大叔头晕、胸闷伴乏力2天 如何诊治?
55岁男性,无明显诱因出现头晕、胸闷,伴乏力、大汗,卧床休息,舌下含服速效救心丸后胸闷缓解,仍感头晕、乏力,于次日来笔者医院就诊。如何确诊及治疗?
【病历摘要】
患者,男性,55岁,因“头晕、胸闷伴乏力2天”就诊。2天前患者无明显诱因出现头晕、胸闷,伴乏力、大汗,无心悸、胸痛、咳嗽及咯血,无恶心、呕吐,卧床休息,舌下含服速效救心丸后胸闷缓解,仍感头晕、乏力,于次日来笔者医院就诊。
既往有糖尿病病史2年,冠心病病史4年,高血压病史10年。半年前患者因右脚踝红肿痛,行B超检查确诊为右下肢静脉血栓,在门诊静脉滴注“通栓灵”后好转。
入院查体:BP 120/85mmHg,P 88次/分,R 16次/分,T 36.7℃,神志清楚,颈静脉无充盈,双肺呼吸音清,未闻及干湿性音,心界不大,心律齐,HR 80次/分,无杂音,腹部未见异常体征。双下肢髌骨上15cm周径均为40cm,左髌骨下10cm周径为35cm,右髌骨下10cm周径为36.5cm。双足无明显水肿,双足皮温正常,双侧足背动脉搏动可触及。
辅助检查:血常规正常;凝血分析:PT 13.1秒,FIB 286.41mg/dl,FDP>20μg/ml,D‐二聚体1331.85ng/ml(免疫比浊法);心肌标记物:CK‐MB、MYO 和TnI均正常。血气分析(未吸氧):pH 7.443,PCO2 37.8mmHg,PO2 71.1mmHg,SaO2 94.9%。头颅CT示双侧基底节多发腔隙灶。心电图见图1。

图1 心电图
入院时查心电图示SⅠQⅢTⅢ
【分析】
患者中老年男性,临床主诉为头晕、胸闷伴乏力、大汗2天,半年前曾诊断为下肢深静脉血栓,心电图为SⅠQⅢTⅢ,未吸氧情况下血氧分压稍低于正常,D‐二聚体>500ng/ml,所以高度怀疑肺栓塞。
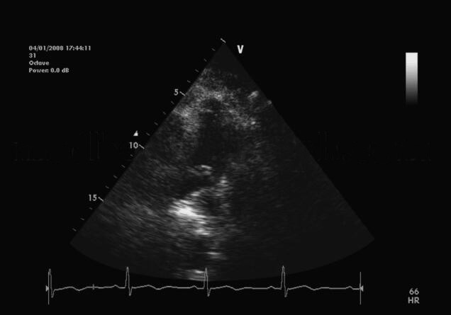
诊治经过:查双下肢静脉彩超示右下肢股浅静脉、静脉、胫腓干静脉、肌间静脉血栓。增强螺旋CT:左右肺动脉、右上下肺动脉及左上下肺动脉充盈缺损,考虑肺动脉栓塞,肺动脉高压可能。急诊经胸超声心动图示“右肺动脉近段内探及大小约5.0cm×1.3cm大小的中高回声团块,随血流飘动;肺动脉增宽,右心房、右心室扩大,估测肺动脉收缩压70mmHg”,见图2。即刻给予rt‐pA 50mg 静脉滴注溶栓治疗。溶栓结束后12小时复查经胸超声心动图,示右肺动脉近段内异常回声团块消失,估测肺动脉收缩压40mmHg。溶栓后予以普通肝素和华法林规范抗凝,住院20天后病情好转出院。

图2 超声心动图示右肺动脉近段内中高回声团块
【讨论】
急性肺栓塞(APE)是各种内源性或外源性栓子阻塞肺动脉引起急性肺循环障碍的临床和病理生理综合征,其中因血栓引起的PE称为肺血栓栓塞(pulmonary thromboembolism,PTE),是PE的主要类型,通常所称PE即指PTE。根据其对血流动力学的影响结果,将肺栓塞分为大块肺栓塞、次大块肺栓塞和非大块肺栓塞三种类型。
呼吸困难、胸痛和咯血是APE典型临床表现三联征,但从文献报道及笔者统计的资料来看,患者最常见的主诉为胸闷、呼吸困难,查体常见呼吸急促,胸痛次之,咯血较为少见,且以痰中带血多见,很少有大量咯血。另外,对一些不典型表现也应重视,如晕厥、上腹痛及头晕、乏力等。本例患者主诉有胸闷、头晕、乏力,临床表现不具有特异性,且既往合并高血压、冠心病及糖尿病,因此首诊时容易想到冠心病或脑血管疾病,容易漏诊。下肢深静脉血栓(deep vein thrombosis,DVT)是肺栓塞栓子的主要来源,目前认为DVT与PE属同一种疾病,即静脉血栓栓塞(venous thromboembolism,VTE)在不同部位、不同阶段的表现。
心电图、血气分析和D‐二聚体在临床上均易获取,因此常用于对肺栓塞的初步筛查。肺栓塞的典型心电图表现为SⅠQⅢTⅢ,它的出现反映了急性右心室扩张。文献报道其发生率约为10%~50%,其他常见心电图表现尚包括窦性心动过速、胸前导联T波倒置、新出现的右束支传导阻滞等。肺栓塞患者多数出现血气指标的异常,包括低碳酸血症和低氧血症,前者更常见。D‐二聚体对诊断肺栓塞敏感性高,但特异性差,故对于肺栓塞的阴性预测价值较大。一般认为D‐二聚体含量低于500ng/ml,基本可除外APE,但不同方法检测出的D‐二聚体水平敏感性存在很大差异,在临床诊断时应加以重视。
肺栓塞的确诊手段包括通气/血流(V/Q)扫描、螺旋CT肺血管成像及肺动脉造影等。超声心动图如在主肺动脉及左右肺动脉主干近段发现血栓,也可确诊肺栓塞,但在临床上更常用它来评估肺栓塞对右心室造成的影响。超声心动图提示肺动脉高压或右心室负荷增大,是提示肺栓塞预后不良的一个重要指标,支持溶栓治疗。
该患者血流动力学稳定,但经胸超声心动图检查在右肺动脉近端发现活动性血栓,且有右心负荷过重的表现,因此支持静脉溶栓治疗。国外学者对16例右心腔内发现活动性血栓的PE患者进行溶栓治疗,并通过连续超声心动图检查监测血栓在溶栓治疗后的转归。结果发现:50%的病例在溶栓治疗结束后2小时内栓子消失;另外50%的病例中一半在溶栓结束后12小时内消失,另一半在24小时内消失。所有患者在30天时均存活,且无临床后遗症。本例患者在溶栓后12小时复查超声心动图提示血栓消失,且右心负荷较前明显降低,进一步说明超声心动图发现肺动脉内活动性血栓的肺栓塞患者,溶栓治疗可成功溶解循环内的活动性血栓,且临床预后良好。
【小结】
本例患者临床表现典型,急性肺栓塞诊断明确,讨论重点在于其治疗。患者血流动力学稳定,超声心动图检查在右肺动脉近端发现活动性血栓,为溶栓治疗提供了根据。从本例患者的治疗结果来看,此种情况下进行溶栓治疗临床预后良好。
(余剑波)
(环球医学编辑:余霞霞)
来源:《急诊科疑难病例分析》
作者:朱继红 周倩云
页码:39
出版:人民卫生出版社
- 评价此内容
- 我要打分
近期推荐
热门关键词
最新会议
- 2013循证医学和实效研究方法学研讨会
- 欧洲心脏病学会年会
- 世界帕金森病和相关疾病2013年会议
- 英国介入放射学学会2013年第25届年会
- 美国血液学会2013年年会
- 美国癫痫学会2013年第67届年会
- 肥胖学会 2013年年会
- 2013年第9届欧洲抗体会议
- 国际精神病学协会 2013年会议
- 妇科肿瘤2013年第18届大会
- 国际创伤压力研究学会2013年第29届…
- 2013年第4届亚太地区骨质疏松症会议
- 皮肤病协会国际2013年会议
- 世界糖尿病2013年大会
- 2013年国际成瘾性药年会
- 彭晓霞---诊断试验的Meta分析
- 武姗姗---累积Meta分析和TSA分析
- 孙凤---Network Meta分析
- 杨智荣---Cochrane综述实战经验分享
- 杨祖耀---疾病频率资料的Meta分析
合作伙伴
Copyright g-medon.com All Rights Reserved 环球医学资讯 未经授权请勿转载!
网络实名:环球医学:京ICP备08004413号-2
关于我们|
我们的服务|版权及责任声明|联系我们
互联网药品信息服务资格证书(京)-经营性-2017-0027
互联网医疗保健信息服务复核同意书 京卫计网审[2015]第0344号




会员登录

