男子发热、乏力、盗汗后又出现发热 是肺炎还是另有玄机?
38岁男性,无明显诱因咳嗽、乏力、盗汗1个月,当时未在意,未予诊治。入院1周前出现发热,体温最高39℃,当时就诊于“胸科医院”,诊断为“肺炎”,并静脉滴注头孢吡肟7天,第3天体温降至37.2℃,之后再次出现发热,体温最高38.5℃,为进一步诊治来笔者医院门诊。该患者患有……
男性患者,38岁,于2013年1月21日入院。
一、主诉
咳嗽、乏力、盗汗1个月,发热1周。
二、病史询问
(一)初步诊断思路及问诊目的
患者中年男性,既往体健,本次出现咳嗽、气短等呼吸道症状,伴随乏力、盗汗等全身中毒症状,并在后期出现发热,按照诊断时首先考虑常见病的原则应将呼吸系统感染性疾病放在首位。因此,问诊时应主要围绕发病诱因、起病情况(起病缓急)、发病时的主要症状及特点、伴随症状,诊疗情况及疗效,发病以来一般状况(饮食、睡眠、二便、精神体力)等问题展开,并兼顾重要鉴别疾病的临床表现,仔细询问既往史及个人史,以寻找符合感染性疾病表现的证据。
(二)问诊主要内容及目的
1.发病诱因
下呼吸道感染患者常有一定的诱发因素,如受凉后继发于上呼吸道感染或劳累等因素所致抵抗力低下;而醉酒后的误吸可导致吸入性肺炎。
2.起病缓急
发病时起病的缓急可以提示急、慢性感染。
3.主要症状及伴随症状
咳嗽是否伴有咳痰,痰液的颜色、性状,是否有咯血等,如咳黄痰、脓臭痰是细菌感染的重要依据;乏力、盗汗的具体情况,是否是真的“盗汗”,如有明确乏力、盗汗,通常考虑为全身中毒症状,需注意特殊病原体如结核分枝杆菌的感染;发病初期是否测了体温,以明确发病初期是无发热还是温度不高未引起注意而未测体温。
4.伴随症状
是否有胸闷气短、呼吸困难,是否有腹痛腹泻、头晕头痛、尿频尿急尿痛等伴随症状,以除外其他系统感染性疾病。
5.入院前诊治情况
入院前是否于外院就诊,做了什么检查?应用了何种药物?效果如何?是否应用了抗生素?什么药?疗效如何?通过了解入院前诊治情况进一步为诊断提供依据,并根据已有的检查结果排除一些疾病;根据药物选择及疗效进一步考虑感染性疾病的可能性,并分析药物选择是否合理。
6.发病以来的一般情况
饮食、睡眠、精神体力状态,二便情况,体重改变情况等。近期内出现消瘦具有一定提示作用。
7.既往史及个人史
既往有何种疾病,是否有呼吸系统症状?某些慢性呼吸系统疾病发病可能是隐袭性的,在过程中急性加重如肺结核。仔细询问既往疾病史、手术外伤史,是否有传染病,是否有吸烟史、饮酒史,有无药物过敏等都对诊断具有提示作用。例如本患者有乏力、盗汗,应仔细询问既往是否有结核病史,是否有贫血等病史。
(三)问诊结果及临床分析
患者中年男性,无业人员,既往体健,否认呼吸系统疾病,否认结核病史,否认贫血病史。吸烟史约20包/年,未戒;饮酒史约20年,平均每天250ml(白酒),未戒。本次发病前无明确诱因,发病初期表现为咳嗽,无痰,无咯血,偶有气短,无呼吸困难,咳嗽时轻时重,夜间及平卧时加重,伴乏力,盗汗,当时未在意,未予诊治。入院1周前出现发热,体温最高39℃,无寒战,当时就诊于“胸科医院”,诊断为“肺炎”,并静脉滴注头孢吡肟7天,第3天体温降至37.2℃,之后再次出现发热,体温最高38.5℃,无寒战,仍有咳嗽、气短,伴乏力、盗汗,为进一步诊治来我院门诊。发病以来饮食、睡眠尚可,精神可,体力欠佳,二便如常,近期体重较前无明显减低。
【临床分析】
通过问诊可明确,患者既往无呼吸系统疾病,本次发病先表现为干咳,伴乏力、盗汗,后出现发热,符合呼吸系统感染性疾病的特点,应在体格检查时重点注意肺部听诊是否存在啰音,并通过实验室检查和影像学检查寻找感染的证据。
评价:初次病史采集,对问诊所得内容进行的临床分析基本符合情理。患者主要表现为咳嗽、发热,因此首先考虑呼吸道感染性疾病。就诊于外院诊断为“肺炎”,并经系统抗感染治疗:静脉滴注头孢吡肟2.0g,每12小时1次,持续7天;口服罗红霉素0.5g,每日1次,持续7天。患者体温一度降至正常,之后再次出现发热。治疗效果不佳,病程迁延,主要考虑治疗未能有效覆盖病原体。病史采集相对全面,但对患者个人史了解不透彻,对于患者乏力、盗汗,体重减轻,在了解患者无结核病史后未再仔细询问,没能做到“刨根问底”,对于诊断思路具有重要导向作用的信息在初次采集病史时未能获取。
三、体格检查
(一)重点检查内容和目的
患者病程迁延,考虑患者呼吸系统慢性感染的可能性最大,因此在对患者进行系统、全面查体的同时,应重点注意准确测量体温和肺部体征,尤其是肺部啰音的听诊。
(二)体格检查结果及临床分析
体格检查:体温38.6℃,呼吸19次/分,脉搏88次/分,血压130/80mmHg。神志清楚,呼吸平稳,自主体位;双侧锁骨上窝可触及多个肿大的淋巴结,皮肤及巩膜无黄染,结膜无苍白,口唇无发绀;气管居中,无三凹征;胸廓对称,呼吸平稳规律,双肺叩诊呈清音,双肺听诊可闻及散在湿啰音,以双下肺为著;心界不大,心率88次/分,律齐,心音纯,各瓣膜听诊区未闻及杂音;腹软,无压痛、反跳痛及肌紧张,肝脾肋下未触及;双下肢无水肿;神经系统查体未见阳性体征。
【临床分析】
体格检查结果与问诊后初步考虑呼吸系统感染性疾病的思路相吻合。体温38.6℃,肺部闻及小水泡音提示有肺部感染。心脏查体未见异常,不支持心源性疾病。未见贫血貌,暂不支持贫血。诊断思路正确,进一步完善实验室和影像学检查,以明确病变部位、病原学,根据病原学结果选择敏感抗生素,判断病情,为诊断和治疗方案提供依据。
评价:查体全面、仔细,对于查体所得“双侧锁骨上窝可触及多个肿大的淋巴结”,并未引起足够重视,当时只考虑为感染所致,为呼吸道感染性疾病诊断提供依据,而没有就此继续追问下去。
四、实验室和影像学检查
(一)初步检查内容及目的
1.血常规、尿常规:
判断是否为感染性疾病。
2.血清支原体、衣原体、军团菌,呼吸道病毒抗体测定,血培养:
明确病原。
3.痰细菌涂片、细菌培养;
真菌涂片;结核分枝杆菌染色;结核菌素试验;结核抗体等:明确病原。
4.胸部影像学:
明确诊断并了解病变情况和范围。
5.胸水化验:
明确胸腔积液性质,判断是渗出液还是漏出液,完善结核分枝杆菌染色及结核抗体化验。
6.其他:
血清变应原测定,肝、肾功,血气分析,肺功能测定,心脏、肝胆脾彩超等:了解病情严重程度及其他脏器功能。
(二)检查结果及临床分析
【检查结果】
1.血常规:白细胞计数10.1×109/L,中性粒细胞百分比83%,淋巴细胞百分比15%,血红蛋白135g/L,血小板计数207×109/L。尿常规正常。
2.血清支原体抗体、军团菌抗体、衣原体抗体阴性。结核菌素试验及结核抗体:阴性。
3.痰细菌培养:未见致病菌生长;痰真菌涂片阴性;痰查结核菌(连续3次):阴性。
4.血清变应原检测阴性;总IgE<100IU/L。
5.肝功、肾功、血脂、血糖正常。
6.HIV抗体阴性;梅毒螺旋体抗体阴性。
7.泌尿系、肝胆脾胰彩超未见异常。心脏结构及功能未见异常。
8.肺功能:肺通气功能下降,弥散功能下降,FVC、FEV1均减低,FEV1/FVC%正常,DLCO:74%预计值。
9.血气分析:PaO2 62mmHg,PaCO2 34mmHg,P(A-a)O2 41mmHg。
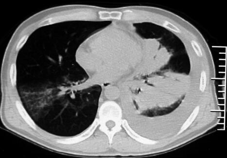
10.胸部影像学:双肺多发斑片影(图1)。

图1
【临床分析】
重要的检查结果有四项:①血常规:白细胞总数、中性粒细胞比率均略增高;②胸部影像学:胸部CT示双肺以肺门为中心对称的斑片影;③肺功能:FVC、FEV1均减低,FEV1/FVC%正常,DLCO:74%预计值。④血气分析:PaO2 62mmHg,PaCO2 34mmHg,P(A-a)O2 41mmHg。
结合患者的病史和体格检查结果,目前仍考虑肺部感染性疾病——社区获得性肺炎(community acquired pneumonia,CAP)的诊断,但目前病原学尚不明确。患者发病以来曾静脉滴注过四代头孢(头孢吡肟)7天,仍有咳嗽、气短,体温一度降至正常,但后来再次出现发热,考虑抗生素可能未完全覆盖病原体。双肺多发斑片影累及多肺叶并影响到气体交换,因此患者仍有气短。进一步的处理应是立即选择合适的抗感染药物进行治疗,其目的有二:①治疗感染;②通过治疗明确或修正诊断。
五、治疗方案及理由
【方案】
莫西沙星0.4g,每日1次,静脉滴注。
【理由】
针对CAP的初诊治疗经常是经验性的,CAP的常见病原体包括肺炎链球菌、葡萄球菌属、肺炎支原体、肺炎衣原体以及军团菌等。该患者为中年男性,既往无肺部疾病史,有乏力、盗汗等结核中毒症状,不能除外结核分枝杆菌感染,且院外已规律应用头孢类抗生素1周,选择药物应尽量选广谱抗菌药物。莫西沙星属呼吸喹诺酮类,广谱覆盖,并兼顾非典型病原体和结核分枝杆菌。该患者目前病原学不清,不能除外结核分枝杆菌感染,故首选呼吸喹诺酮类抗菌药莫西沙星,待病原学检查结果回报后进一步酌情调整。
六、治疗效果及临床分析
(一)治疗效果
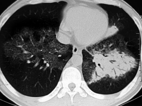
经莫西沙星治疗6天后患者仍有发热,体温稍降低,但仍可达38℃,双肺仍可闻及广泛湿啰音,双下肺可闻及散在干鸣音,气短较前加重。辅助检查回报:①血常规:白细胞计数10.5×109/L,中性粒细胞百分比85%,淋巴细胞百分比12%;②复查血清各种抗体(支原体、衣原体、军团菌)均为阴性,结核抗体阴性,PPD阴性;③痰细菌培养:未生长细菌;痰真菌培养阴性;④胸腔彩超:左侧胸腔积液;⑤胸水化验:胸腔积液常规:黄色微浊胸水,李凡他试验(+),细胞计数700×106/L;胸水生化:蛋白38.5g/L,ADA 78U/L;⑥胸部CT(治疗1周后):双肺仍可见斑片影,左肺实变影,左侧胸腔积液(图2)。

图2
(二)临床分析
患者拟诊为CAP,应用广谱抗生素莫西沙星,经过适当的抗感染治疗但病情无明显好转,此时应该考虑两个问题:①是否为特殊病原体感染?②是否是非感染性疾病?根据患者的临床特点及胸部CT表现,目前仍考虑为肺部感染性疾病,注意特殊病原体感染的可能性。患者结核抗体阴性,反复留痰查结核杆菌阴性,两次查肺炎支原体抗体、衣原体抗体、军团菌抗体阴性,以上非典型病原体感染的可能性不大,应注意其他病原感染可能,因此,重新深入询问病史特别是个人史并进行有针对性的检查非常重要。
评价:该患者经规范抗感染治疗后未见明显好转,是抗菌谱不能覆盖(特殊病原体)还是CAP的诊断是错误的呢?错在哪个环节?似乎我们应该从重新询问病史开始寻找我们的遗漏和失误所在。
七、再问病史和实验室检查结果
通过再次深入询问病史得知,患者有吸毒史约10年,主要使用冰毒(甲基苯丙胺),且未戒毒。吸毒患者出现原因不明的发热,且有明显呼吸道症状,应警惕肺孢子菌肺炎。实验室检查结果:患者留痰,采用聚合酶链式反应(PCR)法检测肺孢子虫虫病原体:检出肺孢子虫包囊阳性。
评价:仔细询问病史后了解到患者有吸毒史,至此才恍然大悟,这是病史中最重要的信息!患者中年男性,既往有吸毒史,出现不明原因发热,此时应考虑到肺孢子菌肺炎,本例患者在排除其他非典型病原体感染后,一定要注意肺孢子菌的感染。如果一开始就仔细询问病史,就不至于绕了一圈后又回到原点。故而得到的教训是询问病史一定要仔细。
八、调整治疗方案及疗效
(一)新方案
1.停用莫西沙星。
2.甲氧苄啶-磺胺甲恶唑(TMP-SMZ):TMP15mg+SMZ75mg/(kg·d),疗程2周。
3.泼尼松每日60mg,连用7天。以后依次减量为每日50mg、40mg、30mg、20mg、15mg、10mg和5mg,每种剂量均连用2天。
(二)疗效
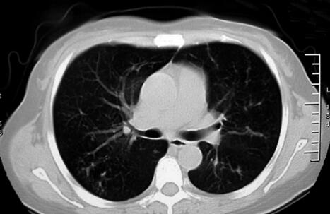
治疗1周后,患者体温恢复正常,气短较前好转,肺部干鸣音消失,仍可闻及散在湿啰音,胸部CT示胸腔积液吸收,斑片影无明显变化(图3)。治疗1个月后,患者无临床症状,复查血常规正常;复查胸部CT示双肺斑片影较前明显吸收(图4)。

图3

图4
【最终诊断】
肺孢子菌肺炎(PCP)
九、对本病例误诊误治的思考
肺孢子菌肺炎(Pneumocystis carinii pneumonia,PCP),是由肺孢子虫引起的间质性浆细胞肺炎,是条件性肺部感染性疾病。是艾滋病患者最常见和最严重的机会性感染。PCP是一种严重的机会感染性疾病,上个世纪50年代初,本病仅见于早产儿、营养不良儿。后随着器官移植、肿瘤化疗的发展、免疫抑制剂和糖皮质激素的广泛应用,以及艾滋病的出现和流行,PCP的发病率也急剧增高。其中,艾滋病患者约占60%~80%。病变特征是间质性肺炎和肺泡内肺孢子菌堆积,并迅速发展为肺泡性实变,病变广泛且呈向心性分布。PCP发病急、进展快,易导致成人呼吸窘迫综合征,最终死于呼吸衰竭。
PCP最常见于五种患者:①早产婴儿或新生儿;②先天免疫缺损或继发性免疫低下者;③恶性肿瘤如白血病、淋巴瘤患者;④器官移植接受免疫抑制剂治疗者;⑤AIDS患者。由于肺孢子菌毒性低,作为一种条件致病菌,借宿主免疫障碍发生影响,因而常与其他感染合并存在。此时,肺孢子菌往往容易被忽视,或被其他征象所掩盖,以致漏诊,在尸检时才发现。总之,其容易漏诊、诊断困难的原因包括:①PCP在临床上相对较少见,对此很少疑及,从而未进一步检查;②虽可培养,但常不能用于诊断;③该病原体有双相生活周期,而某些实验室仅检查其囊肿相;④侵袭性检查方法具有一定危险性,医生往往须在这种检查方法和凭经验治疗之间进行选择;⑤临床表现无特征,能引起PCP的免疫障碍,也能引起其他条件致病性或非条件致病性感染。
(一)问诊的重要性
该患者初诊时诉有长期吸烟饮酒史,查体双侧锁骨上窝可触及多个肿大的淋巴结,听诊肺部可闻及湿啰音,但未引起足够的重视。更应汲取教训的是患者诉近期有消瘦,体重下降明显,但也未引起足够重视,未对患者个人史进行仔细询问和挖掘,以致未能询问出患者有十年吸毒史,致免疫力低下,从而可能感染条件性致病菌的情况。
(二)治疗过程中应不断反思与纠正
对于肺部感染的患者,经验性用药是十分重要的,同时应积极完善病原学相关检查。当治疗效果不尽理想时,应不断反思,随时纠正。包括调整抗生素,重新询问病史,进一步完善检查,复查异常及重要化验等。总之,在治疗中随时纠正错误及不足,进一步明确诊断。
综上所述,本病例误诊误治关键点是:①病史询问不全面;②对PCP认识不足,临床经验较少;③初期误诊导致初期误治。
小贴士
肺孢子菌肺炎(PCP)临床诊断标准
1.HIV感染;
2.CD4+小于200/μl;
3.发热、进行性呼吸困难、紫绀、血氧饱和度下降;
4.胸部X线示间质性肺炎或胸部CT示对称性磨玻璃样改变;
5. 甲氧苄啶-磺胺甲恶唑治疗有效;
6.确诊需要镜检找到肺孢子虫包囊或PCR检出阳性。
中国医科大学附属第四医院 王笑歌 张丽娇
(环球医学编辑:余霞霞)
来源:防范与走出常见诊疗误区:呼吸疾病临床病例精粹》
作者:康健
页码:261-266
出版:人民卫生出版社
- 评价此内容
- 我要打分
近期推荐
热门关键词
最新会议
- 2013循证医学和实效研究方法学研讨会
- 欧洲心脏病学会年会
- 世界帕金森病和相关疾病2013年会议
- 英国介入放射学学会2013年第25届年会
- 美国血液学会2013年年会
- 美国癫痫学会2013年第67届年会
- 肥胖学会 2013年年会
- 2013年第9届欧洲抗体会议
- 国际精神病学协会 2013年会议
- 妇科肿瘤2013年第18届大会
- 国际创伤压力研究学会2013年第29届…
- 2013年第4届亚太地区骨质疏松症会议
- 皮肤病协会国际2013年会议
- 世界糖尿病2013年大会
- 2013年国际成瘾性药年会
- 彭晓霞---诊断试验的Meta分析
- 武姗姗---累积Meta分析和TSA分析
- 孙凤---Network Meta分析
- 杨智荣---Cochrane综述实战经验分享
- 杨祖耀---疾病频率资料的Meta分析
合作伙伴
Copyright g-medon.com All Rights Reserved 环球医学资讯 未经授权请勿转载!
网络实名:环球医学:京ICP备08004413号-2
关于我们|
我们的服务|版权及责任声明|联系我们
互联网药品信息服务资格证书(京)-经营性-2017-0027
互联网医疗保健信息服务复核同意书 京卫计网审[2015]第0344号




会员登录

