64岁男性咳嗽、咳痰、右侧胸痛 仔细一查问题真不少
64岁男性,咳嗽、咳痰、胸痛,前往医院就诊。经过全面诊断,发现多种疾病。
主诉:咳嗽、咳痰1+周,右侧胸痛3+天。
现病史:1+周前患者无明显诱因出现咳嗽、咳痰,咳黄色脓痰,无畏寒、发热、咯血、胸闷、心累、气紧、潮热、盗汗、恶心、呕吐、腹胀、腹泻等不适,未予重视,3+天前患者无明显诱因突然出现右侧胸痛,呈持续性钝痛,无畏寒、发热、胸闷、气紧,无肩背部放射痛,无明显活动受限,于我院就诊。
既往史:高血压史20+年,最高血压190/100mmHg,长期用药控制,现服用“氨氯地平5mg qd,厄贝沙坦片0.15g qd”,自诉血压控制在120~140/55~80mmHg。2型糖尿病病史6+年,目前服用“阿卡波糖片”,自诉空腹血糖6~8mmol/L,餐后血糖8~10mmol/L。否认“肝炎、结核”等传染病病史。否认食物药物过敏史,否认外伤手术史、输血史,预防接种史不详。
个人史:退休,无吸烟史,无饮酒史。
家族史:父亲、母亲健康,无特殊疾病史。
体格检查
一般情况:T 37.1℃、P 92次/分、R 21次/分、BP 130/80mmHg,Wt.65kg,Ht.165cm,BMI 23.88kg/m2。
头颅五官:未见异常。
颈部:甲状腺不大。
胸部:双肺呼吸音降低,右肺可闻及少许湿啰音,未闻及干鸣;心率92次/分,律齐,各瓣膜区未闻及病理性杂音。
腹部:腹软,无压痛、反跳痛及肌紧张。
脊柱四肢:未见异常。
皮肤黏膜:未见异常。
神经精神:未见异常。
辅助检查:血常规:白细胞10.58×109/L、中性粒细胞百分比0.682。
血沉:55mm/60min。
降钙素原:0.76ng/ml。
肝肾功能、电解质、凝血功能、九项呼吸道病原体IgM抗体未见明显异常。
血气分析:pH 7.48、PCO2 5.2kPa、PO2 10.1kPa(75.75mmHg)、BE 5.1mmol/L、SO2 96%。
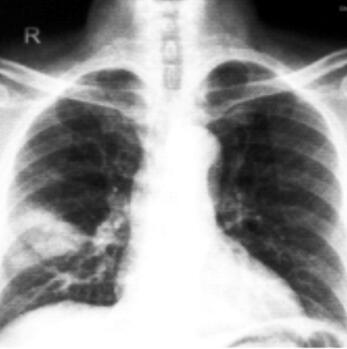
胸片:右肺下野外带斑片模糊影(图1)。

图1患者入院时的胸部X线片
【病史特点】
1.老年男性,咳嗽、咳痰、胸痛为主要表现。
2.1+周前无明显诱因出现咳嗽、咳痰,咳黄色脓痰,无畏寒、发热、咯血、潮热、盗汗等不适,3+天前患者无明显诱因突然出现右侧胸痛,呈持续性钝痛。
3.高血压病史,目前血压控制可;糖尿病病史,目前血糖控制可。
4.无吸烟及饮酒史。
5.血常规提示白细胞计数升高,血沉、降钙素原升高,血气提示低氧血症。胸片:右肺下野外带斑片模糊影。
【全科诊疗计划】
1.全面的诊断及对应的处理
(1)肺炎:给予哌拉西林他唑巴坦4.5g q8h静滴抗炎。建议患者完善痰涂片、痰培养查细菌+真菌及结核、胸部CT、电子支气管镜灌洗培养细菌、真菌及结核杆菌等检查。
(2)低氧血症:给予低流量吸氧。
(3)对症治疗:给予氨溴索静滴、福多司坦口服祛痰,同时给予体位引流痰液。
(4)高血压3级 很高危组:继续氨氯地平、厄贝沙坦片降压。
(5)2型糖尿病:继续阿卡波糖片降糖。
2.预防接种:暂无。
3.健康维持:暂无。
【病情变化】

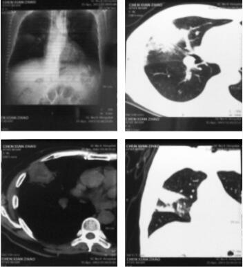
图2 患者入院后第1次胸部CT(右肺病变放大图)
住院后3天患者出现发热,体温由37.8℃升至39℃,复查降钙素原3.99ng/ml。痰涂片:入院当天:G+球菌(++),G-杆菌(+);入院第2天:G+球菌(++),G-杆菌(+),G-球菌(++);入院第3天:G+球菌(+++),G-球菌(++++),G+杆菌(+++),G-杆菌(+++)。未查见真菌,痰抗酸染色未见抗酸杆菌。第一次胸部CT(图2):右肺中叶占位性病变,病灶呈窄基底贴近胸膜,密度不均,形态不规则,明显“毛刺征”,并可见小空泡,病变周围可见斑片影及小结节影。
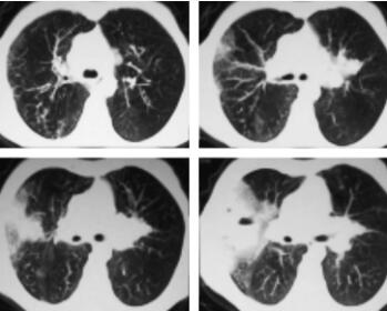
总结:右肺中叶占位性病变,阻塞性肺炎。更换抗生素为美罗培南1.0g q8h静滴,但患者仍出现发热,电子支气管镜:喉部、气管、隆突、左支气管、右支气管未见异常。支气管刷片、冲洗液、右肺支气管黏膜、痰液病理检查均未见肿瘤细胞,提示炎症细胞浸润,也未查见抗酸杆菌。右肺穿刺病理活检:送检组织为间质及肺泡腔内纤维组织增生,慢性炎症细胞浸润。肿瘤标记物、浅表淋巴结超声、骨ECT、痰培养及血培养未见明显异常。2天后复查胸部CT(图3):右肺中叶病变,其内见液化坏死,可见液平,周围斑片影较前明显扩大,增强扫描无强化,肺脓肿。

图3 入院后第2次胸部CT
【修订全科诊疗计划】
1.全面的诊断及对应的处理
(1)肺脓肿:美罗培南1.0g q8h静滴+万古霉素1g q12h静滴。物理降温+氨溴索祛痰+体位引流痰液。
(2)高血压3级 很高危组:继续氨氯地平+厄贝沙坦,同时监测血压。
(3)2型糖尿病:继续口服阿卡波糖片,同时监测血糖。
(4)低氧血症:低流量吸氧。
(5)加强营养,适当运动,健康教育。
2.预防接种:暂无。
3.健康维持:暂无。
【治疗效果】
经联合抗感染治疗4天后,患者体温恢复正常。入院后第14天再次复查CT提示病灶明显缩小后出院,转回当地社区医院继续治疗。
来源:《全科医学临床思维训练:病案讨论》
作者:李健
页码:1,152-153,155
出版:人民卫生出版社
- 评价此内容
- 我要打分
近期推荐
热门关键词
最新会议
- 2013循证医学和实效研究方法学研讨会
- 欧洲心脏病学会年会
- 世界帕金森病和相关疾病2013年会议
- 英国介入放射学学会2013年第25届年会
- 美国血液学会2013年年会
- 美国癫痫学会2013年第67届年会
- 肥胖学会 2013年年会
- 2013年第9届欧洲抗体会议
- 国际精神病学协会 2013年会议
- 妇科肿瘤2013年第18届大会
- 国际创伤压力研究学会2013年第29届…
- 2013年第4届亚太地区骨质疏松症会议
- 皮肤病协会国际2013年会议
- 世界糖尿病2013年大会
- 2013年国际成瘾性药年会
- 彭晓霞---诊断试验的Meta分析
- 武姗姗---累积Meta分析和TSA分析
- 孙凤---Network Meta分析
- 杨智荣---Cochrane综述实战经验分享
- 杨祖耀---疾病频率资料的Meta分析
合作伙伴
Copyright g-medon.com All Rights Reserved 环球医学资讯 未经授权请勿转载!
网络实名:环球医学:京ICP备08004413号-2
关于我们|
我们的服务|版权及责任声明|联系我们
互联网药品信息服务资格证书(京)-经营性-2017-0027
互联网医疗保健信息服务复核同意书 京卫计网审[2015]第0344号




会员登录

