一例表现为咳嗽、咯血伴肺部肿块影的肺毛霉菌感染疑难病例解析
48岁男性,2周前出现阵发性咳嗽,伴少量黄白黏痰,偶带血丝,后痰中带血逐渐增多,查胸部CT示肺部块影,予静脉抗感染治疗3天后,症状无明显改善。如何诊治?
一、入院疑诊
(一)病例信息
【病史】
男性患者,48岁,2周前出现阵发性咳嗽,伴少量黄白黏痰,偶带血丝,无畏寒、发热,无午后低热,无夜间盗汗,无头晕、头痛等其他不适。起初,患者未予重视,后痰中带血逐渐增多,10天前当地医院查胸部CT示肺部块影(无CT片),予静脉抗感染治疗3天(具体用药不详)后,症状无明显改善。2天前,患者来我院急诊就诊,胸部CT提示右肺上叶小结节,右下肺大片高密度病灶,不排除阻塞性肺炎,予头孢哌酮舒巴坦抗感染及氨甲苯酸、酚磺乙胺治疗后,患者咯血量仍增多。患者自发病以来,睡眠、饮食尚可,大小便无特殊,体重无明显变化。
患者既往有糖尿病病史5年,长期口服降糖药,平素较少监测血糖,2周前当地医院测空腹血糖21mmol/L左右;否认牛羊、家禽、鸟类等接触史;职业为农民;吸烟(20支/天,25年),未戒;无饮酒习惯。父亲死于胆管癌,母亲死于食管癌,兄弟姐妹身体健康。
【体格检查】
体温36.9℃,心率75次/min,呼吸20次/min,血压88/55mmHg。神志清,精神可,全身浅表淋巴结未触及明显肿大,口唇无发绀。双肺呼吸音粗,右下肺呼吸音偏低,未闻及干、湿啰音。心律齐,未闻明显病理性杂音。腹部未见明显异常,双下肢无水肿,神经系统检查阴性。
【实验室检查】
血常规:WBC 9.2×109/L,N% 75.7%,Hb 117g/L,PLT 297×109/L。
肿瘤标志物:癌胚抗原(CEA)5.0ng/ml,铁蛋白562.3ng/ml。
血酮体(+)。
【影像学检查】
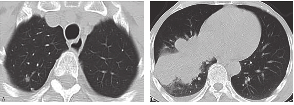
胸部CT:右肺下叶病变伴远端肺阻塞性改变,右肺门及纵隔淋巴结肿大,右肺上叶结节,右侧胸腔积液(图1)。

图1 入院前2天胸部CT表现
胸部CT可见右肺上叶结节,右下肺实变伴胸腔积液
(二)临床思辨
【临床特点】
1.患者为中年男性,病程2周,有糖尿病病史。
2.主要症状和体征为咳嗽、咳痰、咯血,右下肺呼吸音低。
3.实验室检查示外周血中性粒细胞比例偏高,血酮体(+)。
4.影像学检查示右肺下叶病变,伴阻塞性肺炎,右肺门及纵隔淋巴结肿大,右肺上叶结节,右侧胸腔积液。
5.先后给予抗感染及止血治疗,患者咳嗽、咳痰无明显好转,且咯血量明显增多,治疗无效。
【思辨要点】
本病例影像学表现为右下肺肿块伴阻塞性肺炎征象,提示肺癌。此时需要思考以下问题:
1.有哪些要素支持肺癌诊断?
肺癌是发生于支气管-肺系统的恶性肿瘤,目前病因和发病机制尚未明确,但可以确定与吸烟相关。与不吸烟者比较,吸烟者发生肺癌的危险性平均增加4~10倍,重度吸烟者可达25倍。临床上一般用吸烟指数(SI=每天吸烟支数×吸烟年数)表示吸烟量,吸烟指数≤200为轻度吸烟,200~400为中度吸烟,≥400为重度吸烟。本例患者已达到重度吸烟的标准,为肺癌高危人群。
临床上,对于有高危因素的人群,若出现以下任一可疑征象,须考虑肺癌的可能,并加以鉴别: ①无明显诱因刺激性咳嗽,持续2~3周,治疗无效;②原有慢性呼吸道疾病,咳嗽性质改变;③短期内持续或反复痰中带血或咯血,无其他原因可解释;④反复发作的同一部位肺炎,特别是肺段性肺炎;⑤原因不明性肺脓肿,无中毒症状,无大量脓痰,无异物吸入史,抗感染治疗效果不显著;⑥原因不明性四肢关节疼痛及杵状指(趾);⑦孤立性圆形病灶和单侧性肺门阴影增大;⑧原有肺结核病灶已稳定,而形态或性质发生改变;⑨无中毒症状的胸腔积液,尤其是血性、进行性增加者。
因此,结合危险因素、咯血症状及抗生素治疗无明显疗效、CT提示右肺病变伴阻塞性肺炎等特点,本病例有许多环节与肺癌相似,应继续完善相关检查以明确诊断。
2.对于本病例,除了肺癌,还应考虑其他什么疾病?
(1)结核病
糖尿病患者为肺结核的高发人群,比普通人群肺结核的患病率高4~8倍。糖尿病引起的高血糖、酮症酸中毒等因素可促进结核分枝杆菌生长繁殖,降低细胞吞噬功能,因此,糖尿病合并肺结核病情往往比单纯肺结核要重,并且在影像学上常有一些特征性表现:①发病部位不固定;②病灶分布范围广,进展快,形态多样,主要有大片融合影、斑片影、空洞、树芽状支气管播散灶、结节、肿块及纤维条索影等形态,并且同一病例可同时出现多种形态的病变。
本例患者有阻塞性肺炎的表现,因此也不能忽略支气管结核的可能。支气管结核是以结核分枝杆菌侵犯支气管黏膜表面,引起支气管黏膜充血水肿、溃烂、肉芽组织增生及纤维瘢痕形成等病理类型,影像表现为受累支气管壁增厚、支气管管腔狭窄闭塞、支气管壁钙化、受累肺叶及肺段不张,相邻肺叶肺段或对侧肺内可见支气管播散病灶,增强扫描病灶不均匀强化,常无肺门纵隔淋巴结肿大。
因此,对于本例患者,须进一步完善结核分枝杆菌感染相关检查、痰找抗酸杆菌、经支气管肺活检等。
(2)肺炎
本例患者接受了规范抗菌药物治疗,未见明显疗效,且病程中始终未出现发热等感染中毒症状,因此目前不将感染作为首先考虑因素,但尚不能完全排除特殊感染类型,须进一步完善相关检查寻找线索。
3.对疑似肺癌的患者,需要做哪些检查以明确诊断?
临床上,对疑似肺癌的患者可行以下检查:
(1)痰找脱落细胞
痰检阳性率为60%~80%(痰液标本质量的好坏直接影响细胞学诊断的准确性)。对痰检结果为阴性者,若症状较典型,高度怀疑肺癌,则宜反复多次做痰液细胞学检查。对不能排除感染的患者,应同时送检痰细菌培养、痰真菌培养。
(2)支气管镜
通过支气管镜可以进行毛刷、活检、支气管肺泡灌洗,甚至超声支气管镜引导下经支气管针吸活检(EBUS-TBNA)获得细胞病理学依据;还可通过毛刷、肺泡灌洗液化验,进行病原学检查。
(3)经皮肺穿刺
CT引导经皮肺穿刺活检适用范围广,临床应用最多,对肺部结节病变、空洞病变、双肺弥漫性病变及纵隔肺门占位性病变,能取得较满意结果。
本例患者胸部CT提示右肺阻塞性肺炎,所以可行支气管镜进一步明确诊断。此外,通过支气管肺泡灌洗液的检查还可明确或排除感染性病变。
二、诊治过程
(一)临床信息
【实验室检查】
1.一般检查
多次检查血常规,WBC(4.8~7.4)×109/L,N% 50.6%~70.4%,Hb和PLT均正常。
2.免疫相关检查
自身抗体(包括抗核抗体、抗dsDNA、Sm抗体、抗线粒体抗体等)阴性。
3.感染相关检查
C反应蛋白(CRP)78.60mg,PLT 0.07ng/ml;T-SPOT阴性。
4.胸腔积液检查
黄色,混浊;李凡他试验阳性,红细胞1000/μl,有核细胞3700/μl,中性粒细胞百分比60%,淋巴细胞百分比20%,间皮细胞百分比20%,蛋白32.92g/L,乳酸脱氢酶160U/L,腺苷酸脱氨酶9U/L;涂片找到大量中性粒细胞和组织细胞,未见肿瘤细胞。
【影像学检查】
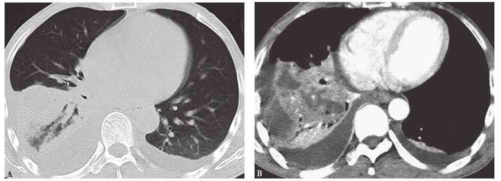
胸部增强CT:右肺下叶实变伴远端肺阻塞性改变,右肺上叶结节,右肺门及纵隔淋巴结肿大,右侧胸腔积液。对比病程初期,右下叶实变伴肺膨胀不全,胸腔积液较前增多(图2)。

图2 入院后第5天胸部CT表现
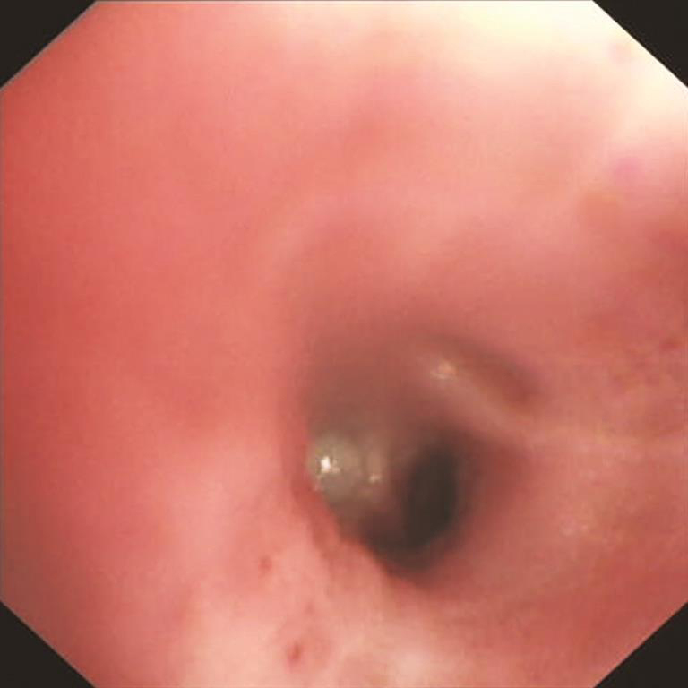
【支气管镜检查】
镜下见右下前基底支一亚支开口狭窄,可见分泌物溢出;径向EBUS探查见占位性病变(图3)。

图3 支气管镜检查镜下所见
【全身骨显像】
同位素全身骨扫描示左9前肋骨质代谢局灶性活跃(建议定期复查)。
(二)临床思辨
患者入院后所做系列检查显示:①患者结核感染T细胞检测阴性,胸腔积液中腺苷酸脱氨酶数值不高,基本排除肺结核;②胸腔积液为渗出液,以中性为主,涂片可见中性粒细胞,未见肿瘤细胞,不能排除感染;③胸部CT提示病变较1周前进展;④支气管镜检查提示狭窄及占位性病变,同位素全身骨扫描提示代谢活跃,支持肺癌的诊断,等待活检病理。
此时需要思考:本病例若为感染所致,病原菌可能是什么?
头孢哌酮舒巴坦为广谱抗菌药,对于革兰阴性细菌均有良好覆盖,特别是对铜绿假单胞菌、产酶菌株、不动杆菌、厌氧菌有很好的疗效。患者曾用之抗感染,但无明显疗效,可能原因如下:①疗程不足;②存在头孢哌酮舒巴坦未覆盖病原,如病毒、真菌和非典型病原体。
病毒是成人社区获得性肺炎的一种常见病原,可发生在免疫功能正常或抑制的人群。引起成人肺炎的常见病毒为流感病毒、副流感病毒、腺病毒、呼吸道合胞病毒和冠状病毒。免疫抑制人群为疱疹病毒和麻疹病毒的易感者;接受器官和骨髓移植者易患巨细胞病毒和疱疹病毒肺炎。病毒性肺炎患者外周血白细胞计数正常或偏低,胸部影像可见肺纹理增多,小片状浸润或广泛浸润,但大叶实变及胸腔积液不多见。此外,病毒性肺炎的病程要么在短期内迅速加重,发展为重症肺炎甚至急性呼吸窘迫综合征(ARDS),要么呈自限性,很少呈亚急性过程或迁延状态。因此,本例患者肺部病变为病毒感染可能性很小。
肺真菌病绝大多数发生在其他疾病的基础上,尤其是慢性消耗性疾病(如糖尿病)、免疫缺陷性疾病(如白血病)以及肿瘤放化疗后。真菌感染的病理改变主要为炎性浸润和肉芽肿性改变,与结核分枝杆菌等病原感染无特异性区别。一些真菌感染所致结节和肿块影与肺部恶性肿瘤也较难鉴别。本例患者有糖尿病病史,且平素血糖控制差,胸部CT表现无特异性,且抗生素治疗无明显效果,目前尚不能排除真菌感染。
非典型病原体(包括支原体、衣原体)引起的肺炎,一般起病比较隐匿,可表现为发热、肌痛、干咳、乏力等,还会有咽喉炎、中耳炎等肺外症状,但很少有咯血。单从症状来看,本病例为非典型病原体感染可能性不大。
综合以上分析,本病例的诊断首先考虑肺癌,但不能完全排除感染,应等待痰培养、痰找脱落细胞、胸腔积液培养及经支气管肺活检结果明确诊断。
三、临床确诊
(一)临床信息
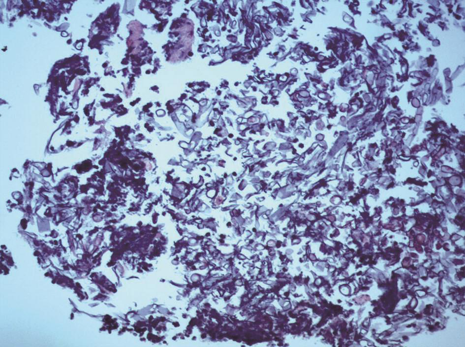
支气管镜检查:右下前基底支气管(EBUS-GS-TBLB)穿刺活检组织内见真菌菌丝及孢子,形态较符合毛霉菌伴黏膜慢性炎(图4)。
痰、支气管毛刷、支气管肺泡灌洗液培养结果提示毛霉菌感染。
最后诊断:肺毛霉菌病。
诊断明确后,经口服泊沙康唑治疗,患者咯血等症状逐渐好转,3个月后于当地医院复查胸部CT示基本恢复正常。

图4 肺活检组织病理学表现
活检组织中见毛霉菌菌丝宽大、无分隔,呈直角分支(HE染色,400×)
(二)临床思辨
借助有创检查手段,患者肺内病变最终确诊为肺毛霉菌病,这也就解释了为何抗细菌治疗无效。毛霉菌是一种机会致病菌,正常情况下存在于人的鼻咽部,很少引起感染,当机体免疫功能低下时则可致病。毛霉菌感染的危险因素包括血液系统恶性疾病、药物引起的免疫抑制(抗肿瘤治疗、抗排斥治疗、激素治疗)、糖尿病、实体器官移植(包括骨髓移植及造血干细胞移植)等。肺毛霉菌病最常见的基础疾病为血液系统恶性肿瘤和糖尿病。
肺毛霉菌病一般急性或亚急性起病,临床表现没有特异性,可表现为发热、咳嗽、咳痰、咯血、胸痛和呼吸困难等。其胸部影像学表现可有渗出、实变、结节、空洞、晕征及纵隔淋巴结肿大等,亦缺乏特异性。此外,还可出现肺不张、胸腔积液、肺梗死等。肺毛霉菌病的确诊主要依赖肺组织活检。
精要回顾与启示
尽管毛霉菌被认为是一种机会致病菌,肺毛霉菌病常见于免疫功能低下和具有多种易感因素(如糖尿病等)的患者,但有个别病例也会发生于免疫功能正常人群。其临床特征无特异性,无论是血清真菌抗原检测还是常规培养很难获得或证实病原,常需要病理组织活检发现颇具特异性的无隔膜近直角真菌菌丝,导致诊断周期长,治疗难度大。同时,对于该病治疗药物的毒副作用,临床医师也应足够重视。
知识来源
人卫知识数字服务体系
- 评价此内容
- 我要打分
近期推荐
热门关键词
最新会议
- 2013循证医学和实效研究方法学研讨会
- 欧洲心脏病学会年会
- 世界帕金森病和相关疾病2013年会议
- 英国介入放射学学会2013年第25届年会
- 美国血液学会2013年年会
- 美国癫痫学会2013年第67届年会
- 肥胖学会 2013年年会
- 2013年第9届欧洲抗体会议
- 国际精神病学协会 2013年会议
- 妇科肿瘤2013年第18届大会
- 国际创伤压力研究学会2013年第29届…
- 2013年第4届亚太地区骨质疏松症会议
- 皮肤病协会国际2013年会议
- 世界糖尿病2013年大会
- 2013年国际成瘾性药年会
- 彭晓霞---诊断试验的Meta分析
- 武姗姗---累积Meta分析和TSA分析
- 孙凤---Network Meta分析
- 杨智荣---Cochrane综述实战经验分享
- 杨祖耀---疾病频率资料的Meta分析
合作伙伴
Copyright g-medon.com All Rights Reserved 环球医学资讯 未经授权请勿转载!
网络实名:环球医学:京ICP备08004413号-2
关于我们|
我们的服务|版权及责任声明|联系我们
互联网药品信息服务资格证书(京)-经营性-2017-0027
互联网医疗保健信息服务复核同意书 京卫计网审[2015]第0344号




会员登录

