-
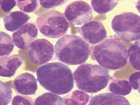
风湿病患者原始细胞比例增高 不一定是白血病!
环球医学资讯
2018年11月12日
点击量:593
1小时条评论42岁女患者,确诊类风湿性关节炎15年,无正规治疗,一周余前关节疼痛加剧就诊,予甲氨蝶呤+雷公藤,口服一周,自觉症状缓解不明显,关节痛加剧,入院。第一次骨髓检查一类原始细胞比例偏高。治疗10天后进行二次骨穿骨髓检查:骨髓增生极度活跃,有核细胞量明显增多,...
-
误诊急性冠状动脉综合征 短时间内导致多脏器组织损…
环球医学资讯
2017年05月31日
点击量:335
1小时条评论【一般情况】 女,48岁,汉族。 【主诉】 乏力30天,加重伴有心悸2天。 【病史摘要】 入院30天前患者无明显诱因突然出现食欲不振,伴有嗳气、恶心、呕吐、乏力,上述症状反复发作,曾就诊于当地医院,诊断为急性胃肠炎,给予相应治疗后症状无明显缓解。2天前,...
-
游走性关节痛20年,发现血糖升高17年,为何要摒弃以…
环球医学资讯
2017年01月18日
点击量:736
1小时条评论患者女性,52岁,于2005年3月11日入院。 一、主诉 全身痛、皮肤结节、游走性关节痛20年,发现血糖升高17年。 二、病史询问 (一)初步诊断思路及问诊目的 患者中年女性,全身痛、皮肤结节、游走性关节痛20年,发现血糖升高17年。按常见病优先考虑的原则应将糖尿...
-
气促1个月,颜面及下肢水肿,双肺弥漫分布斑片影,…
环球医学资讯
2016年12月19日
点击量:882
1小时条评论一、病史摘要 患者,男性,63岁,因气促1个月,颜面部水肿半个月,双下肢水肿5天,于2007年10月8日入住我院。患者1个月前感冒后出现活动后气促,咳嗽咳少量白色泡沫痰,无头晕、头痛、心悸不适,至当地医院,查肺部CT(图75‐1)示双肺弥漫分布的斑片影,以两下肺及...
-
一例ANCA相关小血管炎病例报道
环球医学资讯
2016年09月29日
点击量:1417
1小时条评论抗中性粒细胞胞浆抗体(anti-neutrophil cytoplasmicantibody,ANCA)相关小血管炎(ANCAassociated vasculitis,AAV)是一种严重的累及小和中等血管引起严重的全身多系统器官功能衰竭、血清中存在针对靶抗原蛋白酶3(PR3)或髓过氧化物(MPO)的ANCA阳性的自身免疫...
-
来氟米特与甲氨蝶呤合用所致的间质性肺炎
环球医学资讯
2016年09月20日
点击量:1770
1小时条评论【病例摘要】 1例老年女性患者,因类风湿关节炎(RA)开始服用来氟米特(leflunomide, LEF)20mg,每天1次,甲氨蝶呤(methotrexate, MTX)12.5mg,每周1次。5个月后出现发热、喘憋、咳嗽、咳痰等症状,发热后第5天停用LEF和MTX。胸部CT:双肺野弥漫性磨玻璃阴影...
-
1例英夫利西单抗治疗肠外白塞病的病例分析
环球医学资讯
2016年09月13日
点击量:592
1小时条评论【病例摘要】 1例中年女性考虑为白塞病,肠道表现诊断明确。行英夫利西单抗治疗后半小时左右,出现过敏性休克、喉头水肿。对不良反应进行关联性评价,考虑过敏性休克、喉头水肿很可能与英夫利西单抗使用相关。药师建议停止使用英夫利西单抗,如仍考虑使用生物制剂...
-
男34岁,因头痛、视物模糊伴视物变形7天入院
环球医学资讯
2016年07月22日
点击量:497
1小时条评论【病例资料】 患者,男性,34岁。因头痛、视物模糊伴视物变形7天于1998年7月23日入院。 现病史:患者于1周前无明显诱因出现头前额部胀痛,呈持续性,夜间为著,伴视物模糊,且出现视物变形、缩小。在北京医院眼科就诊查视力右眼0.2,左眼0.3,眼底:视乳头边界清,...








会员登录

