老爷爷查体时发现PSA升高 MRI检查后大吃一惊
63岁男性,主因“查体发现PSA升高”就诊。经查体及影像学检查,该患者患有……
【主诉】
患者男,63岁。主因“查体发现PSA升高”就诊。
【临床资料】
1.查体
发育正常,营养一般,查体合作。生命体征平稳,浅表淋巴结无肿大。心肺未见异常。腹平软,无压痛。直肠指诊:前列腺质地中等,表面光滑,未触及明显结节,肛管括约肌张力正常,指套无染血。实验室检查:PSA升高,11.55ng/ml。
2.磁共振成像参数
应用3T超导型MRI仪,8通道心脏线圈,患者取仰卧位。获得TSE脂肪抑制体轴横断位T2WI(TR/TE=3132.81ms/100ms)、增强扫描THRIVE脉冲序列T1WI(TR/TE=5.87ms/2.9ms)层厚均为4mm。
应用钆喷酸葡胺(Gd-DTPA)30ml,用高压注射器经肘静脉、以3ml/s的流率注入,随之以0.9%生理盐水15ml冲刷,20秒后扫描。MRI表现见图1。

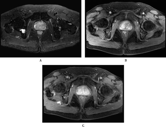
图1 前列腺癌
T2WI(A)发现前列腺右侧外周带的片状低信号,增强扫描动脉期(B)病灶显著强化,静脉期强化(C)程度有所降低
【鉴别诊断】
1.前列腺癌
70%前列腺癌位于外周带,发生于中央腺体的约30%,病灶在T1WI上呈稍低信号,在T2WI信号增高,但仍低于边缘信号;强化后呈不均匀强化,DWI上病灶信号增高,ADC值下降,精囊可增大、不对称及膀胱精囊角消失;精囊受侵时,精囊增大并于T2WI上信号减低;前列腺癌常发生骨转移,以成骨型转移瘤多见。
2.前列腺良性增生
好发于移行区和中央区,增生的组织形成多发球状结节,正常的前列腺组织受挤压被推向外围而形成假性包膜。增生部分可凸入膀胱内,使膀胱出口抬高超过膀胱底部水平。前列腺呈球形或椭圆形增大,两侧对称,边缘光滑,信号均匀,增生的前列腺结节T1WI呈略低信号,信号强度均匀,T2WI可为等信号、低信号或高信号;增生结节的包膜为其周围的环状低信号带;增生结节融合使中央叶增大,外周叶萎缩。
3.前列腺炎
前列腺的轮廓无异常改变,包膜完整,于T2WI上呈弥漫低信号,增强扫描强化不明显,DWI前列腺炎多为等信号;对于临床表现不典型者,鉴别诊断较困难,但前列腺癌表现为弥漫型而腺体外不受侵犯者少见,如有腺体外侵犯,鉴别诊断较容易。
【最终诊断】
前列腺癌
【专家点评】
前列腺癌(prostatic carcinoma)是男较常见的恶性肿瘤,占男恶性肿瘤的第6位。发病年龄多在60岁以上,与内分泌异常有关。前列腺增生者患有前列腺癌的机会高于无增生者。前列腺癌多起于前列腺周围区,95%为腺癌,早期局限于包膜内,晚期常侵犯邻近脏器和远处转移。主要临床表现为排尿困难,直肠指诊常可发现肿块。
临床诊断前列腺癌主要依靠直肠指诊、血清PSA、经直肠前列腺超声和盆腔MRI检查,CT对诊断早期前列腺癌的敏感性低于MRI。除常规扫描外,MRS病灶枸橼酸盐(Ci)下降及胆碱(Cho)升高,对鉴别前列腺病灶的良恶性具有参考价值,中央腺体病灶、弥漫性或早期病灶较小时MRI诊断灵敏度和准确性下降。MRI对前列腺癌的分期也有很大帮助,尤其是B期和C期的鉴别,即前列腺包膜是否完整即有无包膜外的侵犯是划分局限性(B期)和进展性(C期)前列腺癌的重要标准。总之,前列腺癌是老年男的常见恶性肿瘤,MRI的T2WI、DWI、MRS、动脉增强是诊断前列腺癌的有效检查手段。
(陈敏)
(环球医学编辑:余霞霞)
来源:《磁共振成像对比剂的临床应用》
作者:李坤成
页码:282-284
出版:人民卫生出版社
- 评价此内容
- 我要打分
近期推荐
热门关键词
最新会议
- 2013循证医学和实效研究方法学研讨会
- 欧洲心脏病学会年会
- 世界帕金森病和相关疾病2013年会议
- 英国介入放射学学会2013年第25届年会
- 美国血液学会2013年年会
- 美国癫痫学会2013年第67届年会
- 肥胖学会 2013年年会
- 2013年第9届欧洲抗体会议
- 国际精神病学协会 2013年会议
- 妇科肿瘤2013年第18届大会
- 国际创伤压力研究学会2013年第29届…
- 2013年第4届亚太地区骨质疏松症会议
- 皮肤病协会国际2013年会议
- 世界糖尿病2013年大会
- 2013年国际成瘾性药年会
- 彭晓霞---诊断试验的Meta分析
- 武姗姗---累积Meta分析和TSA分析
- 孙凤---Network Meta分析
- 杨智荣---Cochrane综述实战经验分享
- 杨祖耀---疾病频率资料的Meta分析
合作伙伴
Copyright g-medon.com All Rights Reserved 环球医学资讯 未经授权请勿转载!
网络实名:环球医学:京ICP备08004413号-2
关于我们|
我们的服务|版权及责任声明|联系我们
互联网药品信息服务资格证书(京)-经营性-2017-0027
互联网医疗保健信息服务复核同意书 京卫计网审[2015]第0344号




会员登录

