男性排尿不畅竟源于脂肪的“野蛮生长”?
男性无明显诱因出现尿频、排尿不畅等症状,除了前列腺问题,还应考虑患盆腔脂肪增多症的可能性。该病与其他盆腔肿瘤,尤其是脂肪肉瘤容易混淆,应注意鉴别。一般来说,对于盆腔脂肪增多症患者,保守治疗效果欠佳,主要采取外科干预方式。此病的鉴别要点是什么?术后注意事项有哪些?详见以下病例二则——
病例1
【病例资料】
患者男性,64岁。
主诉:尿频、尿线变细2年余。
现病史:患者2年以前开始出现尿频、尿线变细,夜尿3~4次,有尿不尽感,排尿时间延长,未进行系统诊治。入院前3个月出现急性尿潴留,在外院留置导尿。门诊B超检查提示前列腺增生,查PSA为14ng/ml,遂行前列腺穿刺活检,病理诊断为良性前列腺增生。入院前2个月外院以“前列腺增生”收入院,拟行经尿道前列腺切除术(TUR-P)治疗,但因膀胱镜置入困难改行耻骨上经膀胱前列腺切除术,术中探查见“盆腔纤维组织增生,质地坚韧,无弹性,膀胱显露困难,膀胱壁增厚”,改行膀胱造瘘术。为进一步治疗收入院。
【入院诊断】
盆腔脂肪增多症
良性前列腺增生症
【体格检查】
一般检查:体温:36.5℃,心率:70次/分,血压:130/80mmHg,呼吸:20次/分。
专科检查:双肾区无膨隆,无叩痛,输尿管走行区无压痛。膀胱区无膨隆,可见膀胱造瘘管。直肠指诊:仅触及前列腺下缘,质韧,未及结节,无压痛。
【辅助检查】
实验室检查:血常规、肾功能正常;PSA:11.0ng/ml。肾血流图:GFR:=49.2ml/min,L=49.2ml/min。尿动力:最大尿流率:6.4ml/s;平均尿流率:3.9ml/s;膀胱容量:133ml;残余尿:14ml。
影像学检查:
腹部B超:左肾积水(肾盂分离2.3cm),左输尿管扩张(0.9cm),前列腺:.8cm×4.5cm×4.3cm,前列腺体积:36ml。
MRI:左肾积水。
膀胱造影:膀胱拉长,明显上移(图46-1)。
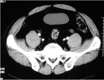
盆腔CT:盆腔内脂肪密度影增多,膀胱抬高前推(图46-2)。

图46-1 膀胱造影

图46-2 盆腔CT
全消化道造影:直肠、乙状结肠拉长伸直(图46-3)。
【治疗经过】
建议患者保留膀胱造瘘管,门诊随诊,注意左肾积水及肾功能变化。
【出院诊断】
盆腔脂肪增多症左肾积水

图46-3 全消化道造影
病例2
【病例资料】
患者男性,51岁。
主诉:间断尿频、尿急、排尿不畅2年,进行性加重半年。
现病史:2年前,患者无明显诱因出现间断尿频、尿急、排尿不畅。因感觉症状间断出现,并可自行缓解,故未就医。近半年患者上述症状明显加重且频繁,B超及静脉肾盂造影检查均提示双肾积水。发病以来,患者无腰腹疼痛、肉眼血尿及发热,时有便秘发生,严重时5日大便1次。
【体格检查】
血压:156/95mmHg。体胖(身高174cm,体重100kg):下腹饱满,未触及包块。直肠指诊:前列腺位置明显上移,仅触及前列腺下缘,直肠黏膜未发现异常。
【辅助检查】
实验室检查:血、尿常规未见异常。血生化检查:肝肾功能、电解质、葡萄糖正常,总胆固醇、甘油三酯、低密度胆固醇脂蛋白增高。
影像学检查:
B超:右肾盂最大直径2.9cm,右侧输尿管上段扩张,最大直径1.2cm;左肾盂最大直径1.8cm,左侧输尿管上段最大直径0.8cm。中度脂肪肝。
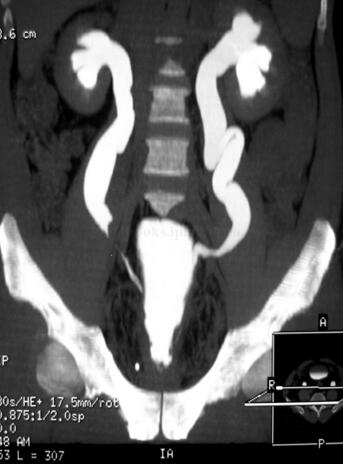
IVU(静脉尿路造影):双肾、输尿管中上段积水、扩张,近髂动脉处以下至膀胱入口长约5cm输尿管段明显变窄(图46-4)。
膀胱镜检查:见后尿道延长,膀胱颈抬高,膀胱颈两侧可见多个隆起,呈水泡状,表面光滑,双侧输尿管开口无法找到。膀胱活检病理提示:膀胱黏膜呈慢性炎症表现,其中部分黏膜有数个巢状移行腺体分布,考虑为腺性膀胱炎。
膀胱造影:膀胱位置上移、抬高,距耻骨联合约3cm,膀胱形似正置的“梨形”,盆部透明度明显增加(图46-5)。
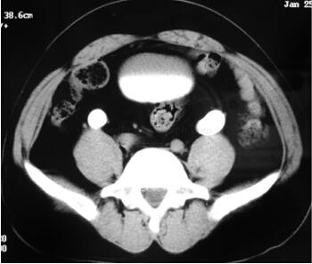
CT扫描:膀胱、直肠和乙状结肠被均一低密度(CT值为-40~-100HU)组织包裹和挤压,该组织无增强(图46-6~图46-8)。
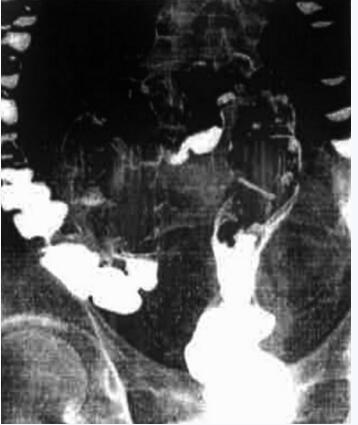
因本病例出现进行性排尿困难,为了解患者膀胱功能,我们为患者实施了尿流动力学检查。结果:残余尿量64ml,储尿期膀胱功能稳定、顺应性良好,排尿期膀胱逼尿肌功能正常,最大尿流率18ml/s,P-Q图示膀胱出口无梗阻。此外,为了解直肠和乙状结肠的情况,我们为患者实施了下消化道造影检查,结果提示直肠有受压、拉长表现(图46-9)。

图46-4 IVU:双肾及输尿管上、中段积水

图46-5 膀胱造影:膀胱位置上移、似正置的梨形

图46-6 CT扫描:膀胱及结肠被低密度组织(CT值-40~-100HU)所包裹和挤压

图46-7 CT扫描:患者腹部膨隆(肥胖),膀胱位置抬高,双侧输尿管扩张、积水明显
【术前诊断】
盆腔脂肪增多症
双肾积水
肥胖症

图46-8 CT三维重建:双肾及输尿管上、中段积水,输尿管下段狭窄,膀胱抬高、拉长

图46-9 下消化道造影:直肠有受压、拉长表现
高脂血症
高血压病
【治疗方案】
完善相关检查后行双侧输尿管膀胱再吻合术(开放手术)。
术中所见:我们实施连续硬膜外麻醉,采用开放手术方式,使用下腹正中切口、腹膜外路径,为患者行双输尿管膀胱再吻合术。
病变部位及特点:术中见膀胱、盆腔及双侧输尿管下段周围包裹大量脂肪组织,脂肪质地较硬,富含纤维。解剖过程中发现脂肪与周围组织界限不清,有粘连。
【术后诊断】
病理检查结果:双侧输尿管(下段)呈慢性炎症,管腔受压、部分有纤维化改变。输尿管周围被成熟的脂肪组织包裹,可见增生的脂肪组织。脂肪组织内有纤维结缔组织增生及炎性细胞浸润。
【术后诊疗】
术后给予患者口服坦索罗辛0.2mg/d以期改善尿频及排尿不畅症状,同时服用通便及降压药物。告知患者控制饮食减肥,多食用富含粗纤维的食品,每日饮水2L,勿憋尿。术后1个月为患者拔除双侧D-J管,膀胱镜检查未发现肿瘤,膀胱三角区可见少量腺泡状隆起;术后半年复查IVU,患者肾积水未加重,但改善不明显;患者尿频、排尿不畅及便秘症状较术前有所好转,体重下降5kg。
来源:《泌尿外科疑难病例讨论精选》
作者:那彦群 陈山
参编:王建业 王晓峰 李汉忠 万奔 马潞林
页码:215-217
出版:人民卫生出版社
- 评价此内容
- 我要打分
近期推荐
热门关键词
最新会议
- 2013循证医学和实效研究方法学研讨会
- 欧洲心脏病学会年会
- 世界帕金森病和相关疾病2013年会议
- 英国介入放射学学会2013年第25届年会
- 美国血液学会2013年年会
- 美国癫痫学会2013年第67届年会
- 肥胖学会 2013年年会
- 2013年第9届欧洲抗体会议
- 国际精神病学协会 2013年会议
- 妇科肿瘤2013年第18届大会
- 国际创伤压力研究学会2013年第29届…
- 2013年第4届亚太地区骨质疏松症会议
- 皮肤病协会国际2013年会议
- 世界糖尿病2013年大会
- 2013年国际成瘾性药年会
- 彭晓霞---诊断试验的Meta分析
- 武姗姗---累积Meta分析和TSA分析
- 孙凤---Network Meta分析
- 杨智荣---Cochrane综述实战经验分享
- 杨祖耀---疾病频率资料的Meta分析
合作伙伴
Copyright g-medon.com All Rights Reserved 环球医学资讯 未经授权请勿转载!
网络实名:环球医学:京ICP备08004413号-2
关于我们|
我们的服务|版权及责任声明|联系我们
互联网药品信息服务资格证书(京)-经营性-2017-0027
互联网医疗保健信息服务复核同意书 京卫计网审[2015]第0344号




会员登录

