一例表现为咳嗽、发热、肺部多发实变影的隐源性机化性肺炎诊治经验分享
44岁男性,病程3个月余,主要症状和体征为发热,咳嗽,咳黄痰,偶发左侧胸部牵拉性疼痛,双下肺呼吸音稍减低。先后使用多种抗感染治疗,均无效,患者仍有发热,而且病情有加重趋势。如何诊治?
一、入院疑诊
(一)病例信息
【病史】
男性患者,44岁,3个月前(2012年10月1日)无明显诱因出现反复咳嗽,无痰,于当地诊所行抗感染治疗(具体不详),病情无好转。1个月后,患者因偶发左侧胸痛(为牵拉性疼痛,可耐受,与咳嗽无关系),以“肺部感染,胸腔积液查因”于当地医院住院治疗。患者住院期间,先后以头孢哌酮钠舒巴坦钠联合阿奇霉素治疗6天,莫西沙星治疗6天,白细胞升高无改善,改为哌拉西林钠他唑巴坦钠联合阿米卡星治疗,仍出现发热(午后和夜晚发热,温度波动在37.3~38.5℃)伴盗汗。经抗感染对症治疗18天,患者上述症状无缓解,要求出院,并于出院后改服中药,服药后开始咳痰(淡黄色黏液痰),服药第4天体温升至38.9℃,遂于第6天停药。发病3个月时(2012年12月31日)到我院就诊,以“发热并双下肺病变查因:感染?结核?”入院治疗。患者发病以来精神欠佳,食欲可,二便正常,体重无明显减轻。
患者有胃炎病史20余年,有左手拇指肌腱缝合手术史;无血吸虫疫水接触史;为装修工人,无吸烟、饮酒史。
【体格检查】
体温36.0℃,心率124次/min,呼吸20次/min,血压115/75mmHg。慢性病容,体形消瘦,全身浅表淋巴结无肿大。胸廓形态正常,双侧语颤对称,双肺叩诊呈清音,双下肺呼吸音稍减低,双肺听诊无啰音。心律整齐,未闻病理性杂音;腹部未见明显异常;双下肢无水肿;无杵状指(趾)。
【实验室检查】
1.外周血
WBC 12.2×109/L,N 9.8×109/L,单核细胞 1.0×109/L。
2.肝功能
ALB 30.0g/L,ALT 42.7U/L,ALP 253.5U/L,GGT 286.5U/L。
3.免疫风湿全套
补体C4 478mg/L,IgA 4320mg/L,CPR 211mg/L,类风湿因子 120IU/ml。
4.其他
降钙素原全定量0.3ng/ml;血沉51.00mm/1h;G试验80.39pg/ml;GM试验23.07pg/ml。
【影像学检查】
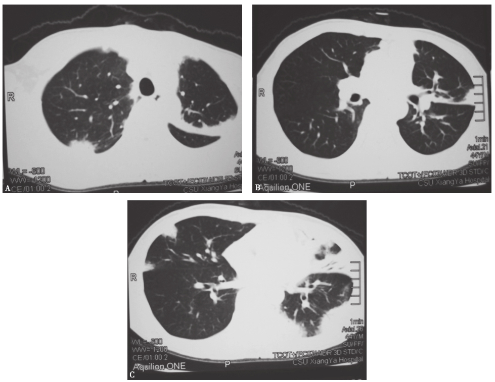
2013年1月4日查胸部CT,见双肺多发实变影,其间可见支气管充气征,伴左侧少量胸腔积液(图1)。

图1胸部CT表现(2013-01-04)
(二)临床思辨
【临床特点】
1.患者为中年男性,病程3个月余。
2.主要症状和体征为发热,咳嗽,咳黄痰,偶发左侧胸部牵拉性疼痛,双下肺呼吸音稍减低。
3.实验室检查提示外周血白细胞水平略高,血沉快,降钙素原和C反应蛋白稍高,肝功能异常,补体和类风湿因子稍高。
4.影像学检查见双肺病变、左侧少量胸腔积液(原因待查)。
5.发病3个月过程中,患者先后使用多种抗感染治疗(头孢哌酮钠舒巴坦钠、阿奇霉素、莫西沙星、哌拉西林钠他唑巴坦钠、阿米卡星等),均无效,患者仍有发热,而且病情有加重趋势。
【思辨要点】
肺部疾病的常见症状和体征包括咳嗽、咳痰、胸痛、呼吸困难、肺内湿啰音或哮鸣音,但这些表现并无病因特异性,许多原因均可表现为同样的症状和体征。对疑似感染性肺疾病者,在确立诊断的过程中首先需要思考以下问题:
1.本病例是不是感染性肺部疾病?
对于本病例,探究病因究竟是否为感染因素,首先要排除风湿免疫病和肿瘤等非感染性疾病。风湿免疫病的临床表现除了发热外,往往伴有肾、关节、皮肤、肌肉和血液等多系统损伤,单一累及肺组织者少见,且风湿免疫病的积液常为多浆膜腔积液,单侧积液少见。故本例患者发生风湿免疫病性肺损伤的可能性不大,但仍需进一步检查相应临床指标以排除之。另外,可能出现发热伴肺部病变的非感染性肺疾病还有肿瘤性肺疾病,如中心性肺癌导致阻塞性肺炎伴肺内转移等。中心性肺癌多为鳞癌,患者多为长期吸烟的男性,肺内转移瘤影像学表现多为边缘清楚的多个结节,两侧肺多发性病灶,大小不一,密度均匀,临床确诊较容易,经支气管镜检查和经皮肺穿刺活检大多可明确。本例患者胸部CT可见左下肺支气管内阻塞迹象,但仍有含气支气管征、肺内多发病灶,但主要分布在胸膜下,内侧带少见,与转移瘤不符,但仍需支气管镜检查或经皮肺穿刺检查予以排除。
2.本病例可能是哪种感染类型?病原体可能为哪种?
从现有临床资料判断,本病例诊断倾向于感染。根据感染病原体不同,可将感染分为普通感染和特殊感染。前者感染原包括常见的细菌、病毒和真菌,后者感染原主要包括结核分枝杆菌、非结核分枝杆菌和诺卡菌等。本例患者曾使用β-内酰胺类、氨基糖苷类和大环内酯类等抗感染药物,未覆盖的普通病原包括病毒、真菌和个别细菌(如结核分枝杆菌)。
病毒性肺炎可以从初始的单叶段病灶很快发展为多叶段受累;外周血白细胞多表现为正常或降低;病程要么短期内迅速加重,发展为重症肺炎、急性呼吸窘迫综合征(ARDS),要么呈自限性,逐渐好转,很少呈迁延状态或亚急性过程。这与本例患者的情况不符。
真菌感染常继发于免疫功能低下和粒细胞缺乏状态,本例患者免疫功能和粒细胞正常,但部分免疫功能正常者也可能发生真菌感染,且真菌感染胸部CT可表现为多发性、多态性、多变性等特点,因此本病例目前尚不能排除真菌感染的可能。
肺结核患者常有不同程度发热,因此,临床上对于不明原因发热者,常须鉴别是否为肺结核。另外,肺结核患者胸部CT常表现为多灶性、多态性、多钙化性等特征。干酪性肺炎可表现为多叶段受累而无钙化。因此,对于本病例,目前尚不能排除肺结核的可能。
由此可见,本例患者发生普通细菌和病毒感染的概率较小,但仍不能排除真菌和结核分枝杆菌感染的可能,必要时,可以考虑征求患者及家属同意行经皮肺穿刺活检取得病理结果。
二、诊治过程
(一)临床信息
【实验室检查】
1.一般检查
(1)血常规(多次查):外周血WBC(12.2~15.8)×109/L,N(9.8~13.3)×109/L,单核细胞(1.0~1.3)×109/L,血象呈增高趋势。
(2)血沉51mm/1h。
(3)肝功能:①入院时,ALB 30.0g/L,ALT 42.7U/L,ALP 253.5U/L,GGT 286.5U/L ;②护肝治疗后,白蛋白 27.7g/L,ALT 84.7U/L,AST 45.1U/L,ALP 650.3U/L,GGT 814.6U/L。
2.免疫相关检查
补体C4 478mg/L,IgA 4320mg/L,CPR 211mg/L,类风湿因子120IU/ml,其余未见明显异常。
3.感染相关检查
降钙素原(PCT)0.3ng/ml;C反应蛋白(CRP)211mg/L;结核菌素纯蛋白衍化物(PPD)试验阴性;T淋巴细胞刺激γ-干扰素释放试验(T-SPOT)阴性;血清病原(包括梅毒螺旋体、结核分枝杆菌、肺炎支原体、肺炎衣原体、军团杆菌、包虫等)抗体均阴性;真菌检测:G试验80.39pg/ml,GM试验23.07pg/ml;痰病原检测3次,2次阴性,1次肺炎克雷伯菌阳性;大便抗酸染色和寄生虫检查均阴性;痰真菌培养2次均阴性,痰涂片检查4次均阴性;结核抗体检查阴性;支气管分泌物细菌培养阴性,抗酸杆菌培养阴性,真菌培养阴性;血培养2次均阴性。
【支气管镜检查】
未见气道占位性病变和出血点,呈气道慢性炎症改变。
【影像学检查】
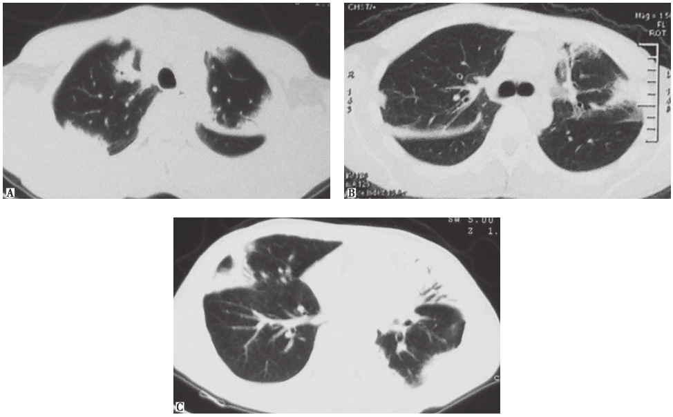
患者入院进行抗感染治疗(阿莫西林克拉维酸、亚胺培南西司他丁)10天后,复查胸部CT(2013年1月14日),提示双肺原有实变病灶较前(2013年1月4日)略有进展(图2)。

图2入院治疗10天后复查胸部CT表现
(二)临床思辨
患者入院后所做系列检查显示:①血沉较院前明显增快,提示原有病变仍在加重;②自身抗体均阴性,结合临床表现,基本可排除风湿免疫病;③支气管镜检查提示支气管炎症;④胸部CT提示使用多种抗生素后病变较前进展;⑤常规病原学检查结果均为阴性。根据这些情况,可以排除一般病原菌感染的可能,但不能排除结核分枝杆菌及真菌感染可能。
此时需要思考:如果怀疑本病例为结核分枝杆菌或真菌感染,此时是否应给予相应治疗?是否有必要取得病理检查结果?
在经验治疗方面,本病例未曾使用针对甲氧西林耐药金黄色葡萄球菌(MRSA)作用的糖肽类(万古霉素、替考拉宁)以及𫫇唑烷酮类抗菌药物(利奈唑胺),也可以考虑给予相应治疗。同时,鉴于患者在入院前病程已有3个月余,期间比较规范地应用了抗感染药物,未见任何疗效,病情有加重趋势,且入院后的系列检查结果不能排除结核分枝杆菌和真菌感染,因此,有必要尽快经皮肺穿刺活检获得病理诊断,实现目标治疗。
三、临床确诊
(一)临床信息
经患者本人和家属同意,对患者成功实施经皮肺穿刺活检。
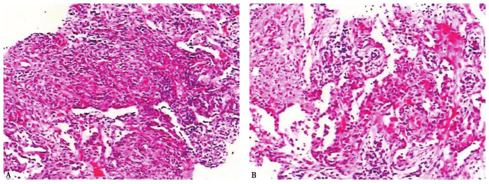
2013年1月9日病理检查结果显示,活检肺组织中见肺间质炎,淋巴细胞、浆细胞浸润,小气道和肺泡腔内局灶性息肉样纤维增生,局部淋巴滤泡形成,未见结核病变(图3)。

图3肺组织病理表现(HE染色,200×)
临床管理措施:①停止使用抗生素,改用激素治疗。激素治疗方案:醋酸泼尼松40mg(每天1次),坚持服用1个月后复查胸部CT,酌情减量。同时注意预防激素治疗不良反应。②完善相关检查:CRP、G/GM试验、血沉,若结果仍有进展,考虑使用激素加抗真菌药物治疗。③继续予以化痰、平喘、护肝等对症支持治疗。
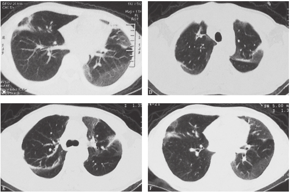
随访结果:醋酸泼尼松40mg(每天1次)并予护胃、补钙等治疗3天后,患者干咳症状明显好转,未诉其他不适。继续口服激素治疗2个月后复查胸部CT,显示病变明显好转(图4)。
综上所述,患者无明显诱因出现咳嗽、发热,抗生素治疗效果不佳,相关检查不支持结核分枝杆菌感染,肺穿刺活检提示机化性肺炎,可见肺组织中淋巴细胞、浆细胞浸润,局灶性纤维增生,局部淋巴滤泡形成,未见中性粒细胞等急性炎症浸润征象。其他相关辅助检查也排除了继发性机化性肺炎因素。根据现有临床、胸部影像学和病理学表现,予糖皮质激素治疗,治疗后症状改善,病灶有所吸收,支持隐源性机化性肺炎诊断。
最后诊断:隐源性机化性肺炎。


图4激素治疗后胸部影像学变化
A~C.2013年1月30日(泼尼松40mg治疗2周后)胸部CT显示肺部病变较前明显好转;D~F.2013年2月20日(泼尼松治疗6周后)胸部CT提示肺部病变较前进一步好转
(二)临床思辨
隐源性机化性肺炎(cryptogenic organizing pneumonia,COP)是2002美国胸科协会及欧洲呼吸学会建议将闭塞性细支气管炎伴机化性肺炎(BOOP)更名为COP,因COP的病理表现为呼吸性细支气管及以下小气道和肺泡腔内有息肉状纤维组织增生。COP平均发病年龄为50~60岁,与吸烟无关,无明显性别差异;多数患者呈亚急性起病,病程在2个月内;最常见的症状是气促,其次是干咳和发热;体格检查常可闻及Velcro啰音;预后良好,糖皮质激素治疗效果好,但停用激素后容易复发。COP的影像学表现多种多样,以肺实变和磨玻璃样变最为常见。磨玻璃样变分布特征不具有特异性,而肺实变多具有沿支气管血管束或胸膜下分布的特点。肺结节常与其他影像学表现共同存在。线样或网格样改变并不常见。这些CT表现多种混合存在为COP特点。
临床上,对于影像学表现为两肺弥漫分布病灶,具有多发性、多态性、多变性等特点;肺组织病理活检为COP,并排除其他感染性、非感染性肉芽肿疾病、风湿免疫病、过敏性肺炎和肿瘤等,偏光显微镜检查排除职业性尘肺;结合临床和其他辅助检查排除可能导致继发COP的原因的病例,可诊断为COP。诊断COP与其他特发性间质性肺炎一样,需要临床、影像、病理三者综合分析。
精要回顾与启示
COP在临床上较少见,临床表现以刺激性干咳最常见,可有活动后气促和呼吸困难,缺乏特异性,很少病情快速进展至终末期而出现呼吸衰竭,咳痰、咯血、胸痛等症状少见,偶尔可出现气胸、纵隔气肿和少量胸膜腔积液。体格检查可闻及吸气末爆裂音(多出现在双侧肺中下部),偶有哮鸣音。全身症状和体征包括发热、盗汗、乏力、体重减轻等,常无杵状指。其影像学表现多样,可呈游走性多发斑片状实变影,病变多沿支气管血管束走行分布,可见反晕征;有些病灶也可表现为单发结节样或团块影;也可以肺间质性改变为最初表现,呈胸膜下网状影,后期可出现蜂窝肺,易与非特异性间质性肺炎(nonspecific interstitial pneumonia,NSIP)和普通型间质性肺炎(usual interstitial pneumonia,UIP)混淆,主要依靠病理活检帮助鉴别。
有学者总结COP的影像表现具有“五多一少”特征:①多态性:可呈斑片状、团块状、条索状、地图状、结节状、粟粒状、网织状、蜂窝状等各种形态,以前4种多见,同一患者可同时出现两种以上的形态改变,且有一定沿小气道分布的特点,如斑片状影中央可见小气道影(可能与息肉样增生疏松纤维组织阻塞气道,引起周围肺组织炎症、不张或感染有关);②多发性:多为两肺多发性病灶;③多变性:病灶有明显游走性,此起彼伏,抗感染治疗基本不影响病灶变化;④多复发性;⑤双肺均可受累,其中主要在双肺中下肺分布;⑥蜂窝肺少见,仅少数晚期重症COP出现蜂窝肺。有文献认为,COP的特征性CT表现为反晕征,即磨玻璃样变周围包绕环形或新月形实变,但也有文献报道真菌感染、肉芽肿血管炎和结节病等也可有反晕征表现。
参考文献
1.CAGNINA R E, CONCES M R, STOLER M H, et al. Reversed halo sign: a case of cryptogenic organizing pneumonia with spontaneous resolution[J]. Am J Respir Crit Care Med, 2015, 192(1): 109-110.
2.TZELEPIS E, KAMPOLIS C F, VLACHADAMI I, et al. Cryptogenic organizing pneumonia in Sweet's syndrome: case report and review of the literature[J]. Respir J, 2014. DOI: 10.1111/crj.12206.
3.LEBOWITZ D, LEBOWITZ D, LEBOWITZ D, et al. Cryptogenic organizing pneumonia[J]. Rev Med Suisse, 2013, 9(407): 2164-2169.
知识来源
人卫知识数字服务体系
- 评价此内容
- 我要打分
近期推荐
热门关键词
最新会议
- 2013循证医学和实效研究方法学研讨会
- 欧洲心脏病学会年会
- 世界帕金森病和相关疾病2013年会议
- 英国介入放射学学会2013年第25届年会
- 美国血液学会2013年年会
- 美国癫痫学会2013年第67届年会
- 肥胖学会 2013年年会
- 2013年第9届欧洲抗体会议
- 国际精神病学协会 2013年会议
- 妇科肿瘤2013年第18届大会
- 国际创伤压力研究学会2013年第29届…
- 2013年第4届亚太地区骨质疏松症会议
- 皮肤病协会国际2013年会议
- 世界糖尿病2013年大会
- 2013年国际成瘾性药年会
- 彭晓霞---诊断试验的Meta分析
- 武姗姗---累积Meta分析和TSA分析
- 孙凤---Network Meta分析
- 杨智荣---Cochrane综述实战经验分享
- 杨祖耀---疾病频率资料的Meta分析
合作伙伴
Copyright g-medon.com All Rights Reserved 环球医学资讯 未经授权请勿转载!
网络实名:环球医学:京ICP备08004413号-2
关于我们|
我们的服务|版权及责任声明|联系我们
互联网药品信息服务资格证书(京)-经营性-2017-0027
互联网医疗保健信息服务复核同意书 京卫计网审[2015]第0344号




会员登录

