-
误诊为“骨巨细胞瘤” 实则……
环球医学资讯
2017年11月20日
点击量:537
1小时条评论18岁男性患者,在当地诊断为骨巨细胞瘤,事实果真如此?错误的诊断将导致错误的治疗。骨肿瘤的诊断应遵守何原则? (1)病例介绍 :患者,男,18岁,因左髋部疼痛不适2个月,加重1个月入院。2个月前不慎扭伤左髋部,感疼痛,休息可缓解,不影响日常活动,于入院前1...
-
好发于青少年的高度恶性肿瘤
环球医学资讯
2017年11月20日
点击量:452
1小时条评论14岁男性患者确诊骨肉瘤,保肢手术的应用需考虑哪些问题?人工全股骨假体置换适应证是什么,又有何优缺点? (1)病例介绍 :患者,男,14岁,主因左大腿肿胀疼痛2个月收入院。患者于2个月前运动后出现左大腿疼痛,活动后加重,近日逐渐肿胀,疼痛减轻。就诊当地医...
-
少见的骨恶性肿瘤
环球医学资讯
2017年11月13日
点击量:664
1小时条评论皮质旁骨肉瘤作为一种少见的骨的恶性肿瘤,有哪些特点?其预后与什么相关?骨肿瘤的诊断一定要遵循什么原则? (1)病例介绍 :患者,男,41岁,因右股骨远端肿瘤术后2年,右窝疼痛肿胀1年半入院。 2年半前无明显诱因出现右膝疼痛,夜间疼痛明显,口服止痛药可缓...
-
骨病灶刮除和纠正局部畸形孰轻孰重?
环球医学资讯
2017年11月13日
点击量:451
1小时条评论对于股骨近端骨纤维结构不良伴严重髋关节内翻畸形患者的治疗,需要完全去除病灶吗?详见以下病例 (1)病例介绍 :患者,男,32岁,主因多发骨纤维结构不良,左侧胫骨病灶刮除植骨术后10年,左侧髋关节行走时疼痛,门诊入院。患者10年前,在外院诊断为多发骨纤维结...
-
腹腔镜肾上腺肿瘤切除术手术图谱
环球医学资讯
2017年11月08日
点击量:1125
1小时条评论40岁女性确诊肾上腺原发性醛固酮增多症,术前准备和手术具体步骤,详见以下手术图谱 一、病例资料 女性,40岁,头晕、手足麻木6个月,CT检查发现左肾上腺直径1.8cm占位病变(图5-2-1),体检血压185/100mmHg,血钾2.3mmol/ml,术前诊断肾上腺原发性醛固酮增多症。 ...
-
肾母细胞瘤手术的麻醉
环球医学资讯
2017年11月08日
点击量:301
1小时条评论2岁4个月男性患儿行肾母细胞瘤手术,麻醉过程详见以下精选病例 一般情况 患儿,男,2岁4个月,体重11kg。患儿于入院前2个月因受凉后高热(39.4℃),后相继出现腹痛、血尿,伴恶心、呕吐,腹痛为阵发性,持续1~2分/次。同时家长发现患儿腹部渐膨隆,尿中出现少量...
-
这种良性肿瘤虽然诊断困难 但可自愈
环球医学资讯
2017年11月03日
点击量:881
1小时条评论骨样骨瘤作为一种骨组织来源的良性肿瘤,其特征性表现为何?骨样骨瘤发病率约占良性骨肿瘤的多少?此病虽经数年后有可能骨化自愈,但为何一般发现后均行手术治疗? (1)病例介绍 :患者,11岁,主因腰痛6个月,加重4个月,门诊收入院。患者于6个月前无明显诱因出...
-
最常见的心脏原发性恶性肿瘤
环球医学资讯
2017年11月03日
点击量:708
1小时条评论最常见的心脏原发性恶性肿瘤是肉瘤,其又分为血管肉瘤、横纹肌肉瘤、纤维肉瘤、平滑肌肉瘤等。它们各自有何特点? 病史和相关检查 患者,男性,67岁,因右心衰竭入院治疗,行超声检查。 超声图片 如图2‐1‐259。 超声描述 右心室内可见一中等回声实性肿块,表面...
-
胫骨下端软骨肉瘤切除后大段异体骨重建 如何选择替…
环球医学资讯
2017年10月23日
点击量:291
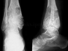
1小时条评论23岁女性患者,主因右胫骨下端肿瘤切除后3年复发,门诊收入院。同髋、膝、肩等部位骨肿瘤高发部位相比,胫骨下端的侵袭性和恶性肿瘤相对少见,原因何在?骨肿瘤切除后遗留大段骨缺损的重建问题,如何选择替代物? (1)病例介绍 :患者,女,23岁,主因右胫骨下端...
-
左髋臼软骨肉瘤局部切除马鞍式人工关节置换术
环球医学资讯
2017年10月16日
点击量:335
1小时条评论58岁女性患者,主因左髋部疼痛1年,门诊以左髋臼部肿瘤收入院。结合哪些诊断原则确诊为软骨肉瘤?软骨肉瘤好发于哪一人群?好发部位为何?重要的鉴别诊断因素有哪些? (1)病例介绍 :患者,女,58岁,主因左髋部疼痛1年,门诊以左髋臼部肿瘤收入院。患者1年前无...










会员登录

