老年女性耳垂部结节斑块8年余不痛不痒 抗生素治疗未见好转
65岁女性,8年前于左耳垂部出现结节,黄褐色,无痛痒等主观感觉。后皮疹逐渐增多,部分相互融合成斑块状,质软。曾于诊所就诊,给予“抗生素”,具体成分不明,症状未明显好转。1年前,于外院普通外科行局部肿物切除术,术后原位置又有新发皮疹出现。半年前,患者自觉皮损明显增大,遂来笔者所在医院就诊。
【病例简介】
患者,女性,65岁,左耳垂部结节斑块8年余。皮损组织病理检查示:表皮不规则变薄,基底细胞灶状液化,真皮内大量淋巴细胞,上皮样细胞、多核巨细胞形成巨大肉芽肿样结构,局部可见不典型干酪样坏死。抗酸染色(-),银染色示网状纤维断裂。诊断:寻常狼疮。建议结核病院继续治疗。
1.临床资料
患者女,65岁,左耳部斑块结节8年,加重半年就诊。患者于入院前8年于左耳垂部出现结节,黄褐色,无痛痒等主观感觉。后皮疹逐渐增多,部分相互融合成斑块状,质软。曾于诊所就诊,给予“抗生素”,具体成分不明,症状未明显好转。入院前1年,于外院普通外科行局部肿物切除术,术后原位置又有新发皮疹出现。入院前半年,患者自觉皮损明显增大,遂于2015年2月来我院就诊。患者家族中无类似疾病患者,其弟肺结核病史。
体检:
老年女性,一般状况好,全身淋巴结未扪及肿大,系统检查无异常发现。皮肤科检查:左侧耳垂可见4cm×2cm斑块,黄褐色,表面可见黏着鳞屑,周边可见类似结节(图1)。使用玻片压迫皮损呈苹果酱色。皮损病理活检,表皮不规则变薄,基底细胞灶状液化变性,真皮内大量上皮样细胞,淋巴细胞,多核巨细胞形成结构样肉芽肿结构,局部可见灶性干酪样坏死。抗酸染色阴性,银染色示网状纤维断裂(图2,图3)。传染病医院结核菌素试验阳性。诊断:寻常狼疮。治疗:嘱患者传染病医院行规范抗结核治疗。

图1 左耳垂部红褐色斑块、结节
2.讨论
寻常狼疮是皮肤结核的一种,发生于对于结核菌具有较强细胞免疫的个体,其形成与迟发性超敏反应相关。其在西方人种好发于面颈部,而在东方人种则多见于肢端与臀部,其典型皮疹为红棕色斑块、丘疹、结节,无主观感觉,皮损被玻片压迫后可出现特征性的“苹果酱色”,易于被探针穿破,可以作为具备诊断价值的特征。如不经有效治疗,皮疹可逐渐发展增大,中央区域可出现消退。部分病例可出现溃疡,瘢痕形成,造成组织破坏,故其依据形态学特征又可分为扁平寻常狼疮、增殖性寻常狼疮、溃疡性寻常狼疮、播散性狼疮等。长期不愈的患者则在病灶基础上存在继发鳞状细胞癌、基底细胞癌、淋巴瘤与黑素瘤的可能。患者结核菌素试验多显示强阳性。

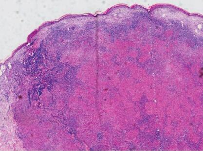
图2 表皮变薄,真皮内可见致密淋巴细胞及上皮样细胞浸润团块(HE染色×40)

图3 上皮样细胞团块中央可见灶性干酪样坏死区域(HE染色×100)
寻常狼疮多由结核血行播散至皮肤导致,而皮肤外伤破损也是重要的致病原因。俞芬娟等分析了12例寻常狼疮患者,发现其中10例存在患处局部外伤史,具体包括昆虫叮咬,剃须,卡介苗接种等。本例患者自述发病原因不详,但其发生于耳垂部,是否与耳垂打孔相关有待进一步分析,而其密切接触者中存在活动性结合病例,患者本人结核试验阳性表现,则更支持原发内脏结合的血行播散。
上皮细胞样肉芽肿为寻常狼疮的最常见病理特征,而多数缺乏典型的干酪样坏死表现。故在此类情况下,如缺少针对结核感染的特异性实验室检查及病史支持,则与结节病鉴别困难。而发生在肢端的病例也存在与非典型分枝杆菌鉴别的必要。结核分枝杆菌培养以及DNA测序手段为难以诊断的病例提供了可靠的诊断及鉴别方法,可以推荐在有条件的医疗机构施行。同时,针对内脏器官结核病的筛查也至关重要。
寻常狼疮的治疗应遵循“早期、规则、全程、适量、联合”的原则。通常推荐方案包括异烟肼,利福平,乙胺丁醇、吡嗪酰胺等药物,而喹诺酮类药物也可作为部分耐药病例的辅助替代用药。治疗过程中需定期监测血常规、肝肾功能、视力等各项指标。对于有溃疡、坏死皮损,局部清创非常重要,但单纯外科手术不能成为最终的治愈手段。
(孔祥君)
点评
1.寻常狼疮是较常见的一种继发性皮肤结核,临床上表现为具有一定特征的黄褐色丘疹斑块,缺乏明显自觉症状,早期不易引起重视。典型寻常狼疮常具有明显的干酪样坏死的病理改变,而本例的特点为缺乏这种典型的结核结节,而表现为结核样结构。
2.提示临床医生,不要简单地将面部的丘疹斑块样结构理解为玫瑰痤疮类的炎性皮肤病,事实上分枝杆菌,真菌,原虫都可能造成面部感染,感染性疾病必须要在鉴别诊断之列。
3.在治疗上,寻常狼疮并非像颜面播散性粟粒性狼疮等为有争议的感染,而是明确的结核感染,故治疗一定要进行正规系统的抗结核治疗。
4.鉴别诊断包括颜面播散性粟粒性狼疮,面部孢子丝菌病,红斑狼疮,利什曼病,部分皮肤肿瘤等。
来源:《皮肤科疑难病例解析》
作者:张理涛 张峻岭
页码:11-13
出版:人民卫生出版社
- 评价此内容
- 我要打分
近期推荐
热门关键词
最新会议
- 2013循证医学和实效研究方法学研讨会
- 欧洲心脏病学会年会
- 世界帕金森病和相关疾病2013年会议
- 英国介入放射学学会2013年第25届年会
- 美国血液学会2013年年会
- 美国癫痫学会2013年第67届年会
- 肥胖学会 2013年年会
- 2013年第9届欧洲抗体会议
- 国际精神病学协会 2013年会议
- 妇科肿瘤2013年第18届大会
- 国际创伤压力研究学会2013年第29届…
- 2013年第4届亚太地区骨质疏松症会议
- 皮肤病协会国际2013年会议
- 世界糖尿病2013年大会
- 2013年国际成瘾性药年会
- 彭晓霞---诊断试验的Meta分析
- 武姗姗---累积Meta分析和TSA分析
- 孙凤---Network Meta分析
- 杨智荣---Cochrane综述实战经验分享
- 杨祖耀---疾病频率资料的Meta分析
合作伙伴
Copyright g-medon.com All Rights Reserved 环球医学资讯 未经授权请勿转载!
网络实名:环球医学:京ICP备08004413号-2
关于我们|
我们的服务|版权及责任声明|联系我们
互联网药品信息服务资格证书(京)-经营性-2017-0027
互联网医疗保健信息服务复核同意书 京卫计网审[2015]第0344号




会员登录

