老人上腹痛半日 医生抽丝剥茧才找到真凶
64岁男性,早晨突发上腹部持续性闷痛,剑突下为著,不向他处放射,与体位改变无关,诊所给予输液治疗,未见好转。之后出现大汗淋漓,面色苍白,胸闷、气促。随后送达笔者医院急诊抢救室。该患者怎么了?
【病情介绍】
患者,男性,64岁。2011年5月24日7时突发上腹部持续性闷痛,剑突下为著,不向他处放射,与体位改变无关,诊所给予输液治疗,未见好转。15时10分出现大汗淋漓,面色苍白,胸闷、气促,无畏寒、发热,无胸痛、呼吸困难,无呕吐、腹泻。15时40分送达急诊抢救室。既往高血压病史2年余,平日口服降压药,血压最高160/100mmHg,平均约130/80mmHg;糖尿病病史2年,不规律口服格列齐特、苯乙双胍,不定期监测血糖,近3个月内血糖最高19.6mmol/L,平时约11mmol/L。平素体力活动轻度受限,静息时无不适,爬5楼后可有乏力、心悸、气喘不适。吸烟20余年,每日约10支,无饮酒嗜好。
体格检查:T 38.5℃,P 80次/分,R 30次/分,BP 94/43mmHg。神清,四肢冷。未闻及干湿性啰音。心率80次/分,心律不齐,心尖区可闻及收缩期Ⅱ级吹风样杂音。腹平坦,腹肌软,上腹部压痛,无反跳痛,Murphy征阴性,移动性浊音阴性,肠鸣音弱。四肢肌力、肌张力均正常,双下肢无水肿,四肢末端皮温低。
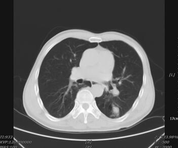
辅助检查:血常规:WBC 14.03×109/L,N 70.74%,L 21.84%,Hb 122g/L。尿葡萄糖阴性;尿酮体(+)。血气分析:pH 6.765;氧分压167mmHg;二氧化碳分压12.4mmHg;实际剩余碱−32.7mmol/L;实际碳酸氢根1.7mmol/L;阴离子隙25.9mmol/L。血浆乳酸> 12mmol/L(鼻氧管吸氧,氧浓度3L/min)。血葡萄糖5.4mmol/L;血尿素氮9.7mmol/L。凝血酶原时间15.30秒;活化部分凝血活酶时间78.20秒;凝血酶时间86.9秒;D-二聚体0.51mg/L。B型脑钠肽339pg/ml;心肌酶谱:心肌肌酸激酶153U/L;α-羟丁酸脱氢酶252U/L;谷草转氨酶136U/L;肌酸磷酸激酶2235U/L;乳酸脱氢酶339U/L。心电图检查:窦性心律不齐,左心室肥厚,部分导联ST段改变,QT间期轻度延长。腹部立位片未见异常。胸部CT见肺内多发斑片状高密度影,边缘粗糙(图1)。


图1 入院时胸部CT可见肺内多发斑片状高密度影,边缘粗糙
入院诊断:①2型糖尿病(乳酸性酸中毒);②高血压。
诊治经过:患者入院后积极给予液体复苏,碳酸氢钠纠正酸中毒,后给予持续床边血液滤过治疗纠正酸中毒,多巴胺升压,亚胺培南1000mg,静脉滴注,每天3次,抗感染,血必净和乌司他丁抑制炎症介质,维持水、电解质平衡。5月25日9时30分持续床边血液滤过结束,腹痛缓解,测动脉血气pH 7.317;氧分压57.7mmHg;二氧化碳分压18.6mmHg;实际碳酸氢根10.5mmol/L;标准碳酸氢根13.5mmol/L;P50 21.79;阴离子隙19.9mmol/L;血浆乳酸4.7mmol/L。
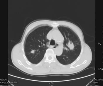
入院第2日(5月25日)22时患者出现胸闷、气喘、端坐呼吸,双肺听诊可闻及广泛湿啰音,中心静脉压18mmHg。B型脑钠肽777pg/ml。床边胸片:两肺纹理明显增多,双肺见多发片状影,密度不均(图2)。考虑出现急性左心衰竭,给予利尿、扩血管降低后负荷、控制输液量与速度,无创通气,症状逐渐缓解。

图2 入院第2日床边胸片示肺部大片状高密度影
入院第3日(5月26日)患者仍有轻度胸闷、气喘。体温37.0℃;白细胞计数12.14×109/L;粒细胞百分比88.11%;C-反应蛋白84.8mg/L。因双肺多发结节考虑真菌感染可能,停亚胺培南,改用伏立康唑,首日0.3g,静脉滴注,每天2次,后维持0.2g,每天2次,共5天,序贯伏立康唑200mg,口服,每天2次,共2天。左氧氟沙星100mg,静脉滴注,每日1次,共13天。给予平喘、袪痰、胰岛素控制血糖、提高免疫力等治疗。相关感染病原体检测结果:结核抗体弱阳性(±);巨细胞病毒IgG 6.7IU/ml;G试验阴性。
入院第7日(5月30日)血培养出大肠埃希菌,对头孢哌酮-舒巴坦钠敏感,加用头孢哌酮-舒巴坦钠(1∶1)2g,静脉滴注,每天2次;为明确肺部病变性质,于当日CT引导下行经皮肺穿活检术(图3),病理切片特染结果:抗酸染色找到多量抗酸杆菌;金胺O染色找到少量抗酸杆菌;PAS染色未找到真菌;PAM-Masson染色肉芽肿性炎伴大片干酪样坏死;抗酸及金胺O染色找到多少不等抗酸杆菌。患者入院第13日,无不适主诉,生命体征稳定,多器官损害已恢复,转结核科规范抗结核治疗。

图3 入院第7日CT引导下经皮左肺结节穿刺活检
最终诊断:①2型糖尿病,细菌性肺炎,脓毒性休克,乳酸性酸中毒,心功能障碍;②高血压;③继发型肺结核(干酪性肺炎)。
重要提示
1.老年男性,基础疾病多,平素药物服用不规律,基础血糖控制不佳。
2.急性起病,进展迅速,内环境紊乱严重,循环不稳定,采取了CRRT迅速纠正内环境紊乱。
3.纠正内环境过程中出现急性左心衰竭,注意治疗原则与特殊患者个性化治疗间的平衡关系。
4.早期经验性使用抗生素盐酸莫西沙星,后续根据病变影像学特点经验性加用抗真菌药物。
5.抗感染治疗的同时,积极进行病原学检测,根据血培养结果改用敏感抗生素。
6.抗生素治疗后虽病情稳定,但感染灶在影像学上未明显变化,进行了有创性穿刺活检,明确感染性质,进行针对性治疗。
【讨论】
急性腹痛的病因极为复杂,主要包括腹腔与盆腔脏器的病变及腹外脏器与全身性的疾病。作为首诊医师,更应该注重腹外脏器与全身性的疾病表现为急腹痛,如大叶性肺炎、肺梗死、急性心肌梗死、肋间神经痛、带状疱疹、腹型紫癜、腹型风湿热、溶血危象、糖尿病、酸中毒、铅中毒、尿毒症、血紫质病、腹型癫痫、神经症、经前紧张征等。该患者既往有糖尿病病史,但其就诊时血糖在正常范围内,尿糖也是阴性,酮体只有弱阳性,此次以腹痛为首发症状,首诊医师容易将腹痛的病因局限于腹腔内疾病而忽视了全身性疾病,这样容易增加误诊率。
另外,在诊断中还要注意糖尿病患者急性并发症乳酸性酸中毒和酮症酸中毒的鉴别。其中糖尿病酮症酸中毒(DKA)是血糖急剧升高引起的胰岛素的严重不足激发的酸中毒,主要特点是胰岛素严重缺乏和脱水;乳酸性酸中毒系不同原因引起的血乳酸持续增高和pH减低(<7.35)的异常生化改变所致的临床综合征,后果严重,死亡率高。乳酸性酸中毒临床上分为A、B两型。A型为继发性乳酸性酸中毒,较B型常见得多,其发病机制是组织获得的氧不能满足组织代谢需要,导致无氧酵解增加,产生A型乳酸性酸中毒,包括各种休克、右心衰竭、心排血量减少、窒息、低氧血症、CO中毒、危及生命的贫血等。B型为自发性乳酸性酸中毒,其发病机制与组织缺氧无关。可进一步分为3种亚型,B1型与糖尿病、脓毒血症、肝肾衰竭等常见病有关,B2型与药物或毒物有关,B3型与肌肉剧烈活动、癫痫大发作等其他因素有关。该患者发生乳酸性酸中毒是因为:①血糖控制不佳。②糖尿病其他急性并发症:如感染、酮症酸中毒、糖尿病非酮症高渗综合征时可成为糖尿病乳酸性酸中毒的诱因。结合患者肺部CT检查结果,患者肺部感染是发生乳酸性酸中毒的一个重要诱因。③大量服用苯乙双胍:双胍类药物,尤其是苯乙双胍能增强无氧酵解,抑制肝脏及肌肉对乳酸的摄取,抑制糖异生作用,故有致乳酸性酸中毒的作用。结合该患者平时长期服用苯乙双胍控制血糖,有诱发乳酸性酸中毒的可能。
糖尿病患者发生心功能不全的危险性比非糖尿病患者男性高4倍,女性高8倍。糖尿病并发心功能不全可由并发的冠状动脉粥样硬化性心脏病与高血压恶化引起,还能由糖尿病性心肌病的心肌损害所致。发生糖尿病性心肌病时,心肌可发生以下改变:①糖尿病性微血管病,发生微循环障碍;②心脏神经性调节障碍,发生糖尿病性自主神经病变;③心肌生物电活性障碍,可发生心律失常和血液循环代偿失调;④左心室肥厚和扩张,发生心肌氧耗增加和心肌纤维化。另外,糖尿病时常出现高动力循环,发生循环血容量增加。以上因素常相互作用,共同促进(有时也可单独)引起心脏收缩和(或)舒张功能减退而发生心功能不全。酸中毒本身对心率的影响呈双向性,当pH从7.40下降到7.0时,一般表现为心率过快,这主要由于酸中毒时分泌较多的肾上腺素所致。当pH继续下降,心率逐渐减缓,主要可能是乙酰胆碱酯酶此时被抑制,致使乙酰胆碱积聚过多,后者对心脏的作用超过了肾上腺素的作用。严重酸中毒可以伴随心律失常。轻度酸中毒可使心肌收缩力增加,严重酸中毒时心肌收缩力下降。酸中毒对小动脉及静脉均有影响,但以静脉更为明显,主要表现为持续性静脉收缩;对小动脉,一方面因为儿茶酚胺分泌增加血管收缩,另一方面H+本身则造成小动脉舒张,严重酸中毒时,后一种作用超过前一种,因此总的表现为各组织灌注减少,回心血量增加,心脏负担加重。该患者出现心力衰竭、心功能障碍的原因为糖尿病性心肌病对心脏的影响,加上糖尿病合并乳酸性酸中毒加重糖尿病心肌病,导致心力衰竭出现。
最后需要注意的是患者肺部感染的诊疗。在发生糖尿病急性并发症的患者中往往合并感染,其中肺部感染的病原体可能是常见的社区性感染病原体,此时对于既往健康人群可能只引起轻微的上呼吸道感染,但糖尿病患者则可能因此发生严重并发症;从另一个角度来讲,因为是糖尿病患者,因此也易于发生一些机会致病菌或免疫力低下患者易感染微生物的感染,如结核分枝杆菌、真菌等,其中糖尿病患者肺结核患病率10倍于普通患者。因此必须在经验性治疗的基础上尽量明确感染病原体以便进行针对性治疗。本例患者初期给予了亚胺培南和抗真菌药物治疗,后根据血培养结果给予针对性敏感药物头孢哌酮-舒巴坦钠治疗,但从CT提示多发斑片状结节影,为进一步明确诊断,于CT引导下肺穿刺,最终明确病灶为肺结核,在乳酸性酸中毒、脓毒性休克得到纠正,细菌性肺炎治疗好转后开始进行系统抗结核治疗。
【专家析评】
1.这是一个糖尿病并乳酸性酸中毒的很好病例,作为一名医师,在对待急诊患者时一定要具有全局观念,当局限于某个部位的一个症状出现时,要考虑到除症状局部的脏器病变之外其他邻近脏器的病变以及全身病变在局部的反应,切勿“头痛医头,脚痛医脚”“只见树木,不见森林”,由于该患者以腹痛为首发症状,首诊医师容易将腹痛的病因局限于腹腔内疾病而忽视了全身性疾病,这样容易增加误诊率。要避免这种误诊的发生,除了临床物理检查之外,既往病史的详细询问和采集以及必要的实验室检查尤为重要,该病例的首诊医师正是注意到了这个问题,从而避免了误诊。
2.糖尿病患者的乳酸性酸中毒不如酮症酸中毒多见。这两者都是糖尿病患者需要紧急处理的严重情况,但两者在发病原因、病理生理机制和处理方法上大相径庭,因此临床医师面临一些疾病的并发症时,既要考虑常见的并发症,也要考虑少见的并发症,而这些区别正是通过一些不被大家注意的临床表现和实验室检查的结果反映出来,该病例的首诊医师正是注意到了这一点,根据患者血糖控制不佳,糖尿病其他急性并发症,如感染、酮症酸中毒、糖尿病非酮症高渗综合征可成为糖尿病乳酸性酸中毒的诱因。结合患者肺部CT检查结果,患者肺部感染是发生乳酸性酸中毒的一个重要诱因。同时患者大量服用苯乙双胍能增强无氧酵解,抑制肝脏及肌肉对乳酸的摄取,抑制糖异生,故有致乳酸性酸中毒的作用。实验室检查尿葡萄糖(+);尿酮体(+);血气分析:pH 6.765,氧分压167mmHg,二氧化碳分压12.4mmHg,实际剩余碱−32.7mmol/L,实际碳酸氢根1.7mmol/L,阴离子隙25.9mmol/L;血浆乳酸>12mmol/L(鼻氧管吸氧,氧浓度3L/min);血葡萄糖5.4mmol/L,根据上述情况和客观检查指标,及时诊断出该患者为糖尿病乳酸性酸中毒。
3.糖尿病患者容易发生心功能不全,糖尿病并发心功能不全既可由并发的冠状动脉粥样硬化性心脏病与高血压恶化引起,也可以由糖尿病性心肌病的心肌损害所致。当糖尿病患者出现大汗淋漓、面色苍白、胸闷、气促时要考虑到是诱发或合并心功能不全,该患者最好能够增加中心静脉压等监测指标,以与肺部疾病造成的喘憋相鉴别,因为从该患者的肺部情况看,轻微活动或者排痰不畅均可造成明显喘憋。
4.糖尿病患者容易发生各种感染,包括一些机会致病菌或免疫力低下患者易感微生物的感染,因此对糖尿病患者合并感染,在寻找感染病原体时要注意到这些情况,而不能按照一般的常见社区感染性病原体常规治疗。
(环球医学编辑:余霞霞)
来源:《急诊临床病案评析:感染与心血管性疾病》
作者:陈旭岩 王仲
页码:183-188
出版:人民卫生出版社
- 评价此内容
- 我要打分
近期推荐
热门关键词
最新会议
- 2013循证医学和实效研究方法学研讨会
- 欧洲心脏病学会年会
- 世界帕金森病和相关疾病2013年会议
- 英国介入放射学学会2013年第25届年会
- 美国血液学会2013年年会
- 美国癫痫学会2013年第67届年会
- 肥胖学会 2013年年会
- 2013年第9届欧洲抗体会议
- 国际精神病学协会 2013年会议
- 妇科肿瘤2013年第18届大会
- 国际创伤压力研究学会2013年第29届…
- 2013年第4届亚太地区骨质疏松症会议
- 皮肤病协会国际2013年会议
- 世界糖尿病2013年大会
- 2013年国际成瘾性药年会
- 彭晓霞---诊断试验的Meta分析
- 武姗姗---累积Meta分析和TSA分析
- 孙凤---Network Meta分析
- 杨智荣---Cochrane综述实战经验分享
- 杨祖耀---疾病频率资料的Meta分析
合作伙伴
Copyright g-medon.com All Rights Reserved 环球医学资讯 未经授权请勿转载!
网络实名:环球医学:京ICP备08004413号-2
关于我们|
我们的服务|版权及责任声明|联系我们
互联网药品信息服务资格证书(京)-经营性-2017-0027
互联网医疗保健信息服务复核同意书 京卫计网审[2015]第0344号




会员登录

