一患者鼻塞、头痛加重后 影像学检查提示筛窦区占位
55岁女性,1年多前无明显诱因出现鼻塞、头痛,进行性加重,行影像学检查提示筛窦区占位。该患者最后被诊断为……
疾病介绍
女性,55岁。鼻塞头痛1年余。病人1年多前无明显诱因出现鼻塞、头痛,进行性加重,行影像学检查提示筛窦区占位。发病来,病人精神可,胃纳可,睡眠可,二便正常,体重无明显改变。
影像方法
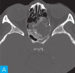
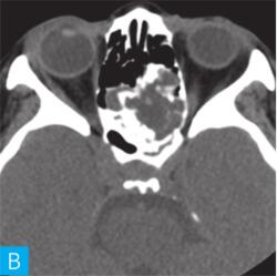
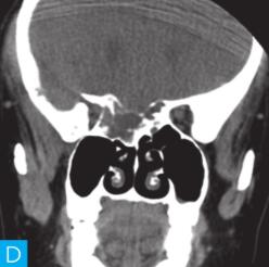
CT检查:检查设备为16层CT,病人采取仰卧位,扫描范围包括双侧鼻窦。扫描参数:层厚2.5mm,120kV,150mA,矩阵512×512。观察图像:软组织窗窗宽300HU,窗位60HU;骨窗窗宽2000HU,窗位400HU,见图1。




图1 鼻窦CT:A. CT横断面(骨窗);B. CT横断面(软组织窗);C. CT冠状面(骨窗);D. CT冠状面(软组织窗)
问题1 在提供的CT图像上,下列关于病灶的定位,正确的是(单选)
A.病变位于后组筛窦
B.病变位于前组筛窦
C.病变位于蝶窦
D.病变位于右侧上颌窦
答案A 解析:结合CT横轴位及冠状位图像,该病变位于后组筛窦,不难判断。
问题2 在提供的CT图像上,下列关于病灶的描述,正确的是(单选)
A.后组筛窦内病变,浸润性生长,骨质呈溶骨性改变
B.后组筛窦内病变,轻度膨胀性生长,骨质呈溶骨性改变
C.后组筛窦内病变,浸润性生长,邻近骨质增生、硬化
D.后组筛窦内病变,轻度膨胀性生长,邻近骨质增生、硬化
答案D 解析:该病例病变周围骨质在原有后组筛窦结构基础上出现轻度的骨质膨胀性改变,周围骨质可见明显硬化,故D为最佳答案。
问题3 根据以上临床资料与CT表现特点,该病例最可能的诊断为(单选)
A.筛窦炎
B.骨纤维异常增殖症
C.骨化性纤维瘤
D.真菌性鼻窦炎
答案C
术中所见
后组筛窦区肿物,病变组织呈灰红色,质软,部分呈骨样改变。
病理:骨化性纤维瘤。
诊断分析思路
1.本病例影像学表现提示的诊断线索
CT平扫示后组筛窦区见轻度膨胀性骨质破坏,内部密度混杂,可见斑片状、分隔状骨质密度影,部分呈磨玻璃改变,病变边缘清晰,可见薄层骨壳及硬化边。
2.本病例的读片思路
(1)发现病变与认证:
发现病变较为容易,主要分析其病变的良恶性。本病例基本征象为病变区域呈轻度膨胀性骨质破坏,邻近骨质呈轻度压迫性骨质吸收,边缘可见硬化边,提示病变慢性进展过程,病变内部密度欠均匀,以软组织密度以及磨玻璃样高密度为主。
(2)定位诊断:
对于本病例来说,病变定位不困难,病变主体位于后组筛窦区。
(3)定性诊断:
本病例CT上特点为轻度膨胀性压迫性骨质吸收,边缘骨质见硬化边,呈薄层骨壳表现,提示肿瘤良性可能;病变内部密度不均匀,可见骨性间隔及斑片状磨玻璃骨性密度影,提示病变可能为骨纤维源性肿瘤或肿瘤样病变。
诊断与鉴别诊断
1.诊断要点
本病例的临床表现无特异性。影像学表现具有一定特征性,具有诊断价值。病变主体位于后组筛窦,精准的病变定位是该病例的诊断前提。病变区骨质呈轻度膨胀性骨质破坏,边缘可见明显硬化边,提示病变进展缓慢,是良性病变的特征。另外,CT显示病变内部有大量磨玻璃样高密度影,提示病变区存在纤维化骨的成分,是骨纤维源性肿瘤或肿瘤样病变的重要影像学征象。结合病变发生的部位,好发于颅面骨的骨纤维源性良性肿瘤常见有骨化性纤维瘤、骨纤维异常增殖症。本例不支持骨纤维异常增殖症的地方在于,后者发生在颅面骨时一般呈多骨受累改变,同时病变本身骨质膨胀变形更明显。
2.鉴别诊断
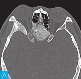
骨纤维异常增殖症:又称骨纤维结构不良,是一种先天非遗传性骨组织疾病,男女均可患病,通常在儿童时期起病,青少年后才出现症状,病程较长。骨纤维异常增殖症特点是病变部位骨质呈膨胀样改变,并累及周围自然孔道、裂隙及软组织,另一特点为跨越颅缝生长并累及多骨。CT图像上受累骨质可表现为囊样、磨玻璃样或硬化样改变。一般以一种类型为主,多种类型并存,相互间可转化。与骨化性纤维瘤相比,骨纤维异常增殖症受累骨质膨胀变形更为明显,且为多骨受累;同时少有骨化性纤维瘤出现的边缘硬化边及骨壳形成。见图2。


图2 骨纤维异常增殖症
A. CT横断面(骨窗);B. CT冠状面(骨窗)
专家点评
本病例定位不难,病变主体位于双侧后组筛窦区域。病变区呈轻度膨胀性骨质破坏,内部以软组织密度成分为主,正常筛窦的骨性间隔破坏消失,边缘骨质硬化,提示病变进展速度相对缓慢,对于病变的良恶性定性有一定价值,考虑病变为良性病变。
除此之外,我们需注意病变内部变异出现了大片状磨玻璃样骨性高密度影;一般来说,骨内病变出现磨玻璃密度,极大可能提示病变可能为骨纤维源性肿瘤,其病理上多数是由于纤维化骨不完全所致。需要了解的是,发生于颌面骨的骨纤维源性良性肿瘤或肿瘤样病变较为常见的是骨化性纤维瘤和骨纤维异常增殖症,两者在病理水平较难鉴别,但在影像学表现上有各自的特点。骨化性纤维瘤主要发生于颌面骨,一般以单骨受累为主,因组织分化不同,内部成分多混杂,可出现软组织密度、囊性密度、磨玻璃密度以及骨性密度等;另外骨化性纤维瘤外周一般会有较为明显的骨壳包绕,也是诊断要点。而发生于颌面骨的骨纤维异常增殖症,一般呈多骨受累,同时骨质膨胀变形较骨化性纤维瘤更为明显。
与骨化性纤维瘤比较,骨纤维异常增殖症骨质密度相对均匀,主要以磨玻璃样密度为主,外周出现骨壳的概率也较小。结合本病例,病变主要以单骨受累为主,呈轻度膨胀改变,其内部密度不均伴有磨玻璃密度改变,边缘呈薄层骨壳样改变,应该考虑到骨化性纤维瘤的诊断。
(病例供稿:青岛大学附属医院 董诚)
(点评专家:青岛大学附属医院 郝大鹏)
(环球医学编辑:余霞霞)
来源:《中华医学影像案例解析宝典.头颈分册》
作者:王振常 满凤媛
页码:96-98
出版:人民卫生出版社
- 评价此内容
- 我要打分
近期推荐
热门关键词
最新会议
- 2013循证医学和实效研究方法学研讨会
- 欧洲心脏病学会年会
- 世界帕金森病和相关疾病2013年会议
- 英国介入放射学学会2013年第25届年会
- 美国血液学会2013年年会
- 美国癫痫学会2013年第67届年会
- 肥胖学会 2013年年会
- 2013年第9届欧洲抗体会议
- 国际精神病学协会 2013年会议
- 妇科肿瘤2013年第18届大会
- 国际创伤压力研究学会2013年第29届…
- 2013年第4届亚太地区骨质疏松症会议
- 皮肤病协会国际2013年会议
- 世界糖尿病2013年大会
- 2013年国际成瘾性药年会
- 彭晓霞---诊断试验的Meta分析
- 武姗姗---累积Meta分析和TSA分析
- 孙凤---Network Meta分析
- 杨智荣---Cochrane综述实战经验分享
- 杨祖耀---疾病频率资料的Meta分析
合作伙伴
Copyright g-medon.com All Rights Reserved 环球医学资讯 未经授权请勿转载!
网络实名:环球医学:京ICP备08004413号-2
关于我们|
我们的服务|版权及责任声明|联系我们
互联网药品信息服务资格证书(京)-经营性-2017-0027
互联网医疗保健信息服务复核同意书 京卫计网审[2015]第0344号




会员登录

