女子胸痛、咯血、呼吸困难怀疑肺栓塞 不曾想病因另有玄机
30岁女性,半个月前出现发热,伴咳嗽、咳痰,给予抗感染治疗数日后症状略有缓解,体温恢复正常,但仍有咳嗽、咳痰,并出现双下肢疼痛、活动后气短症状,偶有胸痛,偶有痰中带血。3天前出现双下肢水肿,行下肢血管彩超发现深静脉血栓,行肺动脉CTA示双肺动脉栓塞、右肺下叶静脉栓塞、双下肢深静脉血栓形成。门诊以“肺栓塞”收入院。该患者患有?如何治疗?
患者女性,30岁,于2012年11月03日入院。
一、主诉
胸痛、痰中带血、呼吸困难伴咳嗽、咳痰半个月。
二、病史询问
(一)初步诊断思路及问诊目的
患者有痰中带血、呼吸困难、胸痛症状,为肺梗死三联征,按常规临床思路应将肺栓塞放在首位。因此,问诊目的主要围绕血栓形成的高危因素、发病特点及伴随症状,是否曾止血及抗血栓治疗及效果等问题展开,并兼顾重要鉴别疾病的临床表现,以寻找符合肺栓塞疾病表现的证据。
(二)问诊主要内容及目的
1.胸痛症状是否是突然出现?
肺栓塞患者的胸痛症状常常为突然发生的,表现为某一或某些区域的胸痛从轻微到难以忍受的程度不等的胸部疼痛,包括胸膜炎性胸痛或心绞痛样疼痛。
2.咯血量多少?
肺栓塞咯血常为小量咯血,大咯血少见。
3.呼吸困难的程度及诱因?
不明原因的呼吸困难及气促,尤以活动后明显,为肺栓塞最多见的症状。
4.是否应用止血药物?
肺栓塞咯血患者应用止血药物可能会适得其反。
5.是否有某下肢或双下肢肿胀、周径增粗、疼痛或压痛、行走后易疲劳等表现?
上述症状为下肢深静脉血栓形成的临床表现,肺血栓栓塞症与深静脉血栓形成实质上为一种疾病过程在不同部位、不同阶段的表现。
6.是否存在骨折、外科手术后、制动或长期卧床、恶性肿瘤、口服避孕药、妊娠或产褥期等因素?
静脉血栓形成的危险因素包括任何可以导致静脉血液瘀滞、静脉系统内皮损伤和血液高凝状态的因素。上述因素为常见的高危因素。
7.诊治经过、既往史及个人史等?
属于常规问诊。
(三)问诊结果及临床分析
患者半个月前出现发热,伴咳嗽、咳痰,给予抗感染治疗数日后症状略有缓解,体温恢复正常,但仍有咳嗽、咳痰,并出现双下肢疼痛、活动后气短症状,偶有胸痛,偶有痰中带血,3天前出现双下肢水肿,行下肢血管彩超发现深静脉血栓,行肺动脉CTA示双肺动脉栓塞、右肺下叶静脉栓塞、双下肢深静脉血栓形成。门诊以“肺栓塞”收入院。既往史:2006年曾诊断“特发性血小板减少症”。胆囊切除病史。
【临床分析】
通过问诊可明确,患者本次发病有典型的胸痛、咯血、呼吸困难的肺梗死三联征临床表现,下肢血管彩超及肺动脉CTA明确双下肢深静脉血栓形成及肺栓塞临床诊断,体格检查时应重点注意下肢肿胀情况,并需嘱咐患者绝对卧床。
评价:这是初次病史采集,看似无明显漏洞;对问诊内容进行的临床分析也似合情合理。但这里有几个问题:其一,患者既往“特发性血小板减少症”病史,因可能会影响后续的抗凝治疗,需在问诊时“刨根问底”,但却被病史采集者忽视了。其二,上述病史中未寻找到深静脉血栓形成的危险因素,对于肺栓塞“求因”的重要信息未能在初次病史采集时获取到,可能导致潜在疾病的漏诊。其三,年龄为肺栓塞的独立危险因素,该患者为年轻女性,此临床特点未得到足够的重视。
三、体格检查
(一)重点检查内容和目的
考虑患者深静脉血栓形成及肺栓塞临床诊断,因此在对患者进行系统的、全面的检查同时,应重点注意双下肢肿胀情况。为指导治疗方案,对是否发绀、是否合并胸腔积液、血压情况、心脏大小、心脏心音及杂音等亦应格外注意。
(二)体格检查结果及临床分析
体温36.5℃,呼吸18次/分,脉搏76次/分,血压124/80mmHg,血氧饱和度94%。神志清楚,呼吸平稳,自主体位。口唇无发绀,气管居中,无三凹征。胸廓对称,双侧呼吸运动一致,双肺叩诊呈清音。双肺听诊未闻及干湿啰音。心界不大,心音正常,律齐,未闻及奔马律和各瓣膜区杂音。双下肢略肿胀。
【临床分析】
体格检查结果与问诊后考虑肺栓塞及下肢深静脉血栓形成的思路相吻合。双下肢略肿胀提示双下肢深静脉血栓形成。SpO2 94%表明存在一定程度的低氧血症。心脏检查未见异常,血压正常范围之内,未见急性右心功能不全及血流动力学障碍表现。进一步实验室和影像学检查的主要目的是判断病情,以为治疗方案提供依据。
四、实验室和影像学检查
(一)初步检查内容及目的
1.D-二聚体:
监测指标。
2.血常规:
常规检查,查血小板指标。
3.尿常规、生化:
常规检查。
4.凝血常规:
监测指标,评估病情,制订治疗方案。
5.双下肢血管彩超:
与肺动脉CTA配合查双下肢深静脉是否存在血栓。
6.肺动脉CTA:
肺栓塞诊断的确诊依据之一。
7.心电图:
评价病情,制订治疗方案。
8.心脏彩超:
评价病情,制订治疗方案。
(二)检查结果及临床分析
【检查结果】
1.D-二聚体:902ng/ml。
2.血常规:血小板计数58×109/L,白细胞计数、中性粒细胞分类、血红蛋白均正常。
3.尿常规、生化无异常。
4.凝血常规:APTT 71.6秒,呈2倍延长,INR正常。
5.双下肢血管彩超:左侧股浅静脉血栓,右侧腘静脉血栓。
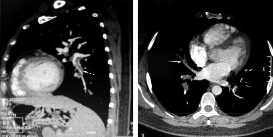
6.肺动脉CTA:双肺上叶动脉、右肺中叶动脉、双肺下叶动脉见有条片状充盈缺损,以两肺下叶为著,右肺下叶静脉密度欠均匀,其内见条状低密度影,双侧下肢深静脉见条状充盈缺损,以左下肢深静脉为著。诊断提示:双肺动脉栓塞,右肺下叶静脉栓塞,双下肢深静脉血栓(图1)。

图1
7.心电图未见异常。
8.心脏彩超未见明显异常,未见肺动脉高压。
【临床分析】
重要的检查结果有三项:①肺动脉CTA明确该患者肺动、静脉栓塞及下肢深静脉血栓形成;②心脏彩超未见异常,未见肺动脉高压;③血常规显示血小板低于正常,凝血常规显示APTT在未应用抗凝药物前即呈2倍延长。结合患者临床资料,明确该患者肺动脉、肺静脉栓塞及双下肢深静脉血栓形成的临床诊断,结合患者无血流动力学障碍及急性右心功能不全情况,治疗方案以抗凝治疗为主,但血小板及APTT异常情况可能会影响抗凝治疗的安全性。故给予安全性相对高的低分子肝素钙抗凝治疗。
五、治疗方案及理由
【方案】
低分子肝素钙(速碧林)4100IU,每日2次,皮下注射抗凝治疗;左氧氟沙星0.4g,每日1次,静脉注射预防感染;氨溴索60mg,每日1次,静脉注射祛痰治疗。
【理由】
肺栓塞的治疗方案包括溶栓及抗凝,符合急性右心衰竭、血流动力学障碍、生命体征不平稳等溶栓指征情况下需紧急给予溶栓治疗,其余患者以抗凝治疗为主。本患者无溶栓指征,故以抗凝治疗为主,注意监测凝血常规。
六、治疗效果及临床分析
(一)治疗效果
患者经抗凝、抗感染等治疗后,呼吸系统症状逐渐好转,但仍存在双下肢略肿胀情况。
(二)临床分析
该患者的治疗方案为低分子肝素钙抗凝治疗逐渐过渡到华法林抗凝治疗。但该患者目前存在的问题包括:①血常规示血小板计数58×109/L。患者自述既往特发性血小板减少症病史6年。②凝血常规结果APTT 71.6秒,INR正常。③肺动脉CTA示双肺动脉栓塞,右肺下叶静脉密度欠均匀,请结合临床,待除外栓塞所致。双下肢深静脉血栓。
上述情况无法用肺栓塞解释,且血小板减少及APTT延长可能影响抗凝治疗安全性。故进行了如下方面的思考:其一,血栓形成三大条件:①血管内皮损伤,如长期吸烟史等;②血液系统成分异常,如红细胞增多症、抗凝物质减少或促凝物质增加、凝血因子因素等;③血液流动状态改变,如动静脉瘘、血流减慢、产生涡旋等。其二,关于鉴别诊断:①特发性血小板减少症,只是单纯血小板减少,不会有APTT延长;②肝素诱导的血小板减少,该患者既往即有血小板减少症,入院后应用的是低分子肝素钙,外源性凝血途径PT、INR未受影响;③其他易栓症,警惕隐性恶性肿瘤,原发性血液系统异常等情况。其三,APTT临床应用:①凝血因子Ⅷ、Ⅸ、Ⅺ缺乏以及它们的抗凝物质增多;②监测肝素抗凝;③诊断狼疮抗凝物质。
评价:原本认为该患者肺栓塞诊断及治疗思路明确,过程顺利,但经重新研究此病例的相关临床资料后,似乎与肺栓塞同时存在着某一个疾病可以来解释上述三点异常之处。原来的诊断思路错了吗?遗漏某一临床诊断了吗?临床实践的任何一个环节,如病史采集、查体、实验室检查结果的判读、治疗效果的评估等都可以影响诊断思路。如果不清楚错误发生在哪个环节,就应该老老实实地回到临床诊断的原点——重新询问病史。
七、再问病史和实验室检查结果
通过再次深入且有针对性地询问病史得知:该患者青年女性,6年前被诊断特发性血小板减少症,追问妊娠史,2年前“死胎”妊娠史1次,无反复流产史,现出现双下肢深静脉血栓形成及肺栓塞。实验室检查结果:①骨髓穿刺术检查回报:骨髓增生活跃,血小板散在易见。②抗核抗体谱、ANCA、风湿三项、免疫球蛋白、补体C3、C4、血沉无异常。③凝血因子Ⅷ、Ⅸ、Ⅺ无异常。④腹部彩超:胆囊切除术后,脾大,脾厚5.9cm,肋下1.6cm,脾最大长径约12.3cm。⑤肿瘤标志物全套、免疫常规无异常。
补充上述临床资料后,诊断思路变得清晰起来。考虑“抗磷脂抗体综合征”可能性大。据此为患者做了抗心磷脂抗体化验检查,结果为104ru/ml。
评价:至此才恍然大悟,妊娠史是病史中最重要的信息!本来顺着肺栓塞的高危因素分为原发性和继发性两类这条线索应该捕捉到这一信息,本病例就不至于仅仅应用低分子肝素抗凝、顾及华法林抗凝安全性而住院天数延长,且容易漏诊。询问病史一定要细,“细节决定成败”!同时虽未对该患者行狼疮抗凝物化验检查,但考虑该患者APTT延长情况,推断该患者此抗体阳性。
八、调整治疗方案及疗效
(一)新方案
1.糖皮质激素:前3天:甲泼尼龙80mg,每日1次,静脉滴注。3天后:泼尼松40mg,每日1次,口服。监测血小板数量,并激素逐渐减量。
2.低分子肝素钙皮下注射过渡到华法林口服抗凝治疗,监测INR值,根据INR值调整华法林剂量。拟INR维持在2~3,并长期口服。
(二)疗效
随访半年,患者无血栓复发倾向,无不适症状及阳性体征,复查肺动脉CTA示:肺动、静脉栓塞均消失(图2),仅残留下肢深静脉血栓。

图2
【最终诊断】
原发性抗磷脂抗体综合征(PAPS)、双肺动脉栓塞、右肺下叶静脉栓塞、双下肢深静脉血栓形成
九、对本病例误诊误治的思考
抗磷脂抗体综合征(antiphospholipid syndrome,APS)是指与抗磷脂抗体有关的一组临床综合征,属于自身免疫性疾病。APS可分为原发性抗磷脂综合征(primary antiphospholipid syndrome,PAPS)和继发性抗磷脂综合征(Secondary antiphospholipid syndrome,SAPS)。其临床特点包括:1.反复流产或死胎;2.血小板减少;3.反复动静脉栓塞。临床特点结合实验室检查的阳性结果提示本病的诊断。临床上肺栓塞的原发性危险因素较为少见,加之本病属于风湿免疫类疾病,部分患者可能会被呼吸内科医生所忽视。本例肺栓塞临床诊治经过,我们总结经验为肺栓塞的危险因素以继发性因素居多的同时,原发性血液系统因素亦需得到临床医生的重视,尤其对于多发血栓且无明显高危因素的年轻患者。
(一)临床思路的重要性
肺栓塞的诊断思路为疑诊、确诊、求因。在临床工作中,肺栓塞的危险因素以继发性因素为主,原发性因素较为少见。本例患者肺动脉CTA即明确肺动、静脉栓塞及双下肢深静脉血栓形成,无创伤、手术、骨折、长期卧床、口服避孕药、肥胖、恶性肿瘤、下肢静脉曲张等继发性易患因素,同时血小板减少、APTT延长、INR正常、肺动脉栓塞同时存在肺静脉栓塞等无法用肺血栓栓塞症来解释,故需高度警惕原发性血液系统异常情况。从易栓症及血小板减少角度考虑,该患者既往在未应用低分子肝素钙抗凝治疗前即有血小板减少,故排除肝素诱导的血小板减少;无栓塞情况时曾诊断为特发性血小板减少症,但APTT延长不符合其临床特点,故不考虑特发性血小板减少性紫癜(ITP);查肿瘤标志物全套未见异常,无其他系统临床表现,故未考虑隐性恶性肿瘤可能;追问患者妊娠史,患者述“死胎”妊娠史1次,结合血小板减少及动静脉同时血栓形成的临床特点,高度怀疑抗磷脂抗体综合征。经相关化验检查,符合诊断标准,同时排除其他自身免疫性疾病、感染、肿瘤因素,故明确该患者为原发性抗磷脂抗体综合征临床诊断。
(二)对于化验单异常结果的警觉性
本病例初诊时未对血小板减少及APTT延长提高警惕,应用低分子肝素抗凝治疗后,此两项指标未有明显变化,如未对此深究,很可能会漏诊、延误病情。因此,建立在扎实的理论基础上对异常化验检查结果的警觉性对于临床医生尤为重要。要做到理论与实践相结合,理论指导实践,实践加深对理论的认知程度。
综上所述,本病例误诊误治关键点是:①对肺栓塞原发性危险因素缺乏警惕性;②对抗磷脂抗体综合征认识不足;③对异常化验结果没有临床“兴奋灶”。
小贴士
凝血常规化验单的解读
1.血浆凝血酶原时间(PT)
是外源性凝血系统较为灵敏和最为常用的筛选试验。凝血因子Ⅱ、Ⅴ、Ⅶ、Ⅹ参与外源性凝血过程。
2.活化的部分凝血活酶时间(APTT)
是内源性凝血系统较为灵敏和最为常用的筛选试验。凝血因子Ⅱ、Ⅴ、Ⅷ、Ⅸ、Ⅹ、Ⅺ、Ⅻ参与内源性凝血过程。
3.异常值的临床意义
单纯PT延长:凝血因子Ⅶ缺乏或其他异常。
单纯APTT延长:凝血因子Ⅷ、Ⅸ、Ⅺ、Ⅻ等缺乏或其他异常。
PT和APTT同时延长:应用华法林等抗凝药物、鼠药中毒、维生素K缺乏症、凝血因子Ⅱ、Ⅶ、Ⅸ、Ⅹ缺乏或其他异常。
吉林大学第二医院 王芮琦
(环球医学编辑:余霞霞)
来源:《防范与走出常见诊疗误区:呼吸疾病临床病例精粹》
作者:康健
页码:343-348
出版:人民卫生出版社
- 评价此内容
- 我要打分
近期推荐
热门关键词
最新会议
- 2013循证医学和实效研究方法学研讨会
- 欧洲心脏病学会年会
- 世界帕金森病和相关疾病2013年会议
- 英国介入放射学学会2013年第25届年会
- 美国血液学会2013年年会
- 美国癫痫学会2013年第67届年会
- 肥胖学会 2013年年会
- 2013年第9届欧洲抗体会议
- 国际精神病学协会 2013年会议
- 妇科肿瘤2013年第18届大会
- 国际创伤压力研究学会2013年第29届…
- 2013年第4届亚太地区骨质疏松症会议
- 皮肤病协会国际2013年会议
- 世界糖尿病2013年大会
- 2013年国际成瘾性药年会
- 彭晓霞---诊断试验的Meta分析
- 武姗姗---累积Meta分析和TSA分析
- 孙凤---Network Meta分析
- 杨智荣---Cochrane综述实战经验分享
- 杨祖耀---疾病频率资料的Meta分析
合作伙伴
Copyright g-medon.com All Rights Reserved 环球医学资讯 未经授权请勿转载!
网络实名:环球医学:京ICP备08004413号-2
关于我们|
我们的服务|版权及责任声明|联系我们
互联网药品信息服务资格证书(京)-经营性-2017-0027
互联网医疗保健信息服务复核同意书 京卫计网审[2015]第0344号




会员登录

