大妈无缘无故发热、恶心、呕吐1周 治疗后病情无缓解
56岁女性无缘无故发热、恶心、呕吐1周,自服“感冒药”无好转,就诊于当地医院。彩超提示右腋窝多发肿物,胸部CT示双肺未见异常。临床疑诊“病毒感染、淋巴瘤不除外”。给予“喜炎平”静脉滴注,病情无缓解,伴周身乏力、频繁呕吐,少尿。为求进一步诊疗来笔者医院。该患者怎么了?
患者女性,56岁,于2012年7月13日入院。
一、主诉
发热、恶心、呕吐1周。
二、病史询问
患者为农民,主要从事海参养殖工作,久居海边丘陵地区。既往身体健康。本次发病无明确诱因,病初头晕、头痛、周身乏力,未在意,1周后出现发热,体温38~39℃,呈持续性发热,伴明显恶心、呕吐等胃肠道症状,自服“感冒药”无好转,就诊于当地医院。血常规:白细胞计数2.2×109/L,中性粒细胞百分比72.7%,中性粒细胞计数1.61×109/L,淋巴细胞百分比23%,淋巴细胞计数0.51×109/L,血小板计数59×109/L。彩超提示右腋窝多发肿物,较大者3.5cm×1.0cm,界清。胸部CT示双肺未见异常。临床疑诊“病毒感染、淋巴瘤不除外”。给予“喜炎平”静脉滴注,病情无缓解,伴周身乏力、频繁呕吐,少尿(尿量约每日200ml)。
【临床分析】
患者既往健康,急性起病,病史1周,以发热为主要表现,感染性疾病较为常见,因伴有多发淋巴结肿大,非感染性发热如淋巴瘤等不能完全除外。如果是感染性发热,何种病原体可以导致发热、恶心、呕吐、淋巴结肿大和血小板减少呢?
患者感染中毒症状较重,依据病史和外院检查资料:无局灶感染的证据,无免疫缺陷及糖尿病等导致免疫力低下的基础疾病,无拔牙、皮肤黏膜化脓性感染病史,故脓毒血症、感染性心内膜炎等全身感染性疾病可能性不大。因此初步诊断:病毒感染可能性大,流感病毒?
评价:这是初次病史采集,问诊内容似乎比较全面,但没有针对特殊居住环境“久居海边丘陵地区、居住平房”继续“刨根问底”。因为患者高热,少尿,如果曾接触老鼠,需要高度疑诊汉坦病毒引起的“流行性出血热”。即“急性传染病”的疑似诊断对于发热患者非常重要。
三、体格检查
体温38.8℃,心率72次/分,呼吸22次/分,血压90/60mmHg。神志清楚,问答合理,精神萎靡,懒言,急性热病容,结膜无苍白,巩膜轻度黄染,周身皮肤黏膜无出血点,右腋窝顶部可触及一枚不规则肿块,直径3.0cm×4.0cm,质硬、轻压痛、活动度差,与周围组织无粘连,表面皮肤可见点状破溃、结痂,皮肤颜色正常,皮温略高。口唇无发绀,双肺呼吸音粗,未闻及干湿性啰音,心律齐,各瓣膜听诊区未闻及杂音及额外心音,腹平软,无压痛、反跳痛及肌紧张,肝脾未触及,肝区轻叩痛,Murphy征阴性;四肢、神经系统等检查未见异常。
评价:入院体检发现“右腋窝淋巴结肿大,表面皮肤点状破损,似有叮咬痕迹”,这些信息都未能引起足够的重视,是因为前面病史采集时忽略了居住环境的重要深层次信息。
四、实验室和影像学检查
1.血常规:白细胞计数2.2×109/L,中性粒细胞百分比62.7%,淋巴细胞百分比28.6%,血小板计数24.4×109/L。
2.生化肝功能、肾功能:丙氨酸氨基转移酶177IU/L、天门冬氨酸氨基转移酶503IU/L;血尿素氮7.7mmol/L、血肌酐50μmol/L。
3.凝血象:APTT 35.9秒,D-二聚体20320μg/L,纤维蛋白原1.15g/L。
4.尿蛋白:阳性。
5.血沉4mm/h,铁蛋白(SF)>2000ng/ml。
6.动脉血气分析(未吸氧):pH 7.47,PaO2 61.7mmHg,PaCO2 35.3mmHg。
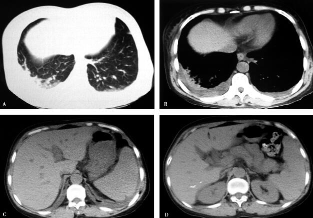
7.全腹CT:(2013年7月15日,图1)双肺下叶少许斑片影、双侧胸腔少量积液,肝右叶胆管结石,胆囊炎,脾增大,少量腹水,上腹部肠系膜周围可见少许渗出。

图1
【临床分析】
患者女性,既往健康,急性起病,病史仅一周,以发热、恶心呕吐为主要表现,伴有淋巴结肿大、血小板减少及少尿和胸腔积液表现。全身症状较重,入院后辅助检查提示多器官受累:白细胞和血小板减少;肝功转氨酶升高;蛋白尿;Ⅰ型呼吸衰竭;凝血指标提示APTT轻度延长、D-二聚体明显升高、纤维蛋白原下降;以上检查结果提示短期发病后多系统受累。病因分析如下:
1.该患者在当地医院就诊曾应用“喜炎平”等中药静脉滴注治疗,是否存在“喜炎平”过敏反应,进一步启动“系统性炎症反应”导致严重得多器官损害呢?国家药监局已经提示关注“喜炎平注射液引起严重过敏反应”的问题。但该患者停用“喜炎平”已经5天,症状呈持续性进行性加重,单纯用药物过敏反应难以解释。
2.发热患者,短时间伴有严重多器官受累症状,必须考虑到“急性传染病”可能。
(1)流感或相关病毒感染:由于当时当地无流行病学史,周围无类似病例,病程10余天仍无自限性趋势,且病情越来越重,故流感病毒感染可能性不大。
(2)伤寒:典型病例以持续发热、相对缓脉、神情淡漠、脾大、玫瑰疹和血白细胞减少等为特征,该患者发热伴明显的消化道症状,精神萎靡、累及多器官系统,故行肥达试验、便培养等检查。
(3)流行性出血热:是由汉坦病毒引起的急性、地方性、自然疫源性传染病。病情危急,并发症多,病死率高。其主要病理变化是全身广泛性的小血管和毛细血管的损害。临床上以发热、出血、肾脏损害为三大主症,典型病例表现为五期经过,即发热期、低血压休克期、少尿期、多尿期和恢复期。该患者生活在海边丘陵地区,居住平房,生活环境有接触老鼠可能,虽无明显皮肤黏膜出血表现,但发热的同时有血小板减少的突出表现,同时也伴有肾脏受累依据:尿蛋白阳性、入院时日尿量约200ml。尽管追述病史时患者否认直接接触老鼠,但上述临床表现仍需要高度疑诊流行性出血热。
综上考虑:流行性出血热可能性大,应当行流行性出血热抗体检查。
五、治疗方案及理由
【方案】
补液支持治疗:给予流质饮食,静脉补充营养,补液纠正离子紊乱。给予阿拓莫兰静脉滴注保肝、利巴韦林静脉滴注抗病毒治疗。
六、治疗效果及临床分析
上述治疗4天,病情持续进展:仍发热,体温38~39℃,右腋窝淋巴结进行性增大,精神萎靡逐渐加重并间断出现嗜睡等症状,频繁呕吐,纳差、日尿量约300~500ml。
此间实验检查结果回报:
血常规:白细胞计数4.73×109/L;中性粒细胞计数2.04×109/L,血小板计数25.4×109/L。
肝肾功能:丙氨酸氨基转移酶242IU/L,天门冬氨酸氨基转移酶625IU/L,白蛋白29.1g/L。
血和尿淀粉酶均阴性,超敏肌钙蛋白0.16μg/L。
血清多种抗体(包括支原体、衣原体、军团菌)均正常。
流行性出血热抗体(2次)阴性。
评价:原本认为,发热、血小板减少,伴肝损害、少尿,蛋白尿,流行性出血热可能性大,但入院后连续两次查流行性出血热抗体均为阴性,由于病程已超过10天,流行性出血热的特异性抗体检测仍为阴性,故可除外流行性出血热。需要重新审视诊断、修正治疗方案,再次转回患者居住环境——“海边山区,丛林地带”,夏季满山遍野的蚊虫令医者“茅塞顿开”、“豁然开朗”:发热伴白细胞和血小板减少和转氨酶升高,高度支持“发热伴血小板减少综合征”的诊断。
七、再问病史和实验室检查
患者夏季发病,久居海边丛林地区,蚊虫繁多,故需要考虑蚊虫媒介的相关感染性和传染性疾病。患者从未去过南方,可除外疟疾;故高度疑诊“发热伴血小板减少综合征”,该病是因蜱虫叮咬引起新型布尼亚病毒感染或腺热立克次体感染导致的,因此请求市疾控中心协助行新型布尼亚病毒抗体检测,次日结果回报新型布尼亚病毒抗体检测为阳性。至此可明确诊断:发热伴血小板减少综合征。
评价:发病季节、居住环境,浅表淋巴结肿大,腋下包块表面似有叮咬痕迹等,这些是病史中最重要的信息!且临床表现很典型:发热、血小板减少、肝损害、可伴有浅表淋巴结及肝脾肿大等,结合疾控中心抗体检测结果,诊断明确。
八、调整治疗方案及疗效
【方案】
隔离休息,抗病毒,继续保肝治疗,支持治疗。
【疗效】
治疗10天后一般状态好转,进食改善,仍低热、乏力、时有恶心、腹痛,尿量正常,右腋顶部淋巴结较前缩小(2.5cm×3.5cm),质硬、压痛。
复查血常规:白细胞计数5.36×109/L,中性粒细胞计数1.87×109/L,血小板计数247×109/L。
肝功能:丙氨酸氨基转移酶39IU/L,天门冬氨酸氨基转移酶36IU/L,白蛋白32g/L,γ-转肽酶221IU/L。
【最终诊断】
发热伴血小板减少综合征
九、对本病例误诊误治的思考
2009年3~7月,一种以发热伴血小板减少为主要特征的新型传染性疾病在我国中部的湖北省和河南省的农村地区发生。该病的主要临床症状包括发热、血小板减少、胃肠道症状和白细胞减少。根据该病的临床特点,将其命名为发热伴血小板减少综合征(又称蜱咬症)。这种新发传染性疾病在最初发现时致死率可高达30%。2010年3月,我国的中部和东北部地区再次频繁出现一些患者,临床表现与发热伴血小板减少综合征的患者相似。自该病发生以来,中国疾病预防控制中心开展了一系列调查研究,从患者的血液标本中分离出一种新型病毒。由于该新型病毒与发热伴血小板减少综合征的相关性,将其命名为发热伴血小板减少综合征布尼亚病毒(SFTSV),简称新布尼亚病毒。
1.病原学
新发现的病毒属于布尼亚病毒科(Bunyaviridae)白蛉病毒属(Phlebovirus),电镜下病毒颗粒呈球形或者椭球形,直径80~100nm,外有双层脂质包膜,表面有棘突。基因组包含三个单股负链RNA片段(L、M和S)。现存的SFTSV一般抵抗力弱,不耐酸,易被热、乙醚、去氧胆酸钠和常用消毒剂及紫外线照射等迅速灭活。
2.流行病学
新布尼亚病毒感染引起的发热伴血小板减少综合征病例多散发于呈丘陵地貌的农村地区,分布散在,从事野外作业的人群容易被病毒感染,目前已在河南、湖北、山东、安徽、辽宁、江苏等省发现该病病例。本病多发于春、夏季,不同地区可能略有差异。传播途径尚不确定。目前,已从病例发现地区的蜱中分离到该病毒。部分病例发病前有明确的蜱叮咬史。尚未发现人传人的证据。急性期患者血液可能有传染性。
3.临床表现
潜伏期尚不十分明确,可能为1~2周。急性起病,主要临床表现为发热,体温多在38℃以上,重者持续高热,可达40℃以上,部分病例热程可长达10天以上。伴乏力、食欲缺乏、恶心、呕吐等,部分病例有头痛、肌肉酸痛、腹泻等。查体常有颈部及腹股沟等浅表淋巴结肿大伴压痛、上腹部压痛及相对缓脉。
少数病例病情危重,出现意识障碍、皮肤瘀斑、消化道出血、肺出血等,可因休克、呼吸衰竭、弥散性血管内凝血(DIC)等多脏器功能衰竭死亡。绝大多数患者预后良好,但既往有基础疾病、老年患者、出现精神神经症状、出血倾向明显、低钠血症等提示病情严重,预后较差。
综上所述,本病例误诊误治关键点是:对发热伴血小板减少综合征缺乏认识,本病易与其他传染性疾病混淆。
小贴士
发热伴血小板减少综合征诊断标准
1.农民,丘陵地区或野外作业人员;
2.发热;
3.白细胞、血小板减少;
4.转氨酶升高;
5.浅表淋巴结肿大;
6.新型布尼亚病毒抗体检测阳性;
上述症状1~5伴第6条指标阳性则可定为发热伴血小板减少综合征的临床诊断。
大连医科大学附属第一医院 李艳霞 张中和
(环球医学编辑:余霞霞)
来源:《防范与走出常见诊疗误区:呼吸疾病临床病例精粹》
作者:康健
页码:290-294
出版:人民卫生出版社
- 评价此内容
- 我要打分
近期推荐
热门关键词
最新会议
- 2013循证医学和实效研究方法学研讨会
- 欧洲心脏病学会年会
- 世界帕金森病和相关疾病2013年会议
- 英国介入放射学学会2013年第25届年会
- 美国血液学会2013年年会
- 美国癫痫学会2013年第67届年会
- 肥胖学会 2013年年会
- 2013年第9届欧洲抗体会议
- 国际精神病学协会 2013年会议
- 妇科肿瘤2013年第18届大会
- 国际创伤压力研究学会2013年第29届…
- 2013年第4届亚太地区骨质疏松症会议
- 皮肤病协会国际2013年会议
- 世界糖尿病2013年大会
- 2013年国际成瘾性药年会
- 彭晓霞---诊断试验的Meta分析
- 武姗姗---累积Meta分析和TSA分析
- 孙凤---Network Meta分析
- 杨智荣---Cochrane综述实战经验分享
- 杨祖耀---疾病频率资料的Meta分析
合作伙伴
Copyright g-medon.com All Rights Reserved 环球医学资讯 未经授权请勿转载!
网络实名:环球医学:京ICP备08004413号-2
关于我们|
我们的服务|版权及责任声明|联系我们
互联网药品信息服务资格证书(京)-经营性-2017-0027
互联网医疗保健信息服务复核同意书 京卫计网审[2015]第0344号




会员登录

