老爷爷发热、气促4天 加重2小时后入住EICU 罪魁祸首是…
79岁男性,4天前受凉后发热,伴阵发性气促,活动时明显,休息可缓解。少许咳嗽、咳痰,伴寒战、乏力,腹胀,排尿不畅。不伴明显胸痛、肩背痛,无恶心、呕吐、咯血。起病后来笔者医院急诊,测体温40℃,予留院观察,并给予抗感染、退热、营养心肌等治疗,体温有所下降。入院2小时前,患者胸闷,气促症状加重。经治疗后,以“发热,心功能不全”收入EICU。
【病情介绍】
患者,男性,79岁。因“发热、气促4天,加重2小时”于2011年3月9日入院。4天前受凉后发热,伴阵发性气促,活动时明显,休息可缓解。少许咳嗽、咳痰,伴寒战、乏力,腹胀,排尿不畅。不伴明显胸痛、肩背痛,无恶心、呕吐、咯血。起病后来笔者医院急诊,测体温40℃,予留院观察,并给予抗感染、退热、营养心肌等治疗,体温有所下降。入院2小时前,患者胸闷,气促症状加重。经静推毛花苷丙0.2mg,呋塞米20mg,静脉滴注氨茶碱0.25g,地塞米松10mg,硝酸甘油20mg后,以“发热,心功能不全”收入EICU。既往高血压3级病史10余年,此次入院前2周因气促、胸闷诊断为冠心病,不稳定型心绞痛,心功能Ⅲ级,在笔者医院心内科住院治疗,并于2011年3月1日行冠状动脉造影检查,同时予植入2枚支架。术后胸闷、气促症状缓解,复查心电图好转,术后3天出院。有慢性湿疹病史60余年,常年皮肤红疹伴瘙痒,多次就诊皮肤科。
入院查体:T 38℃,HR 160次/分,R 30次/分,BP 167/96mmHg。神志清楚,精神极差,全身躯干及双下肢皮肤可见广泛红色皮疹,伴瘙痒感。双肺满布干湿性啰音,心音稍低,心律尚齐,各瓣膜听诊区未闻及杂音,腹软,右上腹压痛,无反跳痛。双下肢无水肿。
辅助检查:心电图:室上性心动过速,ST-T改变。胸片:双肺纹理强,心影稍大,主动脉硬化。肌钙蛋白I阳性。血常规:WBC 12.4×109/L,RBC 3.99×1012/L,HGB 126g/L,PLT 174×109/L,N 90.5%,L 5%。
入院诊断:冠心病,PCI术后,急性冠状动脉综合征,心律失常:阵发性室上性心动过速,心功能Ⅲ级:高血压(3级,极高危);肺部感染;胆石症,胆囊息肉;肾囊肿;皮肤湿疹并感染;前列腺增生。
诊治经过:入院后予以吸氧、强心、利尿、抗感染、解痉、平喘、化痰、抗血小板、稳定斑块、营养心肌及改善心肌供血等相应治疗,并给予胺碘酮控制心室率,心室率控制在75~120次/分,气促、胸闷症状得到明显缓解,各项生命体征逐步正常稳定,肺部干湿性啰音逐步减少消失。心脏彩超:左右心房及左心室扩大;左心室弥漫性收缩功能减低;少量二、三尖瓣反流;主动脉瓣退行性变并少量反流;主动脉硬化。肺部CT(图2):双肺纹理增粗、模糊,双肺背侧见大片斑片状渗出及实变影;气道大致通畅,肺门未见明显增大,纵隔内见多发肿大淋巴结。两侧胸腔积液(图1、图3),两下肺膨胀不全。冠状动脉见条形致密影。查血PCT高达84.14ng/ml,入院初始予以头孢哌酮-舒巴坦钠抗感染,PCT逐渐下降,但仍有反复寒战、发热症状,体温波动在37~38℃。直至第4天血培养结果提示金黄色葡萄球菌MRSA(+)。依据药敏试验结果改用环丙沙星和盐酸米诺环素,连续用3天,患者仍有发热、寒战,体温依然波动在37~38℃。遂停用环丙沙星,加用替考拉宁,此后,患者体温明显下降并很快降至正常范围,发热、寒战等症状亦消失。最终病情好转稳定出院。

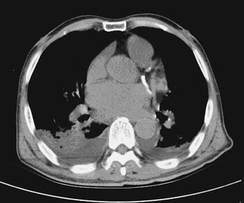
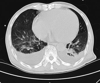
图1 肺部CT:两侧胸腔积液

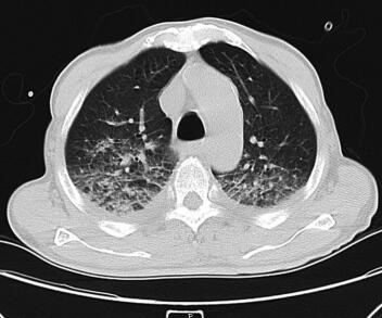
图2 肺部CT:双肺纹理增粗、模糊,双肺背侧见大片斑片状渗出及实变影

图3 肺部CT:两侧胸腔积液,两下肺膨胀不全
最终诊断:肺部感染;金黄色葡萄球菌败血症;皮肤湿疹并感染;冠心病,PCI术后,不稳定型心绞痛,左右心房及心室扩大,心功能Ⅲ级;高血压(3级,极高危);胆石症,胆囊多发息肉;肾囊肿;前列腺增生。
治疗和转归:半月后,患者再次发作发热、寒战、气促等症入院治疗,再次予以替考拉宁治疗,病情一度好转。后因突发室颤死亡。
重要提示
1.老年患者,有冠心病、慢性湿疹病史,近期植入冠状动脉支架。
2.此次因“发热、气促4天,加重2小时”入院。查血PCT明显增高,胸部CT双肺大片渗出及实变灶,血培养金黄色葡萄球菌MRSA(+),结合患者有长期湿疹病史,可能有皮肤感染,从而引起导管相关性菌血症。
3.经头孢哌酮-舒巴坦钠治疗后肺部症状好转,但仍有寒战、发热,PCT仍高,后给予替考拉宁治疗有效。
【讨论】
1.能否确认是导管相关性感染?
(1)患者入院初始时,考虑因肺部感染诱发心律失常及急性左心衰竭,予以强心、利尿等相应治疗后症状明显缓解。但患者在肺部呼吸音已经基本正常的情况下,PCT高达84.14ng/ml,出现与体征不相平行的、长时间的持续发热、寒战等全身中毒症状,不能用一般的肺部感染解释。
(2)血培养结果金黄色葡萄球菌MRSA(+),考虑导致败血症的可能因素:
1)近期导管治疗:患者有明确的侵入性治疗史,其后出现菌血症及相应并发症。患者为高龄、危重疾病、慢性皮肤感染,使此项操作的感染并发症几率大大增加。革兰阳性菌是最主要的病原体。但已无法做导管培养。
2)皮肤湿疹感染:虽然患者长期慢性发作,但当时并无明显的皮肤破溃感染,可能性小。
3)肺部感染:重症肺部感染也可由于脓毒症、细菌入血导致继发性血流感染,该患者以中毒症状为突出,无脓痰,肺部体征不明显,考虑为原发性血流感染。
(3)抗生素的选用:以糖肽类抗菌药物效果最为显著。
1)鉴于葡萄球菌是导管相关性感染最常见的病原菌,且存在高耐药性,糖肽类抗菌药物应作为导管相关性血流感染的首选药物。对于本例患者,在有药敏试验的前提下首先依照药敏指导用药,选用环丙沙星和盐酸米诺环素,连续3天治疗后PCT和白细胞水平等还是有所下降的,但发热症状无改变,未达到期望效果。改用替考拉宁后效果显著。
2)对于该病例治疗中最大的缺陷和不足就是抗生素治疗疗程不足。患者仅临床症状改善后就要求出院。按国内外指南建议,应用糖肽类或利奈唑胺治疗MRSA菌血症,疗程至少14天。
2.导管治疗前是否应常规预防用抗生素?
操作本身一般是无菌性操作,常规不推荐预防性用抗感染治疗。但对于穿刺部位有皮肤感染的病人还是应当视具体情况而定。
【专家析评】
耐甲氧西林金黄色葡萄球菌(methicillin-resistant S.aureus,MRSA)及凝固酶阴性葡萄球菌(coagulase negative staphylococcus,CNS)引起的血流感染逐年增多,临床表现为发病急、中毒症状重,常合并心内膜炎等,常见于原发性血流感染(导管相关性血流感染)或继发性血流感染(皮肤感染、烧伤及重症肺炎等),而冠状动脉成形术或支架植入术后感染,无论在国内外,均是冠状动脉干预术后非常罕见但却致死的并发症,80%源于MRSA感染,常导致冠状动脉破裂或穿孔,以及脓肿或微动脉瘤的形成,死亡率高。该患者入院初始按照肺部感染经验性治疗,虽肺部感染得到控制,但寒战、发热等败血症症状仍然明显,回复血培养为MRSA(+),对于合并肺部感染、心功能不全等基础疾病的老年患者,显然使用环丙沙星和盐酸米诺环素欠妥,随后改用替考拉宁,临床症状得到明显改善。根据该患者替考拉宁治疗有效性,结合慢性皮肤感染,近期有冠状动脉支架植入史,血培养MRSA(+),停药后半月症状再发,替考拉宁治疗仍然有效,仅仅能作出支架植入术后血流感染的临床诊断,而无法像导管相关性血流感染一样作出完善的微生物学诊断,最终患者死亡,与抗感染治疗疗程不足、心力衰竭、严重心律失常等因素均有关。提醒医务人员,在经皮介入治疗前,对于皮肤黏膜屏障完整性进行评估,必要时预防性使用血流感染敏感抗生素。不足之处是该病例应多部位采集血标本培养,以帮助临床作出正确判断。肺部感染也缺乏呼吸道分泌物微生物检验结果,治疗前后影像学及微生物学缺乏对照。
参考文献
1.中华医学会重症医学专业委员会.血管内导管相关感染的预防与治疗指南.2007.
2.Wu EB,Chan WW,Yu CM. Left main stem rupture caused by methicillin resistant Staphylococcus aureus infection of left main stent treated by covered stenting. Int J Cardiol,2010,144(2):e39-41.
(环球医学编辑:余霞霞)
来源:《急诊临床病案评析:感染与心血管性疾病》
作者:陈旭岩 王仲
页码:172-175
出版:人民卫生出版社
- 评价此内容
- 我要打分
近期推荐
热门关键词
最新会议
- 2013循证医学和实效研究方法学研讨会
- 欧洲心脏病学会年会
- 世界帕金森病和相关疾病2013年会议
- 英国介入放射学学会2013年第25届年会
- 美国血液学会2013年年会
- 美国癫痫学会2013年第67届年会
- 肥胖学会 2013年年会
- 2013年第9届欧洲抗体会议
- 国际精神病学协会 2013年会议
- 妇科肿瘤2013年第18届大会
- 国际创伤压力研究学会2013年第29届…
- 2013年第4届亚太地区骨质疏松症会议
- 皮肤病协会国际2013年会议
- 世界糖尿病2013年大会
- 2013年国际成瘾性药年会
- 彭晓霞---诊断试验的Meta分析
- 武姗姗---累积Meta分析和TSA分析
- 孙凤---Network Meta分析
- 杨智荣---Cochrane综述实战经验分享
- 杨祖耀---疾病频率资料的Meta分析
合作伙伴
Copyright g-medon.com All Rights Reserved 环球医学资讯 未经授权请勿转载!
网络实名:环球医学:京ICP备08004413号-2
关于我们|
我们的服务|版权及责任声明|联系我们
互联网药品信息服务资格证书(京)-经营性-2017-0027
互联网医疗保健信息服务复核同意书 京卫计网审[2015]第0344号




会员登录

