肾上是瘤还是癌?看专家如何步步明确诊断
60岁女性因“血尿10余天”入院,B超和膀胱镜见“膀胱占位”。术前诊断为膀胱肿瘤疑似输尿管口肿瘤,术后病理诊断为膀胱嗜铬细胞瘤,患者出院后3年随访期间未见异常。该患者为何术前不能活检?术前处理又遭遇哪些波折?请详见以下病例——
【病例资料】
患者女性,60岁。
主诉:无痛性肉眼血尿十天余。
现病史:十天前因血尿在当地医院口服抗生素、止血药后效果不佳,行B超和膀胱镜检查后以“膀胱占位”收入院。
【体格检查】
一般情况:体温:36.6℃,脉搏:76次/分,血压:120/80mmHg,呼吸:20次/分。一般情况良好,心肺等无明显异常,四肢、脊柱活动良好。
专科情况:双肾区无隆起,肋脊点、肋腰点无压痛。双肾区叩击痛(-)。双侧输尿管走行区全程无压痛,双侧输尿管走行区未触及肿块,耻骨上无隆起,耻骨上区无压痛,阴毛分布正常,正常女性外阴,尿道外口未见异常分泌物。
【辅助检查】
实验室检查:尿常规:白细胞10个/HP,红细胞:满视野/HP。血常规、肝肾功能等无明显异常。
影像学检查:
B超:左侧输尿管口部有3.2cm×3.4cm低无回声团,内见点状血流,膀胱囊实性病变,双肾、输尿管未见异常。
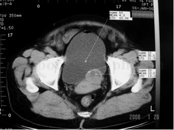
CT:CT检查示膀胱左侧壁占位病变(图33-1)。
膀胱镜检查:左侧输尿管口部有3cm×4cm大小球形肿物,表面似正常膀胱黏膜,肿物上方有输尿管口呈裂隙状,顺利插入输尿管导管约10cm,膀胱镜诊断:膀胱肿瘤、输尿管口肿瘤、囊肿?

图33-1 CT示膀胱左侧壁占位病变
【术前诊断】
输尿管口囊肿
输尿管口肿瘤?膀胱肿瘤侵犯输尿管?
【治疗经过】
完善相关检查后行左侧输尿管口肿物探查术。
手术过程:连续硬膜外麻醉下行左侧输尿管口肿物探查术,打开膀胱,见左输尿管口有4cm大小球形肿物,触及为实性,表面为正常膀胱黏膜。输尿管开口位于肿物顶部,有间断喷尿,从输尿管口顺利插入F6输尿管导管约15cm,触之穿过肿物。从膀胱外游离输尿管到膀胱壁,可触及肿物,输尿管与周围不粘连。从膀胱内沿肿物周围2cm用电刀切除包含肿块在内的部分膀胱,连同5cm长的输尿管切除,全部送术中快速冰冻病理检查。病理回报示肿物为良性病变,输尿管断端为正常输尿管,膀胱切缘未见异常。行输尿管移植术,缝合膀胱。术中血压等生命体征平稳,未输血。
术后病理:大体所见及印象:输尿管末端肿瘤与部分膀胱相连。肿瘤从膀胱壁呈外向性生长侵及输尿管下段,深层浸润已经穿过管壁平滑肌层。镜下见肿瘤细胞呈腺泡状分布,腺泡之间血管丰富,瘤细胞中等大小,镶嵌状分布,胞浆丰富透明或呈浅红色,细胞核中等大小,核仁不明显,偶有核异型性,分裂象难以见到,PAS染色阴性,嗜铬颗粒蛋白A免疫组化染色示部分瘤细胞胞浆呈阳性反应,病理诊断:嗜铬细胞瘤。
【术后诊疗】
术后9天痊愈出院。随访3年,未见肿瘤复发及淋巴结肿大等异常。
【讨论内容】
文献综述:肾上腺外嗜铬细胞瘤具有侵犯周围组织脏器的特点,发生率高达50%,而肾上腺嗜铬细胞瘤仅为10%。膀胱嗜铬细胞瘤占膀胱肿瘤的不到1%,占所有嗜铬细胞瘤的不到1%,膀胱嗜铬细胞瘤起源于膀胱壁内的交感神经丛嗜铬细胞的胚胎残余,很少见,占肾上腺外嗜铬细胞瘤的10%,膀胱肿瘤的0.5%,约17%的膀胱嗜铬细胞瘤为无功能性的,15%为恶性,41%位于膀胱顶部及三角区,有转移至区域淋巴结或远处转移可能,恶性倾向主要决定于临床表现,而不是其病理特征。功能性的膀胱充盈或排尿时出现阵发性高血压,排尿性晕厥是其特征性表现,约1/2的患者出现血尿。无症状者少见。膀胱镜检查:肿瘤经常表现为覆盖正常膀胱黏膜。术前膀胱镜检查时活检常难取到肿物,如活检较深则可能引起大出血。治疗上应行包括肿瘤的部分膀胱加部分输尿管切除。经尿道电切术通常为禁忌,因可引起高血压危象。CT检查可判断区域淋巴结情况,如发生淋巴结转移,应行骨盆淋巴结清扫,尽管肿瘤切除后高血压可能得到控制,但对于其他部位有活性的嗜铬细胞瘤,术前应使用肾上腺素能阻滞剂以避免术中发生高血压危象。手术切除后需终生随访,因可发生晚期转移。对于无症状肾上腺外嗜铬细胞瘤,术前明确诊断往往较为困难,甚至术中快速冰冻病理检查也不易确诊,有的术中误诊为癌而行肾、输尿管全长及膀胱袖状切除术。
【专家点评】
本例术前症状未表现嗜铬细胞瘤的典型症状及体征,因而也没有按照嗜铬细胞瘤术前准备,但患者因高血压口服硝苯地平缓释片已经3年,且血压控制良好无波动,相等于嗜铬细胞瘤常规术前处理,因此术中多次挤压也没有发生血压波动。本例输尿管口嗜铬细胞瘤其肿瘤来源应是膀胱嗜铬细胞瘤侵犯到输尿管下段周围,将输尿管口顶向膀胱内,患者也无膀胱嗜铬细胞瘤的特征性表现,因而临床诊断首先考虑输尿管口囊肿。术中、术后也未按照嗜铬细胞瘤监测,直到嗜铬细胞瘤病理回报才按嗜铬细胞瘤处理,但在此期间患者恢复顺利,血压一直平稳。随访3年,肿瘤未复发,仍用硝苯地平缓释片,血压控制良好无波动。
参 考 文 献
1. Raymond KW,Alex FA,Gilbert HD. Extra-adrenal pheochromocytoma. J Urology,1992,147(1):1-10
2. 钱立新,吴宏飞,眭元庚,等.膀胱嗜铬细胞瘤的诊断与治疗.中华泌尿外科杂志,2003,24(9):591-593
3. Karpman E,Zvara P,Stoppacher R,et al. Pheochromocytoma of the urinary bladder:update on new diagnostic modalities plus case report. Ann Urol(Paris),2000,34(1):113-119
4. 毕建斌,孔垂泽,王平,等.膀胱嗜铬细胞瘤8例报告.中国医科大学学报,2003,32(3):469-470
5. 巨育泉,李甘地,沈宏,等.输尿管嗜铬细胞瘤一例报告. 中华泌尿外科杂志,1997,18(7):429
6. 章菊明,明腾.无功能性膀胱嗜铬细胞瘤切除术后七年复发恶变一例.中华小儿外科杂志,1994,15(6):371
7. 田涛,郭昭建,高建国,等.无症状膀胱嗜铬细胞瘤1例. 临床泌尿外科杂志,2006,21(1):57
来源:《泌尿外科疑难病例讨论精选》
作者:那彦群 陈山
参编:王建业 王晓峰 李汉忠 万奔 马潞林
页码:150-153
出版:人民卫生出版社
- 评价此内容
- 我要打分
近期推荐
热门关键词
最新会议
- 2013循证医学和实效研究方法学研讨会
- 欧洲心脏病学会年会
- 世界帕金森病和相关疾病2013年会议
- 英国介入放射学学会2013年第25届年会
- 美国血液学会2013年年会
- 美国癫痫学会2013年第67届年会
- 肥胖学会 2013年年会
- 2013年第9届欧洲抗体会议
- 国际精神病学协会 2013年会议
- 妇科肿瘤2013年第18届大会
- 国际创伤压力研究学会2013年第29届…
- 2013年第4届亚太地区骨质疏松症会议
- 皮肤病协会国际2013年会议
- 世界糖尿病2013年大会
- 2013年国际成瘾性药年会
- 彭晓霞---诊断试验的Meta分析
- 武姗姗---累积Meta分析和TSA分析
- 孙凤---Network Meta分析
- 杨智荣---Cochrane综述实战经验分享
- 杨祖耀---疾病频率资料的Meta分析
合作伙伴
Copyright g-medon.com All Rights Reserved 环球医学资讯 未经授权请勿转载!
网络实名:环球医学:京ICP备08004413号-2
关于我们|
我们的服务|版权及责任声明|联系我们
互联网药品信息服务资格证书(京)-经营性-2017-0027
互联网医疗保健信息服务复核同意书 京卫计网审[2015]第0344号




会员登录

