年会
- 世界帕金森病和相关疾病2013年会议
- 英国介入放射学学会2013年第25届年会
- 美国血液学会2013年年会
- 美国癫痫学会2013年第67届年会
- 肥胖学会 2013年年会
- 2013年第9届欧洲抗体会议
- 国际精神病学协会 2013年会议
- 妇科肿瘤2013年第18届大会
- 国际创伤压力研究学会2013年第29届…
- 2013年第4届亚太地区骨质疏松症会议
- 皮肤病协会国际2013年会议
- 世界糖尿病2013年大会
- 2013年国际成瘾性药年会
- 彭晓霞---诊断试验的Meta分析
- 武姗姗---累积Meta分析和TSA分析
- 孙凤---Network Meta分析
- 杨智荣---Cochrane综述实战经验分享
- 杨祖耀---疾病频率资料的Meta分析
合作伙伴
Copyright g-medon.com All Rights Reserved 环球医学资讯 未经授权请勿转载!
网络实名:环球医学:京ICP备08004413号-2
关于我们|
我们的服务|版权及责任声明|联系我们
互联网药品信息服务资格证书(京)-经营性-2017-0027
互联网医疗保健信息服务复核同意书 京卫计网审[2015]第0344号




会员登录

