26岁男子反复头部、肢体不自主抖动数年 一查竟是…
26岁男性,反复头部、肢体不自主抖动5年,加重2个月,体格检查:双下肢肌力Ⅴ级,右下肢膝反射减弱。该男子患有……
1.临床资料
病例1-4-6,男性,26岁,反复头部、肢体不自主抖动5年,加重2个月,体格检查:双下肢肌力Ⅴ级,右下肢膝反射减弱。脑脊液生化:鞘IgG合成率14.0mg/d(参考值0~5.8mg/d)。
2.影像所见
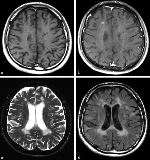
病例1-4-6:MRI T1WI、T1WI增强、T2WI、FLAIR序列。
3.诊断分析
(1)多发性硬化概述:
多发性硬化(MS)是一种中枢神经系统白质的慢性复发性脱髓鞘病变,主要临床特点为病灶的空间多发性和病程的时间多发性。空间多发性是指病变部位的多发,时间多发性是指缓解-复发的病程。其病因和发病机制至今尚未完全明确,近几年的研究提出了自身免疫、病毒感染、遗传倾向、环境因素及个体易感因素综合作用的多因素病因学说。
图1a,轴位T1WI见双侧侧脑室旁及胼胝体层面白质区数个类圆形稍长T1信号影。1-4-6b,轴位T1WI增强,见右侧额叶皮层下病灶结节样强化。图1c~d,轴位T2WI和FLAIR序列。图1a,见病灶呈稍长T2信号影

图1
MS有多种变异型,临床和影像学表现不一,主要有:①经典型;②肿瘤样MS;③急性恶性Marburg型;④弥漫性大脑硬化;⑤Balo同心圆硬化。通常所说的MS一般指经典型。值得注意的是曾经认为视神经脊髓炎(NMO)也属于MS的一种变异型,但如今一般把NMO作为独立的病种。
临床症状通常出现在青年到60岁之间,高峰发病年龄约为35岁,女性比男性多见,其发病率比例约为2~3∶1。由于MS患者大脑、脑干、小脑、脊髓可同时或相继受累,故其临床症状和体征多种多样。常见的MS症状体征包括:①肢体无力;②感觉异常;③眼部症状;④共济失调;⑤发作性症状;⑥精神症状。
美国MS学会根据病程将MS分为5型,该分型与MS的治疗决策有关,包括:①复发缓解型;②继发进展型;③原发进展型;④进展复发型;⑤良性MS。
(2)多发性硬化影像特征:
慢性MS患者脑萎缩常见,发作期MS斑块可见强化,CT平扫斑块通常呈低密度。MRI扫描斑块通常为长T1长T2信号,T2-FLAIR序列可见脑室周围垂直向多发卵圆形高信号,形成Dawson指表现,对于幕上皮质旁及脑室旁病灶T2-FLAIR序列较普通T2WI敏感,而对于幕下病灶则T2WI较敏感。增强扫描活动期病灶通常呈环形强化,其中“半环”状强化较为特征性,同时活动期病灶DWI可见弥散受限。具体请参阅2010年版McDonald MS MRI诊断要点。
(3)多发性硬化鉴别诊断
1)其他脱髓鞘病变,如急性播散性脑脊髓炎(ADEM):单一病灶的MS与ADEM鉴别困难。
2)肿瘤性病变:较大的孤立性MS斑块形成的环状强化须与胶质瘤、转移瘤鉴别。
3)感染性病变:真菌、结核、寄生虫等均可形成环形强化灶。
4.诊断
病例1-4-6,多发性硬化。
(环球医学编辑:余霞霞)
来源:《中国影像好医生病例集》
作者:郭启勇
页码:60-62
出版:人民卫生出版社
- 评价此内容
- 我要打分
近期推荐
热门关键词
最新会议
- 2013循证医学和实效研究方法学研讨会
- 欧洲心脏病学会年会
- 世界帕金森病和相关疾病2013年会议
- 英国介入放射学学会2013年第25届年会
- 美国血液学会2013年年会
- 美国癫痫学会2013年第67届年会
- 肥胖学会 2013年年会
- 2013年第9届欧洲抗体会议
- 国际精神病学协会 2013年会议
- 妇科肿瘤2013年第18届大会
- 国际创伤压力研究学会2013年第29届…
- 2013年第4届亚太地区骨质疏松症会议
- 皮肤病协会国际2013年会议
- 世界糖尿病2013年大会
- 2013年国际成瘾性药年会
- 彭晓霞---诊断试验的Meta分析
- 武姗姗---累积Meta分析和TSA分析
- 孙凤---Network Meta分析
- 杨智荣---Cochrane综述实战经验分享
- 杨祖耀---疾病频率资料的Meta分析
合作伙伴
Copyright g-medon.com All Rights Reserved 环球医学资讯 未经授权请勿转载!
网络实名:环球医学:京ICP备08004413号-2
关于我们|
我们的服务|版权及责任声明|联系我们
互联网药品信息服务资格证书(京)-经营性-2017-0027
互联网医疗保健信息服务复核同意书 京卫计网审[2015]第0344号




会员登录

