大叔气短伴背痛、咳嗽和发热 发病期间体重下降明显 是何原因?
53岁男性,无明显诱因出现活动后气短2个月,伴间断咳嗽,少痰。咳嗽、气短症状进行性加重。近半个月出现背痛,咳嗽、变换体位时疼痛加重。近10天出现间断发热,体温最高38℃左右,于当地医院给予头孢类抗生素治疗,上述症状日趋加重遂来笔者医院就诊,近几个月体重下降约7千克。该患者怎么了?如何治疗?
患者男性,53岁,于2012年8月15日入院。
一、主诉
气短2个月。
二、病史询问
(一)初步诊断思路及问诊目的
气短是呼吸系统疾病的常见症状,本身缺乏特异性。因此往往在问诊时还要结合其他的临床资料对病因做大致的判断。包括发病的诱因、发病时的主要症状及特点、伴随症状,是否用药治疗及效果、是否存在基础疾病等问题展开,并兼顾重要鉴别疾病的临床表现,以寻找发现病因的蛛丝马迹。
(二)问诊主要内容及目的
1.发病前是否存在明确诱因?
气短是呼吸系统(如支气管哮喘、慢阻肺等)和循环系统(左心功能不全等)疾病的常见表现,这些疾病在急性加重出现气短症状时,往往存在一定的诱因,如呼吸道感染、劳累等。
2.气短的特点及是否存在伴随症状?
虽然许多疾病都可以出现气短,但有些疾病(如支气管哮喘)的气短表现为时轻时重,有的疾病(如弥漫性肺间质纤维化)则呈进行性加重,而有些疾病(如心衰)则主要表现为劳力性呼吸困难。不同疾病在气短症状出现的同时,往往会出现相应的伴随症状,如咳嗽、喘息、发热、胸痛、咯血以及体位的影响等等,这些都是问诊时的重要内容。
3.入院前是否应用药物治疗?什么药?效果如何?
患者病史较长,往往已在其他医院接受过药物治疗。通过分析已经接受的治疗是否有效,有助于分析疾病的病因及制定下一步治疗方案。
4.既往有何种疾病,是否有呼吸系统症状?
某些患者气短加重往往是由慢性呼吸系统或循环系统疾病急性加重所致,对于中老年患者以气短为主要表现时,还要追问既往是否有类似发作以及是否存在基础疾病。
5.是否存在环境及职业因素?
环境及职业因素可以引起许多以气短为主要表现的呼吸系统疾病,其中既有急性或亚急性发病者(如外源性过敏性肺泡炎),亦可表现为隐袭起病(如矽肺等)。
(三)问诊结果及临床分析
患者为农民,主要从事家务。既往身体健康,无慢性呼吸系统疾病。2个月前无明显诱因出现活动后气短,伴间断咳嗽,少痰。咳嗽、气短症状进行性加重。近半月出现背痛,于咳嗽、变换体位时疼痛加重,位置不固定。近10天间断出现发热,体温最高38℃左右,偶有痰中带少量血丝,于当地医院给予头孢类抗生素治疗,上述症状日趋加重遂来诊,病来无夜间憋醒,二便正常,近几个月体重下降约7千克。
【临床分析】
通过问诊可明确,患者既往无确切基础疾病,本次发病先为咳嗽、气短,后出现后背痛并伴发热,倾向肺部感染性疾病。应在体格检查时重点注意肺部体征,并通过实验室检查和影像学检查寻找感染的证据,还应注意与心源性疾病所导致的呼吸困难相鉴别。
评价:虽然发热、咳嗽、胸痛及呼吸困难常见于肺部感染性疾病,但对于本例患者,以气短为突出表现,且在出现咳嗽、气短症状近2个月后才出现发热症状,并不符合典型的肺部感染性疾病的特点。仅仅通过问诊时发热症状做出肺部感染性疾病的判断显然为时尚早,可能会影响临床判断的合理性。此外,也忽略了体重下降这一异常现象。
三、体格检查
(一)重点检查内容和目的
考虑患者肺部感染的可能性最大,因此在对患者进行体格检查时,应重点注意肺部体征,尤其是感染的体征。同时,为除外心源性呼吸困难,也要注意心脏大小,是否有心脏杂音和奔马律及肺部啰音的分布及特点。
(二)体格检查结果及临床分析
体温37.6℃,呼吸20次/分,脉搏98次/分,血压101/70mmHg。神志清楚,呼吸平稳,自主体位。口唇无发绀,气管居中,无三凹征。胸廓对称,双侧呼吸运动一致,双肺叩诊呈清音。双肺听诊偶可闻及少许干鸣音,右肺可闻及小水泡音。心界不大,心音纯,律整,未闻及奔马律和各瓣膜区杂音。腹部、四肢、神经等系统检查未见异常。
【临床分析】
体格检查结果支持感染性疾病的判断。发热、肺部干湿啰音表明气道内有分泌物渗出或炎症所致痉挛,均符合感染性疾病的临床表现。心脏检查未发现心源性疾病的证据。接下来将进行实验室和影像学检查,以明确感染部位、范围、可能的病原体,并判断病情的严重程度,制定进一步的治疗计划。
评价:正是由于病史采集的过程中过早地做出肺部感染性疾病的结论,从而干扰了对体征的客观判断,进而影响了制定实验室检查的合理性。
四、实验室和影像学检查
(一)初步检查内容及目的
1.血常规:
进一步证实感染性疾病。
2.血清支原体、衣原体、军团菌、病毒抗体检查:
明确病原。
3.痰菌涂片、痰菌培养:
明确病原。
4.血气分析:
评价病情
5.胸部CT:
明确诊断并了解病变部位和范围。
(二)检查结果及临床分析
【检查结果】
1.血常规:
白细胞计数10.1×109/L,中性粒细胞百分比74%,余正常。
2.动脉血气分析(未吸氧):
pH 7.47,PaO2 58.2mmHg,PaCO2 39.8mmHg。
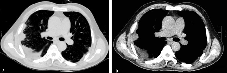
3.胸部影像学:
双肺多发浸润影(图1 A肺窗,B纵隔窗)。

图1
【临床分析】
虽然血常规的检查结果仍然符合感染性疾病的特点,但较低的动脉血氧分压以及胸部影像学所见则值得推敲。患者的胸部CT显示为双肺多发浸润影,病灶分布在胸膜下,无空洞形成,伴右侧胸腔少量积液。这些表现似乎并不符合典型感染性疾病的影像学特点,同时虽然病灶的范围累及多个肺段,但似乎很难达到影响气体交换导致呼吸衰竭的程度。此时,我们对感染性疾病的最初判断产生了疑问。虽然不能完全否定感染性疾病的可能,但至少应该重新梳理我们的思路。
评价:临床工作中,当我们遇到任何心存疑问的地方,都不能轻易放过。应该仔细推敲有疑问的地方,是否可以找到合理的解释,如果不能找到合理的解释,就意味着隐患的存在,甚至有可能导致严重的后果。
回顾该患者的临床特点可以发现:虽然患者此次就诊时存在发热,但最突出的表现应该是进行性加重的气短,联系到临床症状中的后背痛、痰中带血、胸部影像学改变特点及呼吸衰竭,显然不能排除肺栓塞的可能。进一步的处理应是:①选择合适的抗感染药物进行治疗,通过治疗明确或修正诊断;②针对肺栓塞进行相应检查。
评价:此时根据患者进行性加重的气短,后背痛,痰中带血,低氧血症及胸部影像学表现,考虑肺栓塞是正确的。但是患者为中年男性,发病期间出现了体重的明显下降,这一信息却被临床医生忽略,而正是这一信息决定了后来肺栓塞及其病因的确诊。
五、抗菌治疗方案及理由
【方案】
莫西沙星0.4g,每日1次,静脉滴注。
【理由】
莫西沙星能够覆盖常见的社区获得性肺炎最主要的病原体,包括肺炎链球菌、葡萄球菌属、肺炎支原体、肺炎衣原体以及军团菌等。
六、治疗效果及实验室检查分析
(一)治疗效果
经莫西沙星治疗一周体温有所下降,但呼吸困难无缓解。
(二)实验室检查分析
针对所怀疑的肺栓塞,我们进行了D-二聚体、心电图、心脏彩超及双下肢彩超的检查。结果如下: D-二聚体2.41μg/ml;心电图为窦性心律,心率93次/分,未见明显异常;心脏彩超各室腔内径在正常范围。双下肢彩超回报:未见血栓形成。虽然心电图和心脏彩超的检查结果未发现肺动脉高压的征象,但D-二聚体明显增高,考虑病史较短可能不足以累及心脏,我们又进行了CT肺动脉造影(CTPA)检查。CTPA结果:肺动脉未见明显栓塞现象,双肺胸膜下多发斑片影,较前无改善。
经过一周莫西沙星的治疗,虽然体温有所下降,但临床主要症状无缓解,且肺部病灶无吸收,提示当初感染性疾病的考虑不正确。但CTPA检查的阴性结果又为疾病的诊断带来困扰,肺栓塞的推测错了吗?是否那个环节有遗漏?于是我们再次回顾了病史。这次,我们注意到一个之前忽略的细节——患者的体重在2个月内减轻了7千克。众所周知,这种现象最常出现在恶性肿瘤的患者。而肿瘤患者易合并肺栓塞,且由于肿瘤栓子较小,其所形成的肺栓塞往往位于亚段肺动脉以下,而这部分肺动脉恰恰是CTPA的盲区。
评价:临床医疗过程中,我们既不能钻牛角尖,认定一个推论不变,也不要轻易推翻已经做出的判断。否则将使我们无所适从,使诊断或治疗陷入困境。更不要忽视任何一个微小的细节,不论是病史、查体还是辅助检查结果。
七、补充影像学及实验室检查结果
通过再次分析病史,我们高度怀疑患者肺部病变是由于恶性肿瘤所引起的肺栓塞。虽然CTPA未见肺栓塞征象,但并不应该就此否定。于是对患者进行了放射性核素肺通气/血流灌注扫描,同时检测血肿瘤标志物,并动员患者行PET-CT检查。结果如下:CA125 236.9U/ml(0~35U/ml),CA199 162.2U/ml(0~27U/ml),均明显升高;肺通气/血流灌注显像提示双肺多处血流灌注降低区,相应部位通气功能未见异常(图2),符合肺栓塞改变;PET-CT显示肝门区软组织密度影,代谢增高,恶性病变可能性大。

图2
评价:至此诊断明确。如果一开始在问诊时我们就注意到体重下降这一点,可能我们就不会在诊断过程中兜圈子。由于患者来诊时有发热症状,使我们过早地做出感染性疾病的判断,进而忽视了如此重要的信息。
【最终诊断】
肺栓塞、肝脏恶性肿瘤可能性大
八、对本病例误诊误治的思考
肺栓塞极易被漏诊,它可表现出诸多非特异性的症状和体征,易被误诊为许多其他疾病。肺栓塞易被误诊主要由于下述原因:
1.临床医生对肺栓塞认识不足,警惕性不高,仅满足于常见病的诊断。临床上肺栓塞诊断的思维步骤是首先基于临床症状、体征,考虑到肺栓塞的可能性,接下来再进一步做D-二聚体、血气分析等筛查试验,最后行CTPA、放射性核素肺通气/血流灌注扫描等检查确定诊断。
2.肺栓塞的症状、体征缺乏特异性。慢性肺栓塞发病隐匿,其症状复杂且缺乏特征性,临床表现轻重程度变化较大,可从无症状到猝死。为避免漏诊误诊,首先我们应该提高意识,对不明原因的呼吸困难和低氧血症均应想到肺栓塞的可能。其次要了解该病的危险因素,如近期创伤、手术、长期卧床、下肢静脉曲张、妊娠史、隐性恶性肿瘤、长期应用糖皮质激素、口服避孕药、抗磷脂综合征、肾病综合征等高凝状态、近期静脉操作史,长途旅行等制动状态等。在询问病史时要特别注意有无危险因素,危险因素越多越应考虑。另外,体格检查要全面、准确。
3.常规检查缺乏特异性,对于某些辅助检查缺乏全面分析。当怀疑患者肺栓塞的可能性时,往往先进行筛查试验,如D-二聚体、血气分析、心电图以及胸部X线,但这些常规检查缺乏特异性。例如:虽然肺栓塞患者大多有低氧血症,但PaO2正常并不能排除肺栓塞,因为小病灶的肺栓塞者血气分析中低氧血症并不明显;心电图早期表现为一过性改变,多数病例心电图正常;在慢性肺栓塞患者中,D-二聚体仅轻度升高或正常;而胸部X线表现多种多样,缺乏特异性。肺动脉造影、放射性核素及CTPA检查有较高的阳性率,常用以确定诊断。其中放射性核素虽敏感性高,但由于受肺血流量的影响,结果判定上较为复杂、不能快速诊断;肺动脉造影诊断准确可靠,但具有创伤性,临床无法广泛应用;CTPA不仅敏感性高,而且特异性强,已逐渐成为主要的检查方法。但其对段以上肺动脉栓塞敏感度高,对段以下肺动脉内的栓塞诊断率低。因此,临床工作中要充分了解各种检查方法的优点与不足,综合运用各种检查手段,全面分析检查结果。
总之,肺栓塞的诊断与鉴别诊断是临床工作中所面临的一大难题,在很大程度上依赖于医生的能力和经验。如果初诊医生缺乏临床知识和经验、不了解肺栓塞的临床特征则很容易被误导,这也是至今肺栓塞误诊率居高不下的主要原因。
综上所述,本病例误诊误治关键点是:①病史分析没有抓住关键点;②对肺栓塞缺乏警惕性。
小贴士
2011年AHA关于大面积肺栓塞与次大面积肺栓塞的定义
1.大面积肺栓塞(高危PTE):急性肺栓塞伴有持续性低血压,即收缩压<90mmHg,持续15分钟以上。并排除心律失常、血容量不足、脓毒血症、左室功能障碍、心动过缓等。
2.次大面积肺栓塞(中危PTE):急性肺栓塞不伴全身性低血压(收缩压≥90mmHg),但合并右心室功能障碍或心肌损伤证据。
3.非大面积肺栓塞(低危PTE):急性肺栓塞排除大面积或次大面积肺栓塞,无临床预后不良指标者。
中国医科大学附属第一医院 王赞峰
(环球医学编辑:余霞霞)
来源:《防范与走出常见诊疗误区:呼吸疾病临床病例精粹》
作者:康健
页码:338-342
出版:人民卫生出版社
- 评价此内容
- 我要打分
近期推荐
热门关键词
最新会议
- 2013循证医学和实效研究方法学研讨会
- 欧洲心脏病学会年会
- 世界帕金森病和相关疾病2013年会议
- 英国介入放射学学会2013年第25届年会
- 美国血液学会2013年年会
- 美国癫痫学会2013年第67届年会
- 肥胖学会 2013年年会
- 2013年第9届欧洲抗体会议
- 国际精神病学协会 2013年会议
- 妇科肿瘤2013年第18届大会
- 国际创伤压力研究学会2013年第29届…
- 2013年第4届亚太地区骨质疏松症会议
- 皮肤病协会国际2013年会议
- 世界糖尿病2013年大会
- 2013年国际成瘾性药年会
- 彭晓霞---诊断试验的Meta分析
- 武姗姗---累积Meta分析和TSA分析
- 孙凤---Network Meta分析
- 杨智荣---Cochrane综述实战经验分享
- 杨祖耀---疾病频率资料的Meta分析
合作伙伴
Copyright g-medon.com All Rights Reserved 环球医学资讯 未经授权请勿转载!
网络实名:环球医学:京ICP备08004413号-2
关于我们|
我们的服务|版权及责任声明|联系我们
互联网药品信息服务资格证书(京)-经营性-2017-0027
互联网医疗保健信息服务复核同意书 京卫计网审[2015]第0344号




会员登录

