男子先是走路不稳并加重 后又出现视物模糊 问题出在…
36岁男性,半年前开始出现走路不稳并加重;半个月前患者开始出现双上肢及口腔黏膜麻木;3~5天前患者开始出现发作性视物模糊,多在看电视时出现,每次持续1小时后自行缓解。问题出在哪里?
一、病例介绍
患者,男性,36岁,因“走路不稳并加重半年,发作性视物模糊3~5天”入院。半年前开始出现走路不稳并加重;半个月前患者开始出现双上肢及口腔黏膜麻木,麻木感为持续性,不伴肌力障碍;3~5天前患者开始出现发作性视物模糊,多在看电视时出现,每次持续1小时后自行缓解。查体未见感觉障碍,右侧角膜反射迟钝,走路不稳,闭目难立征阳性。
二、术前影像学检查
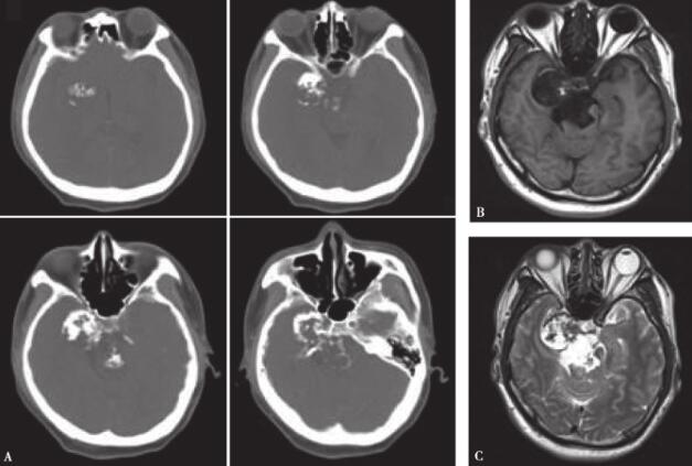
头颅CT及MRI示右侧中后颅窝占位性病变。头颅CT骨窗(图1A)显示病灶内多发不规则钙化,内侧压迫鞍旁骨质致其变薄。MRI T1(图1B)低信号,T2(图1C)高信号。术前拟诊骨源性肿瘤(偏良性)可能。

图1术前影像学检查
A. CT可见明显钙化;B. T1低信号;C. T2高信号
三、诊治过程
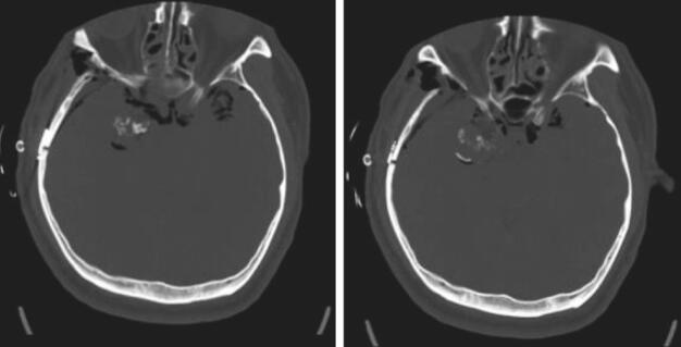
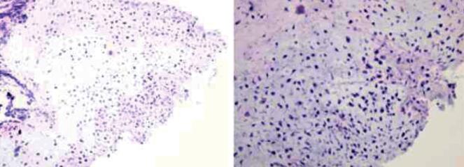
入院完善各项术前准备后行开颅肿瘤切除术,肿瘤达部分切除。术后患者恢复较好,无明显神经功能缺失。术后第一天CT(图2)示肿瘤部分切除。术后病理可见骨小梁(图3),病理报告为高分化软骨肉瘤。

图2术后第一天CT。CT可见肿瘤达大部切除




图3术后病理可见骨小梁成分
A. 低倍镜;B. 高倍镜
四、最终诊断
高分化软骨肉瘤。
五、诊治建议
以放射治疗为主要辅助治疗手段。
六、讨论
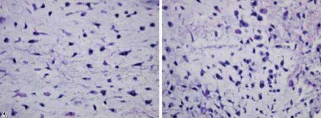
颅底软骨肉瘤是一种少见的、生长缓慢、但有潜在致死性的肿瘤。年发病率为0.03/10万,约占所有颅底肿瘤的6%。多位于鞍旁结合部,起源于胚胎残余的软骨细胞,生长缓慢,好发于青壮年,女性多于男性。病理上分为3级(1级高分化,2级中等,3级低分化)。手术所见:肿瘤多位于硬膜外,呈灰白色或淡红色的半透明蘑菇状,质地较硬韧,也可伴有质软的胶冻黏液。局部骨质可受侵蚀破坏。高分化软骨肉瘤为偏良性肿瘤,对周围骨质往往是以推压性生长为主。镜下见:肿瘤组织主要由分化好的软骨细胞伴骨化、纤维组织、黏液成分构成。恶性软骨肉瘤软骨细胞大小不一,核大红染,毛细血管内皮细胞增生等改变。
从影像学表现上看,本例患者术前骨窗位CT提示肿瘤呈压迫性生长,而不是侵袭性生长,所以影像学支持肿瘤为高分化或者偏良性病变可能。
七、专家点评
颅底近中线骨源性肿瘤常见软骨黏液样纤维瘤、软骨肉瘤和脊索瘤等,最需要鉴别的是脊索瘤和软骨肉瘤,因为二者预后不同。文献报告脊索瘤更多见表现为以斜坡为中心生长,DWI弥散受限更多,增强后不强化或不均匀强化。软骨肉瘤多偏于一侧,呈不均匀强化或实质性强化。分化差时,T2信号减低。本例影像学:病灶占据中、后颅窝偏侧,CT提示肿瘤呈压迫性生长为主,而不是骨质破坏,MRI T2呈高信号。综合影像学表现,考虑软骨黏液样纤维瘤或高分化的软骨肉瘤可能大。最终病理亦证实为高分化软骨肉瘤。
治疗上首选手术切除,但由于肿瘤多位于颅底,邻近重要的解剖结构,且累及范围广、质地较硬,故多数难达到全切除,易复发。三维适形放疗或立体定向放射外科治疗可作为术后的辅助治疗。特别是近年来出现的质子/重离子放射治疗显示出较好的疗效,其中质子放疗5年和10年的肿瘤局部控制率分别达到98%和94%。
(作者:龚秀 审稿人:梁晓华 庄冬晓)
(环球医学编辑:余霞霞)
来源:《神经系统肿瘤病例析评:华山医院多学科诊疗团队临床病例精粹》
作者:毛颖 吴劲松 梁晓华
页码:210-213
出版:人民卫生出版社
- 评价此内容
- 我要打分
近期推荐
热门关键词
最新会议
- 2013循证医学和实效研究方法学研讨会
- 欧洲心脏病学会年会
- 世界帕金森病和相关疾病2013年会议
- 英国介入放射学学会2013年第25届年会
- 美国血液学会2013年年会
- 美国癫痫学会2013年第67届年会
- 肥胖学会 2013年年会
- 2013年第9届欧洲抗体会议
- 国际精神病学协会 2013年会议
- 妇科肿瘤2013年第18届大会
- 国际创伤压力研究学会2013年第29届…
- 2013年第4届亚太地区骨质疏松症会议
- 皮肤病协会国际2013年会议
- 世界糖尿病2013年大会
- 2013年国际成瘾性药年会
- 彭晓霞---诊断试验的Meta分析
- 武姗姗---累积Meta分析和TSA分析
- 孙凤---Network Meta分析
- 杨智荣---Cochrane综述实战经验分享
- 杨祖耀---疾病频率资料的Meta分析
合作伙伴
Copyright g-medon.com All Rights Reserved 环球医学资讯 未经授权请勿转载!
网络实名:环球医学:京ICP备08004413号-2
关于我们|
我们的服务|版权及责任声明|联系我们
互联网药品信息服务资格证书(京)-经营性-2017-0027
互联网医疗保健信息服务复核同意书 京卫计网审[2015]第0344号




会员登录

