-
胫骨造釉细胞瘤切除 重建方法如何抉择?
环球医学资讯
2017年10月09日
点击量:437
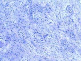
1小时条评论41岁女性患者,5年前开始右小腿中段前侧隆起包块,包块生长缓慢但逐渐增大,近一年半活动后出现患部疼痛,近半年疼痛频繁并加重,当地医院摄片并CT 检查后发现右胫骨中段骨性包块考虑为肿瘤。行术前肿瘤穿刺活检,病理报告为造釉细胞瘤可能性大。对于这种较罕见的骨...
-
年龄对于这一肿瘤的诊断非常重要
环球医学资讯
2017年10月09日
点击量:604
1小时条评论23岁女性患者,主因腰痛5个月,加重伴双下肢麻木无力20 余天,门诊收入院。CT 引导下穿刺活检病理报告为胸11 椎体骨巨细胞瘤。脊柱肿瘤少见,原发性脊柱肿瘤更少见。年龄对于脊柱肿瘤诊断非常重要,您知道这是为什么吗? (1)病例介绍 :患者,女,23岁,主因腰痛...
-
软组织肿物手术后反复发作 手术方式如何抉择?
环球医学资讯
2017年09月25日
点击量:700
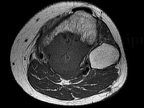
1小时条评论49岁女性,右大腿软组织肿物手术后反复发作4年半。软组织肉瘤的诊断需要临床、影像学、病理相结合。对于临床表现、影像学表现与病理结果不相符的病例,特别需要注意。如何进行明确诊断? (1)病例摘要 :患者,女性,49岁,因右大腿软组织肿物手术后反复发作4年半...
-
骨软骨瘤术后再发生 原因有点儿“冤”
环球医学资讯
2017年09月22日
点击量:751
1小时条评论有时骨软骨瘤术后再发生,并非严格意义上的肿瘤复发,而是之前手术并未彻底切除,残留部分继续生长所致。造成骨软骨瘤术后再发生的因素有哪些?为什么儿童期实施骨软骨瘤手术复发率较骨骼发育成熟后手术复发率高?希望以下两例病例能为您带来启发 (1)病例介绍 病...
-
骨巨细胞瘤术后复发 确定病变性质是关键
环球医学资讯
2017年09月22日
点击量:365
1小时条评论24岁男性患者,骨巨细胞瘤术后定期复查,复查X 线检查,发现右胫骨溶骨性病灶面积逐渐扩大,考虑骨巨细胞瘤复发。如何确定病变性质?主要治疗方法为手术切除囊内切除和边缘切除又各有何特点?如何选择手术边界? (1)病历介绍 :患者,男,24岁,主因左胫骨近端骨...
-
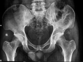
左髂骨软骨肉瘤术后竟两次复发 原来是因为……
环球医学资讯
2017年09月11日
点击量:2841
1小时条评论30岁男性,左髂骨软骨肉瘤术后竟两次复发!如5年首次治疗前行术前活检病理得到软骨肉瘤的结果,首次手术就应行广泛切除。当时情况行内半骨盆Ⅰ区、Ⅱ区切除,保留肢体是可行的。3年前肿瘤复发后,仍只将髂骨外软组织肿块切除,未行广泛的外科手术,致使肿瘤继续生长...
-
多发热区一定意味着转移性骨肿瘤?
环球医学资讯
2017年09月11日
点击量:766
1小时条评论看了以下老年女性的全身骨显像和胸部SPECT/CT融合骨显像,您能作出诊断吗? 【病例14】 1﹒病史和检查目的 患者女,72岁,12年前左乳腺癌术,15年前左甲状腺癌切除术。自诉1年前脊柱摔跤骨折,1个月前摔跤,坐地上,不能走路。胸片显示T12~L1轻度楔形改变,T11...
-
左肘肿物逐渐增大 不可轻视
环球医学资讯
2017年06月19日
点击量:1310
1小时条评论患者左肘活动受限18年,发现肿物5年,加重1年,门诊收入院。诊断恶性肿瘤证据不足,实为何病?对于少见骨病,如何进一步探究其病因,对症下药? 图8‐1 患者入院时体位像 (1)病例介绍 :患者,男,52岁,主因左肘活动受限18年,发现肿物5年,加重1年,门诊收...
-
跌倒后右上臂疼痛 除了骨折还有……
环球医学资讯
2017年06月13日
点击量:352
1小时条评论(1)病例介绍: 患者,14岁,主因右上臂疼痛伴功能障碍3年3个月,门诊收入院。患者于3年3个月前不慎跌倒,当即感到右肩部及右上臂疼痛,畸形并伴有功能障碍。来我院急诊就诊,摄片显示右肱骨近端溶骨破坏伴有皮质不连续,急诊考虑右肱骨骨囊肿伴病理性骨折(图1‐1...
-
当脊柱病变在影像学上表现不典型时 怎么办?
环球医学资讯
2017年05月18日
点击量:754
1小时条评论(1)病例介绍: 患者,男,57岁,主因肝癌术后1年,胸背部疼痛2个月,门诊入院。患者1年前于外院诊断为肝癌,行肝左叶切除,2个月前无明显诱因出现胸背部疼痛,当地医院检查全身骨扫描显示右第7 前肋及第9 胸椎放射性异常浓集,为进一步诊治门诊入院。 入院查体:...










会员登录

