一青年发热伴呼吸困难1个月 住院治疗数天后死亡
33岁男子,1个月前受凉后出现发热,伴寒战,最高体温达40℃,就诊于当地医院行胸部CT检查示:双肺对称的弥漫性分布的磨玻璃影,予抗感染治疗,先后静脉滴注红霉素、头孢哌酮-舒巴坦半月余(具体用法用量不详),体温较前有所下降,但未降至正常,咳嗽、呼吸困难症状未见明显缓解,为求进一步诊治来笔者医院。该患者患有……
患者男性,33岁,于2011年11月15日入院。
一、主诉
发热伴咳嗽、呼吸困难1个月。
二、病史询问
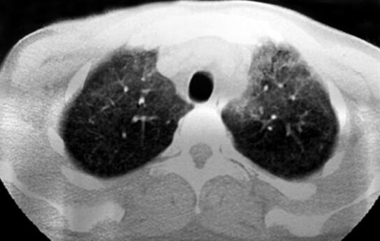
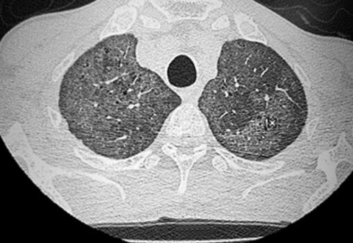
青年男性患者,农民,未婚,既往体健,否认呼吸系统疾病及其他慢性疾病史,无饲鸽、发霉物质接触史。1个月前受凉后出现发热,伴寒战,最高体温达40℃,呈稽留热,伴咳嗽、少许白痰,呼吸困难,活动后明显,无夜间憋醒,就诊于当地医院行胸部CT检查示:双肺对称的弥漫性分布的磨玻璃影(如图1、图2),予抗感染治疗,先后静脉滴注红霉素、头孢哌酮-舒巴坦半月余(具体用法用量不详),体温较前有所下降,但未降至正常,咳嗽、呼吸困难症状未见明显缓解,为求进一步诊治来诊。病来无胸痛、咯血,无腹痛、腹泻,无头痛,头晕,精神状态差,饮食睡眠差,二便可,近一月体重减轻约8kg。

图1

图2
【临床分析】
首次病史采集,按照常规问诊病史,但应注意以下细节详细询问协助明确诊断:患者既往体健,无呼吸系统疾病及其他慢性疾病史,此次发病主要症状为发热,伴有咳嗽、咳少许白痰、呼吸困难,按照常见病优先考虑原则应将呼吸道感染性疾病放在首位,但此次发病经过半个月的抗感染治疗,症状未见明显的缓解,那么原因有以下几种可能:①特殊的病原体感染,如结核、病毒及真菌等,普通抗生素治疗无效,可围绕以上特殊病原体感染的诱因、伴发症状进行询问;②先前使用的抗生素剂量不足,或者患者出现新的并发症如脓胸、脑炎等;③非感染性疾病,该患者病程中始终存在呼吸困难,气促、活动后加重,结合胸部CT示双肺对称的弥漫性分布的磨玻璃影,符合间质性肺疾病特点,考虑过敏性肺炎?淋巴细胞间质性肺炎?肺泡蛋白沉积症?在之后的查体、检查和治疗中,应该始终考虑以上几种原因,以更好的明确诊断。
三、体格检查
病史采集后重点考虑呼吸系统感染及间质性肺疾病的可能性较大,因此在对患者进行全面、系统的检查同时,重点注意准确监测体温和检查肺部体征,尤其注意有无存在干湿啰音,有无肺实变体征,有无Velcro啰音,四肢末端及口唇是否发绀,有无杵状指等。
体格检查:体温38.9℃,脉搏98次/分,呼吸26次/分,血压115/70mmHg。神清,急性病面容,呼吸急促,自主体位,消瘦,口唇发绀,全身皮肤无黄染、皮疹及出血点,巩膜无黄染,头颈部及锁骨下、腋下等浅表淋巴结未及肿大,气管居中,可见三凹征,胸廓对称无畸形,双侧呼吸运动一致,叩诊清音,双肺听诊呼吸音粗,双下肺可闻及较高调水泡音,心率98次/分,律齐,各瓣膜听诊区未闻及病理性杂音,腹平软,无压痛反跳痛,肝脾肋下未及,无杵状指,四肢及神经系统检查未见异常体征。
评价:体格检查结果与问诊后初步考虑肺部感染性疾病和间质性肺疾病的思路吻合,体温升高,口唇发绀,呼吸急促,三凹征,双肺听诊呼吸音粗,双下肺可闻及较高调水泡音,进一步行实验室和相关物理检查明确病原体,尤其是可以造成双肺间质性改变的病原体,为治疗提供依据,排除其他疾病。
四、实验室和影像学检查
(一)初步检查内容及目的
1.血常规:
进一步证实是否为感染性疾病。
2.血清支原体、衣原体、抗酸杆菌、军团菌、病毒抗体及真菌抗原检测:
明确病原菌。
3.痰菌涂片、痰培养:
明确病原菌。
4.痰查结核菌及痰查瘤细胞:
明确病原菌以及评估是否存在肺部恶性肿瘤。
5.动脉血气分析:
明确病变严重程度。
6.血细菌培养及药敏:
明确病原体及指导治疗。
7.肺HRCT检查:
明确肺部病变特点及进展。
(二)检查结果及临床分析
1.血常规:白细胞计数13.5×109/L,中性粒细胞百分比89.3%,嗜酸性粒细胞1.78%,血红蛋白89.0g/L,血小板正常。
2.血清支原体、衣原体、抗酸杆菌、军团菌抗体阴性,真菌抗原正常,巨细胞病毒抗体阳性。
3.痰菌涂片三次均可见G+球菌及菌丝孢子。
4.痰查结核菌及痰查瘤细胞三次均为阴性。
5.动脉血气分析(未吸氧):pH 7.475,PaO2 59.5mmHg,PaCO2 30.5mmHg。
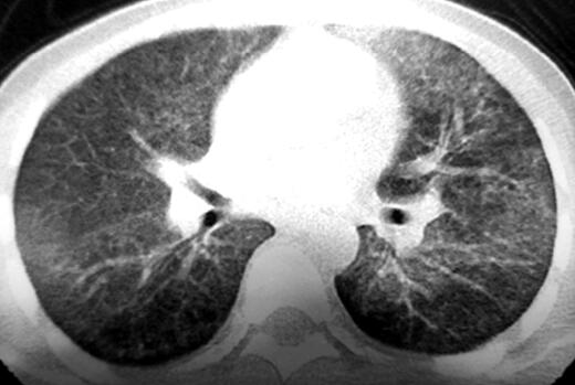
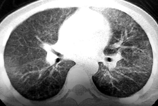
6.胸部HRCT:双肺多发磨玻璃影(如图3、图4)。

图3

图4
【临床分析】
1.血白细胞计数、中性粒细胞百分比均增高,痰涂片三次均可见G+球菌及菌丝孢子,均支持病原菌感染造成肺间质性炎症。
2.肺部HRCT结果为弥漫性肺间质性改变,常见于巨细胞病毒性肺炎、过敏性肺炎、淋巴细胞间质性肺炎、肺泡蛋白沉积症等,但①患者无过敏原接触史,血常规嗜酸性粒细胞正常,且过敏性肺炎发热少见,胸部CT多可见边缘模糊的小叶中央结节,此病例不符,可以除外过敏性肺炎;②淋巴细胞间质性肺炎胸部CT多可见弥漫性磨玻璃影伴薄壁囊腔、小叶中央结节,淋巴结增大,此病例不符,暂不考虑淋巴细胞间质性肺炎;③肺泡蛋白沉积症症状隐匿,高热和中毒缺氧不常见,且胸部HRCT为磨玻璃影合并小叶间隔增厚(碎石路征),此病例不符,暂不考虑肺泡蛋白沉积症。目前不除外巨细胞病毒性肺炎。
3.动脉血气分析提示Ⅰ型呼吸衰竭,过度通气;结合血常规、痰病原学检查及胸部CT弥漫性磨玻璃影表现,进一步支持病原菌感染造成肺间质性炎症的诊断思路,目前病原菌尚不明确,且患者目前状态差,Ⅰ型呼吸衰竭,当前重要的是选择合适的药物进行经验性抗感染治疗,改善患者一般状态。
五、治疗方案及理由
(一)治疗方案
莫西沙星0.4g,每日一次,静脉滴注;氟康唑200mg(首日加倍),每日1次,静脉滴注;更昔洛韦250mg,每日2次,静脉滴注。
(二)理由
患者为青年男性,既往健康,病程1个月,发病以来先后静脉滴注红霉素、头孢哌酮-舒巴坦半月余,体温较前稍有所下降,但均未降至正常,咳嗽、呼吸困难症状未见明显缓解,且痰涂片三次均可见G+球菌及孢子菌丝,巨细胞病毒抗体阳性,根据患者的病史、查体和检查结果,目前考虑肺炎诊断成立,考虑病原体不除外细菌、真菌和病毒的混合感染,故选择“呼吸喹诺酮”莫西沙星覆盖G+菌在内的普通病原体和非典型病原体,同时联用抗真菌药氟康唑、抗病毒药物更昔洛韦。
(三)治疗效果及临床分析
经上述治疗7天后,体温无下降,仍发热,呼吸急促,呼吸困难较前加重,查体双肺呼吸音粗,双肺水泡音较前增多,实验室检查结果示:白细胞计数17.8×109/L,中性粒细胞百分比90.3%,血红蛋白80.0g/L。痰菌培养未生长致病菌,血培养阴性,治疗效果不理想,病情加重。
【临床分析】
针对G+菌、念珠菌、巨细胞病毒治疗方案效果不佳,加之患者为青年男性,病史1个月,既往健康,病情重,短时间内呼吸困难进行性加重,高热,消瘦明显,因此应重新深入询问病史,进行有针对性检查。
评价:巨细胞病毒病毒抗体阳性提示巨细胞病毒感染,但应同时想到巨细胞病毒肺炎好发于细胞介导的免疫缺陷患者,该患者为青年男性,既往体健,无肿瘤、糖尿病、应用免疫抑制剂和器官移植等基础疾病,那么该患者是否存在细胞免疫功能缺陷?是何原因所致其细胞免疫功能缺陷?以上问题需进一步检查明确。
六、再次询问病史
通过再次深入且有针对性的询问病史得知:患者7年前曾多次进行有偿献血,之后一直体健,近1月发热、咳嗽、呼吸困难,且进行性加重。据此进行HIV、T细胞亚群及CMV-pp65抗原检查示:HIV抗体阳性,确认试验阳性,CD4+T淋巴细胞绝对值28/μl,CMV-pp65阳性。补充上述资料后,诊断思路清晰:患者为HIV感染后免疫功能低下者,结合病史及胸部影像学改变,患者的肺部感染很可能是肺孢子菌肺炎合并巨细胞病毒性肺炎。于单鼻导管吸氧条件下行纤维支气管镜肺泡灌洗检查,将支气管肺泡灌洗液行PAS和六胺银染色见肺孢子菌包囊。诊断:肺孢子菌肺炎。调整治疗方案:暂停莫西沙星及氟康唑,给予复方磺胺甲噁唑片(磺胺甲唑与甲氧苄啶复方制剂),同时由于患者巨细胞病毒抗体及抗原阳性,胸部CT示不除外巨细胞病毒感染,继续给予更昔洛韦治疗。
评价:由于对艾滋病认识不足,且缺乏诊治经验,故容易误诊或漏诊,且艾滋病早期临床表现与流感、肺炎相似,则易误诊为这两种疾病;加之患者不配合,故意隐瞒相关病史使诊断复杂、曲折。我们认为对长期发热、反复肺部复合菌感染者,进行性消瘦、腹泻和高危人群患者应常规HIV抗体检测,以免漏诊。肺孢子菌肺炎患者常为干咳、痰液收集较难,普通咳痰检出率低。近年来采用支气管镜刷检,经纤支镜肺活检或支气管肺泡灌洗,对本病诊断有重要价值。近年来有报道用克隆化的肺孢子菌的DNA片段作为探针来检测肺孢子菌,其敏感性及特异性均很高,但该诊断技术难以普遍推广。
七、新方案及治疗效果
新方案:复方磺胺甲噁唑片2.0g,每日3次,口服;碳酸氢钠片2.0g,每日3次,口服;甲泼尼龙40mg,每日2次静脉注射;更昔洛韦250mg,每日2次,静脉滴注。
治疗效果:患者使用上述药物1周后死亡。
八、对本病例误诊误治的思考
获得性免疫缺陷综合征是由人类免疫缺陷病毒引起的一种致命性慢性传染病。据估计,我国目前HIV感染人数已超过70万,可见艾滋病离我们并不遥远。因此提高对本病的认识及警惕,是及时诊断的前提。对于高危人群,如出现以下情况应高度怀疑HIV感染的可能:①短时间内体重下降明显;②慢性咳嗽或腹泻1个月以上;③间歇或持续发热1个月以上;④鹅口疮等。人体感染HIV数年后才发展为AIDS,潜伏期一般7~10年,在此期间患者一般无任何症状,不易被诊断,HIV侵犯和破坏CD4+T淋巴细胞,造成人体细胞免疫功能缺陷,才出现症状,最后因为各种严重机会性感染或肿瘤而死亡。
肺孢子菌肺炎(PCP)既往又称为卡氏肺囊虫肺炎,是一种严重的机会感染性疾病。常发生于机体免疫功能低下、免疫缺陷患者,如器官移植、大量应用免疫抑制剂和肿瘤化疗患者,特别是细胞免疫缺陷的艾滋病患者。辅助性T细胞(CD4+T淋巴细胞)≤200/μl时发生PCP危险极大,艾滋病患者CD4+T淋巴细胞越低,发生PCP的危险性越大。
本病例留给我们的教训是当遇到弥漫性肺病变时,应常规行HIV筛查及T细胞亚群检测,有针对性的询问病史,特别是献血、输血、性接触史等,尤其发现如巨细胞病毒抗体阳性、PPD试验阴性等提示可能存在免疫妥协状态时。PCP发展迅速,病情危重,易同时合并多种病原体感染,且呼吸衰竭进行性加重,虽积极给予对因及对症治疗,患者最终多因病情严重死亡。
小贴士
肺孢子菌肺炎(PCP)的诊断与预防
PCP确诊需要依据病史和免疫功能低下客观指标,以及肺活检和肺泡灌吸液中查到肺孢子虫及包囊。
在HIV感染的患者已经证实,应用复方磺胺甲噁唑片(TMP-SMZ)预防可以明显降低PCP的发生率,保护效率达89%~100%,在免疫抑制的非HIV感染患者应用TMP-SMZ也达到很好的疗效,PCP的发生率降低91%。
PCP预防感染分为一级预防(预防初次感染)和二级预防(预防再次感染)。一级预防是指针对HIV感染的成人和青少年,如果CD4+T淋巴细胞<200/μl或过去有口咽部念珠菌感染病史,均应接受抗PCP的预防性化疗,二级预防是指针对PCP患者需终身接受预防性化疗,经HAART(鸡尾酒疗法)后免疫功能重建者除外。
中国医科大学附属第一医院 王莉
(环球医学编辑:余霞霞)
来源:《防范与走出常见诊疗误区:呼吸疾病临床病例精粹》
作者:康健
页码:257-260
出版:人民卫生出版社
- 评价此内容
- 我要打分
近期推荐
热门关键词
最新会议
- 2013循证医学和实效研究方法学研讨会
- 欧洲心脏病学会年会
- 世界帕金森病和相关疾病2013年会议
- 英国介入放射学学会2013年第25届年会
- 美国血液学会2013年年会
- 美国癫痫学会2013年第67届年会
- 肥胖学会 2013年年会
- 2013年第9届欧洲抗体会议
- 国际精神病学协会 2013年会议
- 妇科肿瘤2013年第18届大会
- 国际创伤压力研究学会2013年第29届…
- 2013年第4届亚太地区骨质疏松症会议
- 皮肤病协会国际2013年会议
- 世界糖尿病2013年大会
- 2013年国际成瘾性药年会
- 彭晓霞---诊断试验的Meta分析
- 武姗姗---累积Meta分析和TSA分析
- 孙凤---Network Meta分析
- 杨智荣---Cochrane综述实战经验分享
- 杨祖耀---疾病频率资料的Meta分析
合作伙伴
Copyright g-medon.com All Rights Reserved 环球医学资讯 未经授权请勿转载!
网络实名:环球医学:京ICP备08004413号-2
关于我们|
我们的服务|版权及责任声明|联系我们
互联网药品信息服务资格证书(京)-经营性-2017-0027
互联网医疗保健信息服务复核同意书 京卫计网审[2015]第0344号




会员登录

