老奶奶时不时发热还有咳嗽 多次检查才找到祸源
68岁女性,因“发热20余天”入院。入院前20天无明确诱因出现发热,为中低度热,最高体温38.5℃,无规律,口服解热镇痛药可降至正常,伴轻度咳嗽,少量黄痰,偶有心慌,可自行好转。该患者患有……
患者女性,68岁,于2012年6月20日入院。
一、主诉
发热20余天。
二、病史询问
(一)初步诊断思路及问诊目的
患者为老年女性,此次发病无明确诱因,主要表现为发热,同时伴有咳嗽、咳黄痰等呼吸道症状,故首先考虑呼吸道感染所致发热。所以问诊目的亦围绕呼吸道疾病相关的主要症状、伴随症状及病程经过,并同时鉴别有无其他部位感染以及非感染性发热。总之,对于以“发热”为主诉的患者,做到“打破沙锅问到底”、“从头到脚查到底”是十分必要的。
(二)问诊结果及临床分析
患者主要从事家务,未饲养宠物,曾居住深圳,近日返回大连。既往高血压病史8年,最高达200/70mmHg,口服拜新同治疗,平素血压控制可。入院前20天无明确诱因出现发热,为中低度热,最高体温38.5℃,无规律,口服解热镇痛药可降至正常,伴轻度咳嗽,少量黄痰,无咯血、胸痛、气短,偶有心慌,可自行好转,无晕厥、黑蒙,无夜间阵发性呼吸困难,无恶心、呕吐、腹痛、腹泻,无尿频、尿急、尿痛,无头晕、头痛,无皮疹、关节肿痛,食欲、睡眠可,二便正常,体重无下降。入院前一日乘坐3小时飞机后出现双下肢轻度水肿。自发病以来,自行间断应用解热镇痛药和物理降温,未应用抗生素,未诊治。既往青霉素过敏史。
【临床分析】
通过问诊可明确,患者亚急性起病,以发热为主要表现,伴随症状为咳嗽、咳黄痰,无全身系统性症状,故首先考虑呼吸系统感染。结合患者亚急性起病、病程20余日,需要注意除外肺部特殊致病菌,如肺结核感染或肺部慢性化脓性感染等。应在体格检查时重点注意肺部体征,同时进行完整体格检查。此外患者发热伴阵发性心悸,应在体格检查时格外注意心脏体征。
评价:初次病史采集,病史询问较为详细,对问诊内容进行的临床分析也合情合理。结合病史及临床分析来选择相关化验检查,也没有明显纰漏。
三、体格检查
体温38.1℃,呼吸20次/分,心率78次/分,血压140/70mmHg。神志清楚,呼吸平稳,腰部活动受限,卧床。周身皮肤无皮疹、出血点。口唇无发绀,气管居中,无三凹征。胸廓对称,双侧呼吸运动一致,双肺叩诊呈清音。双肺听诊未闻及干湿性啰音。心率86次/分,心界不大,心音强弱不等,心律绝对不齐,P2无亢进,主动脉瓣第二听诊区、二尖瓣听诊区可闻及1/6级收缩期吹风样杂音。腹部查体未见异常。双肾区无叩痛。脊柱无压痛、叩击痛。右下肢轻度水肿,下肢周径:左侧髌上15cm处周径38cm,髌下10cm处周径30cm;右侧髌上15cm处周径39cm,髌下10cm处周径33cm。
【临床分析】
问诊后初步考虑呼吸系统感染,但体格检查结果与初步考虑不符。患者体温升高,肺部听诊未闻及啰音,而心脏听诊却于主动脉瓣第二听诊区及二尖瓣听诊区闻及1/6级收缩期吹风样的心脏杂音,伴有心房纤颤体征,并发现右下肢增粗伴水肿。进一步实验室和影像学检查的主要目的是明确病变部位、病原学,并判断病情,以为治疗方案提供依据。
评价:患者虽呼吸系统症状较为显著,但肺部体征与之不符。经详细询问病史发现患者既往否认心脏病史、无心律失常,发病以来有阵发性心悸,并略有胸闷,尽管无明显呼吸困难,却仍不能忽视心源性因素所致发热,对于心脏杂音的解释,究竟是老年退行性瓣膜病,还是感染性心内膜炎所致,尚不能确定。查体发现右下肢增粗伴水肿,应考虑下肢深静脉血栓形成,甚至并发肺血栓栓塞症的可能,但右下肢水肿仅1天,而发热已经持续20余日,一元论解释这两个症状需要客观依据。
四、实验室和影像学检查
(一)初步检查内容及目的
1.感染方面:血常规、细菌培养、病原学筛查。
2.免疫方面:抗核抗体、抗双链DNA抗体、ENA谱以及ESR和CRP。
3.病灶部位:胸部CT、心脏彩超、双下肢血管超声。
(二)检查结果及临床分析
【检查结果】
1.血常规:白细胞计数13.78×109/L,中性粒细胞百分比83.7%,中性粒细胞计数10.76×109/L,血红蛋白132g/L),血小板计数332×109/L。
2.肺炎支原体、军团菌、流行性出血热抗体、结核抗体、肥达反应均阴性。
3.血细菌培养和痰细菌、真菌培养均阴性。
4.血沉93mm/h,C-反应蛋白57.2mg/L,免疫指标和甲状腺功能正常。
5.动脉血气分析(未吸氧):pH 7.514,PaO266.9mmHg,PaCO234.5mmHg。
6.D-二聚体:5300μg/L。
7.双下肢血管超声:双下肢股、腘静脉未见异常。
8.心脏彩超:主动脉瓣钙化伴关闭不全(轻度),心包积液(少量),左室收缩功能正常。
9.动态心电图:频发房早(2363个),部分连发出现,部分房早未下传,部分时间可见心室内差异性传导;阵发性房颤。
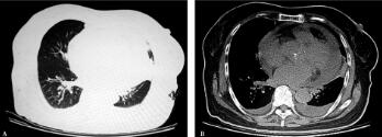
10.胸部CT(2012年6月20日):两肺支气管血管纹理束增多、紊乱;左肺上叶多发斑片状渗出影及索条影,左侧胸腔见条带形液性密度影;心脏影增大,心包少量积液(图1A肺窗、B纵隔窗)。

图1
【临床分析】
首先根据化验检查结果:①末梢血白细胞计数和中性粒细胞百分比均增高;②胸部影像学示双肺多发小片渗出影。结合患者的病史和体格检查结果,首先考虑为感染性发热,引起发热的原因为社区获得性肺炎(community acquired pneumonia,CAP)。由于病原学尚不清楚,需要给予经验性抗感染治疗,观察病情的同时继续查找其他感染灶。关于体检发现主动脉瓣第二听诊区、二尖瓣听诊区1/6级收缩期吹风样杂音,入院时即考虑感染性心内膜炎可能,因为经胸壁心脏彩超(TTE)未见瓣膜赘生物,于是想当然地除外了感染性心内膜炎。双下肢血管超声未见血栓,肺栓塞临床评估低度可能,无急诊行CT肺动脉造影指征。D-二聚体升高考虑与感染和发热相关。
评价:初步诊断“社区获得性肺炎(左侧)、反应性胸膜炎、低氧血症”明确,然而单纯应用社区获得性肺炎能够完全解释患者的临床症状——发热吗?显然存在以下疑问:患者胸部CT影像学炎症程度和白细胞升高程度均为轻度,而血沉和C-反应蛋白以及D-二聚体均明显升高,二者不匹配。
五、初次治疗方案及临床效果
【方案】
左氧氟沙星0.5g,每日1次,静脉滴注。
【理由】
CAP最主要的病原体包括肺炎链球菌,葡萄球菌属、流感嗜血杆菌、卡他莫拉菌以及非典型病原体,如肺炎支原体、肺炎衣原体以及军团菌等。初始治疗常是经验性的,进一步完善病原学检查并指导治疗。结合患者自诉曾有青霉素过敏史,故选用“呼吸喹诺酮”兼顾肺炎链球菌和非典型病原体经验性抗感染治疗。
【临床疗效】
患者体温逐渐下降,约一周后体温恢复正常,咳嗽好转,痰色转白,胸闷气短好转。体温正常一周后出院。2012年7月5日复查血常规:白细胞计数11.6×109/L;中性粒细胞百分比72.11%,中性粒细胞计数8.37×109/L。动脉血气分析(未吸氧):pH 7.498,PaO284.7mmHg,PaCO237mmHg。心电图:窦性心律,心率80次/分。血沉:90mm/h。D-二聚体:4170μg/L。
评价:经验性抗感染治疗有效,血象好转,低氧血症纠正,具备出院标准,针对初次诊治过程,可谓“诊断明确,治疗有效”。同时初诊医生似乎也意识到这个显而易见的临床表现与化验检查的不匹配,体现在患者出院前的复查。遗憾的是,初诊医师对这个至关重要问题仅仅体现在“认识”的层面,没有真正做到锲而不舍地“探究”:为什么CAP患者体温平稳一周,ESR和D-二聚体仍居高不下?是否存在其他感染灶或非感染性疾病?是否存在静脉血栓以外的凝血和纤维蛋白溶解系统的激活?上述疑问的悬而未解和定期随访概念的淡薄最终导致了临床过程的曲折延伸。
六、病情反复再次入院
(一)再次入院病史
患者出院后1月体温正常,未行系统随访和规律复诊。2012年8月10日再次出现发热,为中高度热,最高体温38.8℃,晨起及夜间发热为主,胸闷气短进行性加重,偶有轻度心慌,无晕厥、黑蒙,无咳嗽、咳痰、咯血。于2012年8月15日再次入院。
(二)再次入院体格检查
体温38℃,呼吸18次/分,心率80次/分,血压160/80mmHg。神志清楚,呼吸平稳,颈静脉无怒张,无奇脉。睑结膜无苍白,球结膜无水肿,口唇无发绀,气管居中,无三凹征。胸廓对称,双侧呼吸运动一致,双肺叩诊呈清音,双肺呼吸音对称粗糙,无干湿性啰音。心前区无隆起,未触及震颤,叩诊心界不大,心率80次/分,律齐,P2无亢进,主动脉瓣第二听诊区和二尖瓣听诊区可闻及3/6级收缩期吹风样杂音。双下肢对称无水肿。余查体同首次入院。
(三)实验室及影像学检查
1.血常规:白细胞计数15.63×109/L,中性粒细胞百分比64.6%,中性粒细胞计数10.11×109/L,血红蛋白109g/L,血小板计数417×109/L。
2.血沉:79mm/h;C-反应蛋白77.2mg/L;抗链球菌溶血素“O”127IU/ml,类风湿因子<10.5IU/mL。
3.D-二聚体22mg/L。
4.动脉血气分析(未吸氧):pH 7.526,PaO260.6mmHg,PaCO235.7mmHg。
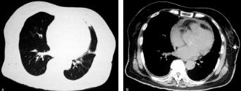
5.胸部CT(2012年8月13日):两肺支气管血管纹理束增多、紊乱,左肺上叶多处片状影及索条影(与2012年6月20日比较未见变化)。双侧胸腔积液,心脏影增大,心包内可见积液(图2A肺窗、B纵隔窗)。

图2
(四)临床分析
患者第一次入院诊断“社区获得性肺炎”,经合理规范抗感染治疗病情好转,体温平稳1个月余,再次发热,伴进行性呼吸困难,心脏杂音较前增强。应考虑以下问题:①是否再发肺部感染导致发热?是否存在特殊病原体或耐药菌感染?②是否存在肺外感染病灶?尤其感染性心内膜炎?③是否为非感染性疾病——肿瘤或结缔组织疾病?患者再次发热,呼吸系统症状不明显,胸部影像学未发现新的病灶,可除外肺部感染。再次入院查体发现心脏杂音较前增强,结合患者进行性加重的呼吸困难,胸部CT提示心影增大、双侧胸腔积液,临床高度疑诊感染性心内膜炎,进一步复查心脏彩超。D-二聚体进行性升高,需要再次评估肺血栓栓塞症可能性。患者无静脉血栓诱因,呼吸困难原因首先考虑心脏疾病,即肺血栓栓塞症临床评估仍为低度可能。
评价:第一次入院时社区获得性肺炎的诊断是合理的,且经过规范抗感染治疗病情好转,也使CAP诊断得到进一步“验证”,似乎“合情合理”。但患者一月后的再次发热和体格检查以及辅助检查结果,似乎推翻了“原本已明确”的首次出院诊断。诊治过程并没有按照我们预想的进行,病情出现了意外的变化,就像我们无意间走上了“歧路”,回不到预想的终点。这时候感到很迷茫,该怎么办呢?最重要的就是要找到这条“歧路”的起点位于哪个症结,有了这个突破点,很多问题就可以迎刃而解了。这个病例的新突破点就是心脏彩超。
七、再次复查相关检查
血培养(3次):草绿色链球菌生长,对复方新诺明、氯霉素、利福平、克林霉素、头孢曲松、万古霉素敏感。
经胸壁心脏彩超(TTE):主动脉瓣轻度狭窄并轻中度关闭不全,主动脉瓣附加回声(感染性心内膜炎症可能性大)。室间隔增厚,左房增大(41mm×57mm)。
经食道超声(TEE):主动脉瓣显著增厚、回声增强、瓣体及无冠窦壁可探及多个略强回声团块附着,其中无冠瓣体及窦壁上的较大,分别为1.9cm×0.4cm、1.1cm×0.6cm;左无冠窦后侧可探及一囊性膨出,大小为2.6cm×1.5cm。结论:主动脉瓣及主动脉无冠窦赘生物形成,可疑主动脉窦壁夹层动脉瘤形成。
评价:TTE和TEE均证实了感染性心内膜炎的诊断,从而也一元论的解释了“悬而未解”2个月之久的案件——“体温降而又升、ESR和CRP持续高而不降、D-二聚体进行升高”,原来都是感染性心内膜炎在“惹祸”。
八、调整治疗方案及疗效
(一)新方案
头孢曲松2.0g,每日2次,静脉滴注,应用6周。
(二)疗效
患者经抗感染治疗,病情好转,体温正常,血常规正常,D-二聚体1890μg/L,血沉38mm/h,C-反应蛋白15.6mg/L。2012年9月10日复查经胸壁心脏彩超提示赘生物较前减少。复查胸部CT提示左上叶斑片影较前(2012年6月20日和2012年8月15日)吸收(图3A肺窗、B纵隔窗)。经心外科会诊考虑病情好转,无心衰、感染扩散以及栓塞等并发症,故无手术指征,于2012年10月9日出院,定期门诊随诊。

图3
【最终诊断】
亚急性感染性心内膜炎社区获得性肺炎
九、对本病例误诊误治的思考
感染性心内膜炎(infective endocarditis)指因细菌、真菌和其他微生物(如病毒、立克次体、衣原体、螺旋体等)直接感染而产生心瓣膜或心室壁内膜的炎症,有别于由于风湿热、类风湿、系统性红斑狼疮等所致的非感染性心内膜炎。过去将本病称为细菌性心内膜炎(bacterial endocarditis),由于不够全面现已不沿用。感染性心内膜炎典型的临床表现有发热、杂音、贫血、栓塞、皮肤病损、脾肿大和血培养阳性等。本病的“经典”临床表现已不十分常见,且有些症状和体征在病程晚期才出现,加之患者曾多次接受抗生素治疗以及细菌学检查技术的受限,给早期诊断带来困难。
(一)经食道超声心动图对早期诊断感染性心内膜炎有重要作用
初次接诊该患者虽疑诊感染性心内膜炎,但行经胸壁超声心动图未见赘生物,未进一步行食道超声以验证。经食道超声心动图(TEE)由于对细微病变(<5mm的赘生物)的高分辨率以及更近的观察距离、更好的观察角度,提高了对感染性心内膜炎的瓣膜赘生物、穿孔、腱索断裂、脓肿、瘘管等病变的诊断能力。其诊断敏感性从经胸壁超声心动图(TTE)的30%~70%提高到了80%~90%。因此对怀疑感染性心内膜炎而常规经胸壁超声心动图(TTE)阴性者,应进一步做多平面TEE检查。
(二)关于社区获得性肺炎的鉴别诊断
在本病例诊治过程中,尽管临床医师始终在进行CAP的鉴别诊断,例如,特殊病原体检查、寻找其他部位感染灶和非感染性发热的筛查,但误诊原因在于:对于发热+肺部阴影的患者,诊断“CAP”后,只要体温恢复正常,临床症状好转,即认为诊断明确,治疗有效;而忽视了胸部CT影像学吸收程度的随访。该患者因再次发热入院时(出院1个月余),胸部CT未见变化,说明该病例首次住院病情好转,是抗感染有效,仍不能反过来证明“CAP”的诊断,甚至似乎推翻“CAP”诊断;只有第三次复查胸部CT(3个月)发现原发病灶吸收,才能证实首次“CAP”诊断明确;8个月后(2013年2月20日)随诊复查胸部CT(图4A肺窗、B纵隔窗)提示左上叶病灶吸收,进一步明确“CAP”诊断。因此,社区获得性肺炎和亚急性感染性心内膜炎均诊断明确,引起反复发热的原因是亚急性感染性内膜炎。从该病例的诊治过程,我们进一步认识到“一元论”的观点是“双刃剑”,需要临床医师灵活运用。

图4
(三)老年人感染性心内膜炎的病变特点
发病的基础以钙化性心瓣膜病和风湿性心脏病为主,赘生物分布以主动脉瓣为主。老年钙化性心脏瓣膜病又称老年退行性心脏瓣膜病,是一种与年龄相关的瓣膜退行性变。随着年龄的增加,心血管系统逐渐老化,处于血流不断冲击的瓣膜及其支架易发生退行性变、纤维化和钙化,造成主动脉瓣和(或)二尖瓣关闭不全及狭窄,当肌部与膜部交界处有钙化时,可累及心脏传导系统,引起心律失常。退行性心脏瓣膜病是老年人特有的瓣膜病变,其病理变化为瓣膜结缔组织退行性变、纤维化、增厚及钙化,从而引起瓣膜及其支架的功能异常。
老年患者的心脏杂音以主动脉瓣区杂音为主,是由于退行性心脏瓣膜病以主动脉瓣受累最为常见。其原因可能是主动脉瓣在血液循环中所受的冲击力最大,且主动脉的无冠瓣与主动脉瓣环相连,此处易形成血液漩涡,导致胶原纤维受损。
老年退行性心脏瓣膜病有其独立的危险因素,包括年龄(随年龄每10年危险性增加2倍)、性别(男性主动脉硬化或钙化发生率比女性高2倍;女性二尖瓣环钙化发生率高)、吸烟(吸烟使危险性增加35%)、高血压(有高血压病史者危险性增加20%)。
综上所述,本病例误诊误治关键点是:①抗感染有效不能反过来证明社区获得性肺炎诊断明确;②经胸壁超声阴性,不等于可除外感染性心内膜炎。
小贴士
感染性心内膜炎(IE)Duke诊断标准(修订版)
主要标准:
(一)血培养阳性(符合以下至少一项标准)
1.两次不同时间的血培养检出同一典型IE致病微生物(如草绿色链球菌,链球菌,金黄色葡萄球菌)。
2.多次血培养检出同一IE致病微生物(2次至少间隔12小时以上的血培养阳性;所有3次血培养均阳性,或4次及4次以上血培养阳性)。
3.Q热病原体1次血培养阳性或其IgG抗体滴度>1∶800。
(二)心内膜受累证据(符合以下至少一项标准)
1.超声心动图异常(赘生物、脓肿、人工瓣膜裂开)
2.新出现的瓣膜反流
次要标准:
1.易患因素:心脏本身存在易患因素,或静脉药物成瘾者。
2.发热:体温≥38℃。
3.血管征象:主要动脉栓塞,感染性肺梗死,细菌性动脉瘤,颅内出血,结膜出血,以及Janeway损害。
4.免疫性征象:肾小球肾炎,Osler结节,Roth斑以及类风湿因子阳性。
5.致病微生物感染证据:不符合主要标准的血培养阳性,或与IE一致的活动性致病微生物感染的血清学证据。
确诊:满足2项主要标准,或1项主要标准+3项次要标准,或5项次要标准。
疑诊:满足1项主要标准+1项次要标准,或3项次要标准。
大连医科大学附属第一医院 张文涵 季颖群
(环球医学编辑:余霞霞)
来源:《防范与走出常见诊疗误区:呼吸疾病临床病例精粹》
作者:康健
页码:75-82
出版:人民卫生出版社
- 评价此内容
- 我要打分
近期推荐
热门关键词
最新会议
- 2013循证医学和实效研究方法学研讨会
- 欧洲心脏病学会年会
- 世界帕金森病和相关疾病2013年会议
- 英国介入放射学学会2013年第25届年会
- 美国血液学会2013年年会
- 美国癫痫学会2013年第67届年会
- 肥胖学会 2013年年会
- 2013年第9届欧洲抗体会议
- 国际精神病学协会 2013年会议
- 妇科肿瘤2013年第18届大会
- 国际创伤压力研究学会2013年第29届…
- 2013年第4届亚太地区骨质疏松症会议
- 皮肤病协会国际2013年会议
- 世界糖尿病2013年大会
- 2013年国际成瘾性药年会
- 彭晓霞---诊断试验的Meta分析
- 武姗姗---累积Meta分析和TSA分析
- 孙凤---Network Meta分析
- 杨智荣---Cochrane综述实战经验分享
- 杨祖耀---疾病频率资料的Meta分析
合作伙伴
Copyright g-medon.com All Rights Reserved 环球医学资讯 未经授权请勿转载!
网络实名:环球医学:京ICP备08004413号-2
关于我们|
我们的服务|版权及责任声明|联系我们
互联网药品信息服务资格证书(京)-经营性-2017-0027
互联网医疗保健信息服务复核同意书 京卫计网审[2015]第0344号




会员登录

