33岁女子肺结核治疗效果欠佳 原来另有隐情
33岁女性,因“咳嗽、咳痰8个月余,呼吸困难2个月,加重7天”入院。曾在当地疾控中心拟诊为“肺结核”,并服用正规抗结核四联治疗,但效果较差。该患者怎么了?
【病情介绍】
患者,女,33岁,办公室人员。因“咳嗽、咳痰8个月余,呼吸困难2个月,加重7天”于2014年10月18日入院。自2014年2月以来,患者无明显诱因出现反复咳嗽,咳少量黄色及白色黏痰,无发热、痰中带血症状。当地诊所给予多种药物(具体用药不详),效果不佳,症状时轻时重。2014年4月查胸部CT示:右肺上叶见斑片状、结节样密度增高影,周围见索条状密度增高影,境界不清,2014年6月在当地疾病控制中心3次痰查抗酸杆菌均阴性,PPD试验示:强阳性,拟诊为“肺结核”,给予异烟肼、利福平、乙胺丁醇、吡嗪酰胺治疗2个月,之后用异烟肼、利福平、乙胺丁醇治疗,患者咳痰减轻,咳嗽逐渐加重。近2个月出现呼吸困难,曾到我院就诊,门诊建议行气管镜检查,患者拒绝。7天前咳嗽、胸闷加重,口服“莫西沙星片6天”效果不佳,为进一步诊治收入院。
既往体健,无高血压、糖尿病、冠心病等慢性病史,无肝炎等传染病史,无粉尘、毒物、放射性物质接触史,无疫区接触史,无食生鱼、生肉史,无手术输血史,无食物、药物过敏史;预防接种史不详;无烟酒嗜好;已婚,月经正常,配偶及儿子体健,家族史无特殊。
【诊治经过】
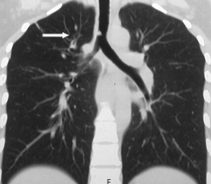
入院后检查:生命体征平稳,双肺呼吸音粗,未闻及湿性啰音,心率78次/分,心律齐,各瓣膜区未闻及杂音,腹软,肝脾肋下未触及。入院查血常规(2014年10月18日):WBC 2.84×109/L,N% 53.6%,HGB 123g/L,PLT 226×109/L,红细胞沉降率:17mm/h,肝肾功能、生化,ADA正常;肿瘤标志物:NSE 18.1ng/ml(0~16.3ng/ml),CEA、CA-125、CA-153,CA-199,CA72-4,CYFRA21-1均正常;免疫功能:IgA、IgG、IgM正常,C3正常,C4 0.06(0.1~0.4)。2014年10月18日胸部HRCT示(图1):右肺上叶可见斑片、索条影,气管末端可见一结节样隆起,右主支气管明显狭窄。气管镜检查(2014年10月18日):气管末端可见一类球形新生物,右主支气管可见新生物,右主支气管狭窄,刷检:未见抗酸杆菌,未见恶性癌细胞,病理示:非特异性炎性肉芽肿组织,符合炎性息肉。6天后(2014年10月24日)给予气管镜下高频电刀治疗,术后咳嗽和呼吸困难明显缓解。4天后(2014年10月28日)复查气管镜示:气管末端类球形新生物消失,右主支气管明显增宽,复查血常规(2014年10月29日):WBC 5.56×109/L,N% 60.3%,HGB 115g/L,PLT 220×109/L。

图1 2014年10月18日胸部CT
右肺上叶可见斑片、索条影,气管末端可见一结节样隆起(箭头),右主支气管明显狭窄
【最后诊断】
肺结核并发支气管息肉。
【治疗和转归】
出院后继续给予异烟肼、利福平、乙胺丁醇抗结核治疗,咳嗽,咳痰、呼吸困难症状基本消失。2015年1月21日复查胸部CT(图2):右肺上叶可见斑片、索条影,气管末端结节消失,右主支气管明显增宽。
图2 2015年1月21日胸部CT
右肺上叶可见斑片、索条影,气管末端结节消失,右主支气管明显增宽
【重要提示】
1. 患者青年女性,既往体健。
2. 咳嗽、咳痰8个月余,呼吸困难2个月,加重7天。查体:两肺呼吸音粗,双肺未闻及湿性啰音,胸部CT检查提示右肺上叶见斑片、索条影,气管末端可见一结节样隆起,右主支气管明显狭窄。
3. 给予抗结核、抗感染、平喘等治疗,效果不佳。
4. 气管镜检查(2014年10月18日)示气管末端可见一类球形新生物,右主支气管可见新生物,右主支气管狭窄。刷检:未见抗酸杆菌,未见恶性癌细胞。病理示:非特异性炎性肉芽肿组织,符合炎性息肉。
【讨论】
支气管息肉(bronchial polyp,BP)是一种炎性息肉。炎性息肉是机体在致炎因子的长期刺激下,局部黏膜上皮、腺体过度增生并伴炎性肉芽组织形成,从而产生突出于黏膜表面的带蒂肿块。炎性息肉根据发生的部位分为鼻息肉、宫颈息肉、肠息肉及支气管息肉等。发生于支气管腔内的炎性息肉十分少见。
支气管息肉的发病机制目前仍不明确,支气管息肉可分为原发性支气管息肉和继发性支气管息肉,原发性支气管息肉原因不明,继发性支气管息肉的原因有气管插管后损伤及结核等,国外有文献报道,5例继发性支气管息肉患者中4例是气管插管后出现的支气管息肉,1例是支气管结核并发支气管息肉。本病例明确为肺结核并支气管息肉病例。
支气管息肉多有慢性顽固性咳嗽病史,并渐出现喘息、咯血、呼吸困难等症状,体格检查可发现肺部可闻及哮鸣音,胸部影像学检查可发现支气管狭窄、肺不张、阻塞性肺炎等改变,应用抗感染、扩张支气管等药物效果差。
支气管息肉缺乏典型的临床特征,临床表现与支气管哮喘、上气道咳嗽综合征、嗜酸性粒细胞性支气管炎、心因性咳嗽等相似,而胸片或胸部CT检查可出现支气管狭窄、肺炎或肺不张,易误诊为支气管哮喘、支气管肺癌、肺结核、肺炎等疾病。与上述疾病的鉴别依靠详细的病史、症状、体格检查和影像学检查,但确诊需要气管镜取标本病理检查为炎性息肉改变。
本病以往多需要进行外科手术治疗,如切开气管、支气管摘除肿瘤术;行支气管袖式切除术;肺楔型切除、肺叶切除术等。近年来,随着支气管镜介入技术的发展,多数支气管息肉可应用支气管镜介入方法进行支气管息肉摘除。经气管镜下高频电刀是治疗支气管息肉的方法之一。高频电刀是通过高频电流热效应烧灼病变组织,使病变组织发生蛋白质变性、凝固、坏死的一种治疗方法,已应用于临床数十年,是一种安全有效的治疗手段,尤其对于气道内良性肿瘤可起到根治的。
【评论】
支气管息肉临床相对少见,无典型的临床症状,依据病史、症状、体征及无创检查难以确诊。回顾此病例,患者为青年女性,既往健康,咳嗽,右肺上叶见斑片状、结节样密度增高影,PPD试验强阳性,拟诊“肺结核”,但是正规抗结核四联治疗效果差,咳嗽症状渐加重,与典型的肺结核治疗过程症状不符合,复查胸部CT:右肺上叶可见斑片、索条影,气管末端可见一结节样隆起,右主支气管明显狭窄。相关文献报道活动性肺结核患者10%~40%合并气管、支气管结核。考虑气管支气管结核可能性大,而气管镜取病理结果诊断为息肉。表明对于治疗效果不佳的患者,应积极取病理明确诊断。本例患者应用经气管镜高频电刀切除支气管息肉取得了良好效果,治疗当天刺激性咳嗽、呼吸困难即明显缓解,后复查气管内息肉消失,复查胸部CT:气管末端类球形新生物消失,右主支气管明显增宽,治疗效果良好。表明支气管息肉诊断明确后完全可通过气管镜介入治疗达到根治效果。
支气管息肉的误诊较常见,临床上可被误诊为支气管哮喘、支气管结核、支气管肺癌等,也需与气管支气管平滑肌瘤、脂肪瘤、错构瘤和乳头状瘤等良性肿瘤相鉴别。分析造成误诊可能因素有以下几方面:①支气管息肉缺乏典型的临床特征,常因为咳嗽、喘息,而胸部影像学未发现明显病变而误诊为支气管哮喘;②对辅助检查过分依赖,绝对相信检查报告。如胸部影像学提示有阻塞性肺炎而长期误诊为肺癌;③对于达不到预期治疗效果的病例缺乏反思,以致长期被误诊。如患者已有肺结核,抗结核治疗效果不佳,而未进行进一步的检查。因此,为减少误诊的出现,应提高对本病的认识,对原因不明或用已诊断疾病无法解释的咳嗽、呼吸困难的患者,应及时行气管镜检查,获取病理标本,明确诊断,正确治疗,避免误诊误治的发生。
(李庆伟)
参考文献
1.McShane D,Nicholson AG,Goldstraw P,et al. Inflammatory endobronchial polyps in childhood:clinical spertum and possible link to mechanical ventilation. Pediatr Pulmonol,2002,34(1):79-84.
2.Nishi J,Yoshinaga M,Noguchi H,et al. Bronchial polyp in a child with endobronchial tuberculosis under fiberoptic bronchoscopic observation. Pediatr Int,2000,42(5):573-576.
3.中华医学会结核病学分会. 2012气管支气管结核诊断和治疗指南(试行). 中华结核和呼吸杂志,2012,35(8):581-587.
(环球医学编辑:余霞霞)
来源:《呼吸疑难少见病例解析》
作者:林江涛
页码:185-188
出版:人民卫生出版社
- 评价此内容
- 我要打分
近期推荐
热门关键词
最新会议
- 2013循证医学和实效研究方法学研讨会
- 欧洲心脏病学会年会
- 世界帕金森病和相关疾病2013年会议
- 英国介入放射学学会2013年第25届年会
- 美国血液学会2013年年会
- 美国癫痫学会2013年第67届年会
- 肥胖学会 2013年年会
- 2013年第9届欧洲抗体会议
- 国际精神病学协会 2013年会议
- 妇科肿瘤2013年第18届大会
- 国际创伤压力研究学会2013年第29届…
- 2013年第4届亚太地区骨质疏松症会议
- 皮肤病协会国际2013年会议
- 世界糖尿病2013年大会
- 2013年国际成瘾性药年会
- 彭晓霞---诊断试验的Meta分析
- 武姗姗---累积Meta分析和TSA分析
- 孙凤---Network Meta分析
- 杨智荣---Cochrane综述实战经验分享
- 杨祖耀---疾病频率资料的Meta分析
合作伙伴
Copyright g-medon.com All Rights Reserved 环球医学资讯 未经授权请勿转载!
网络实名:环球医学:京ICP备08004413号-2
关于我们|
我们的服务|版权及责任声明|联系我们
互联网药品信息服务资格证书(京)-经营性-2017-0027
互联网医疗保健信息服务复核同意书 京卫计网审[2015]第0344号




会员登录

