老奶奶反复咳嗽、咳痰数月 却始终找不到病因
63岁女性,受凉后出现咳嗽、咳痰,于社区医院抗感染治疗后好转。此后症状反复,久咳后气促,气温变化及早晚时咳嗽明显。在某三甲医院住院治疗,胸片示心肺未见异常,诊断急性支气管炎,具体治疗方案不详,症状缓解出院。随后又在笔者医院做了鼻窦相关手术,术后患者仍反复咳嗽、咳痰,长期间断服用中药及抗生素治疗。因再次受凉后咳嗽加剧,痰量增多,再次入住笔者医院。该患者患有……
【病情介绍】
患者,女,63岁,职业,因“反复咳嗽、咳痰10个月余,加重10天”于2012年9月23日入院。患者自2011年12月受凉后,出现咳嗽,咳少量白色黏痰或泡沫痰,于社区医院抗感染治疗后好转。此后症状反复,久咳后气促,气温变化及早晚时咳嗽明显。2012年2月在某三甲医院住院治疗,胸片示心肺未见异常,诊断急性支气管炎,具体治疗方案不详,症状缓解出院。2012年6月在我院耳鼻喉科门诊行鼻窦CT示:鼻甲萎缩、慢性鼻窦炎、鼻中隔偏曲,并行手术治疗。术后患者仍反复咳嗽、咳痰,长期间断服用中药及抗生素治疗。2012年9月13日患者受凉后,咳嗽加剧,痰量增多,遂收入院。
既往体健。无高血压、糖尿病、冠心病等慢性病史,无肝炎、结核、疟疾等传染病史。患者出生于重庆,无粉尘、毒物、放射性物质接触史,无疫区接触史,无食生鱼、生肉史。无手术输血史,无食物、药物过敏史,预防接种史不详。无烟酒嗜好。已婚,配偶及女儿体健,家族史无特殊。
【诊治经过】
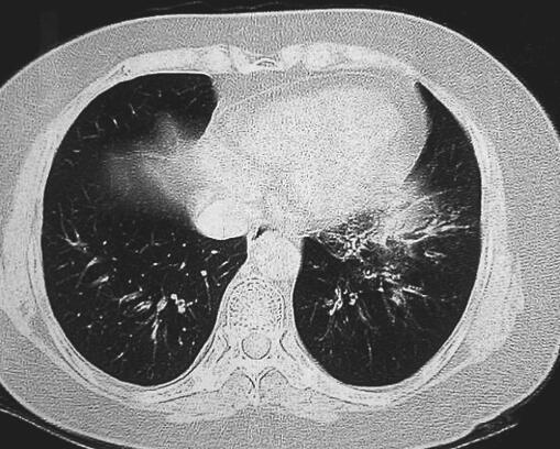
入院后查体:体温36.9℃,脉搏89次/分,呼吸频率19次/分,血压139/80mmHg。口唇无发绀,咽部充血,有滤泡增生,双侧扁桃体无明显肿大。颈软,气管居中,双肺叩诊呈清音,呼吸音低,未闻及干湿性啰音,心率89次/分,律齐,腹部平软,无压痛及反跳痛,肝脾未扪及。血常规:白细胞4.19×109/L,中性粒细胞比例0.79,嗜酸性粒细胞0.00,血红蛋白137g/L,红细胞4.83×1012/L;空腹血糖、电解质、肾功能、肝功能、血脂均未见特殊异常。肺功能示:FEV1 2.07L,占预计值的87.1%,FEV1/FVC 75%。肺弥散功能正常。入院后3次痰培养1次提示金黄色葡萄球菌阳性,2次铜绿假单胞菌阳性。胸部CT示左肺下叶基底段见条絮状密度增高模糊影,提示左肺下叶感染征象(图1)。

图1 2012年9月24日胸部CT
左肺下叶基底段见条絮状密度增高模糊影
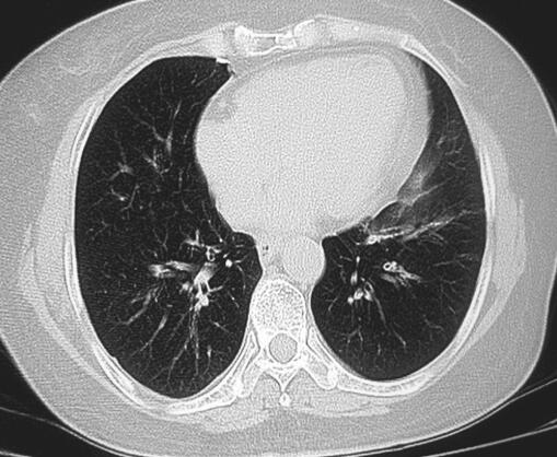
结合药敏试验,给予哌拉西林舒巴坦抗感染,同时给予祛痰止咳、降低气道高敏性治疗,10天后患者咳嗽、咳痰症状好转,但仍有阵发性咳嗽及气促,双肺呼吸音偏低,未闻及干、湿性啰音。给予支气管舒张剂吸入症状可缓解,但疗效仍不满意。复查胸部CT示左下肺心旁区见少许条絮状密度增高模糊影,肺纹理聚集,邻近显气肿征,与前次比较病灶明显吸收,部分征象不能除外阻塞性病变(图2)。与患者沟通后行支气管镜检查示左下叶开口可见肉芽组织堵塞管腔,术中患者咳嗽剧烈,耐受差,血压高达200/110mmHg,静脉滴注硝酸甘油降压,活检后停止操作,返回病房。支气管镜活检病理报告真菌团。遂给予氟康唑抗真菌治疗。1周后患者咳嗽频率降低,但仍有阵发性咳嗽,以刺激性干咳为主,再次行支气管镜检查,钳夹清除肉芽组织等覆盖物后,左下叶开口可见一金属样物覆盖,完全阻塞气道,随后取出异物证实为锡箔纸。术后追问病史,患者回忆,咳嗽初期曾使用过封口带锡箔纸的西瓜霜喷剂。

图2 2012年10月5日胸部CT
左下肺心旁区见少许条絮状密度增高模糊影,肺纹理聚集,邻近显气肿征
【最后诊断】
支气管异物并肺部感染。
【治疗和转归】
第2次纤维支气管镜下取出异物后患者咳嗽明显好转,继续氟康唑抗真菌治疗,1周后治愈出院。
【重要提示】
1. 老年女性,病程较长。
2. 主要表现为慢性咳嗽、咳痰,无明确异物吸入史。查体无特殊,胸部CT检查提示左下肺感染。
3. 反复给予抗感染、祛痰、平喘等治疗,效果不佳。
【讨论】
咳嗽是呼吸系统最常见的症状之一。临床上将咳嗽超过8周,且以咳嗽为唯一或主要症状,胸片无明显病变者称为慢性咳嗽。我国多个多中心及前瞻性研究方法研究慢性咳嗽病因构成,认为上气道咳嗽综合征(upper airway cough syndrome,UACS)、咳嗽变异性哮喘(cough-variant asthma,CVA)、胃食管反流性咳嗽(gastroesophageal reflux related cough,GERC)及嗜酸性粒细胞性支气管炎(eosinophilic bronchitis,EB)等为慢性咳嗽最常见病因,均未提及支气管异物或归为少见病因。虽少见病因占比例较小,但涉及面广,常常导致部分慢性咳嗽长期误诊,从而增加患者的医疗负担。
隐匿性支气管异物(occult bronchial foreign body,OBFB)尚无准确定义,患者常无明确异物吸入史,异物多阻塞一侧叶或段支气管,初期症状较轻,常因异物阻塞支气管引发感染,出现慢性咳嗽、咳痰甚至咯血等症状就诊。隐匿性支气管异物常因体积小,或与血管影、钙化灶重叠,滞留时间久致质地疏松,或是植物性异物,导致X线胸片及胸部CT无直接征象,从而不易被及时诊断。Irwin等提出的解剖学诊断程序是诊断慢性咳嗽最有效的方法,王志虹等研究发现运用该方法可使95.3%的慢性咳嗽患者明确诊断,使91.1%的患者咳嗽症状消除或缓解。按照慢性咳嗽诊断流程图(图3),慢性咳嗽患者首先应考虑上气道咳嗽综合征、咳嗽变异性哮喘、胃食管反流、嗜酸性粒细胞性支气管炎等慢性咳嗽常见疾病。但曹国强等多中心研究慢性咳嗽病因时发现单一病因占75.45%,双重病因占20.37%,三重以上病因占4.10%;王志虹,林江涛等研究慢性咳嗽病因发现单一病因占80.2%,复合病因占19.8%;赖克方等研究发现慢性咳嗽单一病因占82.7%,二重病因占16.2%。所以当按照诊断流程治疗效果不甚理想,咳嗽反复出现时应考虑多重病因,尽早行支气管镜检查排除有无异物及其他病因可能。

图3 慢性咳嗽诊断流程图
异物可因病程长而被包在肉芽肿内,故支气管镜检查也可能因经验不足而忽略了异物的存在。本例患者首次支气管镜检查未见直接异物征,经活检时有移动感,但因患者咳嗽剧烈,血压显著升高而未进一步处理。第二次支气管镜检查时充分钳夹清除肉芽组织等覆盖物后才得以暴露异物。
【评述】
隐匿性支气管异物尚无准确定义,我们将无明确异物吸入史,无典型支气管异物Ⅲ期临床表现(初始期,无症状期,并发症期),胸片及胸部CT无直接异物征象,支气管镜等检查明确诊断异物归为隐匿性支气管异物。成人支气管异物一般有明确的异物吸入史,易于诊断,但少数患者无明显呛咳史,常因异物阻塞支气管引发感染,出现慢性咳嗽,咳痰甚至咯血等症状就诊。此类患者就诊时常常不能提供异物吸入史,隐匿性支气管异物多阻塞一侧叶或段支气管,症状较轻,并因患者无明确异物吸入史,异物小,异物与血管影、钙化灶重叠,异物质地疏松,导致胸片及胸部CT无直接征象,故不易及时诊断。本例患者主要表现为慢性咳嗽,久咳后气促,在外院诊断治疗时,临床医师盲目抗炎平喘治疗,仅满足于症状好转,未严格按照诊断流程图进一步检查(如肺功能、胸部CT及支气管镜检查等)排除多重病因,这可能是导致本例患者慢性咳嗽长期未能明确根本病因诊断的主要原因。
(黄静 沈庆)
(环球医学编辑:余霞霞)
来源:《呼吸疑难少见病例解析》
作者:林江涛
页码:127-130
出版:人民卫生出版社
- 评价此内容
- 我要打分
近期推荐
热门关键词
最新会议
- 2013循证医学和实效研究方法学研讨会
- 欧洲心脏病学会年会
- 世界帕金森病和相关疾病2013年会议
- 英国介入放射学学会2013年第25届年会
- 美国血液学会2013年年会
- 美国癫痫学会2013年第67届年会
- 肥胖学会 2013年年会
- 2013年第9届欧洲抗体会议
- 国际精神病学协会 2013年会议
- 妇科肿瘤2013年第18届大会
- 国际创伤压力研究学会2013年第29届…
- 2013年第4届亚太地区骨质疏松症会议
- 皮肤病协会国际2013年会议
- 世界糖尿病2013年大会
- 2013年国际成瘾性药年会
- 彭晓霞---诊断试验的Meta分析
- 武姗姗---累积Meta分析和TSA分析
- 孙凤---Network Meta分析
- 杨智荣---Cochrane综述实战经验分享
- 杨祖耀---疾病频率资料的Meta分析
合作伙伴
Copyright g-medon.com All Rights Reserved 环球医学资讯 未经授权请勿转载!
网络实名:环球医学:京ICP备08004413号-2
关于我们|
我们的服务|版权及责任声明|联系我们
互联网药品信息服务资格证书(京)-经营性-2017-0027
互联网医疗保健信息服务复核同意书 京卫计网审[2015]第0344号




会员登录

