大妈咳嗽、喘憋、发热 治疗后无好转
50岁女性,1个月前受凉后出现咳嗽、咳痰、喘憋,不能平卧,伴双下肢水肿,1周前出现发热,体温最高39.3℃,不伴畏寒、寒战;咳嗽、咳痰、胸闷、憋气症状有所加重,痰不易咳出。就诊于当地医院,实验室检查:WBC 11.2×109/L,N 80.3%,Hb 102g/L;ALB 31g/L,总胆红素(TBil)17.3μmol/L,γ-GT 135IU/L,BNP明显升高。胸片示双肺渗出,肺水肿。腹部B超示门脉增宽、脾大、腹腔积液。给予抗感染治疗(具体不详)无明显好转,遂来笔者医院就诊。
【病情介绍】
患者,女,50岁,主因“间断咳嗽、喘憋1个月,发热1周”于2011年4月6日11时40分就诊于急诊科。患者1个月前受凉后出现咳嗽、咳痰、喘憋,不能平卧,伴双下肢水肿,1周前出现发热,体温最高39.3℃,不伴畏寒、寒战;咳嗽、咳痰、胸闷、憋气症状有所加重,痰不易咳出。就诊于当地医院,实验室检查:WBC 11.2×109/L,N 80.3%,Hb 102g/L;ALB 31g/L,总胆红素(TBil)17.3μmol/L,γ-GT 135IU/L,BNP明显升高。胸片示双肺渗出,肺水肿。腹部B超示门脉增宽、脾大、腹腔积液。给予抗感染治疗(具体不详)无明显好转,遂来诊。既往史:心脏病病史10余年,肝功能异常5年,慢性咳嗽、咳痰病史4年,口干、眼干病史30余年,多发对称性关节痛3年,上述病史均无明确诊断。对多种抗生素过敏(具体不详),花粉过敏。个人史:农民,近10年因多病未从事劳动。婚育史、家族史均无特殊。
入院查体:T 37.2℃,P 120次/分,R 25次/分,BP 100/60mmHg。端坐呼吸,体态消瘦,脱发,牙齿片状脱落,双手指关节红肿,肝掌,双前臂、腹部、背部可见充盈性红斑,双侧大腿可见散在片状皮疹。神清,精神弱;双肺呼吸音粗,可闻及湿啰音,心浊音界增大,心律齐,P2亢进;腹饱满,全腹压痛,无反跳痛,移动性浊音检查不能配合,肠鸣音3次/分;双下肢重度水肿,双小腿皮肤发红,右侧显著,皮温高。
辅助检查:WBC 10.09×109/L,N 80.4%,RBC 4.06×1012/L,Hb 94g/L。TBil 24.6μmol/L,ALB 32.2g/L,LDH 723IU/L,γ-GT 124IU/L,K+ 2.81mmol/L,Na+ 133.4mmol/L,Ca2+ 2.05mmol/L;FIB 5.589g/L,D-二聚体2013μg/L;BNP>3000pg/ml;CA-125 112.3U/ml;免疫球蛋白IgA<0.07g/L,IgG<0.33g/L,IgM<0.04g/L,IgE 0.01IU/L,CRP 231mg/L。CK、CK-MB均在正常范围内,cTnI(−)。尿常规:白细胞(++),酮体(++),尿胆原(++),见大量细菌。痰涂片:见到革兰阳性菌、真菌。痰培养:光滑假丝酵母菌。心电图:窦性心动过速,QRS波群低电压,轻度ST-T改变。胸片:双肺渗出伴肺水肿,心影增大。腹部B超:肝脏形态饱满,门脉增宽,PV内径1.5cm;胆囊壁增厚;脾大,脾静脉扩张;腹腔少量游离液。
入院诊断:①肺部感染;②免疫缺陷病;③慢性心功能不全急性加重;④电解质紊乱——低钾、低钠血症;⑤贫血(轻度);⑥肝功能异常原因待查(肝后性门脉高压?肝硬化?)
诊治经过:入院当天转入急诊监护室,给予心电监护、吸氧;予亚胺培南-西司他汀钠1.0g,每8小时1次,氟康唑0.4g,每日1次抗感染,另予保肝、纠正电解质紊乱、祛痰、利尿等治疗。由于患者脱发,全身多关节红肿、红斑及皮疹,考虑不除外自身免疫性疾病,行ANA-ENA谱、抗心磷脂抗体、抗环瓜氨酸抗体检查,结果均阴性;患者免疫功能低下,有结核感染风险,行PPD、FD、痰找抗酸杆菌及血清腺苷脱氨酶(ADA)等检查,血ADA 25IU/L,余结果均阴性。急诊治疗5日,患者生命体征逐渐平稳,喘憋明显好转,可半卧位休息,下肢水肿明显好转,但4月11日再次出现发热,最高39℃,仍有明显咳嗽、咳痰症状,为白色黏痰。
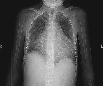
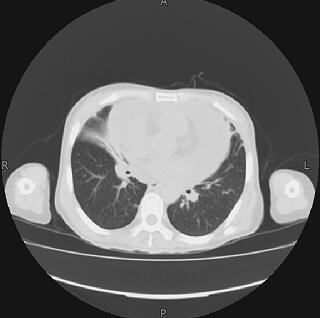
患者于4月12日转入病房治疗。当天实验室检查:血常规:WBC 10.09×109/L,N 80.4%,RBC 4.06×1012/L,ALB 94g/L;生化ALB 33.6g/L,γ-GT 69IU/L,其余异常生化指标均好转;心电图较前无明显变化;胸片较前无明显变化(图1);胸部CT:大量心包积液,左肺中叶密度增高影(图2)。

图1 胸片


图2 胸部CT:大量心包积液,左肺中叶密度增高影
考虑患者基础病变为免疫缺陷病。需要明确免疫缺陷病性质是原发还是继发。结合患者既往病史及生活史,考虑患者免疫缺陷病病史较长,感染应继发于免疫缺陷病,亦不考虑药物导致免疫缺陷病;患者既往无恶性肿瘤病史,此次发现CA-125升高,但无肿瘤相关症状,结合病史,不考虑肿瘤导致免疫缺陷病;患者自身免疫疾病相关抗体均为阴性,故考虑患者为原发性免疫缺陷病。CT发现患者大量心包积液为新突破点。患者门脉高压症状典型,但肝功能尚正常,肝损害证据不足,并不考虑诊断肝硬化。大量心包积液可致心功能不全及静脉回流受阻,导致门脉高压。需明确心包积液的性质,从而辅助进一步诊断,治疗方面也需心包积液置管引流缓解心功能不全及门脉高压。
故于超声心动图引导下行心包穿刺、置管引流。超声示心包积液1500ml,心包可见大量纤维素渗出,LVEF 60%。抽取较黏稠棕红色心包积液200ml送实验室检查:白细胞计数7500×106/L,单核细胞比例5%,多核细胞比例95%,黎氏蛋白定性(+),葡萄糖1.7mmol/L,蛋白质18.09g/L,氯化物101mmol/L,LDH 3438IU/L,ADA 131U/L。连续3天留取穿刺液送实验室检查,结果相似。初步判断为感染性化脓性心包积液,于穿刺当天起,每日给予2次肝素生理盐水100ml心包冲洗。因心包内较多纤维素渗出,为防止粘连、分隔,先后2次给予心包内注射尿激酶25万IU,并继续给予碳青霉烯类抗生素及氟康唑抗感染。
截至4月15日,3次心包穿刺液检查,肿瘤标志物均(−),培养未见抗酸杆菌,3次均培养出“无色杆菌某些种”,药敏显示碳青霉烯类及磺胺类抗生素敏感。骨髓穿刺显示为感染骨髓象。复查辅助检查:血ADA 25IU/L,痰培养:光滑假丝酵母菌,腹部B超较前无明显变化。T淋巴细胞亚群无明显异常。患者化脓性心包炎诊断明确,继续予针对性抗感染药物及心包积液引流治疗。因患者穿刺液ADA与血ADA比例较高,穿刺液中抗酸杆菌检出率低,关于患者是否可能合并结核性心包炎存在争议,讨论决定仍给予利福平、异烟肼、盐酸乙胺丁醇、吡嗪酰胺经验性抗结核治疗,并加强保肝治疗。患者细胞免疫功能尚可,考虑原发性免疫缺陷病分型可归为普通变异型免疫缺陷病,治疗方面应给予较大剂量丙种球蛋白长期输注。但患者因经济原因不能负担长期治疗费用,故间断给予丙种球蛋白10g静脉输注治疗。
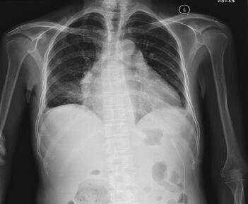
患者症状明显好转,4月18日复查免疫球蛋白IgA<0.07g/L,IgG 2.21g/L(好转),IgM<0.04g/L,CRP 75.1mg/L。4月20日复查超声心动图:少量心包积液,仍可见纤维素渗出,心包脏层回声粗糙;4月22日复查腹部B超:PV内径1.2cm,较前无明显变化。患者心包积液逐渐减少,为防止形成缩窄性心包炎,需考虑外科行心包剥脱术治疗,心外科考虑如行心包剥脱术,需体外循环,但患者体液免疫能力过差,行体外循环风险极大,考虑患者无法耐受手术,不予手术治疗。4月26日复查血常规:WBC 4.92×109/L,N 62.1%,RBC 4.92×1012/L,Hb 110g/L;肝肾功能、电解质明显好转;凝血功能未见异常;尿常规未见异常。4月28日复查胸片:右肺下野片状高密度影,心影增大,较前有所好转(图3)。

图3 胸片:右肺下野片状高密度影,心影增大,较前有所好转
抗结核治疗2周后停用抗结核药物。5月2日起引流管几乎未引流出心包积液,复查超声心动图,心包积液量较前明显减少,未形成包裹或分隔,予拔除引流管。患者于5月6日出院。
出院后截至2012年初,电话随访患者诉无发热、喘憋、水肿等症状,可完成较轻家务劳动。考虑患者虽然穿刺液ADA与血ADA比例较高,但3次培养均未发现抗酸杆菌,结核多易累及细胞免疫缺陷患者,但该患者仅体液免疫功能低下,细胞免疫功能尚可,且仅经验性抗结核治疗2周,后半年来未再序贯治疗,仍无结核复发症状,故不予诊断结核性心包炎。
最终诊断:常见变异型免疫缺陷病;化脓性心包炎;肺部感染;肝后性门脉高压;电解质紊乱——低钾、低钠血症;贫血(轻度);低白蛋白血症。
重要提示
1.患者免疫球蛋白IgA<0.07g/L,IgG<0.33g/L,IgM<0.04g/L,IgE 0.01IU/L,T淋巴细胞亚群基本正常,体液免疫功能极度低下。
2.胸部CT:大量心包积液,左肺中叶密度增高影。
3.腹部B超:肝脏形态饱满,门脉增宽,PV内径1.5cm;胆囊壁增厚;脾大,脾静脉扩张;腹腔少量游离液。
4.心包穿刺液检查:白细胞计数7500×106/L单核细胞比例5%,多核细胞比例95%,黎氏蛋白定性(+),葡萄糖1.7mmol/L,蛋白质18.09g/L,氯化物101mmol/L,LDH 3438IU/L,ADA 131U/L。培养发现“无色杆菌某些种”。
【讨论】
普通变异型免疫缺陷病(common variable immunodeficiency)是相当常见而未明确了解的一组综合征。男女均可受累,发病年龄在15~35岁,可为先天性或获得性。其免疫缺陷累及范围可随病期而变化,起病时表现为低丙种球蛋白血症,免疫球蛋白总量和IgG均减少,随着病情进展,可并发细胞免疫缺陷。2/3患者血循环中B细胞数量正常,但不能分化为浆细胞;淋巴结、脾、消化管淋巴组织中B细胞增生明显,但缺乏浆细胞。部分病例有T辅助细胞减少、T抑制细胞过多;部分病例有抗T细胞B细胞的自身抗体;或巨噬细胞功能障碍;患者主要表现为呼吸道、消化道的持续慢性炎症,自身免疫病的发病率也较高。
普通变异型免疫缺陷病的诊断分为明确诊断、可以诊断及可能诊断。基因突变检测是明确诊断的主要方法,但在临床中较难实现。可以诊断标准:男性或女性患者血清IgG、IgA水平明显降低(至少低于相应年龄均值),并符合以下全部标准:①患者2岁以后发病;②缺乏同族血凝素和(或)对疫苗应答反应差;③排除其他可导致低丙种球蛋白血症的原因。可能诊断标准:男性或女性患者主要的血清同种型免疫球蛋白(IgM、IgG、IgA)中一种明显降低(至少低于相应年龄均值),并符合以下全部标准:①患者2岁以后发病;②缺乏同族血凝素和(或)对疫苗应答反应差;③排除其他可导致低丙种球蛋白血症的病因。治疗方面除抗感染等对症治疗外,补充免疫球蛋白及骨髓移植是比较有效的手段。
无色杆菌为革兰阴性兼性厌氧杆菌。无色杆菌属下分木糖氧化无色杆菌及无色杆菌Vd群,是一种条件致病菌,在免疫力低下的患者中引起感染,主要导致化脓性脑脊髓膜炎、菌血症、泌尿道感染及伤口感染等。临床标本培养中分离出不发酵的非假单菌,氧化酶阳性,有动力的革兰阴性杆菌是无色杆菌属。该菌对许多广谱抗生素耐药,按常规方法治疗常效果不佳,对木糖氧化无色杆菌引起医院内肺部感染应首选阿米卡星、环丙沙星或头孢哌酮-舒巴坦钠等抗生素治疗,可取得较好疗效。亚胺培南对耐头孢他啶的菌株也有较强的抗菌活性,因此对高度耐药和多重耐药的木糖氧化无色杆菌感染,可考虑用亚胺培南治疗。药敏结果还表明,ICU中各种抗生素的耐药率远高于普通病房,提示临床医师在处理来自不同病区的患者时,应根据不同病区的耐药监测结果和感染特点采取不同的治疗方案。
【专家析评】
本例患者因全身状况差、费用困难难于实现病理学确诊和基因突变检测,临床过程中抗感染与补充免疫球蛋白治疗效果较好,证实普通变异型免疫缺陷病诊断,有条件时还应尽量明确诊断。因患者免疫功能低下,易并发结核感染,心包积液与血ADA比值明显增高,未获得确切病原学证据,试予抗结核治疗两周后停药,无复发症状,提示结核感染证据尚不充分。一项肿瘤标志物升高,但患者无法承受全面肿瘤相关检查。因无条件行干细胞移植及规律应用丙种球蛋白,该患者远期预后不佳。
(环球医学编辑:余霞霞)
来源:《急诊临床病案评析:感染与心血管性疾病》
作者:陈旭岩 王仲
页码:204-209
出版:人民卫生出版社
- 评价此内容
- 我要打分
近期推荐
热门关键词
最新会议
- 2013循证医学和实效研究方法学研讨会
- 欧洲心脏病学会年会
- 世界帕金森病和相关疾病2013年会议
- 英国介入放射学学会2013年第25届年会
- 美国血液学会2013年年会
- 美国癫痫学会2013年第67届年会
- 肥胖学会 2013年年会
- 2013年第9届欧洲抗体会议
- 国际精神病学协会 2013年会议
- 妇科肿瘤2013年第18届大会
- 国际创伤压力研究学会2013年第29届…
- 2013年第4届亚太地区骨质疏松症会议
- 皮肤病协会国际2013年会议
- 世界糖尿病2013年大会
- 2013年国际成瘾性药年会
- 彭晓霞---诊断试验的Meta分析
- 武姗姗---累积Meta分析和TSA分析
- 孙凤---Network Meta分析
- 杨智荣---Cochrane综述实战经验分享
- 杨祖耀---疾病频率资料的Meta分析
合作伙伴
Copyright g-medon.com All Rights Reserved 环球医学资讯 未经授权请勿转载!
网络实名:环球医学:京ICP备08004413号-2
关于我们|
我们的服务|版权及责任声明|联系我们
互联网药品信息服务资格证书(京)-经营性-2017-0027
互联网医疗保健信息服务复核同意书 京卫计网审[2015]第0344号




会员登录

