一例双肺继发性肺结核病例诊治及评析
61岁女性,咳嗽、咳痰2个月,于当地医院检查显示双肺多发结节影(考虑为双肺多发转移瘤),双侧少量胸腔积液,在笔者医院进一步诊治。患者曾在6年前因甲状腺结节于当地医院行手术治疗(考虑为良性肿瘤),而且患高血压2年。如何诊治?
一、病情摘要
1.基本情况
女性患者,61岁,以“咳嗽、咳痰2个月”为主诉于2012年8月入院。2个月前,患者无诱因出现阵发性咳嗽,咳少量白痰,无发热、胸痛、咯血、气促、夜间盗汗、食欲减退、消瘦,未诊治,后症状逐渐加重。2天前,患者于当地医院就诊,胸部CT示双肺多发结节影(考虑为双肺多发转移瘤),双侧少量胸腔积液。患者入我院进一步诊治。
2.既往
患者6年前因甲状腺结节于当地医院行手术治疗(考虑为良性肿瘤);患高血压2年,服用苯磺酸氨氯地平,血压控制良好;无吸烟、嗜酒史,否认家族遗传性疾病史。
3.入院查体
体温36.3℃,脉搏78次/min,呼吸18次/min,血压122/75mmHg。神志清楚,全身浅表淋巴结未触及,口唇无发绀,胸廓无畸形。双肺呼吸音清晰,未闻干、湿啰音。心率78次/min,律齐,未闻杂音。腹部查体未见异常,无杵状指(趾),双下肢无水肿。
4.入院前检查
(1)一般检查
血常规指标正常;动脉血气分析(吸空气):pH 7.393,动脉血二氧化碳分压(partial pressure of carbon dioxide in artery,PaCO2)35.3mmHg,动脉血氧分压(partial pressure of oxygen in artery,PaO2)69.1mmHg,动脉血氧饱和度(arterial oxygen saturation,SaO2)92.9%,HCO3-22.6mmol/L;甲状腺功能正常;空腹血糖8.02mmol/L,餐后2小时血糖16.26mmol/L,糖化血红蛋白(hemoglobin A1c,HbA1c)10.2%。
(2)肿瘤相关检查
癌胚抗原(carcinoembryonic antigen,CEA)、甲胎蛋白(α-fetoprotein,AFP)正常。
(3)感染相关检查
C反应蛋白(C-reactive protein,CRP)21.40mg/L,红细胞沉降率(简称血沉,erythrocyte sedimentation rate,ESR)55mm/h;痰培养未检出致病菌,多次痰涂片未检出抗酸杆菌;结核菌素(purified protein derivative of tuberculin,PPD)试验阴性。
(4)影像学检查
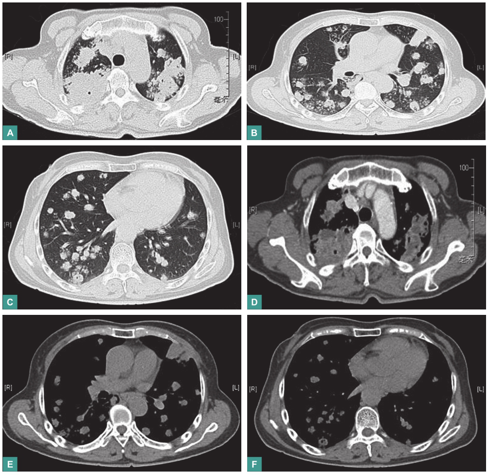
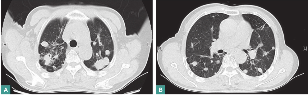
胸部CT平扫和增强扫描示双肺弥漫多发结节及肿块,纵隔内气管前、腔静脉后部分淋巴结轻度增大(图1)。

图1 胸部CT表现
5.初步诊断
双肺阴影性质待查(怀疑非感染性疾病)。
二、诊治过程
【病例特点】
1.一般情况
患者为中年女性,亚急性起病,既往有高血压病史及甲状腺手术史。
2.主要症状
咳嗽、咳痰,无发热、气促,无阳性体征。
3.实验室检查
炎症指标升高,肿瘤标志物正常,血糖水平升高,血气分析提示低氧血症。
4.影像学检查
胸部CT显示双肺弥漫性多发结节和肿块,上肺部明显,局部病灶有小空洞,纵隔内淋巴结无明显肿大,增强扫描显示肺内病灶无明显强化。
【鉴别诊断思路】
本例患者的主要症状为咳嗽、咳痰,无阳性体征,临床表现无病因特异性,但胸部影像学表现为双肺多发结节和肿块,因此首先由此入手来进行鉴别诊断。
◆ 双肺多发结节和肿块如何鉴别?
双肺多发结节和肿块,即两侧肺野内有两个或更多较局限的球形或类球形病灶,病灶大小各不相同。通常,直径>3cm的圆形或卵圆形肺实质性病变称为肿块,直径≤3cm的类圆形病灶称为结节,直径≤1cm的病灶称为小结节,病灶直径都<3mm且无法数清数量者则为粟粒性病变。其病因分为感染性疾病和非感染性疾病两大类。
◆ 本病例是感染还是非感染性疾病所致?
(1)感染性疾病
常见细菌感染:
例如金黄色葡萄球菌感染引起的血源性肺脓肿(图2),患者多存在寒战、高热等全身中毒症状,伴有咳嗽、咳黄脓痰,实验室检查提示血象明显增高。

图2 关节腔感染继发金黄色葡萄球菌肺脓肿胸部影像学表现
胸部CT可见双肺多发高密度斑片状实变影,其间可见坏死性空洞改变
特殊病原体感染:
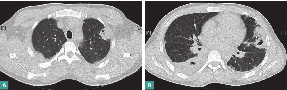
如肺结核、肺真菌感染(曲霉菌、隐球菌、组织胞浆菌等感染)。①肺结核患者多有午后低热、盗汗、咯血、食欲减退等结核中毒症状,病灶常位于肺上叶尖后段及下叶背段,而双肺多发结节病灶常见于血行播散型肺结核及支气管播散型肺结核。血行播散型肺结核影像学表现为双肺弥漫性粟粒样结节,支气管播散型肺结核则表现为小叶中心性结节,即树芽征改变;②肺曲霉菌感染患者多有免疫力低下等危险因素或肺部原有空洞继发感染,影像学表现为结节周围有晕征或空气新月征(图3);③肺隐球菌病常见于社区感染,多表现为咳嗽、咳痰、咯血、胸闷、胸痛、低热等,影像学表现可见孤立性结节或双肺多发结节(图4),多于近胸膜下分布,有时结节周边也出现晕征。

图3 左上肺曲霉菌感染胸部影像学表现
胸部CT可见左上肺大片实变渗出影,并见囊性空洞中球形结节

图4 肺隐球菌病胸部影像学表现
胸部CT可见右上肺多发结节性高密度影
本例患者为中老年女性,症状无特异性(咳嗽、咳痰,无发热),血象正常,血沉及CRP仅轻中度升高,但病程长(症状持续长达2个月),不支持常见急性感染性疾病诊断,因此要重点考虑特殊病原体导致的慢性感染性疾病。患者住院期间发现有糖尿病;胸部CT显示病变主要位于双上肺尖后段,呈团片状实变影,纵隔窗可见较多坏死低密度区,双肺野多发结节,结节边缘不规则,周围有卫星灶及树芽征改变,故需警惕肺结核可能。患者为社区来源的,虽否认有禽类等接触史,但仍需注意排除肺隐球菌病。
(2)非感染性疾病
肺部肿瘤:
①肺内原发恶性肿瘤病灶常同时伴有纵隔及支气管肺门淋巴结肿大;肺转移瘤多为血行转移,胸部CT多显示两肺内多发圆形致密影,大小不一,边缘光整,密度均匀,以中下肺为主(即胸膜下和肺基底部明显);②肺良性肿瘤,如炎性假瘤可表现为单发或多个病灶,常边缘光整,无分叶,无毛刺,其内密度均匀,周边环形强化,边缘连续、无中断。CT增强扫描对肺内良、恶性结节的鉴别诊断有重要价值;③肺淋巴瘤多为全身病变的一部分,极少仅见肺部病变,其影像学表现多样,结节或肿块型病灶边缘呈棉絮状或周围呈磨玻璃样,多合并肺内斑片、肺间质改变。
非肿瘤性疾病:
①韦格纳肉芽肿病常表现为抗中性粒细胞胞质抗体(anti-neutrophil cytoplasmic antibody,ANCA)阳性,全身多系统(如耳、鼻、肺、肾等)受累。典型X线胸片可显示1个到数个边界模糊的结节状肿块,直径为2~4cm(图5)。50%患者的胸部影像学表现可见空洞;②结节型肺淀粉样变可表现为肺内单发或多发结节,多位于肺下叶外带,直径为0.5~5cm,偶见斑点状钙化或胸腔积液,极少有空洞;③结节病为一种全身性疾病,可引起多器官(包括皮肤、骨、心脏、眼、脑脊膜和肺)非干酪性肉芽肿;④肺内类风湿结节为渐进性坏死性结节,X线胸片通常表现为1个到数个结节,常有胸膜下发生倾向。

图5 韦格纳肉芽肿病胸部影像学表现
胸部CT可见双肺多发高密度影,以肺野中内带分布为主
本例患者临床表现不符合急性感染性疾病特点,除特殊病原体导致的慢性感染性疾病外,还需注意非感染性疾病可能。根据上述分析,患者双上肺病灶范围大,边缘不规则,有分叶及锯齿征、空泡改变,同时双肺弥漫多发结节,需要考虑肺恶性肿瘤可能;无其他系统损害,肺内病灶空洞不明显,因此不考虑韦格纳肉芽肿等非肿瘤性疾病。
◆ 下一步需要进行何种检查以协助诊断?
经支气管镜肺活检尽管有一定局限性,但由于创伤小、费用低、具有可重复性,对弥漫性肺疾病诊断有一定价值,可使近30%弥漫性肺疾病得到确诊,并可作为进行开胸检查前的筛查手段。对拟诊肺结核患者,经支气管镜肺活检、刷检涂片、支气管肺泡灌洗液(bronchoalveolar lavage fluid,BALF)涂片和培养等不同检测手段互为补充,可避免单一检测的局限性,提高检测阳性率。因此,本例患者下一步宜行支气管镜检查以协助诊断。
【诊治措施】
1.入院后相关检查
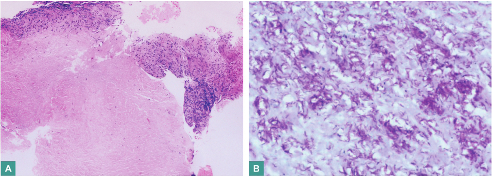
行支气管镜检查及经支气管镜右肺上叶后段活检、中叶肺泡灌洗检查:镜下未见明显异常;活检组织病理示少量支气管黏膜,可见凝固性坏死,坏死周围呈慢性肉芽肿性炎症反应,抗酸染色阳性(考虑为结核),伴干酪样坏死(图6);BALF抗酸染色涂片阴性并培养出分枝杆菌(经鉴定为结核分枝杆菌)。

图6 经支气管镜肺活检病理结果
镜下见大片干酪样坏死,周边见上皮样细胞肉芽肿结节及多核巨细胞(HE染色)(A. ×100),抗酸染色阳性(B. ×200)
2.最后诊断
双肺继发性肺结核。
3.相关治疗
采取“3HRZE/9HRE”方案抗结核治疗。
【临床转归】
行抗结核治疗1年后,复查胸部CT示双肺病灶明显吸收(图7)。

图7 抗结核治疗1年后胸部CT表现
【临床难点】
◆ 糖尿病合并肺结核的影像学表现有哪些特点?
糖尿病常与结核病并存,许多国家已将糖尿病列为结核病的危险因素之一。流行病学研究显示,肺结核与糖尿病有非常显著的相关性。糖尿病可加剧肺结核的临床进程。另有研究显示,糖化血红蛋白>7%的糖尿病患者(较<7%者)患活动性肺结核风险较高。据报道,糖尿病合并肺结核的影像学表现有以下形态特点:发病部位不典型,病灶分布广泛,进展快,可多叶受累,两侧蔓延,且以干酪性病灶为主要表现;可见多发小空洞,并以干酪厚壁空洞为主,空洞内液平面出现率高;结节、肿块状病灶经增强扫描,可显示边缘明显强化;或发生在结核的少见部位;大片融合病变及实变较多见。本例患者糖化血红蛋白10.2%,肺内病变分布范围广,多叶受累,双肺蔓延,多发结节,并有小空洞形成。
◆ 对于本病例,是否还需要排除非结核分枝杆菌感染?
临床上,对于痰涂片抗酸染色阳性或活检组织病理抗酸染色阳性的患者,除考虑结核分枝杆菌感染外,还需警惕非结核分枝杆菌感染。非结核分枝杆菌与结核分枝杆菌的菌体成分和抗原有共同性,病理所见亦很难鉴别,因此对于痰抗酸杆菌检查阳性,而临床表现与肺结核不相符或接受正规抗结核治疗无效而反复排菌,且肺部病灶以支气管扩张、多发性小结节及薄壁空洞为主的患者,需注意排除非结核分枝杆菌病。本例患者肺组织活检病理提示抗酸染色阳性,但经过BALF培养鉴定菌种确定为结核分枝杆菌,因此肺结核诊断明确。
三、点睛析评
某些特殊人群患肺结核可在症状、体征和胸部影像学表现及临床经过等诸多方面与一般肺结核患者有许多不同特点,即“不典型肺结核”,较易延误诊断,需引起临床重视。其中,糖尿病合并肺结核的胸部影像学表现以渗出、干酪样病变为主,可呈大片状、巨块状,易形成空洞及结节,好发于肺门区及中下肺野,病变进展快,应注意与急性肺炎、肺脓肿、肺癌鉴别。不典型肺结核的影像学表现多样,给诊断和治疗带来一定困难,须仔细观察,同时结合临床检验结果进行综合评估。对临床检验结果为阴性者应尽早进行肺穿刺活检或支气管镜检查,以明确诊断。
知识来源
人卫知识数字服务体系
- 评价此内容
- 我要打分
近期推荐
热门关键词
最新会议
- 2013循证医学和实效研究方法学研讨会
- 欧洲心脏病学会年会
- 世界帕金森病和相关疾病2013年会议
- 英国介入放射学学会2013年第25届年会
- 美国血液学会2013年年会
- 美国癫痫学会2013年第67届年会
- 肥胖学会 2013年年会
- 2013年第9届欧洲抗体会议
- 国际精神病学协会 2013年会议
- 妇科肿瘤2013年第18届大会
- 国际创伤压力研究学会2013年第29届…
- 2013年第4届亚太地区骨质疏松症会议
- 皮肤病协会国际2013年会议
- 世界糖尿病2013年大会
- 2013年国际成瘾性药年会
- 彭晓霞---诊断试验的Meta分析
- 武姗姗---累积Meta分析和TSA分析
- 孙凤---Network Meta分析
- 杨智荣---Cochrane综述实战经验分享
- 杨祖耀---疾病频率资料的Meta分析
合作伙伴
Copyright g-medon.com All Rights Reserved 环球医学资讯 未经授权请勿转载!
网络实名:环球医学:京ICP备08004413号-2
关于我们|
我们的服务|版权及责任声明|联系我们
互联网药品信息服务资格证书(京)-经营性-2017-0027
互联网医疗保健信息服务复核同意书 京卫计网审[2015]第0344号




会员登录

