患者发热、脓血痰伴肺部空洞影,病因是什么?
43岁男性,发热、咳嗽1个月余,咯血20余天。胸部影像学特点是病初为肺部实变影,后进展为肺部不规则厚壁空洞。此病例是感染性疾病还是非感染性疾病所致?
一、入院疑诊
(一)病例信息
【病史】
男性患者,43岁,因发热、咳嗽1个月余,咯血20余天,于2011年2月11日住院治疗。患者于2010年12月中旬无诱因出现发热,最高体温达38℃,伴咳嗽,无畏寒、寒战、咳痰,自服头孢类抗生素三四天后热退,上述症状减轻。2010年12月底患者再次出现发热,最高体温达39.3℃,伴干咳、右胸隐痛,自服退热药和抗感染药(具体不详),效果不佳。患者于2011年1月5日在当地县医院就诊,胸部CT检查示右肺中叶实变影,考虑为肺炎,给予头孢曲松(3g/d)联合左氧氟沙星(0.4g/d),最高体温一度下降至37.5℃。1月13日患者体温再次上升至38.5℃,伴咳嗽、咳少量黄痰,继续原方案治疗;至1月20日,最高体温达39.3℃,且咳嗽加重,咳大量咖啡色脓臭痰(100~200ml/d),遂在当地医院住院治疗。查血常规WBC 11.3×109/L,N% 78.9%,血红蛋白、血小板正常;痰培养阴性;复查胸部CT示右肺中叶实变影和空洞较前缩小。住院期间,给予头孢吡肟(4g/d)、左氧氟沙星(0.4g/d)联合抗感染治疗15天,患者每天最高体温达38.9℃,症状无改善。2011年2月上旬,患者逐渐出现鲜红色血痰(50~100ml/d),加强止血治疗后咯血量减少,2月9日复查胸部CT示右肺实变影较前增大,并出现厚壁空洞,遂于2月10日至我院门诊就诊并住院治疗。患者发病以来,无明显呼吸困难,精神、食欲欠佳,大、小便正常;近1个月内体重减轻13kg。
患者为长途运输司机,既往身体健康,无高血压、糖尿病病史;吸烟20年,20支/天,未戒;嗜酒20余年,每周7~8两高度白酒,2010年12月上旬曾酗酒一次,但否认饮酒后意识丧失和呕吐。婚育、家族史无特殊。
【体格检查】
体温38.7℃,心率97次/min,呼吸17次/min,血压126/75mmHg。神清语利,浅表淋巴结不大,无杵状指、发绀,右锁骨中线第4肋间叩诊浊音,右前胸听诊呼吸音降低,双肺未闻干湿啰音;心、腹查体无异常,双下肢不肿。
【影像学检查】
患者起病至住院前的系列胸部CT见图1~图3。

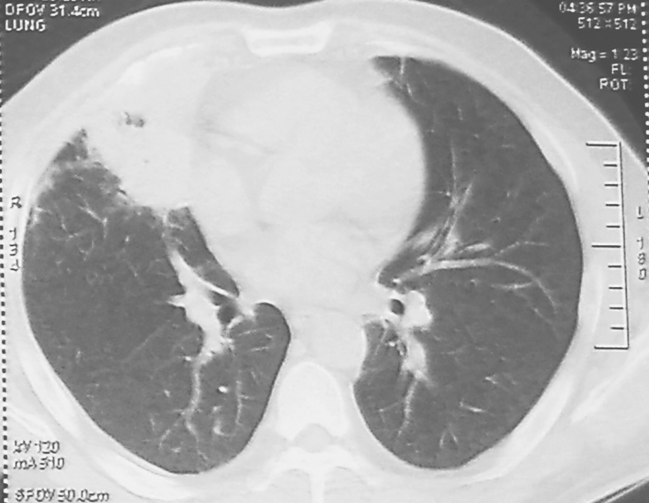
图1 胸部CT表现(2011-01-05)
胸部CT可见右肺中叶实变

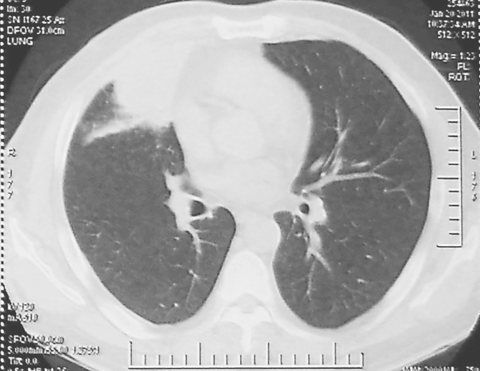
图2 胸部CT表现(2011-01-20)
胸部CT可见右肺中叶实变影较前缩小

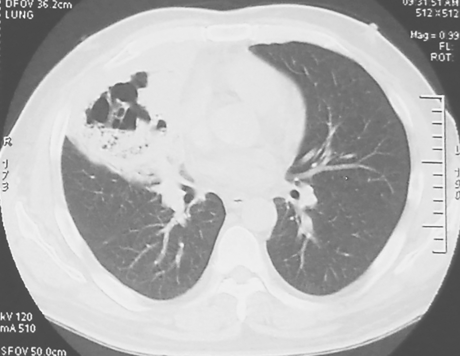
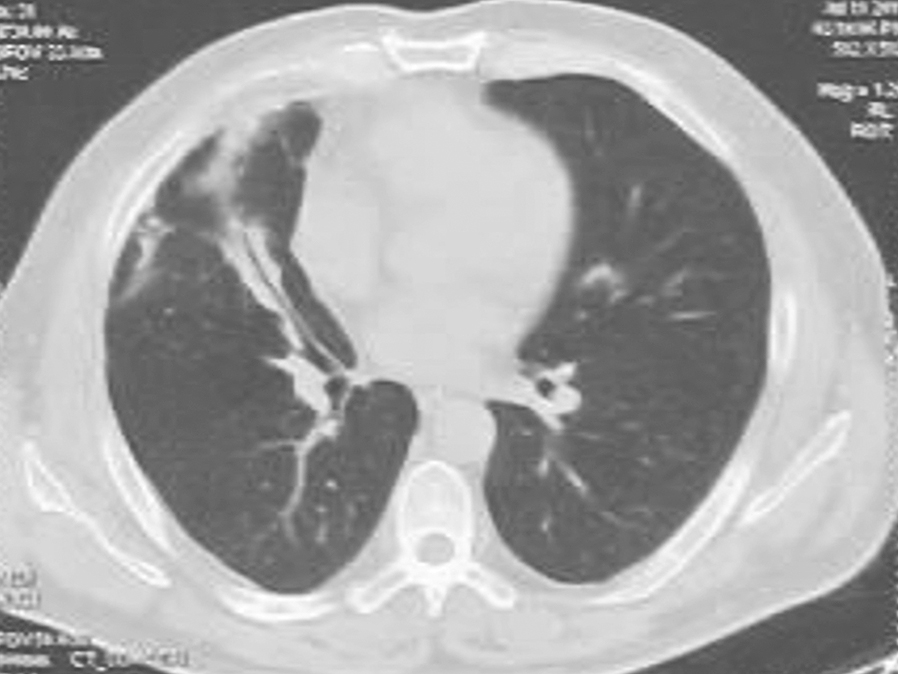
图3 胸部CT表现(2011-02-09)
胸部CT可见右肺实变影较前增大,并出现不规则厚壁空洞
(二)临床思辨
【临床特点】
1.患者为中年男性,急性起病,病程迁延,病情反复。
2.主要症状为中高度发热、咳嗽、脓血痰。
3.胸部影像学特点是病初为肺部实变影,后进展为肺部不规则厚壁空洞。
4.广谱抗生素治疗一度有效。
【思辨要点】
1.此病例是感染性疾病所致还是非感染性疾病?
本病例为急性起病,外院多程经验性广谱抗生素治疗一度有效,病情得以缓解,首先考虑感染性疾病可能性大,但鉴于患者为中年男性,有多年吸烟史,广谱抗生素抗感染疗效不能维持,肺部病灶由实变发展为不规则厚壁空洞,故须排除肺部恶性肿瘤所致阻塞性肺炎。在病情许可的情况下,可以安排支气管镜检查或经皮肺穿刺活检以进一步明确。另外,对于发热、肺部空洞,多种广谱抗生素治疗无效,且后期出现咯血等临床表现,还需要排除非感染性疾病,如抗中性粒细胞胞质抗体(ANCA)相关血管炎,但该病一般还会有鼻窦等上呼吸道、肾或其他系统受累,可以查血清ANCA、尿沉渣镜检等进一步明确。
综上所述,本例患者的初步诊断以感染性疾病可能性大,病情反复可能与以下因素有关:①抗生素未完全覆盖感染病原体,尤其是厌氧菌;②未足量、足疗程应用抗生素;③继发其他病原体感染,如真菌、结核分枝杆菌等;④存在支气管内肿瘤性病变、异物等导致支气管阻塞性基础病变。
2.导致患者发病的可能病原体有哪些?
鉴于本病例以肺部感染性疾病可能性大,故须进一步甄别导致感染的病原体。容易导致肺部空洞的病原体有如下几类:
(1)革兰阳性球菌
1)肺炎链球菌:是导致社区获得性肺炎最常见的病原体,一般青霉素、二/三代头孢类抗生素疗效良好,部分可以出现上述药物耐药,但对于新型喹诺酮类抗生素、大环内酯类抗生素、万古霉素等多有良好反应,仅有很少一部分是超耐药型,一般见于免疫抑制状态下、既往反复使用多种抗生素的患者。本例患者既往身体健康,发病初期抗感染有部分疗效,但后期无效(病程不超过6周),不属于超耐药菌易感人群。
2)金黄色葡萄球菌(简称金葡菌):患者病初抗生素治疗有效,后期疗效欠佳,应考虑敏感金葡菌感染的可能。但一般金葡菌肺炎进展迅速,可很快进展为双肺多发病变,多数患者有病初皮肤破损或感染。本病例从病情演变特点看,病变一直局限在右中肺叶,进展也不是很迅猛,故金葡菌感染证据不足。
(2)革兰阴性杆菌
肺炎克雷伯菌是比较容易引起肺部空洞影的革兰阴性杆菌。肺炎克雷伯菌肺炎既往曾称弗利兰德杆菌肺炎,多见于老年人,特别是有基础疾病者。疾病早期可以累及胸膜引起脓胸,累及心包可引起血行播散和脑膜炎。
胸部CT表现有3种类型:①片状实变型或脓肿形成型:为克雷伯菌肺炎的典型表现,可见大片状实变影,边界模糊,靠近叶间裂处则比较清晰,局部实变影向后突出形成典型的钟乳石征。病变可在短期内形成空洞,洞壁多较光滑,一般直径很少超过2cm;②小叶肺炎型或多发斑片状实变型:表现为两侧或一侧肺内多发斑片状实变影,边界模糊,部分实变影可以相互融合或在短期内出现小空洞;③肺纹理增多型:较为少见。表现为双侧或一侧肺内,或一叶肺内纹理增多、增粗、模糊。本例者患既往身体健康,没有反复抗菌药物应用史,CT表现也不是典型的肺炎克雷伯菌肺炎表现,且四代头孢联合新型喹诺酮类抗生素经验治疗无效,诊断肺炎克雷伯菌感染证据不足。
(3)真菌感染
曲霉菌感染容易出现肺部空洞阴影,但肺曲霉菌病通常发生在处于免疫抑制状态、抵抗力下降人群,仅广谱抗真菌药物治疗有效。本例患者没有免疫抑制的基础病,且前期使用抗细菌感染的抗生素有一定疗效,因此可排除肺曲霉菌病。
(4)其他少见菌感染
诺卡菌、放线菌等感染也可以出现空洞影。诺卡菌是机会致病菌,经皮肤、呼吸道感染,一般见于处于免疫抑制状态者,但也可见于免疫力正常者,CT影像以实变影为主,新型喹诺酮类药物治疗有效。放线菌是一种革兰染色阳性兼性厌氧菌,是人类口腔、胃肠道及女性生殖道的正常菌群。肺放线菌感染的胸部影像学表现与病程有关,主要为片状实变影、空洞、多发肺内结节、局限性胸膜增厚、胸腔积液,长期未得到有效治疗的患者还可出现胸膜瘘、胸壁窦道形成等。
二、诊治过程及确诊
(一)临床信息
根据以上分析,初步判断本病例为感染性疾病,并且可能为目前抗感染治疗方案未覆盖的病原体(尤其是厌氧菌属)所致,但尚须排除支气管内占位性病变、异物所致阻塞性肺炎。患者入院后,于2月11日起,给予覆盖可疑病原体的广谱抗菌药物,复方磺胺甲𫫇唑(磺胺甲𫫇唑与甲氧苄啶磺胺,4片/天)、美罗培南(1g,每8小时1次)和左氧氟沙星(0.5g/d)联合治疗(覆盖可能的多种病原体),体温高峰逐渐下降,抗感染治疗有效,但因胃肠道反应较重,于3天后停用复方磺胺甲𫫇唑。拟进一步请微生物专业技术人员合作,床旁取样、接种,行支气管镜检查,以尽早明确诊断,采取针对性治疗。
【辅助检查】
1.常规检查
(1)血常规:WBC 14.02×109/L,N% 79.7%,Hb 138g/L,PLT 212×109/L。
(2)尿常规、便常规、肝肾功能、凝血功能均正常。
2.感染相关检查
(1)G试验、GM试验均正常;T淋巴细胞刺激γ-干扰素释放试验、腺苷脱氨酶、肺炎支原体IgM、军团菌抗体、肺炎衣原体、布氏杆菌抗体均阴性;肺癌标志物、癌抗原系列均阴性;抗核抗体、抗中性粒细胞胞质抗体均阴性。
(2)ESR 84mm/1h,CRP 260.4mg/L(正常< 8mg/L)。
3.痰病原学检查
两次痰样本找瘤细胞阴性;血培养阴性;痰真菌涂片、痰涂片抗酸染色、弱抗酸染色及痰细菌培养、真菌培养(各2~3次)均阴性。后行床旁接种深部痰液,检查结果为痰涂片散在革兰阳性球菌,可见中性粒细胞内革兰阳性杆菌。厌氧菌培养(2次)结果为麦氏/龋齿放线菌和内氏放线菌。
4.超声检查
心脏彩超、腹部及泌尿系B超未见异常。
最后诊断:放线菌感染所致肺脓肿。
【治疗过程】
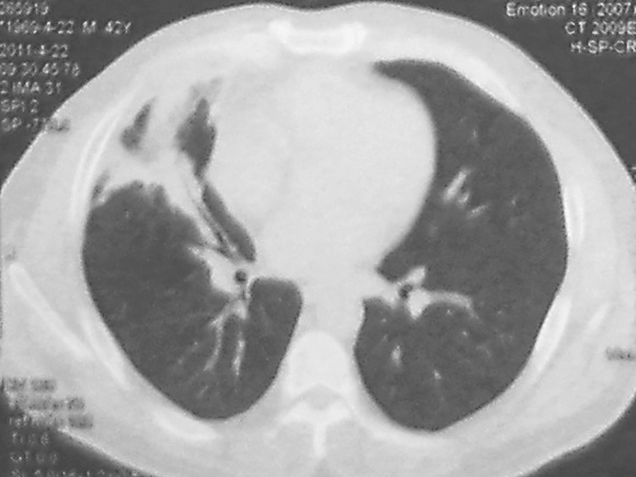
自2月18日起,患者体温高峰<37.3℃,采取抗感染降阶梯治疗,头孢哌酮联合舒巴坦(3g,每12小时1次)、克林霉素(0.6g,每12小时1次)、左氧氟沙星(0.5g,每天1次)5天,然后氨苄西林联合舒巴坦(3g,每8小时1次)、多西环素(0.1g,每天2次)7天。患者体温持续正常,咳嗽、咳痰明显减轻,于3月11日出院。出院后,口服抗生素多西环素(0.1g,每天2次)、阿莫西林克拉维酸(0.625g,每天2次)4个月。期间,患者于3月22日在当地医院行支气管镜检查,未见异常;4月22日复查胸部CT示右肺空洞消失,遗留粗大索条、局限性胸膜病变(图4);7月28日复查胸部CT示右中叶索条影(图5)。

图4 复查胸部CT表现(2011-04-22)

图5 复查胸部CT表现(2011-07-28)
(二)临床思辨
放线菌是一种革兰染色阳性兼性厌氧菌,是人类口腔、胃肠道及女性生殖道的正常菌群,共有6个亚型可在人类致病(以伊氏放线菌最多见),人与人之间不传染。人放线菌感染中,以头面部最多见,其次为腹盆部、肺部。肺放线菌病以40~50岁男性多见,男∶女≈2∶1,可能与男性口腔卫生偏差以及容易发生颜面外伤等因素有关。此外,肺放线菌感染在临床上易被漏诊或误诊为肺部肿瘤、肺结核、肺真菌感染、肺脓肿等。
肺放线菌病的易患因素有:①口腔卫生差;②酗酒;③某些基础慢性肺病,如肺气肿、慢性支气管炎、支气管扩张;④支气管管腔内异物堵塞及肿瘤等支气管管腔占位性病变;⑤长期使用激素、细胞毒性药物或接受放化疗等机体免疫力低下的人群。包括肺放线菌感染在内的多种放线菌感染性疾病多为混合性细菌感染,可混合2~10种细菌感染,以放线菌为优势菌种。这些混合感染的细菌是否更有利创造厌氧或微需氧的微生态环境以利于放线菌繁殖,尚需研究证实。有文献报道,仅针对放线菌感染应用抗菌药物后,混合感染的其他病原体也能根除。
肺放线菌病的临床表现以咳嗽、咳痰、胸痛最为多见;咯血也不少见(31%~60%),发热的发生率为15%~21%。尚无放线菌特异性血清学诊断指标。肺放线菌感染的胸部影像学表现与病程相关,表现为肺内病变多样性和胸膜纵隔病变等。关于如何确诊肺放线菌感染,尚无金标准,需综合考虑多个因素:①病原学培养阳性;②病变部位活检见硫黄颗粒;③临床和影像学表现;④针对放线菌的治疗反应。
放线菌是一种兼性厌氧菌,标本接触空气放置超过20分钟,培养结果阳性的可能性就会明显减小。因此,对于疑诊为放线菌感染的病例,建议采取经支气管镜等方法取深部分泌物及经CT引导下肺穿刺组织培养,并及时与微生物专业技术人员沟通,最好采取床旁接种,必要时适当延长培养时间以提高阳性率。鉴于肺放线菌感染可发生于支气管管腔内占位性病变的患者,若应用放线菌敏感抗生素治疗无效,需要警惕可能合并支气管管腔内占位性病变,及时行支气管镜检查及必要的手术切除。
早期、足量、足疗程敏感抗生素治疗能明显改善肺放线菌感染患者的预后。对于放线菌感染,首选青霉素类药物,青霉素过敏者可选用四环素、多西环素等。对于青霉素过敏的孕妇,则推荐使用克林霉素、红霉素。此外,碳青霉烯类抗生素对放线菌感染也有很好的疗效,头孢曲松可能有效,但氟喹诺酮类抗菌药物对放线菌无效。对于合并支气管胸膜瘘、脓胸、致命性大咯血、疑诊合并恶性肿瘤、正规抗感染治疗后反复发作者,需手术治疗。目前,对于肺放线菌感染的抗菌疗程尚未达成共识,既往推荐为6~12个月,近来多个研究认为,敏感抗生素至少需使用2~3个月;若手术完整切除病灶,则可适当缩短抗菌疗程。
精要回顾与启示
本例患者为中年男性,无基础疾病,临床表现为发热、咳脓血痰、胸部影像见肺部空洞,初期经验性广谱抗菌药物治疗后临床症状、胸部影像学曾一度好转,但沿用原抗感染方案治疗时出现病情反复。其诊断首先考虑为感染性病变,针对病情反复,需要考虑是否存在病原谱未被抗菌药物恰当覆盖、继发少见病原体感染(如真菌、结核分枝杆菌等)、存在支气管内肿瘤性病变或异物等导致支气管阻塞性的基础病变,需要及时与微生物专业技术人员沟通,制订最佳取样和病原体培养方案,以尽早明确诊断。
参考文献
[1]VANDER POLL T.Opal SM1 Pathogenesis,treatment,and prevention of pneumococcal pneumonia.Lancet,2009,374(9700):1543-1561
[2]LIU C,BAYER A,COSGROVE SE,et al.Clinical practice guidelines by the infectious diseases society of america for the treatment of methicillin-resistant Staphylococcus aureus infections in adults and children :executive summary.Clin Infect Dis,2011,52:285-292.
[3]OKADA F,ANDO Y,HONDA K,etal.Clinicalandpulmonarythin-sectionCTfindingsinacuteKlebsiellapneumoniaepneumonia.EurRadiol,2009,19(4):809-815.
[4]RAMMAERT B,GOYET S,BEAUTE J,et al.Klebsiella pneumoniae related community-acquired acute lower respiratory infections in Cambodia :clinical characteristics and treatment.BMC Infect Dis,2012,12: 3.
[5]KOSMIDIS C,DENNING DW.The clinical spectrum of pulmonary aspergillosis.Thorax,2015,70:270-277.
[6]黄慧,陆志伟,徐作军.诺卡菌感染26例临床特点分析.中华结核和呼吸杂志,2010,33:651-657.
[7]KIM SR,JUNG LY,OH IJ,etal.Pulmonaryactinomycosisduringthefirstdecadeof21stcentury:casesof94patients.BMCInfectDis,2013,13:216.
[8]SUN XF,WANG P,LIU HR,etal.ARetrospectiveStudyofPulmonaryActinomycosisinaSingleInstitutioninChina.ChinMedJ(Engl),2015,128:1607-1610.
知识来源
人卫知识数字服务体系
- 评价此内容
- 我要打分
近期推荐
热门关键词
最新会议
- 2013循证医学和实效研究方法学研讨会
- 欧洲心脏病学会年会
- 世界帕金森病和相关疾病2013年会议
- 英国介入放射学学会2013年第25届年会
- 美国血液学会2013年年会
- 美国癫痫学会2013年第67届年会
- 肥胖学会 2013年年会
- 2013年第9届欧洲抗体会议
- 国际精神病学协会 2013年会议
- 妇科肿瘤2013年第18届大会
- 国际创伤压力研究学会2013年第29届…
- 2013年第4届亚太地区骨质疏松症会议
- 皮肤病协会国际2013年会议
- 世界糖尿病2013年大会
- 2013年国际成瘾性药年会
- 彭晓霞---诊断试验的Meta分析
- 武姗姗---累积Meta分析和TSA分析
- 孙凤---Network Meta分析
- 杨智荣---Cochrane综述实战经验分享
- 杨祖耀---疾病频率资料的Meta分析
合作伙伴
Copyright g-medon.com All Rights Reserved 环球医学资讯 未经授权请勿转载!
网络实名:环球医学:京ICP备08004413号-2
关于我们|
我们的服务|版权及责任声明|联系我们
互联网药品信息服务资格证书(京)-经营性-2017-0027
互联网医疗保健信息服务复核同意书 京卫计网审[2015]第0344号




会员登录

