40岁女子体检发现双肺多发结节 会是…
40岁女性,因“发现双肺多发结节9天”入院。患者从事有机玻璃生产8年,工作环境中有可疑脂质粉尘。患者确诊为……
【病情介绍】
患者,女,40岁,有机玻璃生产作坊工作人员。因“发现双肺多发结节9天”于2010年12月2日入院。患者无不适,体检X线胸片发现双肺多发结节,从事有机玻璃生产8年,工作环境中有可疑脂质粉尘。
既往体健。无高血压、糖尿病、冠心病等慢性病史,无肝炎、结核、伤寒等传染病史。患者生于原籍,无久居外地史,无毒物、放射性物质接触史,无血吸虫疫水接触史。无手术史、输血史,无食物、药物过敏史,预防接种史不详。无烟酒嗜好。已婚,配偶及子女体健。父亲因肺癌去世,其余家族史无特殊。
【诊治经过】
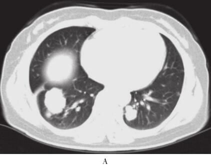
入院后体查未见阳性体征。辅助检查结果:血脂:甘油三酯为0.87mmol/L,总胆固醇为3.44mmol/L,高密度脂蛋自为0.85mmol/L,低密度脂蛋自为2.31mmol/L。ESR为29mm/ h。PPD试验及结核抗体阴性。血癌胚抗原(CEA)为0.6μg/ml。胸部增强CT示右下肺肿块约3.5cm×3.2cm,边缘呈分叶状,密度尚均匀,平扫CT值14HU,增强后30HU,双肺内还可见多个散在小结节影,左肺较大结节约1.5cm×2.0cm,边缘清晰,纵隔内未见肿大淋巴结(图1)。支气管镜检查示支气管炎症。痰及BALF未见异常细胞。入院后第1次CT引导下经皮右肺肿块穿刺活检病理示慢性炎症、纤维组织增生,可见胆固醇结晶沉积、富含脂质的巨噬细胞及较多空泡状细胞,上皮标记阴性,未见肿瘤细胞。全身PET/ CT显示右下肺前基底段团块状异常放射性浓聚影(3.2cm×4.2cm×3.5cm,最大SUV为6.4),双肺散在多个大小不等结节影,最大者位于左下肺后基底段,长径约2.2cm,最大SUV为3.8。第2次右下肺肿块穿刺活检,病理结果基本同前,病变符合外源性脂质性肺炎。


图1 2010年12月2日胸部增强CT
右肺肿块,双肺多发结节
由于本例患者临床症状轻微,且2次PET阳性部位肺组织病理均符合外源性脂质性肺炎,无恶性证据,故未给予特殊治疗,定期随访并建议患者定期复查胸部CT。
【最后诊断】
外源性脂质性肺炎。
【治疗和转归】
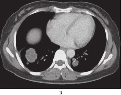
出院后定期随访,2013年7月患者出现间断左下胸痛,咳嗽时加重,余无不适。体检未见异常。复查胸部增强CT右下肺病灶较前稍增大,左下肺病灶较前减小(图2)。为排除恶性肿瘤,第3次行CT引导下经皮右肺肿块穿刺,病理检查示肺纤维化、玻璃样变及黏液变(机化),有少量炎性细胞浸润,未见肿瘤细胞。PAS染色及刚果红染色均阴性,确诊ELP。半年后患者胸痛症状有所好转,影像学同前,该病例在继续随访中。


图2 2013年7月3日肺部CT
与之前对比,右肺肿块较前稍增大,左下肺病灶较前减小
【重要提示】
1. 患者为中年女性,病程较长,病情发展慢。
2. 无临床症状,体查未见阳性体征。
3. 胸部CT示右下肺肿块及双肺多个散在小结节影,边缘清晰,增强CT示双肺结节呈显著均匀增强,PET/CT显示结节呈异常浓聚影。
4. 右肺肿块多次穿刺活检病理示慢性炎症,纤维组织增生,可见胆固醇结晶沉积、富含脂质的巨噬细胞。病理结果为ELP确诊的金标准。
5. 长期随访对该病诊断尤为重要。
【讨论】
1925年Laughlen首次报道外源性脂质性肺炎(exogenous lipoid pneumonia,ELP),ELP是一种少见的由于吸入或误吸脂质所引起的肺炎,ELP的脂质来源主要包括动物性、植物性及矿物性油脂。ELP患者的临床症状缺乏特异性。肺部高分辨CT(HRCT)是诊断脂质性肺炎lipoid pneumonia,LP)的手段,最常见实变及磨玻璃样改变,少见碎石路征、结节或肿块,缺乏特异性。LP特异性CT表现为低密度实变或结节病灶(CT值为-150~-30HU),如石蜡瘤。ELP在PET/CT可表现为高摄取(假阳性),其可能原因是慢性炎性浸润。ELP的主要病理所见是富含脂质的巨噬细胞、大量胆固醇结晶、慢性炎症和纤维化。纤维结缔组织增生、黏多糖等物质沉积及慢性炎症细胞的浸润,形成纤维化、玻璃样变及黏液变,从而呈机化改变。肺泡内脂质与肺泡壁融合,被纤维组织包裹,形成结节或肿块(石蜡瘤)。
ELP常通过外科肺切除手术后病理确诊,也可根据脂质暴露史、气管/支气管发现游离脂滴、相关的影像学低密度病灶、痰或BALF发现富含脂质的巨噬细胞而诊断。由于对ELP认识不足,容易被误诊为“肺癌”“肺部感染性疾病”“肺间质纤维化”等。
本例长期从事家庭作坊式有机玻璃生产工作,有可疑脂质粉尘(如甲基丙烯酸酯),且通风条件差,有可能存在脂质吸入,但国内外尚无明确报道甲基丙烯酸酯引起的ELP病例,且在同一环境中工作的人员也未发生类似情况。本例临床症状轻微,影像表现为右下肺肿块并双肺多发结节,PET/CT为高摄取,但右下肺肿块密度较低,2次PET阳性部位肺组织病理符合ELP,无恶性证据,且未给予特殊治疗,3年后第3次肺肿块组织活检病理呈机化,因此可排除肺癌,确诊为ELP。ELP的治疗措施有限,预后较佳,除非导致了呼吸衰竭或合并感染。
本病需与以下疾病鉴别:①肺癌并肺内转移:由于肺癌形成的肿块一般呈软组织密度(CT值为40HU左右),病变发展较快,肺组织病理可见肿瘤细胞,免疫组化上皮标志物阳性。②肺多发炎性假瘤:其症状多较轻,CT多为均匀显著高度强化,病灶多位于肺的外围,贴近胸膜,肺组织病理见炎性肉芽肿形成、大量炎性细胞浸润有助于鉴别。③多发性结核瘤:多发于上叶尖后段或下叶背段,边缘多清楚光整,钙化一般较多且呈层状或爆米花状,常有结核病史或接触史,病理见干酪样坏死、结核肉芽肿形成、抗酸染色阳性而鉴别。④多发性肺硬化性血管瘤:主要表现为肺内大小不一、边界清晰的多发结节或肿物,可伴多系统损害,主要通过病理鉴别,其特点为表面细胞和圆形细胞共同存在,同时在镜下可呈现4种结构,即乳头、硬化、实体样结构和出血。
【评述】
ELP是一种少见的慢性肺部疾病,影像学类似双肺肺癌的ELP罕见。虽然ELP属罕见病,但对所有存在呼吸道症状及肺部阴影患者均需考虑ELP,因其临床症状、实验室检查及影像学表现均无特异性,所以脂质暴露病史对诊断ELP有重要提示。即使双肺多发结节PET/CT阳性时也应考虑可能为非恶性疾病,如ELP。早期诊断可避免不必要的外科手术,而未经外科肺切除而诊断ELP后,应定期随访以确定诊断,因此临床特征、病理学证据和随访对诊断ELP均非常重要。
(李园园 胡成平)
参考文献
1. Laughlen GF. Studies on Pneumonia Following Naso-Pharyngeal Injections of Oil. Am J Pathol,1925,1(4):407-414.
2. Gondouin A,Manzoni P,Ranfaing E,et al. Exogenous lipid pneumonia:a retrospective multicentre study of 44 cases in France. Eur Respir J,1996,9(7):1463-1469.
3. Mokhlesi B,Angulo-Zereceda D,Yaghmai V. False-positive FDG-PET scan secondary to lipoid pneumonia mimicking a solid pulmonary nodule. Ann Nucl Med,2007,21(7):411-414.
4. Betancourt SL,Martinez-Jimenez S,Rossi SE,et al. Lipoid pneumonia:spectrum of clinical and radiologic manifestations. AJR Am J Roentgenol,2010,194(1):103-109.
5. Papla B,Urbanczyk K,Gil T,et al. Exogenous lipoid pneumonia(oil granulomas of the lung). Pol J Pathol,2011,62(4):269-273.
6. Harris K,Chalhoub M,Maroun R,et al. Lipoid pneumonia:a challenging diagnosis. Heart Lung,2011,40(6):580-584.
7. Keylock JB,Galvin JR,Franks TJ. Sclerosing hemangioma of the lung. Arch Pathol Lab Med,2009,133(5):820-825.
(环球医学编辑:余霞霞)
来源:《呼吸疑难少见病例解析》
作者:林江涛
页码:284-287
出版:人民卫生出版社
- 评价此内容
- 我要打分
近期推荐
热门关键词
最新会议
- 2013循证医学和实效研究方法学研讨会
- 欧洲心脏病学会年会
- 世界帕金森病和相关疾病2013年会议
- 英国介入放射学学会2013年第25届年会
- 美国血液学会2013年年会
- 美国癫痫学会2013年第67届年会
- 肥胖学会 2013年年会
- 2013年第9届欧洲抗体会议
- 国际精神病学协会 2013年会议
- 妇科肿瘤2013年第18届大会
- 国际创伤压力研究学会2013年第29届…
- 2013年第4届亚太地区骨质疏松症会议
- 皮肤病协会国际2013年会议
- 世界糖尿病2013年大会
- 2013年国际成瘾性药年会
- 彭晓霞---诊断试验的Meta分析
- 武姗姗---累积Meta分析和TSA分析
- 孙凤---Network Meta分析
- 杨智荣---Cochrane综述实战经验分享
- 杨祖耀---疾病频率资料的Meta分析
合作伙伴
Copyright g-medon.com All Rights Reserved 环球医学资讯 未经授权请勿转载!
网络实名:环球医学:京ICP备08004413号-2
关于我们|
我们的服务|版权及责任声明|联系我们
互联网药品信息服务资格证书(京)-经营性-2017-0027
互联网医疗保健信息服务复核同意书 京卫计网审[2015]第0344号




会员登录

