5岁小男孩感冒后听力下降数月 出生时听力筛查未通过
5岁小男孩,出生时听力筛查未通过,6个月前感冒后出现听力下降,近期听力下降加重。该患儿怎么了?
1.临床资料
病例2-2-2,男性,5岁,感冒后双耳听力进行性下降6个月,出生时听力筛查未通过,6个月前感冒后出现听力下降,近期听力下降加重。
2.影像资料
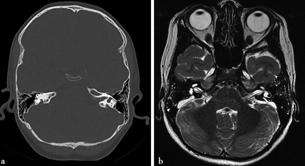
病例2-2-2:以耳部为中心的头颅CT扫描及重建图像。
3.诊断分析
(1)大前庭导水管畸形概述:
大前庭导水管畸形是一种先天性内耳畸形,主要表现为出生后波动性听力下降,由于前庭导水管先天发育异常导致其扩大,患儿一般出生时听力减低或接近正常,随着生长发育,多在3~4岁听力下降逐渐明显,感冒和外伤是常见的诱因。


图1a,CT显示双侧前庭导水管扩张呈三角形。1b,双耳T2WI显示双耳内淋巴囊扩张。1c~d,内耳水成像显示双侧内淋巴囊扩张
(2)大前庭导水管畸形影像特征:
轴位CT可见扩大的前庭导水管呈宽大三角形、裂隙状、囊袋状等。从半规管总脚到前庭导水管外口的1/2处直径(中点直径)>1.5mm,即诊断为前庭导水管扩大;或前庭导水管外口宽度即前庭导水管骨嵴至总骨脚后侧壁的垂直距离>2.0mm。MRI显示内淋巴囊扩大,呈三角形、椭圆形、弧形等,贴近于小脑半球表面,其前端内淋巴管增粗,边缘光整。
(3)大前庭导水管畸形鉴别诊断
1)Mondini畸形:
前庭导水管扩大,合并耳蜗螺圈短缺。
2)大前庭导水管综合征:
只有前庭导水管扩大畸形,不伴有其他内耳发育异常和其他器官系统的异常,伴感音神经性听力损失。
4.诊断
病例2-2-2,大前庭导水管综合征。
(环球医学编辑:余霞霞)
来源:《中国影像好医生病例集》
作者:郭启勇
页码:77-78
出版:人民卫生出版社
- 评价此内容
- 我要打分
近期推荐
热门关键词
最新会议
- 2013循证医学和实效研究方法学研讨会
- 欧洲心脏病学会年会
- 世界帕金森病和相关疾病2013年会议
- 英国介入放射学学会2013年第25届年会
- 美国血液学会2013年年会
- 美国癫痫学会2013年第67届年会
- 肥胖学会 2013年年会
- 2013年第9届欧洲抗体会议
- 国际精神病学协会 2013年会议
- 妇科肿瘤2013年第18届大会
- 国际创伤压力研究学会2013年第29届…
- 2013年第4届亚太地区骨质疏松症会议
- 皮肤病协会国际2013年会议
- 世界糖尿病2013年大会
- 2013年国际成瘾性药年会
- 彭晓霞---诊断试验的Meta分析
- 武姗姗---累积Meta分析和TSA分析
- 孙凤---Network Meta分析
- 杨智荣---Cochrane综述实战经验分享
- 杨祖耀---疾病频率资料的Meta分析
合作伙伴
Copyright g-medon.com All Rights Reserved 环球医学资讯 未经授权请勿转载!
网络实名:环球医学:京ICP备08004413号-2
关于我们|
我们的服务|版权及责任声明|联系我们
互联网药品信息服务资格证书(京)-经营性-2017-0027
互联网医疗保健信息服务复核同意书 京卫计网审[2015]第0344号




会员登录

