-
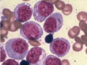
新诊断骨髓瘤:硼替佐米+来那度胺+地塞米松能带来更…
环球医学资讯
2017年03月15日
点击量:5179
1小时条评论2015年,FDA批准来那度胺联合地塞米松用于新诊断骨髓瘤患者。2017年2月,发表在《Lancet》的一项随机开放式标签3期试验显示硼替佐米联合来那度胺以及地塞米松可改善多发性骨髓瘤患者的无进展生存期并且具有可接受的获益风险比。 背景:来那度胺联合地塞米松是新诊断...
-
哪种晚期胃癌二线化疗药物最具成本效果?
环球医学资讯
2017年03月07日
点击量:696
1小时条评论2017年1月,发表在《Pharmacotherapy》的一项由美国科学家进行的研究分析了晚期胃癌二线化疗药物的成本效果。 目的:胃癌是第五大常见恶性肿瘤,是第二大癌症相关死因。一线治疗失败患者的化疗选择比较有限。因此,本研究的目的是评价晚期或转移胃癌患者二线治疗选...
-
阿司匹林vs结直肠癌预防筛查 谁更有效?
环球医学资讯
2017年02月28日
点击量:504
1小时条评论2017年1月,发表在《Aliment Pharmacol Ther》的一项系统回顾和Meta分析,比较了阿司匹林和结直肠癌预防筛查的有效性。 背景:阿司匹林和使用可屈性乙状结肠镜检查或愈创粪便潜血试验(FOBT)筛查可降低结直肠癌死亡率,但是这些干预措施的有效性比较未知。 目的:...
-
王翔教授:转移性乳腺癌的局部治疗
环球医学资讯
2017年02月27日
点击量:310
1小时条评论转移性乳腺癌(Ⅳ期乳腺癌)是一种可治疗而不可治愈的疾病。据SEER数据库统计,转移性乳腺癌占美国新诊断乳腺癌患者的5%[1]。文献报告[2],中国转移性乳腺癌占新诊断病例的2.4%,但是作者认为此数据被低估了。 关于转移性乳腺癌的治疗目的,多数研究认为,有效的全...
-
复发性前列腺癌:放疗是否应联合抗雄激素治疗?
环球医学资讯
2017年02月27日
点击量:212
1小时条评论挽救性放射治疗在接受根治性前列腺切除术的男性中通常是必要的,并且有证据表明,前列腺癌复发受到持续或反复升高的前列腺特异性抗原(PSA)水平的介导。抗雄激素治疗合并放疗是否会进一步改善癌症控制及延长总生存期是未知的。2017年2月,发表在《N Engl J Med》的...
-
t(8;21)突变AML患者:FA方案可大幅改善生存
环球医学资讯
2017年02月24日
点击量:322
1小时条评论t(8;21)染色体畸变的急性髓性白血病(AML)患者仅50~60%被含高剂阿糖胞苷(HD-Ara-C)的方案治愈。2017年1月,发表在《Am J Hematol》的一项研究显示,另外一种方案氟达拉滨和阿糖胞苷(FA)巩固疗法或可这些患者带来大幅生存获益改善。 t(8;21)染色体畸变的...
-
β-受体阻断剂或可为多发性骨髓瘤患者带来生存获益
环球医学资讯
2017年02月24日
点击量:228
1小时条评论beta;-受体阻断剂(BB)是心血管疾病的常用药,但有研究显示其可影响多种癌症的预后。2017年1月,发表在《Am J Hematol》的一项研究显示,BB与多发性骨髓瘤患者疾病特异性死亡和总死亡风险减少相关。 一项临床前研究证实,普萘洛尔对多发性骨髓瘤(MM)细胞具有抗恶...
-
转移性结直肠癌二线全身治疗是否安全有效?
环球医学资讯
2017年02月17日
点击量:252
1小时条评论对于转移性结直肠癌(CRC)患者,复发和转移仍然是临床医师面临的主要难题。2017年1月,发表在《Cochrane Database Syst Rev》的一项由意大利、西班牙和丹麦科学家进行的系统评价考察了转移性结直肠癌二线全身治疗的有效性和安全性。 背景:一线治疗后没有缓解的转...
-
复发和难治多发性骨髓瘤:卡非佐米vs糖皮质激素联合…
环球医学资讯
2017年02月17日
点击量:434
1小时条评论复发/难治性多发性骨髓瘤(RRMM)的治疗,始终是困扰血液科医生的一个难题。2017年1月,发表在《Leukemia》的一项研究对卡非佐米单药疗法同低剂量糖皮质激素联合可选的环磷酰胺进行了比较。结果显示,单药卡非佐米的中位OS同活性双药对照方案相同。 这项随机、III期...
-
太有用!慢性淋巴性白血病中枢神经系统病变的管理
环球医学资讯
2017年02月17日
点击量:325
1小时条评论中枢神经系统白血病是慢性淋巴细胞白血病的一种并发症,当前无论是对该并发症不良因素还是治疗管理均无统一指南出台。2017年1月,发表在《Br J Haematol》的一项30名患者的回顾性队列研究调查了慢性淋巴性白血病中枢神经系统病变的管理。 中枢神经系统病变(CNSi)...










会员登录

