女子头痛数年未重视 与家人争吵后加重 检查后发现大问题
32岁女性,时不时出现头痛,以顶枕部明显,疼痛可自行缓解,未重视。3年后与家人争吵,再次出现头痛,且不能缓解。在当地医院行头颅CT发现窦汇区占位,伴有钙化。之后辗转至某三甲医院就诊,头颅MRI显示枕部窦汇处占位,明显强化。该患者最终被诊断为何病?如何治疗?
一、病例介绍
患者,女性,32岁,因“头痛三年,加重半个月”入院。
患者自2013年开始间断出现头痛,以顶枕部明显,疼痛可自行缓解,未重视。2016年5月在与家人争吵后,再次出现头痛,且不能缓解。在当地医院行头颅CT发现窦汇区占位,伴有钙化(图1)。2016年7月辗转至华山医院就诊,2016年7月2日行头颅MRI(增强):枕部窦汇处占位,明显强化(图2)。

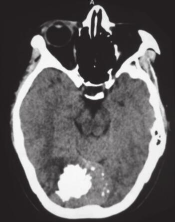
图1 术前头颅CT
CT示窦汇区稍高密度肿块,边界清楚,内见大片强化


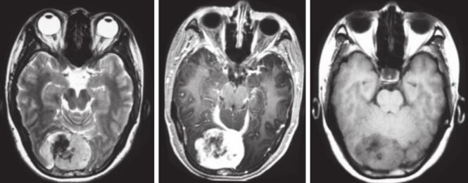
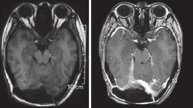
图2 术前头颅MRI和MRV检查图像
MRI提示窦汇区占位,T1、T2、DWI均表现为混杂信号,增强后可见明显不均匀强化,未见明显“脑膜拖尾征”。MRV提示窦汇不能显示,上矢状窦下端和两侧横窦均受压,部分显影
二、诊治过程
患者入住华山医院(普陀分院)于2016年7月13日行窦汇肿瘤手术切除术,术中肿瘤有少量残留,术后患者无头晕头痛,无视物模糊等不适。术后CT(图3)及MRI(图4)均提示肿瘤少量残留。华山医院病理为(窦汇)间叶性软骨肉瘤,进一步请复旦大学肿瘤医院病理会诊:仍为间叶性软骨肉瘤。

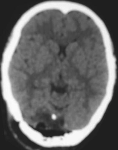
图3 术后CT示窦汇区术后改变,仍可见少量钙化影


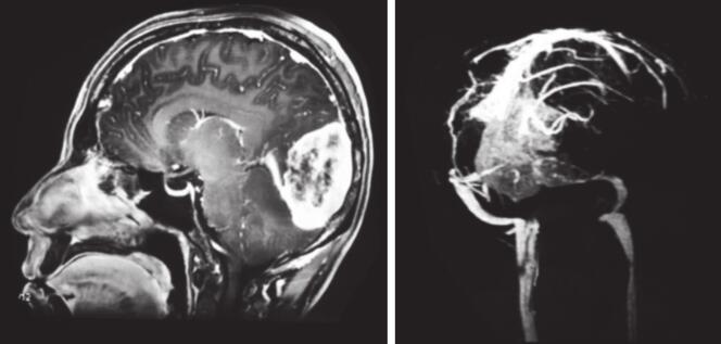
图4 术后头颅MRI
MRI提示后颅窝术后改变,窦汇和右侧横窦显示不清
三、诊治手术病理
组织病理结果见图5。


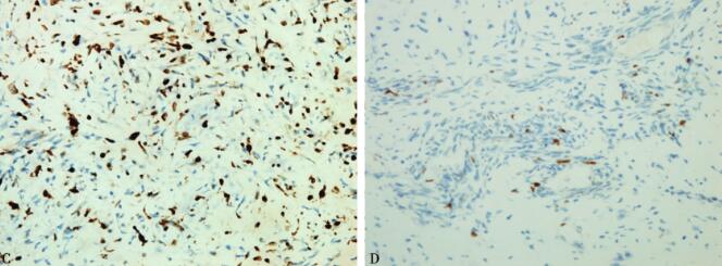
图5 组织病理结果
A. 低倍:梭形瘤细胞密集排列,席纹状,其间夹杂软骨成分,后者核有异型,可见双核;B. 高倍:瘤细胞异型性大,核染色质浓集,见核分裂象;C. S100阳性表达;D. Ki-67指数8%。肿瘤由两种成分组成,高分化的软骨肉瘤成分和低分化间叶性肿瘤成分相互交错组成
四、最终诊断
(窦汇)间叶性软骨肉瘤(MC)。
五、诊治建议
肿瘤有残留,且恶性程度高,建议进一步行放化疗。
六、讨论
间叶性软骨肉瘤(mesenchymal chondrosarcoma,MC)是一种少见的具有双态分化的恶性肿瘤:由原始间叶细胞和夹杂在其间分化良好的软骨岛构成。发病年龄较轻,多见于20~30岁青年患者;多发生于骨组织,但仍有22%~50%的MC可来源于骨外软组织。发生于中枢神经系统罕见(EMC),占原发颅内肿瘤的0.16%,肿瘤多位于幕上,最多见于前额叶,通常附着于硬膜。EMC的组织学起源目前尚不明确,一些学者认为它可能起源于脑膜的胚胎软骨残留、硬膜的纤维母细胞瘤或脑膜间充质干细胞。影像学检查显示病变与一般软骨肉瘤无明显差异,钙化有时很突出,部分病变境界清楚并带有硬化性边缘,术前有时难与脑膜瘤、经典型软骨肉瘤、血管周细胞瘤区分。对于MC的治疗目前仍存在很大争议,但依靠手术彻底切除肿瘤,达到广泛的外科切除边界仍被认为是金标准。但对于位于中枢的MC,手术彻底切除有时很难做到。术后是否需辅助放化疗,争论不一。部分学者认为目前没有明确的证据支持全身治疗或放疗有效。但大部分学者认为MC高度恶性,有较高的局部复发和远处转移率,推荐对于无法手术或手术边界不充分的MC患者进行辅助化疗和局部放疗。MC预后较差,5年生存率在50%左右。该患者肿瘤位于窦汇,术中有少量残留。综合以上情况,推荐对该患者术后辅助局部放疗,局部放疗结束后再行辅助全身化疗。
七、专家点评
对于非常早期的间叶性软骨肉瘤,应以力求局部彻底的手术切除以达到根治;对于病变进展但仍然比较局限时,往往需要包括局部放疗在内的综合治疗。尽管如此,该肿瘤治疗效果仍然不理想。事实上,包括间叶性软骨肉瘤在内的软骨肉瘤一直以来就是一类难治性恶性肿瘤,极富有研究价值。就放疗而言,放疗在软骨肉瘤的综合治疗中多为术后辅助性治疗,较少单独应用作为根治性治疗手段。近年来,尽管放疗技术不断改进,但软骨肉瘤的术后放疗效果未能明显改善。如何提高软骨肉瘤术后放疗效果呢?这需要我们在多个层面理解放疗在软骨肉瘤治疗中的价值和临床实践经验,包括放疗目的、不同放射线选择及其射线特征、放射剂量分布、放疗与肿瘤及正常器官相互作用等。目前公认有两种策略可以增强放疗的效果,一是大幅度增加肿瘤组织接受的放疗剂量;二是提高肿瘤组织对放射线的反应。前者与放疗技术有关,如采用放射外科技术和质子治疗技术以提高放疗的物理剂量,也可以采用影像引导放疗以提高放疗的精准性;后者则应从放射生物学着手,如采用放射增敏剂和高LET射线来提高射线对肿瘤的生物学效应。目前看来,重离子放疗技术具有较好的放射生物学效应,有可能会提高软骨肉瘤的放疗敏感性,值得开展临床试验深入研究。
(作者:倪春霞 审稿人:汪洋)
(环球医学编辑:余霞霞)
来源:《神经系统肿瘤病例析评:华山医院多学科诊疗团队临床病例精粹》
作者:毛颖 吴劲松 梁晓华
页码:214-219
出版:人民卫生出版社
- 评价此内容
- 我要打分
近期推荐
热门关键词
最新会议
- 2013循证医学和实效研究方法学研讨会
- 欧洲心脏病学会年会
- 世界帕金森病和相关疾病2013年会议
- 英国介入放射学学会2013年第25届年会
- 美国血液学会2013年年会
- 美国癫痫学会2013年第67届年会
- 肥胖学会 2013年年会
- 2013年第9届欧洲抗体会议
- 国际精神病学协会 2013年会议
- 妇科肿瘤2013年第18届大会
- 国际创伤压力研究学会2013年第29届…
- 2013年第4届亚太地区骨质疏松症会议
- 皮肤病协会国际2013年会议
- 世界糖尿病2013年大会
- 2013年国际成瘾性药年会
- 彭晓霞---诊断试验的Meta分析
- 武姗姗---累积Meta分析和TSA分析
- 孙凤---Network Meta分析
- 杨智荣---Cochrane综述实战经验分享
- 杨祖耀---疾病频率资料的Meta分析
合作伙伴
Copyright g-medon.com All Rights Reserved 环球医学资讯 未经授权请勿转载!
网络实名:环球医学:京ICP备08004413号-2
关于我们|
我们的服务|版权及责任声明|联系我们
互联网药品信息服务资格证书(京)-经营性-2017-0027
互联网医疗保健信息服务复核同意书 京卫计网审[2015]第0344号




会员登录

