一例鼻病毒肺炎合并肺炎链球菌肺炎诊治经验分享
34岁男性,2天前出现发热,伴咳嗽、气促,胸部影像学检查提示双肺高密度实变影,应当首先考虑为肺炎。患者出现血压下降,多叶段肺浸润,白细胞、血小板计数降低,BUN升高,呼吸频率加快、严重低氧血症等,符合重症肺炎诊断标准。如何确定感染类型和感染病原体?
一、入院疑诊
(一)病例信息
【病史】
男性患者,34岁,入院2天前出现发热,伴咳嗽、气促,于当地医院就诊。查体温38.6℃,血压70/40mmHg;双肺呼吸音低,右肺为主;血常规示WBC 3.3×109/L,N% 76.3%;C反应蛋白(CRP)188mg/dl;X线胸片示双肺肺炎。当地医院考虑为重症肺炎,予利巴韦林抗病毒及对症治疗,患者病情无好转,1天前转入我院。因难治性低氧血症,立即给予气管插管接呼吸机辅助通气治疗。
患者既往身体健康,无活禽类动物接触史,无吸烟、饮酒史。
【体格检查】
体温38.2℃,心率119次/min,呼吸22次/min,血压91/62mmHg。
神志不清,全身浅表淋巴结未触及肿大。双肺呼吸音低,未闻明显干湿啰音。心律齐,未闻病理性杂音。腹软,无压痛、反跳痛及肌紧张,肝、脾肋下未触及肿大,肠鸣音正常。双下肢无明显凹陷性水肿。
【实验室检查】
甲型流感病毒、乙型流感病毒检测:阴性。
血常规:WBC 3.68×109/L,N% 88.5%,Hb 162g/L,PLT 87×109/L ;CRP 233mg/dl。
心肌损伤标志物:心肌型肌酸激酶同工酶(MB isoenzyme of creatine kinase,CK-MB) 11.6ng/ml,肌红蛋白(myoglobin,MYO)>500ng/ml,脑钠肽(brain natriuretic peptide,BNP)1040pg/ml。
血生化:AST 141U/L,乳酸脱氢酶(LDH)356U/L,羟丁酸脱氢酶(hydroxybutyric dehydrogenase,HBD)318U/L,肌酸激酶(creatine kinase,CK)3018U/L,血尿素氮(BUN)13.06mmol/L,肌酐(Cr)106μmol/L。
动脉血气分析(FiO2 0.21):pH 7.6,PaO2 45mmHg,PaCO2 28mmHg,HCO3-27.5mmol/L,SpO2 89%。
【影像学检查】
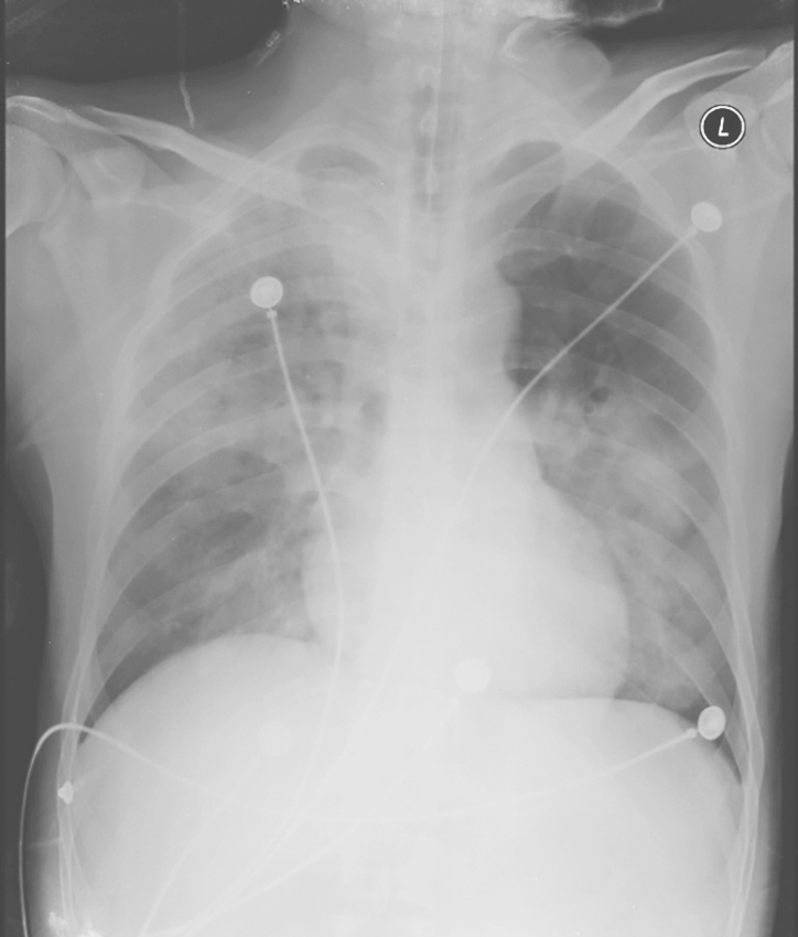
X线胸片(急诊):右肺及左肺中下野可见大片絮状模糊影(图1)。

图1 X线胸片表现
(二)临床思辨
【临床特点】
1.患者为青年男性,急性起病。
2.主要表现为发热、咳嗽、呼吸困难,双肺呼吸音减低,无干湿啰音。
3.实验室检查示外周血白细胞计数降低,中性粒细胞比例略升高,血气分析提示Ⅰ型呼吸衰竭。伴有肝损害,CK升高。
4.影像学检查示双肺多发病变,团片状渗出影。
5.利巴韦林及奥司他韦抗病毒治疗无效。
【思辨要点】
本例患者为青年男性,急性起病,有发热、咳嗽,胸部影像学检查提示双肺高密度实变影,应当首先考虑为肺炎。患者出现血压下降,多叶段肺浸润,白细胞、血小板计数降低,BUN升高,呼吸频率加快、严重低氧血症等,已符合重症肺炎诊断标准。
对于考虑为肺炎者,需要思考以下问题:
1.本病例属于哪种感染类型?感染病原体是什么?
本例患者为青年男性,平素身体健康,无院内获得感染及机会性感染因素,首先考虑为社区获得性肺炎。我国社区获得性肺炎常见病原体以细菌为主,其次为肺炎支原体等非典型病原体。
在细菌感染中,最常见为肺炎链球菌,其他还有流感嗜血杆菌、肺炎克雷伯菌、葡萄球菌、铜绿假单胞菌等。①肺炎链球菌感染多表现为大叶性肺炎,主要症状为高热、咳嗽、咳痰、胸痛,可咳铁锈样痰,外周血以白细胞计数和中性粒细胞比例升高为主,X线胸片表现为叶段实变,多种抗生素(如青霉素类、头孢类等)治疗有效。本例患者无胸痛、咳痰表现,白细胞计数降低,在影像学上除实变外尚有间质改变,并不符合肺炎链球菌感染的临床特点。②流感嗜血杆菌也是常见病原体。流感嗜血杆菌感染临床表现总体类似于肺炎链球菌肺炎,同样以发热、咳嗽、脓性痰为主,但更易出现脓胸。因此,本病例为流感嗜血杆菌感染可能性也相对较小。③肺炎克雷伯菌导致重症肺炎比例高,影像学表现可有多叶段累及,且常对多种抗生素耐药,除胶冻样痰外,并无特异性临床表现。但本病例外周血白细胞水平低于正常值,与细菌性感染不相符合,该病原体感染可能性不大。④葡萄球菌肺炎表现为肺部破坏性改变,出现多发斑片影及空洞;铜绿假单胞菌肺炎主要发生于伴有肺部结构性疾病患者。这两种病原体感染与本病例临床特点也不一致。
非典型病原体以肺炎支原体、衣原体、军团菌和病毒最为常见。①支原体肺炎以发热、干咳为主要临床表现,干咳尤为突出,早期胸部影像学表现可出现间质改变,病原检测以分子生物学核酸鉴定和血清抗体4倍增高为确诊依据;②衣原体感染症状并无特异性,影像学以小片状浸润为主;③军团菌肺炎患者可有明显肌痛、消化道症状、神志改变等肺外表现。这些特点在本患者均未体现,因此考虑这3类病原体感染可能性不大。
本例患者临床出现急性进展的呼吸困难,胸部影像学表现以多叶段累及为主,可见间质改变,疾病早期可见白细胞计数降低,因此,应当考虑有病毒感染可能。本例患者出现肝功能异常,肌酸激酶、肌红蛋白升高提示有横纹肌溶解可能,均符合病毒感染特点。病毒性肺炎常被认为呈自限性,但部分患者可发展为重症肺炎。最常见导致肺炎的病毒为流感病毒,但本例患者使用奥司他韦治疗并未取得良好效果,病情进一步进展,相应实验室检查也为阴性,因此流感病毒导致肺炎可能性并不大。其他病毒导致肺炎相对少见,如鼻病毒、冠状病毒等所致肺部感染的临床特征并不为临床医师所熟知,因此需通过呼吸道标本检测确诊。
真菌及寄生虫感染导致肺炎主要发生于免疫抑制人群,如长期使用激素、免疫抑制剂,正进行肿瘤化疗或HIV感染者。本例患者并无上述免疫抑制状态,入院查淋巴细胞计数并不低,因此这两类感染可能性较小。
综上所述,本病例不符合常见细菌肺炎特点,首先应考虑为病毒性肺炎,但具体是何种病毒感染尚需进一步验证。此外,病毒性肺炎可混合细菌感染,因此不能排除两种或多种感染同时存在的情况。
2.对于本病例,是否需考虑其他疾病?
对于青年患者急性发病,出现咳嗽、呼吸困难,应当注意鉴别如下疾病:
(1)风湿免疫病
此类疾病临床表现除常见的发热、关节痛、皮疹等外,尚可累及呼吸道,如韦格纳肉芽肿、变应性肉芽肿性血管炎等,但此类疾病常发病较慢,病程较长,罕见急性起病导致呼吸衰竭的情况,与本例患者情况不符。
(2)肿瘤性疾病
原发于肺部或转移至肺部的肿瘤可引起阻塞性肺炎,但本例患者为青年男性,急性起病,且无肿瘤消耗症状,因此患肿瘤性疾病可能性小。
(3)肺结核
一般来说,肺结核患者少有高热、呼吸衰竭表现。干酪性肺炎、血行播散型肺结核等可出现高热、肺部症状,但本例患者影像学表现并不符合其特点,因此患肺结核可能性小。
综上所述,初步考虑本病例为社区获得性肺炎,其病原体可能为病毒,不排除混合感染,患其他疾病可能性较小。
二、诊治过程
(一)临床信息
【实验室检查】
1.一般检查
(1)血常规(入院后多次检查):WBC(8.39~12.1)×109/L,N% 76.31%~95.5%,血红蛋白正常;血小板逐步下降,最低至32×109/L,后恢复至150×109/L。
(2)生化(入院时):ALT 44U/L,AST 129U/L,LDH 487U/L,CK 1258U/L,ALB 28.8g/L,Na 148.3mmol/L。
(3)凝血酶原活动度(prothrombin time activity,PTA) 45% ;D-dimer 1539ng/ml,后多次检查波动于1500~2500ng/ml。
(4)MYO 1276ng/ml,肌钙蛋白 I(troponin I,TnI)0.115ng/ml,CK-MB 16.4ng/ml。
2.免疫相关检查
血IgA、IgM、IgG正常,补体C3、C4减低,类风湿因子(rheumatoid factor,RF)113U/ml。自身抗体(含scl-70、Sm、SSA、SSB、U1-RNP、rRNP、Jo-1)阴性。
3.感染相关检查
(1)乙型肝炎表面抗原(hepatitis B surface antigen,HBsAg)、乙型肝炎 e 抗原(hepatitis B e antigen,HBeAg)、乙型肝炎核心抗体(hepatitis B core antibody,HBcAb)阳性,乙型肝炎病毒 -脱氧核糖核酸(hepatitis B virus-deoxyribonucleic acid,HBV-DNA)3.57×107IU/ml;丙型肝炎抗体阳性,丙型肝炎病毒-核糖核酸(hepatitis C virus-ribonucleic acid,HCV-RNA)<15IU/ml。
(2)血沉(ESR)41mm/1h;CRP 228mg/L ;降钙素原(PCT)>25μg/ml。
(3)支原体、衣原体、军团菌抗体阴性。
(4)多次痰液普通细菌培养、真菌培养、浓缩查结核分枝杆菌及血培养均阴性。
(5)支气管肺泡灌洗液(BALF)病原检测:肺炎链球菌培养阴性,巨细胞病毒、EB病毒、腺病毒核酸检测均阴性,肺孢子菌阴性。
【支气管镜检查】
首次床旁支气管镜检查见主气道内黏膜充血严重,右主支气管内黏膜壁散在灰黄色黏稠分泌物,右上叶前段及尖端开口处均有大量灰黄色黏稠分泌物,左主支气管及各级支气管分支开口处均有灰黄色黏稠分泌物,气管及支气管黏膜充血明显,触之易出血。
BALF细胞总数0.22×106/L,其中巨噬细胞77%,淋巴细胞9.0%,分叶核细胞14.0%。
【影像学检查】
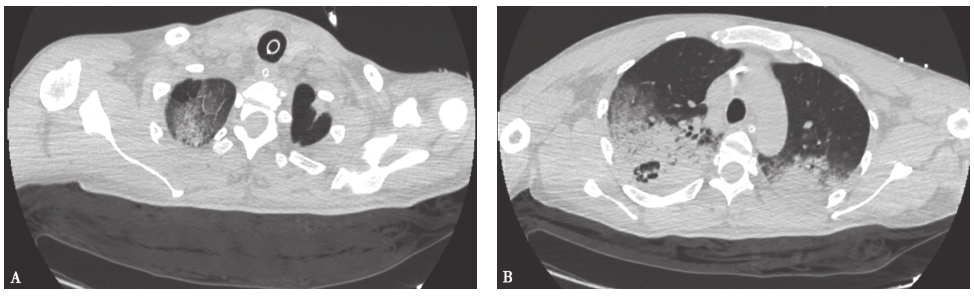
胸部CT:双肺多发大片磨玻璃及实变影,右肺上叶后段空洞形成,双侧胸腔积液(图2)。


图2 发病第7天胸部CT表现
【入院后治疗】
由于患者血氧情况进行性恶化,采取了有创通气治疗。
针对感染,加用奥司他韦抗病毒,亚胺培南西司他丁、去甲氧万古霉素、阿奇霉素联合治疗,并予保肝、调节免疫等对症支持治疗。
(二)临床思辨
患者入院后的系列检查提示:①白细胞较前进一步升高,ESR、CRP、PCT也均有明显升高,考虑有细菌感染,并且病情进一步进展;②患者出现肝损害、横纹肌溶解征象、严重凝血功能障碍,提示全身炎症反应严重;③多项自身抗体均为阴性,可初步排除自身免疫性疾病可能;④支气管镜下可见大量脓性痰,分布较广泛,结合患者胸部影像学多叶段肺部实变影,不符合阻塞性肺炎特点;⑤查乙肝表面抗原阳性,HBV-DNA阳性,可诊断为慢性乙型活动性肝炎,尚无诊断丙型肝炎证据,肝损害可能与之有关;⑥胸部影像学表现特点为大面积实变,上肺可见间质改变,提示有细菌感染可能;⑦支气管肺泡灌洗液培养肺炎链球菌阳性,其余病原学检查阴性。这些结果均提示患者也存在细菌,尤其是肺炎链球菌感染可能。
此时应当思考以下问题:
1.单纯肺炎链球菌感染能否解释病情?
对于普通肺炎链球菌感染而言,最常见的感染模式就是大叶性肺炎,其典型实验室检查特点是白细胞计数升高、中性粒细胞比例增加。本例患者患病初期白细胞计数略降低,并无升高,病情急性进展且危重,全身多脏器损害(如肝损害、横纹肌溶解等)表现突出,这些特点与肺炎链球菌感染并不一致,需考虑有多病原体混合感染可能。
2.对于本例患者是否需调整抗生素使用?
本例患者入院前并未使用抗生素治疗,入院后立即予广谱抗生素加抗病毒治疗,但患者病情仍进行性加重,目前已经使用有创通气治疗,须考虑混合感染可能,另外,进行有创通气后易出现呼吸机相关性肺炎。因此,目前可暂不调整抗生素治疗方案,但须尽快完善其他病原体检查。
3.如何进一步鉴定病原体?
本例患者入院后进行了一系列检查,未见非典型病原体、真菌等感染证据,但病毒检测只查了流感病毒、巨细胞病毒、EB病毒和腺病毒,尚有许多病毒未检测。David Lieberman等人对病毒性社区获得性肺炎进行分析发现,呼吸合胞病毒、鼻病毒、冠状病毒均是重要病原体。因此,对于本例患者,尚需要更全面的病原体检测。
病毒检测有以下手段:
(1)培养鉴定
是多种病毒检测的金标准,但阳性率非常低,培养过程耗时长,临床价值不高。
(2)血清学鉴定
主要针对抗体及抗原进行检测,手段快速、方便。对急性期和恢复期血清抗体鉴定,可进一步明确病原体,但目前临床上并无推行的试剂盒。呼吸道合胞病毒、冠状病毒无血清学检测手段;鼻病毒血清型众多(目前约发现150余种),针对其进行抗原抗体检测目前尚未有可靠手段。
(3)病毒核酸检测
PCR技术是检测病毒感染最主要的手段。目前广泛使用的多重PCR可同时进行多种病毒检测,完成不同血清型检测;定量PCR能检测病毒核酸载量,从而明确是污染或是感染。国内外多项研究均显示,此技术对于呼吸道病毒检测具有良好的敏感性及特异性。
(4)基因检测
病毒的基因学鉴定同样是良好的检测手段,但成本较高,能开展的地方较少,目前临床使用不多。
综上,对于本例患者,须完善的病原学检测应重点以病毒为主,对呼吸道标本进行病毒核酸检测,如果有条件可进行病毒分离鉴定培养及基因学检测。
三、临床确诊
(一)临床信息
对患者的支气管肺泡灌洗液进行多重反转录PCR检测(包括流感病毒、副流感病毒、偏肺病毒、冠状病毒、鼻病毒等9种病毒17种亚型),结果提示鼻病毒阳性。标本送国家病原微生物所进一步鉴定,证实为鼻病毒。
最后诊断:双侧肺炎(鼻病毒肺炎合并肺炎链球菌肺炎)。
患者继续上述治疗,病情逐步好转,于发病后第7天脱机拔管,逐步降级调整抗感染药物后,康复出院。
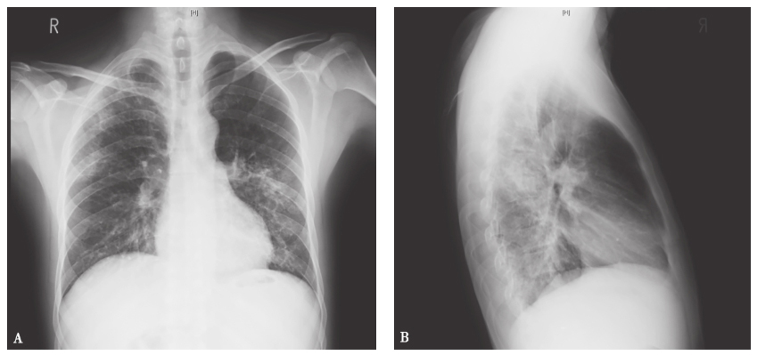
出院前复查X线胸片见双肺原高密度阴影较发病时明显吸收(图3)。

图3 出院前(发病第13天)复查X线胸片
(二)临床思辨
经过一系列临床观察及检查,最终明确本病例为鼻病毒及肺炎链球菌感染,这也就解释了为何患者肺炎进展如此迅速,病情如此危重。虽然患者最终诊断结果仅为重症肺炎,但其隐藏的临床意义需要引起我们重视。
鼻病毒自1956年就已经被发现,并且被认为是上呼吸道感染最主要的病原体之一。但鼻病毒在下呼吸道疾病中的作用并不为临床所熟知。近年来,已有研究证实,在慢性阻塞性肺疾病、支气管哮喘等疾病患者中,鼻病毒可导致疾病急性进展;而关于鼻病毒直接引起下呼吸道感染的研究相对较少,研究的人群主要为免疫抑制患者、儿童、院内感染患者,而关于社区获得性感染患者的相关研究尚未见系统报道,仅有个案报道。
对于本病例,我们还应当思考以下问题:
1.鼻病毒与肺炎链球菌有何关系?
既往大量研究已经发现,病毒性肺炎(如流感病毒肺炎、SARS等)合并细菌感染的情况很常见,而混合感染可能与感染病毒种类有一定关系。国外一些研究已经证实,鼻病毒感染后,肺炎链球菌更易与肺泡上皮细胞结合,从而增加感染机会。而本例患者发病初期,白细胞计数先是降低,而后才升高,可能与其病毒感染后又出现细菌感染有关。
2.本例患者为何会患鼻病毒肺炎?
本例患者为青年男性,既往并无免疫缺陷病史,并非鼻病毒肺炎好发人群。但患者有慢性活动性乙型肝炎,而慢性肝病会影响免疫系统,导致免疫受损,进而增加其感染机会。慢性肝病患者罹患鼻病毒肺炎的案例国外已有报道。因此,慢性肝炎应当被视为免疫受损状态,在此基础上发生鼻病毒肺炎的机会增加。
精要回顾与启示
鼻病毒肺炎并不被临床所熟知。鼻病毒常被认为是导致上呼吸道感染的主要病原体,其引起下呼吸道感染并不常见。而随着临床病原学检测技术的进步,发现鼻病毒导致的肺炎并不少见,而且鼻病毒也不仅仅感染儿童及免疫抑制人群,鼻病毒肺炎在社区获得性感染中也占一定地位。
鼻病毒肺炎可进展为重症肺炎,具有较高的病死率,并且容易合并细菌感染,导致临床诊断困难。对于鼻病毒感染诊断,目前主要依靠病原学,从临床症状、体征、实验室检查、影像学未必能发现其特征性改变。因此,积极对不典型肺炎患者进行病毒病原学检测是十分有必要的。
参考文献
[1] LIEBERMAN D, SHIMONI A, SHEMER-AVNI Y, et al. Respiratory viruses in adults with community-acquired pneumonia[J]. Chest, 2010, 138(4): 811-816.
[2] JACOBS S E, LAMSON D M, ST GEORGE K, et al. Human rhinoviruses[J]. Clinical Microbiology Reviews, 2013, 26(1): 135-162.
知识来源
人卫知识数字服务体系
- 评价此内容
- 我要打分
近期推荐
热门关键词
最新会议
- 2013循证医学和实效研究方法学研讨会
- 欧洲心脏病学会年会
- 世界帕金森病和相关疾病2013年会议
- 英国介入放射学学会2013年第25届年会
- 美国血液学会2013年年会
- 美国癫痫学会2013年第67届年会
- 肥胖学会 2013年年会
- 2013年第9届欧洲抗体会议
- 国际精神病学协会 2013年会议
- 妇科肿瘤2013年第18届大会
- 国际创伤压力研究学会2013年第29届…
- 2013年第4届亚太地区骨质疏松症会议
- 皮肤病协会国际2013年会议
- 世界糖尿病2013年大会
- 2013年国际成瘾性药年会
- 彭晓霞---诊断试验的Meta分析
- 武姗姗---累积Meta分析和TSA分析
- 孙凤---Network Meta分析
- 杨智荣---Cochrane综述实战经验分享
- 杨祖耀---疾病频率资料的Meta分析
合作伙伴
Copyright g-medon.com All Rights Reserved 环球医学资讯 未经授权请勿转载!
网络实名:环球医学:京ICP备08004413号-2
关于我们|
我们的服务|版权及责任声明|联系我们
互联网药品信息服务资格证书(京)-经营性-2017-0027
互联网医疗保健信息服务复核同意书 京卫计网审[2015]第0344号




会员登录

