大妈30年前颈部有鸡蛋大包块 肿物增大后才予以重视
57岁女性,于30年前在无明显诱因下发现颈部有一鸡蛋大小包块,质软,未就诊。近3年来肿块逐渐增大,呈鹅蛋大小,且质地变硬。经影像学检查,发现该患者患有……
病例介绍
女性,57岁。于30年前在无明显诱因下发现颈部有一鸡蛋大小包块,质软,无特殊不适,未就诊,但近3年来肿块逐渐增大,呈鹅蛋大小,且质地变硬。自发病以来无明显消瘦,无胸闷、气短,无声嘶,无发热,无咳嗽咳痰,大小便无异常。
既往史:既往体健,否认肝炎、结核等传染病史,否认心脏病、糖尿病等慢性病史。否认外伤、手术及输血史。否认药物、食物过敏史。
专科情况
颈前左侧可见大小约12cm×10cm肿块,表面无红肿,无触痛,质软,界限清楚,可随吞咽移动,波动感不明显,颈软,气管居中,活动功能无异常。
影像学检查
颈部包块B超示:甲状腺左叶实质性包块。甲状腺血流及静态显像示:甲状腺左叶较大“凉”结节。瓦-米式位示:气管向右移位,无气管塌陷。
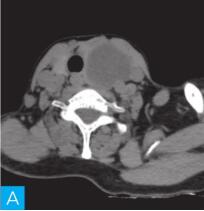
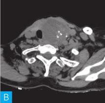
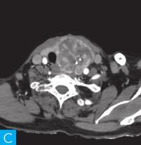
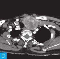
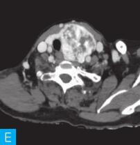
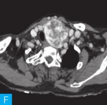
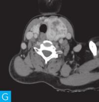
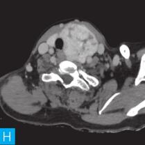
甲状腺CT检查:CT检查设备为256层iCT,病人采取仰卧位,扫描范围自外耳道平面至下颌角以下,常规扫描层厚为0.9mm、层间隔0.9mm,电压120kV,管电流280mA,矩阵512×512;经右肘静脉团注法增强扫描,碘海醇80ml,流速4ml/s,动脉期25秒扫描,静脉期60秒扫描。见图1。








图1 甲状腺CT
A、B.甲状腺CT横断面平扫;C~H.甲状腺CT横断面增强
问题1 根据以上甲状腺左叶肿块CT平扫图像,病变的特点不包括(单选)
A.囊性病变
B.囊实性病变
C.病变内钙化灶
D.气管、食管及左侧胸锁乳突肌受压
答案A 解析:甲状腺左叶病变边界清楚,形态较规则,密度不均匀,部分为实性改变,部分为囊性灶,其内可见斑点状粗大钙化灶,气管及食管向右推移,左侧颈总动脉向左后推移,胸锁乳突肌向左前推移。根据表现病变不是单纯囊性病变。
问题2 根据以上CT平扫及强化特点,甲状腺左叶病变诊断方向为(单选)
A.良性肿瘤
B.恶性肿瘤
C.肿瘤样病变
D.感染性病变
答案C 解析:该病灶病史时间长,无发热及疼痛;病变位于一侧甲状腺,边界清楚;甲状腺血流及静态显像示:甲状腺左叶较大“凉”结节。因此不考虑恶性肿瘤及感染性病变。病变强化特点为结节状改变,呈现肿块样,故考虑肿瘤样病变。
问题3 根据以上临床资料与CT表现特点,该病例最可能的诊断为(单选)
A.甲状腺炎
B.甲状腺腺瘤
C.甲状腺癌
D.结节性甲状腺肿
答案D
术中所见
充分暴露甲状腺,见甲状腺左叶约8.0cm×6.0cm大小实性包块,边界清楚,包膜完整,右叶未及异常,未见肿大淋巴结。决定行甲状腺左叶全切除,右叶部分切除。
病理:左侧甲状腺结节性甲状腺肿伴钙化,局灶性腺体重度增生。
诊断分析思路
1.本病例影像学表现提示的诊断线索
CT平扫可见甲状腺左叶圆形以低密度为主病灶,大小为8.0cm×6.5cm,边界清晰,边缘尚光整,其内密度不均匀,低密度区CT值18HU,部分密度稍高,并可见斑点状粗大钙化影;CT增强后,甲状腺左叶病变呈不均匀渐进性强化,结节状改变,动脉期强化区CT值99HU,静脉期CT值85HU,且强化范围增大,提示该病变的血供较为丰富,应该考虑肿瘤样病变,结节性甲状腺肿可能性大。
2.本病例的读片思路
(1)发现病变与认证:
本病例CT扫描发现起源于甲状腺较为容易,但要观察病变是囊性、实质性或囊实性及其供血,CT增强扫描十分必要,易于显示囊实性病变及其供血情况,其结节状改变更加显著,有助于判定病灶的血液供应情况。本病例基本征象为类圆形、边缘清晰、内粗大钙化、结节状强化之肿块。
(2)定位诊断:
定位诊断的含义,一是确定病灶位于什么部位,二是明确病灶可能来源于什么组织结构。对于本病例来说,病灶位于甲状腺左叶内,呈现肿块影,本病例的定位诊断较容易,但需要与邻近结构病变鉴别。
(3)定性诊断:
本病例特点为临床上57岁中老年女性,无任何自觉不适,病史较长,不考虑恶性肿瘤和感染性病变,恶性病变生长迅速,且一般有淋巴结及其他转移;感染性病变一般有疼痛、发热等不适症状。本病变需要与良性肿瘤鉴别,主要是和甲状腺腺瘤鉴别,甲状腺腺瘤常为单发,边界清楚;结节性甲状腺肿常为多发结节及肿物。本病例术前正确诊断对手术方式及预后很重要。
诊断与鉴别诊断
1.诊断要点
本病例的特点为中老年女性病人,颈前无痛性肿物。甲状腺左叶不对称性增大,其内多发散在不规则强化结节影,斑点状粗大钙化,肿块虽然很大,但与邻近气管、食管及血管等无明显侵犯或浸润征象,双侧锁骨上区未见肿大淋巴结。甲状腺血流及静态显像示:甲状腺左叶较大“凉”结节。因此,该病例考虑结节性甲状腺肿,需要全面结合临床、辅助检查及影像特点。
2.鉴别诊断
(1)滤泡性腺瘤:
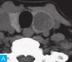
滤泡性腺瘤是甲状腺最常见的原发性良性肿瘤,其与结节性甲状腺肿伴腺瘤样增生均可表现为高、等或低强化,在影像学上极难鉴别,但前者多为单发结节、平扫密度均匀(图2),而后者则多为多发结节、密度不均,一旦结节性甲状腺肿伴腺瘤样增生表现为单发结节,两者无法单纯通过影像学进行鉴别。


图2 滤泡性腺瘤:A.颈部CT横断面;B.颈部CT横断面增强
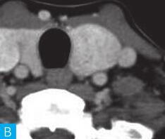
(2)滤泡细胞癌:
多单发,呈圆形或椭圆形,包膜厚而不均,可以发生钙化,表现为厚壁环状钙化,钙化常不连续;增强后,肿瘤内部常因血栓形成而强化程度低于周围甲状腺组织,呈低强化表现(图3),尤其是中央呈星芒状的低强化对于滤泡细胞癌的诊断具有重要价值。尽管部分滤泡细胞癌具有一定影像学特征,但大部分滤泡细胞癌仍缺乏特征性的影像学表现,其与滤泡性腺瘤和结节性甲状腺肿只能通过组织学进行鉴别。


图3 滤泡细胞:A.颈部CT横断面;B.颈部CT横断面增强
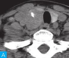
(3)乳头状癌:
甲状腺最常见的恶性肿瘤,CT常表现为形态不规则、咬饼征、增强后范围缩小/模糊和微钙化,易出现颈部淋巴结转移(图4)。


图4 乳头状癌:A.颈部CT横断面;B.颈部CT横断面增强
(4)淋巴瘤:
多见于桥本甲状腺炎病人,短期内肿块迅速增大,CT平扫及增强密度多较均匀,强化程度呈轻中度,周围血管呈包绕而非推移样表现,较大瘤体常向气管食管沟延伸(见图1)。
专家点评
该例病变位于甲状腺左叶,左叶不对称性增大,其内多发散在不规则强化结节影,斑点状粗大钙化,钙化周围可见星状伪影,提示钙化为长期慢性形成,而且钙化比较致密。肿块虽然很大,但与邻近气管、食管及血管等无明显侵犯或浸润征象。病变内部可见多发囊变区,增强检查实性部分呈明显均匀强化,包膜完整。双侧锁骨上区未见肿大淋巴结。提示病变为良性。病变多发,伴囊变、钙化,临床为中老年女性病人,颈前无痛性肿物。结节性甲状腺肿诊断明确。结节性甲状腺肿常常较大,术前影像学的评估包括:①病变的范围,累及胸骨下的范围决定手术治疗的方式,手术是否需要打开胸骨;②病变与气管的关系,是否具有气管软化,如果存在气管软化,要提醒临床医生手术过程中以及术后出现呼吸困难;③注意是否合并甲状腺癌,尤其是乳头状癌。要仔细寻找包膜是否完整,内部有无微小的乳头,以及邻近Ⅵ区或Ⅳ区是否伴有淋巴结转移。
(病例供稿:西安市中心医院 杨想春 邬小平)
(点评专家:天津市第一中心医院 夏爽)
(环球医学编辑:余霞霞)
来源:《中华医学影像案例解析宝典.头颈分册》
作者:王振常 满凤媛
页码:480-481
出版:人民卫生出版社
- 评价此内容
- 我要打分
近期推荐
热门关键词
最新会议
- 2013循证医学和实效研究方法学研讨会
- 欧洲心脏病学会年会
- 世界帕金森病和相关疾病2013年会议
- 英国介入放射学学会2013年第25届年会
- 美国血液学会2013年年会
- 美国癫痫学会2013年第67届年会
- 肥胖学会 2013年年会
- 2013年第9届欧洲抗体会议
- 国际精神病学协会 2013年会议
- 妇科肿瘤2013年第18届大会
- 国际创伤压力研究学会2013年第29届…
- 2013年第4届亚太地区骨质疏松症会议
- 皮肤病协会国际2013年会议
- 世界糖尿病2013年大会
- 2013年国际成瘾性药年会
- 彭晓霞---诊断试验的Meta分析
- 武姗姗---累积Meta分析和TSA分析
- 孙凤---Network Meta分析
- 杨智荣---Cochrane综述实战经验分享
- 杨祖耀---疾病频率资料的Meta分析
合作伙伴
Copyright g-medon.com All Rights Reserved 环球医学资讯 未经授权请勿转载!
网络实名:环球医学:京ICP备08004413号-2
关于我们|
我们的服务|版权及责任声明|联系我们
互联网药品信息服务资格证书(京)-经营性-2017-0027
互联网医疗保健信息服务复核同意书 京卫计网审[2015]第0344号




会员登录

