右鼻腔反复出血3年未重视 结果影像学提示鼻腔内有粉红色肿物
58岁男患者,3年来无诱因反复右鼻腔出血,约每周一次,可以自行止血。2年前未系统治疗,近半年出现右侧鼻塞,右眼溢泪,右耳闷胀感。1个月来右面颊部麻木,右鼻背肿胀。经影像学检查,该患者被诊断为……
【病例介绍】
男性患者,58岁,3年来无诱因反复右鼻腔出血,约每周一次,可以自行止血。2年前未系统治疗,近半年出现右侧鼻塞,右眼溢泪,右耳闷胀感。1个月来右面颊部麻木,右鼻背肿胀。病来无视力下降及复视,听力正常。前鼻镜下见右侧鼻腔内粉红色肿物,表面不光滑,肿物表面有血性分泌物(图1、图2)。


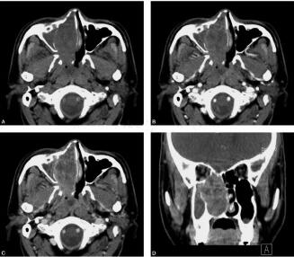
图1 鼻窦CT平扫、增强扫描及三维重组:图A、图B、图C为横断面平扫、增强早期及延迟期图像,图D为冠状面重建图像,图E、图F为横断面和冠状面骨窗。右鼻腔饱满,可见一软组织肿块影,内部密度相对均匀,边界清楚,形态欠规则,增强后可见不均匀中度强化;骨窗示周边未见明显骨质破坏,鼻中隔及右上颌窦内侧壁可见变薄、吸收及弧形移位

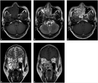
图2 鼻窦MR平扫及增强扫描:图A、图B、图C为横断面T1WI、T2WI及增强扫描,图D、图E为冠状面T2WI及T1WI增强扫描,可见右侧鼻腔内占位病变,形态不规则,内部信号混杂,增强后可见不均匀中度强化。右上颌窦及蝶窦可见黏膜增厚,呈长T1、长T2信号影,增强后可见线状环形强化
【诊断】
(右鼻腔)多形性腺瘤伴腺样囊性癌区域(图3)

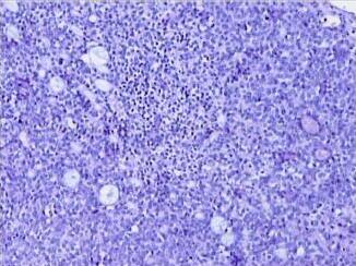
图3 病理图片
镜下可见瘤细胞梭形及多边形、大小较一致,胞浆界线不清,片状排列,间质黏液变性,部分区域可见瘤细胞呈腺样、筛网状排列,偶见核分裂。诊断为(右鼻腔)多形性腺瘤伴腺样囊性癌区域
一、概述
多形性腺瘤(pleomorphic adenoma)又称混合瘤(mixed tumor),多起源于大唾液腺,以腮腺最为多见,其次为颌下腺、舌下腺,也可发生于口腔内小涎腺及其他腺体组织。鼻部的多形性腺瘤临床上很少见,约占鼻腔鼻窦良性肿瘤的1.81%,多起源于鼻黏膜内黏液腺或异位的涎腺。
【临床特征】
鼻部多形性腺瘤发病年龄在30~60岁,男女发病率无显著性差异,好发于鼻中隔骨部及软骨部、鼻尖处,但亦有发生于鼻根、鼻翼、鼻底等部位者,发生于鼻腔外侧壁者少见,发生于鼻窦者罕见。临床上,疾病早期多无明显症状,或仅表现为单侧鼻阻塞、鼻出血或鼻部无痛性肿块,偶见涕中带血,随着瘤体的增大累及周围组织,可出现鼻背部畸形、面部畸形、眼球移位等。鼻镜下观察,病变多表现为单发肿块,边缘分叶状,表面光滑或不平,中等硬度,常可见完整包膜。
鼻部多形性腺瘤多为良性肿瘤,但易复发是其生物学特性之一,复发原因可能为术中瘤体破裂,瘤细胞种植,或者瘤体内包膜内瘤组织浸润,手术难以完全切除;恶变是鼻部多形性腺瘤的另一特征,恶变与多次手术刺激有关,也有学者认为与病史长短有关,病史长者恶变的概率高。
【病理改变】
大体观,瘤体表面光滑,中等硬度,瘤体切面可呈灰白或红色,偶呈棕色,可有小囊腔及黏液丝。
光镜下,瘤体组织结构与涎腺多形性腺瘤的结构相似,但鼻腔多形性腺瘤的瘤细胞成分较丰富,细胞小,呈片状、带状排列和形成小腺泡结构,黏液结构多见;且上皮成分在肿瘤组织结构中占主导,甚至可见瘤体完全由上皮成分组成。肿瘤由导管上皮细胞,肌上皮细胞,黏液、黏液样或软骨成分组成:导管上皮细胞多呈立方或矮柱状构成导管样结构,腺管外为梭形或星形的肌上皮,管腔内含有上皮性黏液。肌上皮细胞呈浆细胞样、梭形、透明呈片状或弥漫散在。纤维性间质可呈灶性分布,为黏液、黏液样或软骨样改变。黏液样组织的细胞呈星形和梭形,胞浆突彼此相连成网状;软骨样组织似透明软骨,软骨细胞大小不一,胞浆呈空泡状,有的细胞位于软骨样陷窝中,周围基质嗜酸性。偶可见角化的鳞状细胞灶,也可见圆柱瘤样结构灶,无或罕见核分裂。可见钙化或骨化灶。上皮成分多且有核分裂象者易恶变;而黏液成分多者属良性。
电镜观察可见两类瘤细胞,一类为上皮细胞,鳞状上皮或腺上皮,胞浆内含张力原纤维,细胞之间可见桥粒紧密连接,细胞底部为基底膜;另一类为肌上皮细胞,胞浆内有大量微丝,线粒体及粗面内质网不多,质膜下可见少量吞饮小泡。
关于鼻部恶性多形性腺瘤,WHO将涎腺多形性腺瘤恶变分为癌在多形性腺瘤中(包括侵袭性癌和非侵袭性癌)、癌肉瘤、转移性多形性腺瘤。癌在多形性腺瘤中又称多形性腺瘤恶性变,主要病理表现是良性多形性腺瘤的组织特征和上皮成分的恶性改变:非侵袭性癌是指恶变部分未超越原先存在的多形性腺瘤的范围,也有人称之为包膜内癌;侵袭性癌性是指发生癌变部分已超过多形性腺瘤范围,突破包膜,可出现有血管、淋巴管、神经、肌肉、脂肪侵犯;癌肉瘤或称真性恶性多形性腺瘤,呈浸润性生长,镜下呈双相癌性和肉瘤性成分;转移性多形性腺瘤在涎腺中极其罕见。
【免疫组化】
鼻部多形性腺瘤与腮腺多形性腺瘤在组织结构上有所差异,但其上皮细胞和肌上皮细胞的免疫组化反应是一致的。在鼻部多形性腺瘤中,细胞角蛋白(cytokeratins,CK)、胶质纤维酸性蛋白(glial fibrillary acidic protein,GFAP)、S-100蛋白、α-平滑肌肌动蛋白(alpha-smooth muscle actin,SMA)和波形蛋白(vimentin)表达呈阳性。其中腺上皮细胞细胞角蛋白表达阳性,而肌上皮细胞呈平滑肌肌动蛋白呈阳性表达。
二、影像学表现
目前CT、MR因较高的空间及软组织分辨率,有助于鼻部多形性腺瘤的诊断及治疗。
(一)CT
平扫见单侧鼻腔内肿块影,软组织密度,密度相对均匀,边界清楚,形态规则或不规则,周边骨质无破坏,多因肿块膨胀性生长而引起骨质吸收、变形,病变内部无钙化斑;增强扫描病变可见轻度不均匀强化。
(二)MRI
鼻腔内占位病变,形态规则或不规则,因肿瘤成分复杂信号变化较大,增强后可见轻度不均匀强化。MRI对周围组织显示较好,可以显示肿瘤导致的继发改变。例如,肿瘤阻塞鼻窦开口引起鼻窦炎症,MR可以清楚显示增厚鼻窦黏膜,使之与肿瘤自身相区分。
三、鉴别诊断
1.鼻息肉
多为中、青年发病,男性多见,病史较长,绝大多数发生于鼻腔,双侧多见,可向鼻窦内生长,部分息肉可见蒂结构,CT平扫表现为类圆形或不规则形软组织密度影,密度均匀一致,均合并鼻窦炎症并多为双侧,常伴有影响鼻腔及鼻窦引流的解剖变异,一般无鼻甲及窦壁骨质破坏;增强扫描多数息肉呈轻度不均匀强化,边缘部分较中心部分明显。
2.内翻性乳头状瘤
30岁以上男性多见,病史较长(多为1年以上),鼻镜检查鼻腔、后鼻孔见新生物,表面不光整,呈颗粒状,触之易出血,手术切除易复发。CT平扫表现为鼻腔或鼻窦内软组织肿块影,密度均匀,病变早期多为单部位发病,然后通过自然孔道及骨破坏区波及邻近鼻腔、鼻窦及窦周结构,一侧鼻腔和两个或两个以上鼻窦受累多见,故常见窦口开大;增强扫描可见软组织病变不均匀强化;肿瘤常引起良性骨破坏,肿瘤邻近骨内面受损、被侵独的同时,骨外面又有新骨形成,结果是骨质被肿瘤推移或包绕肿瘤,窦腔随之膨胀扩大。
3.血管纤维瘤
鼻咽部血管纤维瘤又称男性青春期出血性纤维瘤,常发生于10~25岁男性,多起源于鼻咽顶部、颞下窝、枕骨结节、蝶骨翼突及翼突内侧板的骨膜部,组织学上属良性肿瘤,但因其无包膜、具有浸润性生长等特点,可向周围结构内侵犯。早期病变局限在鼻咽部,晚期病变可累及鼻腔、鼻窦、翼腭窝、颅底甚至颅内。CT和MR检查是主要检查手段,表现为鼻咽部软组织肿块,密度或信号较均匀,形态可规则或不规则,可见向周围结构的侵犯,表现为翼腭窝的扩大增宽,上颌窦后壁受压前移、塑形,自然孔道增宽,骨质压迫塑性或吸收等,增强后可见显著强化,这也是其和其他鼻咽部病变的主要鉴别点之一。
4.恶性肿瘤
发生于鼻部常见的恶性肿瘤包括鼻咽癌及鼻窦鳞状细胞癌,尽管两者起源不同,但均有恶性肿瘤的特征。包括鼻咽部、鼻腔或鼻窦内软组织肿块影,密度欠均匀,部分较大病变内部可见出血、坏死,形态欠规则,与周围结构界限不清,多伴有周围骨质破坏,且可引起周围或颈部淋巴结转移,增强扫描仅有轻度强化,部分病变可见向眶内或颅内侵犯,或可引起远隔转移。
【参考文献】
1.周光耀,刘亚峰,张贤良,等.2353例鼻腔鼻窦肿瘤临床病理分析.耳鼻咽喉头颈外科,2003,10(1):11-13
2.陈卫明,朱寿林.鼻部多形性腺瘤6例临床分析.咸宁学院学报(医学版),2009,23(3):239
3.马大全.疾病涎腺.北京:人民卫生出版社,2000:389-391
4.黄忠华,李春华,胡川.鼻中隔多形性腺瘤1例.临床耳鼻咽喉头颈外科杂志,2007,21(22):1048-1049
5.孟美娟,王锦玲.鼻中隔混合瘤(附3例报道).陕西医学杂志,1995,24:545-546
6.邹剑,周光耀.鼻部多形性腺瘤.华西医学,2005,20(2):379
7.Batsakis JG.Tumors of head and neck:Clinical and pathologic considerations 2nd ed.Baltimore:Williams&Wilkins,1979:240
8.薛维喜,陈常召,任莉.腮腺多形性腺瘤的病理学观察.耳鼻咽喉头颈外科,1999,6(6):353-355
9.李祖国,王晓燕,王慧敏,等.鼻腔多形性腺瘤临床病理分析.广东医学,2007,28(3):400-402
10.杨小玲,朱剑,毛永荣.多形性腺瘤内癌病理形态及免疫组化研究.肿瘤防治研究,2001,28(6):444-447
11.Liao BS,Hilsinger RL Jr.Septal Pleomorphic Adenoma Masquerading as squamous Cell Carcinoma.Ear Nose Throat,1993,72:781-782
12.Lance EJ,Seth IR.Pleomorphic Adenoma of the Lateral Nasal Wall.Otolarnygol Head Neck Surg,2002,127:474-476
13.王辉,唐晨虎.鼻息肉69例CT诊断分析.中国误诊学杂志,2010,10(22):54-55
14.高云刚.鼻息肉的CT诊断.中国冶金工业医学杂志,2009,26(1):124
15.张晓亚,梁碧玲.鼻咽纤维血管瘤的CT、MRI诊断.影像诊断与介入放射学,2007,16(3):99-101
(环球医学编辑:余霞霞)
来源:《疑难病例影像诊断评述》
作者:郭启勇 卢再鸣
页码:225-228
出版:人民卫生出版社
- 评价此内容
- 我要打分
近期推荐
热门关键词
最新会议
- 2013循证医学和实效研究方法学研讨会
- 欧洲心脏病学会年会
- 世界帕金森病和相关疾病2013年会议
- 英国介入放射学学会2013年第25届年会
- 美国血液学会2013年年会
- 美国癫痫学会2013年第67届年会
- 肥胖学会 2013年年会
- 2013年第9届欧洲抗体会议
- 国际精神病学协会 2013年会议
- 妇科肿瘤2013年第18届大会
- 国际创伤压力研究学会2013年第29届…
- 2013年第4届亚太地区骨质疏松症会议
- 皮肤病协会国际2013年会议
- 世界糖尿病2013年大会
- 2013年国际成瘾性药年会
- 彭晓霞---诊断试验的Meta分析
- 武姗姗---累积Meta分析和TSA分析
- 孙凤---Network Meta分析
- 杨智荣---Cochrane综述实战经验分享
- 杨祖耀---疾病频率资料的Meta分析
合作伙伴
Copyright g-medon.com All Rights Reserved 环球医学资讯 未经授权请勿转载!
网络实名:环球医学:京ICP备08004413号-2
关于我们|
我们的服务|版权及责任声明|联系我们
互联网药品信息服务资格证书(京)-经营性-2017-0027
互联网医疗保健信息服务复核同意书 京卫计网审[2015]第0344号




会员登录

