老爷爷左腰疼痛数天 差点误诊为肾囊肿
80岁男性患者,以“左腰疼痛20天”为主诉门诊检查。经影像学检查,发现该患者左肾后方见不规则囊性密度病灶,壁薄,其内呈液体密度,囊壁明显强化;左输尿管上段内见类椭圆形高密度结石影。该患者最终被诊断为……
【病例介绍】
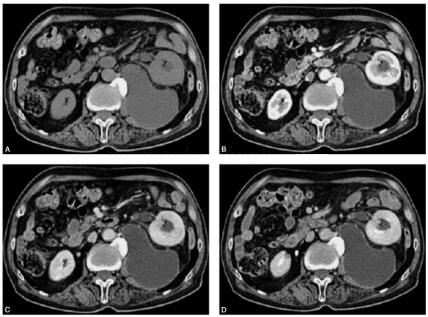
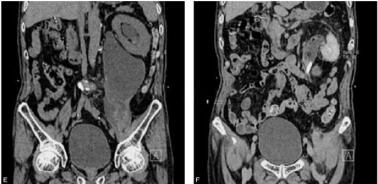
患者男,80岁,以“左腰疼痛20天”为主诉门诊检查(图1)。


图1 左肾后方见不规则囊性密度病灶,壁薄,其内呈液体密度,囊壁明显强化,内部未见强化,左肾后间隙延伸至髂腰肌下缘水平,其前上缘局部可见尖角状改变,与相邻左输尿管关系密切,邻近腰大肌受压萎缩,左髂肌受压。右输尿管未见异常。F图示左输尿管上段内见类椭圆形高密度结石影,其近端输尿管及左肾盂轻度扩张,左肾增大前移,肾周脂肪间隙见少许渗出絮状影
【诊断】
尿瘤
一、概述
肾脏损伤或肾集合系统破裂因诊断延误,在尿路内压的作用下,尿液通过尿路损伤后撕裂口或先天性薄弱区,漏出到尿路周围间隙内,称之为尿外渗。渗出的尿液促使周围脂肪液化,并激活局部成纤维细胞,外渗尿液形成纤维囊,即形成尿瘤,又称假性尿瘤或尿性囊肿,1935年由Crabtree首次描述,由于该病临床发病率低,同时病变一般较大且形状不一,影像学检查时很容易造成误诊。
【病因及发病机制】
尿外渗是尿瘤形成的基础,尿路内压升高和漏口的存在是尿外渗的两个必要条件,缺一不可。只有在尿路内压升高情况下,尿液才可能从尿路的破损区或薄弱区漏出到尿路周围,即尿外渗,进一步发展形成尿瘤。目前已基本明确各种原因引起肾周尿瘤的发病机制是一致的:各种病因直接或间接损伤和(或)侵犯肾、输尿管上段后,尿液通过受损或侵犯的肾集合系统及输尿管而外渗至肾周脂肪组织,并在局部积聚使脂肪液化、周围纤维组织包绕所成。这一过程始于伤后48小时,为期1~2周,形成的尿性囊肿,其囊壁无上皮。形成肾周尿瘤需具备3个基本条件:有能产生尿液的正常功能肾;肾集合系统或输尿管损伤使尿液能外渗到肾周;存在输尿管梗阻因素。在上述3个基本条件中,输尿管梗阻因素常不易发现。有学者认为外伤后输尿管腔内的血块及输尿管外的血肿压迫也常常是引起输尿管梗阻的原因;而在输尿管结石、癌肿转移的患者中,输尿管梗阻则是发生本病的首要条件。
【临床表现】
本病临床表现无特异性,患者常以腹部酸胀、疼痛或肿块为主诉,部分可有血尿、肿块可于外伤后1~2个月甚至数年后发现,压迫迷走神经时可出现腹胀、消化不良等症状,由于本病缺乏特异症状、体征,易被忽视。
【治疗及预后】
本病治疗的选择取决于有无明确输尿管梗阻因素的存在,对明显存在输尿管梗阻如输尿管损伤、结石、肿瘤者,应在解除梗阻病因的同时治疗尿囊肿。
1.对于有明显尿瘘管形成者,在行尿囊肿切除、囊肿开窗,后腹膜袋形缝合时,尚须作瘘管切除或于肾部分切除后作肾下盏与输尿管缝合,或者输尿管端端缝合并在输尿管内置支架引流等。
2.对于无明显尿瘘管者,近来多主张在B超或CT引导下经皮穿刺囊肿,置管引流至囊液消失,观察2~3天,B超复查肾周液性暗区消失后拔除引流管。
二、影像学表现
(一)B超
可以清楚显示肾周液性暗区,可作为本病的首选诊断方法。
(二)平片
输尿管走行区见软组织密度肿块,肾脏受压、移位,提示有腹膜后积尿(尿瘤),但诊断价值有限。
(三)IVU
对比剂可经输尿管渗漏至腹膜后间隙尿瘤内,后者表现为软组织密度肿块,通常位于肾周、肾旁或肾盂及输尿管周围,肾脏及输尿管受压移位并积水扩张。尿瘤外下缘多能清楚显示,而内上缘通常显示不清。腰大肌外缘阴影模糊或显示不清,尤其是上1/3段明显。
(四)CT
尿瘤CT影像上有以下表现:
1.部位
尿路周围间隙均可发生,但以肾周间隙多见,这是由于肾前、后筋膜的阻挡,使外渗尿液局限于肾周间隙的缘故。
2.形态
各种形态囊性病变,以圆形、圆形多见,大的尿瘤几乎占据肾周筋膜大部,呈肾周间隙、铸形或大小不等,串珠状,呈张力性囊性占位性表现。
3.大小
尿瘤一般较巨大,其最大截面常常在十几厘米以上,与尿瘤慢性持续漏出,症状不明显而未及时检查有关。
4.囊腔
与水密度相仿,但与病肾肾盂肾盏内尿液相比,尿瘤内的囊液密度略高,这与内含有少量细胞或少量纤维蛋白成分等有关。合并出血时,囊液的值增加更明显。增强扫描,囊液一般不强化,这与尿瘤内压较大有关。有文献报告,增强可见尿液渗漏的直接征象,即造影剂进入尿瘤内。当并发感染时,尤其是大肠埃希菌感染时,可出现气体影。
5.囊壁
厚薄不均,可有分隔,平扫囊壁及分隔密度一般较囊液高,容易分辨,强化不明显,强化强度低于肾实质(即使重度积水之肾实质),且各部囊壁及分隔强化强度可不一。
6.患肾表现
必有肾积水表现,且多为中、重度积水。
(五)MRI
尿瘤表现为长T1长T2液性信号区。漏出的尿液中可能混有血液,MRI则表现为混杂信号或尿瘤中显示有液平。若合并肾盂、输尿管积水,MRI水成像可准确显示输尿管梗阻部位、尿液漏出部位。
(六)放射性核素扫描
采用99mTc造影剂注射后2分钟可见造影剂自伤肾创口往外渗,20分钟后便显示形态,从而明确尿囊肿诊断。
三、鉴别诊断
肾区的其他囊性病变种类较多,尿瘤需要与不典型肾囊肿、肾周血肿、肾周脓肿、肾空洞型结核、囊性肾癌、肾积水、肾淋巴管瘤、中肾管源性囊肿、重复肾等鉴别。在鉴别时,首先要明确病变发生部位,即发生于肾实质还是肾周间隙的病变与肾实质交界面呈“杯口状”常提示病变发生于肾质实内。囊壁与肾质实在增强时,强化不一致,也可以提供鉴别依据。对于发生于肾周间隙的肾周血肿、肾周脓肿、中肾管源性囊肿等病变,其与肾积水没有必然联系,而梗阻性肾周尿瘤必然伴有肾积水表现,是鉴别诊断的重要特征。
【参考文献】
1.敬秋华,景芳,爱红.肾周尿囊肿4例超声误诊分析.中华超声影像学杂志,2003,12(1):52-53
2.王国耀,旭元,益鑫,等.肾周尿囊肿的诊断与治疗.宁波医学,2000,3(12):143-144
3.陈信坚,刘忠,黄文才,等.尿外渗及尿瘤的诊断.临床放射学杂志,2008,9(27):1239-1242
4.陈信坚,刘忠,郑湖民.梗阻性肾周尿瘤的表现.实用放射学杂志,2006,7(2):894-985
5.马腾骧.现代泌尿外科学.天津:天津科学技术出版社,2000:830
(环球医学编辑:余霞霞)
来源:《疑难病例影像诊断评述》
作者:郭启勇 卢再鸣
页码:175-177
出版:人民卫生出版社
- 评价此内容
- 我要打分
近期推荐
热门关键词
最新会议
- 2013循证医学和实效研究方法学研讨会
- 欧洲心脏病学会年会
- 世界帕金森病和相关疾病2013年会议
- 英国介入放射学学会2013年第25届年会
- 美国血液学会2013年年会
- 美国癫痫学会2013年第67届年会
- 肥胖学会 2013年年会
- 2013年第9届欧洲抗体会议
- 国际精神病学协会 2013年会议
- 妇科肿瘤2013年第18届大会
- 国际创伤压力研究学会2013年第29届…
- 2013年第4届亚太地区骨质疏松症会议
- 皮肤病协会国际2013年会议
- 世界糖尿病2013年大会
- 2013年国际成瘾性药年会
- 彭晓霞---诊断试验的Meta分析
- 武姗姗---累积Meta分析和TSA分析
- 孙凤---Network Meta分析
- 杨智荣---Cochrane综述实战经验分享
- 杨祖耀---疾病频率资料的Meta分析
合作伙伴
Copyright g-medon.com All Rights Reserved 环球医学资讯 未经授权请勿转载!
网络实名:环球医学:京ICP备08004413号-2
关于我们|
我们的服务|版权及责任声明|联系我们
互联网药品信息服务资格证书(京)-经营性-2017-0027
互联网医疗保健信息服务复核同意书 京卫计网审[2015]第0344号




会员登录

