腹膜后软组织肉瘤:手术完整切除是关键!
57岁女性,右侧腰部间断性疼痛7年,入院20天前B超检查发现右肾上腺区占位。经详细检查,疑似为肾上腺区恶性肿瘤,拟行开腹探查,右肾上腺区肿物及右肾切除术。术后病理显示(右侧)肾上腺区平滑肌肉瘤,未侵犯右肾上腺及右肾。腹膜后平滑肌肉瘤是一种少见的恶性肿瘤,彻底、完整的手术切除是治疗的关键。那么,手术中应注意哪些事项呢?详见以下病例——
【病例资料】
患者女性,57岁。
主诉:右侧腰部间断性疼痛7年。
现病史:7年前在当地医院按胆囊炎、胃炎予消炎、止痛治疗;3年前于外院诊断为神经性腰痛(具体不详)。20天前在外院行B超检查发现右肾上腺区占位,来我院进一步治疗。
【体格检查】
一般检查:心、肺、腹未见异常。
专科检查:外生殖器发育正常。双肾区无压痛、叩击痛,腹部及腰部未触及肿物,余无特殊阳性体征。
【辅助检查】
实验室检查:血肌酐:99mmol/L,血钾正常,血皮质醇正常,血醛固酮(ALD)正常。尿香草扁桃酸(VMA)正常。血去甲肾上腺素(NE):1.186pmol/ml升高0.883~1.091)。肾上腺素(E):0.012降低(0.453~0.567)。多巴胺(DA):0.021降(0.507~0.707)。
影像学检查:
B超:右肾上方、下腔静脉后方可探及一个不规则中低等回声区,大小约.0cm×6.0cm,形态不规则,局部与肝脏分界不清,其内可见少量血流信号。提示:右肾上腺区占位。血管超声:双肾动静脉及下腔静脉管腔清晰,其内血流通畅,未见明显异常回声。肾上腺肿物包绕压迫右肾动静脉及下腔静脉。
MRI:后腹膜腔肝肾间隙可见一个椭圆形肿块影,呈短T1、短T2信号,大小约6.1cm×5.3cm×7.3cm,其周可见长T2信号环。动态增强扫描:肿物明显不均匀强化,其内可见长T1信号区,右肾静脉受压向前移位。提示:右肾上腺区多血供实性肿瘤伴坏死、囊变。考虑:恶性肿瘤,肾上腺皮质腺癌可能性较大,不除外不典型嗜铬细胞瘤。
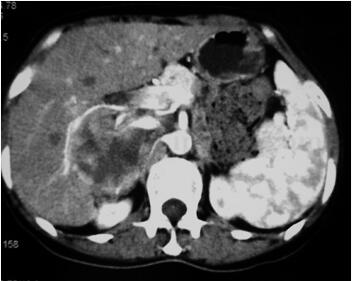
CT:右侧肾上腺区可见一巨大不均质软组织团块影,大小约6cm×6.5cm×7.2cm,增强扫描呈不均匀强化,肿块与周围组织分界欠清,右肾受压位置下移,下腔静脉受侵,其内密度不均,血管成像显示肠系膜上动脉中断,远端见狭窄后扩张,肝动脉未
见异常,双肾动脉未见明显狭窄。腹膜后未见明显肿大淋巴结,提示:右侧肾上腺占位,考虑恶性,下腔静脉及肠系膜上动脉侵犯(图49-2)。
IVP:提示双肾显影良好,未见明显异常。
肾血流动态显像:双肾血流灌注正常,双侧肾功能正常。

图49-2 CT:右侧肾上腺区可见一巨大不均质软组织团块影
【术前诊断】
右侧腹膜后肿物,肾上腺区恶性肿瘤?
【治疗经过】
拟行术式:开腹探查,右肾上腺区肿物及右肾切除术。
术前准备:口服α受体阻断剂2周,术前3天补充晶体、胶体液2000ml。术中情况:全身麻醉,平卧、右侧略垫高,腹部L形切口。
肿物位于右肾上方压迫右肾,表面不平,向上压迫肝脏及膈肌,向下压迫粘连右肾动、静脉,右肾动静脉有血管分支进入肿物。右肾动、静脉上方肿物侵犯下腔静脉约5cm。游离肿物、下腔静脉及右肾动、静脉,并于右肾动、静脉根部分别结扎切断,下腔静脉上侧壁钳部分阻断后,将肿物、右肾一并切除。切下的下腔静脉壁有肿物侵犯,下腔静脉缺损处用血管缝合线缝合。检查伤口创面无肿瘤残留,蒸馏水浸泡创面5分钟,生理盐水反复冲洗后关闭切口。
术后病理:(右侧)肾上腺区平滑肌肉瘤,未侵犯右肾上腺及右肾。
【讨论内容】
文献综述:软组织肉瘤是一种少见的恶性程度较高的肿瘤,占整个成人恶性肿瘤的1%,占儿童恶性肿瘤的15%,其较常发生于四肢、腹膜后、腹腔。
腹膜后软组织肉瘤最常见的病理类型为脂肪肉瘤、平滑肌肉瘤、恶性纤维组织肿瘤,以及其他一些少见的病理类型,如横纹肌肉瘤、尤文肉瘤、滑膜肉瘤等。男性与女性发病率无显著性差异,常发生于50~60岁之间。由于腹膜后肉瘤缺乏早期症状,就诊时肿物往往已经较大。腹膜后肉瘤缺乏特异性症状,常见就诊症状有腹部包块、疼痛、体重减轻等。一般体格检查、B超、CT、MRI等检查可以明确肿物。术前影像学检查较为重要,可以了解肿物大小,周围浸润情况,与周围脏器及血管的关系,为制订手术方案提供帮助。手术后病理可以确定肿物性质。为防止肿瘤扩散和针道种植,一般不建议术前行针吸穿刺活检;对于无法手术,需行放、化疗治疗时可考虑行针吸活检。
腹膜后软组织肉瘤常用的分期方法是美国癌症联合会(American Joint ommittee on Cancer)的分期方法。
彻底的手术切除是公认的最有效的治疗方法。完整切除肿物是手术的关键。由于肿瘤较大,常常挤压或侵犯邻近的脏器及血管,所以手术难度较大,且常常需要联合切除邻近脏器,如肾脏、肾上腺、脾脏、结肠等。腹膜后平滑肌肉瘤容易局部复发,可以血行转移至肺和肝,较少有淋巴结转移。腹膜后软组织肉瘤手术完全切除后的复发率高达49%~88%,中位复发时间1.3年。局部复发是主要的死亡原因,所以提高手术切除率是关键。
专家点评:手术时应该注意以下几点:①术前准备充分,对影像学资料进行仔细研究,确定手术方案,对手术范围及邻近的脏器及血管有充分的认识;②术中仔细分离,尽量将肿物及其包膜完整切除,对于肿物侵犯脏器的应尽可能施行联合脏器切除,对于血管受到侵犯的必要时予以切除,行血管重建,如无法完整切除肿物,也应部分或包膜内切除,延长患者生存时间;③必要时行术中切缘冰冻活检,争取一次彻底完整切除肿物。对于局部复发的肿瘤也要争取手术切除,复发次数越多,切除越困难,这与术后局部粘连以及肿瘤侵犯周围组织有关。
腹膜后软组织肉瘤是一种少见的恶性肿瘤,彻底、完整的手术切除是治疗的关键。
来源:《泌尿外科疑难病例讨论精选》
作者:那彦群 陈山
参编:王建业 王晓峰 李汉忠 万奔 马潞林
页码:236-238
出版:人民卫生出版社
- 评价此内容
- 我要打分
近期推荐
热门关键词
最新会议
- 2013循证医学和实效研究方法学研讨会
- 欧洲心脏病学会年会
- 世界帕金森病和相关疾病2013年会议
- 英国介入放射学学会2013年第25届年会
- 美国血液学会2013年年会
- 美国癫痫学会2013年第67届年会
- 肥胖学会 2013年年会
- 2013年第9届欧洲抗体会议
- 国际精神病学协会 2013年会议
- 妇科肿瘤2013年第18届大会
- 国际创伤压力研究学会2013年第29届…
- 2013年第4届亚太地区骨质疏松症会议
- 皮肤病协会国际2013年会议
- 世界糖尿病2013年大会
- 2013年国际成瘾性药年会
- 彭晓霞---诊断试验的Meta分析
- 武姗姗---累积Meta分析和TSA分析
- 孙凤---Network Meta分析
- 杨智荣---Cochrane综述实战经验分享
- 杨祖耀---疾病频率资料的Meta分析
合作伙伴
Copyright g-medon.com All Rights Reserved 环球医学资讯 未经授权请勿转载!
网络实名:环球医学:京ICP备08004413号-2
关于我们|
我们的服务|版权及责任声明|联系我们
互联网药品信息服务资格证书(京)-经营性-2017-0027
互联网医疗保健信息服务复核同意书 京卫计网审[2015]第0344号




会员登录

