-
接受精确IMRT的局限性前列腺癌患者使用健康补充剂疗…
环球医学资讯
2017年01月13日
点击量:429
1小时条评论2016年12月,发表在《Am J Clin Nutr》的一项在美国开展的研究考察了接受精确的调强放射治疗的局限性前列腺癌患者中,健康补充剂使用情况和结局。 背景:约有50%的新确诊癌症患者开始使用膳食补充剂。被研究者定义为特别面向男性健康和前列腺健康(或类似序列)的男...
-
非恶性血液疾病给保健系统带来的经济负担不亚于恶性…
环球医学资讯
2017年01月13日
点击量:231
1小时条评论非恶性血液疾病对经济的影响尚未很好的研究。2016年8月,发表在《Lancet Haematol》的一项研究显示,非恶性血液疾病给欧洲健康护理系统和社会带来经济负担,血液疾病成本在恶性和非恶性血液疾病间均匀分布。 背景:血液疾病包括许多不同的疾病,如贫血症、恶性血液...
-
已患结直肠癌 哪种药物预防晚期异时肿瘤发生最为安…
环球医学资讯
2017年01月11日
点击量:403
1小时条评论在先前患有结直肠肿瘤患者中,哪种药物预防晚期异时肿瘤最为安全有效?2016年12月,发表在《BMJ》的一项研究对8种方案(低、高剂量阿司匹林、非阿司匹林非甾体类抗炎药(NSAIDs)、钙、维生素D、叶酸,单独或联合使用)进行了比较。 目的:通过系统评价和网络荟萃分...
-
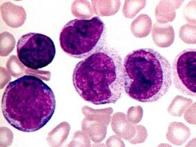
迷你MEC方案治疗复发或难治急性白血病是否安全有效?
环球医学资讯
2017年01月10日
点击量:1143
1小时条评论2016年11月,发表在《Leuk Lymphoma》的一项在日本开展的研究考察了米托蒽醌、依托泊甙和阿糖胞苷低剂量联合(迷你MEC)治疗复发或难治急性白血病的安全性和有效性。 米托蒽醌(MIT)、依托泊苷(ETP)和阿糖胞苷(Ara-C)(MEC)是急性白血病常用的挽救化疗方案,...
-
泊马度胺+低剂量地塞米松治疗MM合并中度肾损伤患者…
环球医学资讯
2017年01月09日
点击量:276
1小时条评论肾损伤是多发性骨髓瘤患者的一个主要并存病。复发或难治多发性骨髓瘤合并中度肾损伤患者使用泊马度胺联合低剂量地塞米松的安全性和有效性如何?2016年12月,发表在《Leuk Lymphoma》的一项对3项临床试验的合并研究对此进行分析。 肾损伤(RI)是多发性骨髓瘤(MM)...
-
多学科讨论:尼洛替尼用于慢粒慢性期的一线治疗安全…
环球医学资讯
2017年01月06日
点击量:772
1小时条评论尼洛替尼在我国已经获批为治疗慢性粒细胞白血病的一线药物。2016年1月,发表在《Leukemia》的一项研究支持一线使用尼洛替尼,尤其为了达到深度分子缓解的治疗目标时。请看本期多学科讨论组临床药师各抒己见为您梳理本文看点 研究者为了评估尼洛替尼一线治疗的有效性...
-
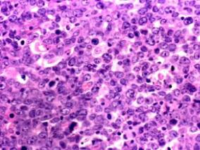
年轻高风险弥漫性大B细胞淋巴瘤患者:强化化疗或是…
环球医学资讯
2017年01月06日
点击量:456
1小时条评论年轻的弥漫性大B细胞淋巴瘤的化疗强度差异较大,尚未达成共识。2016年11月,发表在《Br J Haematol》上的一项在瑞典的淋巴瘤注册研究显示,在年轻高风险患者中,强化治疗方案的存活率似乎优于R-CHOP。 弥漫性大B细胞淋巴瘤(DLBCL)年轻患者化疗方案差异大,如利妥...
-
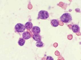
R-CHOP输注方案对原发性纵隔B细胞淋巴瘤疗效佳
环球医学资讯
2017年01月06日
点击量:269
1小时条评论原发性纵隔B细胞淋巴瘤(PMBL)患者的R-CHOP的循证依据多来自回顾性研究。2016年11月,发表在《Br J Haematol》上的一项前瞻性研究显示,PMBL患者接受R-CHOP后,在中位随访7.2年时,5年无进展存活率和总存活率高达79.8%和83.8%。 原发性纵隔B细胞淋巴瘤(PMBL)是弥...
-
恶性血液疾病背负的经济负担仅次于乳腺癌
环球医学资讯
2017年01月06日
点击量:293
1小时条评论恶性血液疾病是欧洲癌症发病率和死亡率的一个主要原因,但其对经济的影响尚未进行研究。2016年8月,发表在《Lancet Haematol》上的一项研究显示,2012年,31个欧洲国家的恶性血液疾病成本高达euro;120亿,是加重死亡、增加卫生保健服务使用负担和增加成本的一个主要...
-
化疗仍是肺癌患者个性化治疗的必要手段
环球医学资讯
2017年01月05日
点击量:361
1小时条评论化疗是化学药物治疗的简称,通过使用化学治疗药物杀灭癌细胞达到治疗目的。化疗是目前治疗癌症最有效的手段之一,和手术、放疗一起并称癌症的三大治疗手段。2016年10月,发表在《Ann Oncol》的一篇文章分析了化疗与精准医学在肺癌患者当前治疗中的作用,以及未来与靶...










会员登录

