右肾输尿管切除后左肾又出问题 手术能否成功挽救患者?
55岁女性患者, 21个月前曾因右侧输尿管下段炎性病变接受右肾输尿管全长切除术。此次因“左肾绞痛伴食欲缺乏”入院,影像学检查提示左肾、输尿管积水,诊断为特发性腹膜后纤维化。该病属于少见病例,误诊率较高,医生应当清楚其诊治要点。该病在临床中常见的影像学特点有哪些?行输尿管松解术应注意什么?详见以下病例——
【病例资料】
患者女性,55岁。
主诉:右肾输尿管全长切除术后21个月,左肾绞痛伴食欲缺乏、恶心呕吐 3天。
现病史:2006年9月因右肾绞痛,行B超、CT检查提示右输尿管下段结石、右肾积水,行体外冲击波碎石术(ESWL)后未排石。2006年11月到某医院住院,怀疑右侧输尿管肿瘤可能,行右肾输尿管全长切除术,术后病理为右侧输尿管下段炎性病变。2008年8月11日患者突发左肾绞痛,伴食欲缺乏、恶心呕吐,在当地医院行腹部B超、CT检查提示左肾、输尿管积水。
【体格检查】
腹平坦,无腹壁静脉曲张,腹部柔软,无压痛、反跳痛。肝脏未触及,脾脏未触及,双侧腰部曲线对称,双肾区无隆起,右腰部皮肤可见一长约10cm的切口瘢痕,左肾区叩击痛(+),卧位及坐位双肾均未触及。双侧输尿管行程区无压痛,膀胱区无膨隆,无压痛,未触及包块。会阴区阴毛呈女性分布,尿道外口未见红肿及脓性分泌物,外生殖器发育正常。
【辅助检查】
实验室检查:血常规指标正常;血生化:肌酐223μmol/L。
影像学检查:
腹部B超:左肾大小形态如常,皮质回声均匀,肾内结构清晰,肾集合系统分离,前后径约1.2cm,肾内未见占位病变。左侧输尿管扩张,上段内径约0.8cm。
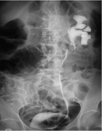
肾盂输尿管逆行造影(图45-1):左侧肾盂积水,近段输尿管向中线移位。
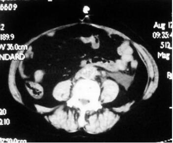
腹部CT平扫(图45-2):腰椎体前方腹主动脉、下腔静脉、髂总血管周围的腹膜后及盆腔间隙可见软组织影,同时包绕左侧输尿管。
MRI:腹膜后约腰3~4椎体前方可见稍长T1短T2异常信号影,最大层面约

图45-1 左侧肾盂积水,近段输尿管向中线移位

图45-2 腰椎体前方腹主动脉、下腔静脉、髂总血管周围的腹膜后及盆腔间隙可见软组织影,同时包绕左侧输尿管
5cm×2.5cm,上下累及长约5.5cm,其内包绕腹主动脉下段至髂血管分叉处,血管管腔轻度变窄,未见移位,动态增强扫描示病变动脉期轻度增强,实质和延迟期明显强化。右肾缺如,左侧肾脏未见异常信号,左侧输尿管未见扩张。
【术前诊断】
特发性腹膜后纤维化(idiopathic retroperitoneal fibrosis)
急性肾功能不全(肾后型)
右侧肾输尿管全长切除术后
【治疗经过】
置管:于入院当天急诊左侧输尿管导管(5F)置入,复查肌酐降至140.1μmol/L。
手术:腹腔镜下左侧输尿管松解,腹腔内置术。
术中所见:骶腰椎体范围的腹膜后组织增厚、僵硬,将左侧输尿管下段于骶髂关节附近包裹并向中线拉拢,致其上方输尿管及肾盂扩张积水。
手术过程:麻醉成功后,患者取右侧30度卧位。取脐上纵形切口,长约cm,切开皮肤、皮下组织,钝性分离肌层,切开腹膜,进入腹腔,作为观察镜通道。置入腹腔镜,直视下分别于左侧腹反麦氏点、脐下5cm右腹直肌旁置入0mm、5mm trocar。于降结肠旁沟剪开后腹膜,向上切断脾结肠韧带,向下剪开侧后腹膜至髂动脉分叉处,将降结肠翻向内下方。显露中线附近的腹膜后组织,见骶腰椎体范围的腹膜后组织增厚、僵硬,将左侧输尿管下段于骶髂关节附近包裹并向中线拉拢,致其上方输尿管及肾盂扩张积水。于肾输尿管连接部开始向下钝性、锐性分离相结合将输尿管仔细游离,注意保护血供,并去除骶髂关节附近包裹输尿管的僵硬致密组织,解除其对输尿管的压迫,游离输尿管至入盆处,见输尿管管径形态正常,结束松解后拔除术前置入的左侧输尿管导管,在扩张的左输尿管上段纵行切一小口,置入双猪尾导管(双J管),上达肾盂、下至膀胱,5-0可吸收线间断缝合输尿管切口2针。将原受累段输尿管移至后腹膜前与后腹膜腔隔离,缝合后腹膜数针,将输尿管置入腹腔内。
【术后诊断及随访】
诊断:同术前诊断。
随访:患者术后肌酐水平控制在140~150μmol/L,食欲缺乏、恶心及呕吐症状明显缓解,手术后至今以随访3个月余未见左肾积水加重及肾功能不全。
【讨论内容】
文献综述:腹膜后纤维化(RPF)是一组临床病理表现,其特征是在腹主动脉周围和髂动脉周围的腹膜后组织呈亚急性和慢性炎症反应,并逐渐被增生的纤维组织所代替,进而包绕压迫输尿管、大血管、胆管和腹膜后其他脏器,其中以输尿管周围纤维化所致肾盂积水最常见。1905年法国泌尿科医师Albaran首次描述该病,1948年Ormond医生最先较详细地记录该疾病,故又叫Ormond病。本病曾有多种名称如:“纤维性后腹膜炎”、“格罗塔(Geroto)筋膜炎”、“后腹膜血管炎(脉管炎)”、“硬化性后腹膜肉芽肿”、“输尿管周围炎性纤维化”及“慢性输尿管周围炎”等。
特发性腹膜后纤维化(IRF)临床较为少见,男∶女的发病比例为2~3∶1;8~75岁均有发病,发病的高峰年龄在40~60岁。目前,尚没有关于继发性RPF的发病率报道。RPF属罕见病,目前国外文献报道约2000余例,国内文献不到200例。
病变集中在中线大血管区域,常起始于主动脉分叉处,逐渐包裹主动脉、下腔静脉和输尿管,并可造成肠系膜动脉及十二指肠、胆总管和下腔静脉阻塞。RPF的自然病程的研究罕见。Meschi等报道52例患者平均随访85个月,28.12%的患者于随访期间死于尿毒症,10.3%发展为终末期肾功能不全,35.9%的患者为可代偿性肾功能不全,仅25.6%患者肾功能正常,提示本病的预后不容乐观。
RPF典型病变部位常见于腰4、5椎体前方腹主动脉、下腔静脉、髂总血管周围的腹膜后及盆腔间隙,但也可累及腹膜腔、盆腔的其他器官部位,可引起输尿管受压或是影响输尿管正常蠕动,从而引起积水。临床症状呈现非特异性,可表现为腰背部或侧腹部钝痛,可向下腹、腹股沟放射,该疼痛对阿司匹林敏感(相对于毒麻类),还可能出现食欲缺乏、恶心、乏力、发热、高血压、少尿等。压迫下腔静脉后可导致下肢深静脉血栓及水肿,累及肾静脉可引起高血压,肉眼血尿。主动脉、纵隔、胆道系统及肾脏受累几率较小。一般出现症状4~6个月后才能确诊,此时大多已出现上尿路梗阻或是尿毒症表现。国内文献报道RPF早期误诊率高达26.8%(115/429)。
RPF的病理学特点主要表现为非特异性炎症,根据病程分为早期(亦称炎症活动期),可见大量的炎细胞(以淋巴细胞、浆细胞和成纤维细胞为主,也常见一些嗜酸性细胞)分布于纤维胶原束中,并伴有丰富血管网;晚期(也叫慢性纤维化期),以致密的纤维结缔组织为主,几乎没有血管和细胞浸润。
实验室检查:血沉、白细胞数可能升高,伴或不伴贫血、肾功能不全、电解质紊乱等。
影像学特点:
1. 肾功能正常者可行IVP或CT加强
(1)典型IVP可见不同程度的肾盂积水,显示近段输尿管向中线移位,远端输尿管逐渐变细,多数为双侧。这是认为具有诊断意义的检查,可有几个特征性改变:①不同程度的肾盂、输尿管积水伴输尿管扭曲扩张;②输尿管向脊柱方向移位;③有外源性输尿管压迫症,管壁光滑。
(2)IRF不同病理阶段的CT表现不同,在纤维早期时,表现为腹膜后间隙境界不清的弥漫性低密度影(与肌肉密度类似);中晚期时,表现为腹膜后或盆后间隙境界清楚的低、不均或等密度不规则软组织肿块影,呈对称或非对称性分布。增强后,早期病灶增强多较明显,晚期(成熟期)几乎无强化。因此CT是目前诊断该病及其病变进展的有效方法。
(3)MRI检查:Tl加权像可发现椎体旁腹膜后的中低信号组织影,与腰大肌信号相似或略低,血管信号清楚;T2加权像显示大多数良性损害表现为稍低信号区,而恶性表现为高信号不均质区。MRI可从异常信号的强弱来推断其组织成分。
(4)同位素67Ga扫描:明显摄取同位素67Ga往往是早期表现,用以指导治疗。
2. 若患者肾功能明显降低可行逆行造影,表现与IVP类似。
3. 若怀疑单侧肾脏无功能需行肾图评价分肾功能,指导下一步治疗。
4. 可行经皮穿刺组织活检或手术中取活检以排除恶性肿瘤来源。
【专家点评】
诊断问题:
本病例基本特点:本病属于少见病例,误诊率较高,术前正确的诊断较为重要,患者上次因右肾积水就诊,未获得正确的诊断,就在于忽视发生此病的可能及缺乏对该病的认识。本组资料显示:肾盂输尿管逆行造影及CT检查对诊断腹膜后软组织异常、肾积水和输尿管扩张均有价值,但绝大部分患者的诊断是依靠剖腹探查、组织学检查确定的。
该病例的治疗心得体会及建议:对于一些肾积水的患者,必须完善检查,明确诊断后方可选择治疗方式。对于特发性腹膜后纤维化的诊断应首选CT或MRI,而其他传统影像检查可作为诊断的补充。在常规检查发现异常时选择T、MRI检查,以求明确诊断。
治疗方式:
(1)急症首选治疗:出现肾积水及尿毒症可行肾造瘘或置入输尿管支架管,一般输尿管置管不困难,必要时可行肾造瘘。而后需查找RPF病因,如为药物(麦角生物碱)所致需停药,可行穿刺取病理排除肿瘤,或是用药随诊观察梗阻后利尿情况。
(2)常规首选药物治疗:一旦确诊IRF,需药物治疗,常用类皮质甾酮治疗,临床观察显示高剂量用药持续时间>6个月或低剂量维持药物治疗时间>2年有显著疗效,因此早期的急性炎症者对药物反应性好。此外个别文献提示一些免疫抑制剂有效(肾功能不全慎用,尿毒症者禁用),有文献报道激素联合应用免疫抑制剂的长期疗效较好,具体机制不详。
停药指征:影像学及临床症状缓解,血沉稳定等为停药指征,停药后可能出现复发。因此治疗后一定要密切随访患者。
文献报道应用激素作为手术的辅助治疗效果较好,其适应证为:①术前准备;②纤维化累及主动脉、腔静脉的术后治疗;③术后复发;④高龄及体弱的患者。激素至少要用6个月,待临床症状消失,血沉及CT检查正常后可减量或停药。
(3)外科治疗:诊断不明确,或对药物治疗效果不佳者多采用外科治疗:
1)开放:术中需活检:取经腹正中切口,可行双侧输尿管松解(术前置管有利于术中辨别),术前检查肾积水可能为单侧,但手术仍需行双侧松解(手术由远端未扩张段开始,避免损伤近端扩张变薄的输尿管,一般无需输尿管切除),为保护输尿管不再受压可有以下选择:①腹膜侧边化,即输尿管放于腹膜侧面,将腹膜置于腰肌内侧以保持输尿管正常位置;②腹腔化(据说两种无区别)。当RPF累及范围较广时,可行大网膜包裹并腹腔化,分离网膜直达胃壁,结扎胃短血管,在胃网膜动脉水平分离出左右两侧网膜,网膜一方面可防止外源性压迫,另一方面可为缺血输尿管供血。术后可用激素治疗,预防复发(有文献个案报道,单纯手术及术后应用激素治疗的复发率分别为50%、10%);如未行输尿管切开可拔除支架管。
2)腔镜手术通常采用经腹4 trocar入路,松解粘连的输尿管并将其腹腔化。
参 考 文 献
1. Vaglio A,Palmisano A,Corradi D,et al. Retroperitoneal fibrosis:evolving concepts. Rheum Dis Clin North Am,2007,33(4):803-817
2. Uibu T,Oksa P,Auvinen A,et al. Asbestos exposure as a risk factor for retroperitoneal fibrosis. Lancet,2004,363(9419):1422-1426
3. 孙忠华,赵玉祥.腹膜后纤维化.北京医学,1996,18(2):109-111
4. 罗军,栾梅香,赛力克•马高维亚.腹膜后纤维化1例并国内文献分析.新疆医科大学学报,2005,28(2):155-159
5. 周伏喜,卢放根,吴小平,等.继发性腹膜后纤维化四例及文献复习.中华消化杂志,2006,26(10):705-706
6. Vaglio A,Salvarani C,Buzio C. Retroperitoneal fibrosis. Lancet,2006,367(9506):241-251
来源:《泌尿外科疑难病例讨论精选》
作者:那彦群 陈山
参编:王建业 王晓峰 李汉忠 万奔 马潞林
页码:210-215
出版:人民卫生出版社
- 评价此内容
- 我要打分
近期推荐
热门关键词
最新会议
- 2013循证医学和实效研究方法学研讨会
- 欧洲心脏病学会年会
- 世界帕金森病和相关疾病2013年会议
- 英国介入放射学学会2013年第25届年会
- 美国血液学会2013年年会
- 美国癫痫学会2013年第67届年会
- 肥胖学会 2013年年会
- 2013年第9届欧洲抗体会议
- 国际精神病学协会 2013年会议
- 妇科肿瘤2013年第18届大会
- 国际创伤压力研究学会2013年第29届…
- 2013年第4届亚太地区骨质疏松症会议
- 皮肤病协会国际2013年会议
- 世界糖尿病2013年大会
- 2013年国际成瘾性药年会
- 彭晓霞---诊断试验的Meta分析
- 武姗姗---累积Meta分析和TSA分析
- 孙凤---Network Meta分析
- 杨智荣---Cochrane综述实战经验分享
- 杨祖耀---疾病频率资料的Meta分析
合作伙伴
Copyright g-medon.com All Rights Reserved 环球医学资讯 未经授权请勿转载!
网络实名:环球医学:京ICP备08004413号-2
关于我们|
我们的服务|版权及责任声明|联系我们
互联网药品信息服务资格证书(京)-经营性-2017-0027
互联网医疗保健信息服务复核同意书 京卫计网审[2015]第0344号




会员登录

