老爷爷右肾占位2个多月 查出了…
80岁男性,主因“查体发现右肾占位病变2月余”就诊。经查体、实验室检查、影像学检查,发现该患者患有……
【主诉】
患者男,80岁。主因“查体发现右肾占位病变2月余”就诊。
【临床资料】
1.查体
体温36.0℃,脉搏80次/分,呼吸18次/分,血压153/71mmHg,患者一般情况可,神清,查体合作,对答正确,颈软,气管居中,双肺呼吸音清,心界未见增宽。
2.实验室检查
无异常。
3.磁共振成像参数
应用1.5T超导型MRI仪,8通道体部线圈,患者取仰卧位。获取体轴横断位呼吸触发FSE脂肪抑制T2WI(TR/TE=6666.67ms/120ms)、增强三维LAVA序列的T1WI(TR/TE=2.88ms/1.36ms),5mm层厚,并应用呼吸门控。
应用钆喷酸葡胺(Gd-DTPA)30ml,经肘静脉以高压注射器3ml/s流率注入,随之以0.9%生理盐水15ml冲刷,15秒后扫描。MRI表现见图5-6-1。
【鉴别诊断】
1.肾透明细胞癌
典型肾癌表现为圆形、椭圆形、不规则形肿块。平扫T1WI肿瘤信号多低于正常肾实质,T2WI肿瘤呈混杂信号,边界清晰,可合并出血、坏死、钙化。增强扫描肿瘤可呈轻到中度强化,且可不均匀强化。膨胀性生长肿瘤可表现为肾脏局部突起,边界清,周围组织受压形成假包膜。浸润性生长者与肾实质分界不清,肾脏轮廓多无明显变化。
2.肾血管平滑肌脂肪瘤
肿瘤内多可见典型脂肪信号,而肾透明细胞癌较少见脂肪,但可见脂肪变性,且肾透明细胞癌可见静脉瘤栓,周围淋巴结或其他部位转移。
3.肾盂癌
很少引起肾轮廓改变,肾盂、肾盏多呈离心性受压移位。但若肾盂癌侵犯到肾实质时,则较难从影像学上鉴别。
4.嗜酸细胞瘤
病变呈圆形或者类圆形,T1WI呈低信号,T2WI呈高信号;因为肿瘤内无脂质,反相位信号不降低;如果出现中央瘢痕,则出现肿瘤内T1WI低信号、T2WI高信号的星形影像,增强扫描,该星形影强化,提示非液化坏死,此为与肾细胞癌的鉴别要点之一。

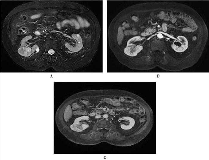
图1右肾透明细胞癌
在体轴横断位T2WI+FS图像上(A),显示右肾肿块稍高信号,其内部可见点片状更高信号,肿块由低信号包围,增强扫描动脉期(B)肿块显著不均匀强化,延迟期增强扫描图像(C)上肿块呈低信号,提示对比剂快速流出
【最终诊断】
右肾透明细胞癌
【专家点评】
肾癌多发生于40岁以上,男女之比为2∶1~3∶1。肾透明细胞癌是肾细胞癌中最常见的类型,约占75%以上,大多数为单发,肾透明细胞癌比其他类型肾细胞癌预后差,其癌细胞常排列成片状、条索状、腺泡状或管状,很像肾小管,肿瘤和相邻的肾实质分界清楚,可有假包膜,假包膜由压缩的肾实质和纤维组织组成,肿瘤中央可有纤维条索,将其分割成不规则的小叶,肿瘤内可有坏死、出血、囊变和钙化。血尿、疼痛和肾区肿块为肾癌三大最为常见症状,常为无痛性间歇性全程血尿。
影像学检查是肾透明细胞癌诊断的直接依据,可明确诊断并对肿瘤进行分期。肾透明细胞癌细胞质可出现脂肪变性,MRI反相位可出现信号减低,发生率约为60%。肿瘤内可有坏死、出血、囊变和钙化,致信号不均匀,假包膜具有特征性。肾髓质癌临床较少见,包括肾乳头管癌、肾集合管癌,其起源于肾髓质Bellini管或肾集合管远端,故与来源于肾皮质的肾透明细胞癌不同,前者更具侵袭性生长特性,无包膜,易累及肾集合系统。
(陈敏)
(环球医学编辑:余霞霞)
来源:《磁共振成像对比剂的临床应用》
作者:李坤成
页码:276-277
出版:人民卫生出版社
- 评价此内容
- 我要打分
近期推荐
热门关键词
最新会议
- 2013循证医学和实效研究方法学研讨会
- 欧洲心脏病学会年会
- 世界帕金森病和相关疾病2013年会议
- 英国介入放射学学会2013年第25届年会
- 美国血液学会2013年年会
- 美国癫痫学会2013年第67届年会
- 肥胖学会 2013年年会
- 2013年第9届欧洲抗体会议
- 国际精神病学协会 2013年会议
- 妇科肿瘤2013年第18届大会
- 国际创伤压力研究学会2013年第29届…
- 2013年第4届亚太地区骨质疏松症会议
- 皮肤病协会国际2013年会议
- 世界糖尿病2013年大会
- 2013年国际成瘾性药年会
- 彭晓霞---诊断试验的Meta分析
- 武姗姗---累积Meta分析和TSA分析
- 孙凤---Network Meta分析
- 杨智荣---Cochrane综述实战经验分享
- 杨祖耀---疾病频率资料的Meta分析
合作伙伴
Copyright g-medon.com All Rights Reserved 环球医学资讯 未经授权请勿转载!
网络实名:环球医学:京ICP备08004413号-2
关于我们|
我们的服务|版权及责任声明|联系我们
互联网药品信息服务资格证书(京)-经营性-2017-0027
互联网医疗保健信息服务复核同意书 京卫计网审[2015]第0344号




会员登录

