一例马兜铃酸肾病的诊治经验分享
43岁女性,夜尿增多4个月,发现高血压伴肾功能异常1个月。青年女性以无明显症状的肾功能异常起病,如何诊治?
女性,43岁。
主诉
夜尿增多4个月,发现高血压伴肾功能异常1个月。
现病史
患者4月前无诱因出现夜尿增多,3~4次/晚,尿量与白天接近,未诊治。1月前体检测血压升高,为170/116mmHg,进一步检查发现血肌酐(serum creatinine,SCr)302μmol/L,BUN 7.4mmol/L,HCO3-20.6mmol/L;尿蛋白75mg/dl,尿糖阳性,WBC 3~5/HP。10天前复查SCr 247μmol/L。为进一步诊治收入院。
既往史
由于经常“上火”间断服用龙胆泻肝丸3~4年,每周1~2次、每次1~2袋,共约300袋(6g/袋,含“关木通”),近1月未服药。否认高血压、糖尿病、慢性肾病及肝病病史,否认自身免疫性疾病史。否认类似疾病的家族史。偶有头痛,未测过血压,否认长期服用非甾体抗炎药(nonsteroidal anti-inflammatory drug,NSAID)。
入院查体
BP 160/85mmHg,HR 78次/分。心界不大,心律齐。肺腹查体无明显异常。
辅助检查
WBC 8.7×109/L,HB 87g/L,PLT 160×1012/L;SCr 233μmol/L,eGFR 22.0ml/min,BUN 8.27mmol/L,UA 364μmol/L;Glu 5.86mmol/L,K+3.88mmol/L,Na+141.3mmol/L,Cl-110.0mmol/L,Ca2+2.31mmol/L,P 1.33mmol/L,HCO3-22.6mmol/L;ALT、AST正常,ALB 41.1g/L;IgG 18.8g/L↑,IgA、IgM、C3、C4正常。γ-G 22.4%。ESR 60mm/h,CRP 1.30mg/L,ANA谱全阴性。乙肝表面抗原阳性,HBV-DNA阴性。尿SG 1.010,蛋白0.378g/d,Glu 50~100mg/dl,尿WBC、RBC未见异常。尿IgG 23μg/ml(<9μg/ml),Alb 27.7μg/ml(<15μg/ml),β2-MG>2.5μg/ml(<0.2μg/ml)。尿浓缩试验:SG 1.015,1.015,1.020。B超:LK长径10.3cm,实质厚度1.6cm,RK长径9.6cm,实质厚度1.4cm,双肾动脉未见狭窄。
眼底:动、静脉比例1∶2,交叉压迫征(±)。核素肾动态显像:双肾血流灌注减少,L-GFR 25.0ml/min,R-GFR 12.1ml/min。
初步诊断
肾功能不全原因待查
肾性高血压?
入院后诊治情况及诊治思路
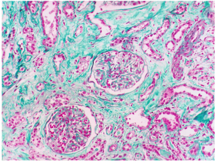
肾活检病理:免疫荧光:免疫球蛋白和补体均阴性。光镜:可见8个肾小球,1个球性硬化,其余肾小球系膜细胞和基质轻度弥漫增生。肾小管上皮细胞颗粒及空泡变性,节段性崩解、脱落,裸基底膜形成,管腔扩张。肾间质轻度水肿,多灶状无细胞性纤维化。小动脉管壁增厚(图1)。电镜:肾小球无明显病变,肾小管上皮细胞内溶酶体明显增多,部分微绒毛脱落,肾间质胶原纤维增生。符合:慢性肾小管间质性肾病。

图1马兜铃酸肾病:肾小球无明显病变,肾小管萎缩、消失,裸基底膜形成,肾间质无细胞性硬化(Masson×200)
患者以肾功能不全起病,伴有肾性糖尿、尿β2-MG为代表的小分子蛋白增多、尿浓缩功能减退等近端及远端肾小管功能障碍为表现,结合肾活检的结果,诊断为肾小管间质性肾病。患者无口干、眼干、关节痛、皮疹及脱发等系统性疾病表现;既往无痛风、尿石症等病史;结合其近年来长期服用含马兜铃酸成分药物——“龙胆泻肝丸”,因此考虑肾小管间质性肾病的病因为药物,即马兜铃酸肾病。患者肾脏病理呈慢性肾小管间质损伤,但从临床经过看,停用“龙胆泻肝丸”后SCr有一定程度的下降(下降>20%),考虑在慢性肾脏病基础上有急性肾损伤。
随访观察:给予患者泼尼松30mg/d治疗疗程6周,之后每2周逐渐减量至停药,总疗程12周。并加用氨氯地平5mg/d控制血压。治疗后SCr变化:229μmol/L(4周)→218μmol/L(8周)→201μmol/L(12周),肝功能正常;之后4年继续定期观察,SCr维持在191~206μmol/L,CCr 25.0ml/min。随访至13年后,SCr 414μmol/L,BUN 12.3mmol/L,eGFR 11.0ml/(min·1.73m2)。3个月前出现无痛性肉眼血尿,B超提示右侧肾盂癌,行右肾全切术,病理诊断:(右肾盂)移行上皮细胞癌。目前尿量正常,未再发生肉眼血尿,仍在非透析治疗中,SCr 466μmol/L,BUN 15mmol/L。
最终诊断
马兜铃酸肾病 慢性肾脏病基础上急性肾损伤肾性高血压 肾性贫血
右肾盂移行上皮细胞癌
乙型病毒性肝炎
讨论
本例为青年女性,以无明显症状的肾功能异常起病,有含马兜铃酸成分药物的长期服药史,实验室及肾脏病理检查以肾小管病变为主要特点。停用肾毒性药物及后续的短期激素治疗后,肾功能有所好转,但未能完全恢复至正常。随访13年后进入终末期肾脏疾病阶段。
马兜铃酸(aristolochic acid,AA)是马兜铃属植物的主要成分之一,是一组导致马兜铃酸肾病(aristolochic acid nephropathy,AAN)和尿路移行上皮细胞癌的化合物。马兜铃酸肾病的病理特点是以严重的肾小管上皮细胞损伤为主,伴有细胞再生修复差、肾间质炎症病变不显著、间质纤维化发生早。在慢性接触、反复损伤的基础上,停药后病情虽可能部分减轻,但逐渐演变为进展性肾功能减退,与马兜铃酸对肾小管上皮细胞增殖周期的阻滞、小管旁毛细血管内皮细胞增殖的抑制、马兜铃酸衍生物-DNA加合物的形成等病理生理致病机制有关。在动物实验中可观察到注射AA-I之后出现显著的肾缺血表现,在马兜铃酸肾病患者的疾病早期,亦有部分患者出现双肾萎缩但大小不一致、双肾血流灌注下降但程度不一致现象,提示肾血管因素导致的慢性缺血性病变是本病的发病机制之一。由上述发病机制及病理特点可见,是否应用激素治疗仍有争议,而对于如何改善肾脏的慢性缺血、促进肾小管上皮细胞和血管内皮细胞的增殖修复及抗纤维化治疗是目前研究的热点。
AA所致尿路移行上皮细胞癌可发生在AAN-CKD病程的不同阶段,甚至在已进入终末期肾脏病进行规律血液净化治疗(包括血液透析、腹膜透析)的患者,仍可发病,具有病变累及多部位、复发率高的特点。近年来的基础研究发现,AA的活性代谢产物马兜铃内酰胺(AL)可以和DNA结合形成稳定的加合物,具有抵抗全基因组修复的特性并维持低的转换率,是尿路移行细胞癌的重要发病机制之一。马兜铃酸肾病患者并发尿路移行细胞癌时,肾组织中AL-DNA加合物的检出率极高。最新研究显示,采用32P后标记法或质谱分析法能够检测出尿液脱落细胞中AL-DNA加合物的存在,有望作为诊断AA致AAN和上尿路移行细胞癌的无创性标志物。
学习要点
1.马兜铃酸肾病发生在长期服用含马兜铃酸成分药物的患者中,常隐袭起病,表现为不同程度的慢性肾损害,具有肾小管功能障碍、肾小管损伤的特征。若能早期发现、及时停药和积极治疗,仍有部分好转的可能。
2.马兜铃酸肾病并发尿路移行细胞癌的发病率极高,可先后或同时累及肾盂、输尿管、膀胱多部位,复发率高,应注意加强监测。
参考文献
[1] YANG L, SU T, LI X M, et al. Aristolochic acid nephropathy: variation in presentation and prognosis[J]. Nephrology Dialysis Transplantation, 2012, 27(1): 292-298.
[2] YANG L, LI X, WANG H. Possible mechanisms explaining the tendency towards interstitial fibrosis in aristolochic acid-induced acute tubular necrosis[J]. Nephrology Dialysis Transplantation, 2007, 22(2): 445-456.
[3] DEBELLE F D, VANHERWEGHEM J L, NORTIER J L. Aristolochic acid nephropathy: a worldwide problem[J]. Kidney International, 2008, 74(2): 158-169.
[4] GROLLMAN A P. Aristolochic acid nephropathy: harbinger of a global iatrogenic disease[J]. Environmental and Molecular Mutagenesis, 2013, 54(1): 1-7.
知识来源
人卫知识数字服务体系
- 评价此内容
- 我要打分
近期推荐
热门关键词
最新会议
- 2013循证医学和实效研究方法学研讨会
- 欧洲心脏病学会年会
- 世界帕金森病和相关疾病2013年会议
- 英国介入放射学学会2013年第25届年会
- 美国血液学会2013年年会
- 美国癫痫学会2013年第67届年会
- 肥胖学会 2013年年会
- 2013年第9届欧洲抗体会议
- 国际精神病学协会 2013年会议
- 妇科肿瘤2013年第18届大会
- 国际创伤压力研究学会2013年第29届…
- 2013年第4届亚太地区骨质疏松症会议
- 皮肤病协会国际2013年会议
- 世界糖尿病2013年大会
- 2013年国际成瘾性药年会
- 彭晓霞---诊断试验的Meta分析
- 武姗姗---累积Meta分析和TSA分析
- 孙凤---Network Meta分析
- 杨智荣---Cochrane综述实战经验分享
- 杨祖耀---疾病频率资料的Meta分析
合作伙伴
Copyright g-medon.com All Rights Reserved 环球医学资讯 未经授权请勿转载!
网络实名:环球医学:京ICP备08004413号-2
关于我们|
我们的服务|版权及责任声明|联系我们
互联网药品信息服务资格证书(京)-经营性-2017-0027
互联网医疗保健信息服务复核同意书 京卫计网审[2015]第0344号




会员登录

