老爷爷胸痛、喘憋伴顽固性低钠 补盐无效为哪般?
75岁男性,入院前10天无明显诱因于前胸及后背部反复发作疼痛,持续时间10~30分钟,伴恶心,未呕吐。曾到附近医院就诊,心电图检查示陈旧性下壁心肌梗死,Ⅰ、aVL、V3~V6导联ST段压低约0.1mV,给予对症处理,患者日常活动后仍反复发作上述症状,遂来笔者医院就医,急诊以冠心病、不稳定型心绞痛、陈旧性下壁心肌梗死收住急诊内科病房。该患者患有……
【病情介绍】
患者,男性,75岁。因“反复发作性左前胸及后背部疼痛10天”于2011年3月7日收住急诊内科病房。患者入院前10天无明显诱因于前胸及后背部反复发作疼痛,持续时间10~30分钟,伴恶心,未呕吐。曾到附近医院就诊,心电图检查示陈旧性下壁心肌梗死,Ⅰ、aVL、V3~V6导联ST段压低约0.1mV,给予对症处理,患者日常活动后仍反复发作上述症状,遂来笔者医院就医,急诊以冠心病、不稳定型心绞痛、陈旧性下壁心肌梗死收住急诊内科病房。糖尿病病史20余年,平时应用胰岛素控制血糖,现血糖尚平稳。2005年因急性下壁心肌梗死住院行溶栓治疗,出院后间断服用单硝酸异山梨酯、琥珀酸美托洛尔等药物。
体格检查:消瘦,双肺无干湿性啰音,心脏无明显阳性体征,双下肢无水肿。辅助检查:空腹GLU 10.11mmol/L,血常规、血生化及心肌梗死三项均未见明显异常。给予抗栓、扩张冠状动脉、降糖、调脂等处理后,于3月8日行冠状动脉造影术,术中示三支血管病变:RCA近段慢性闭塞病变,LAD及LCX均有严重狭窄病变,结合患者糖尿病病史,建议首选CABG术。
患者于3月9日转入笔者医院心脏外科欲行CABG术,转科后第3天患者出现憋喘症状,听诊肺底湿啰音,考虑合并肺部感染,给予哌拉西林钠-他唑巴坦钠3.375g,静脉滴注,每日2次。3月14日心脏超声示左心室节段性运动不良,LVEF 52%。3月17日患者出现腹胀、恶心、排便困难,给予对症处理后症状无改善。3月18日检查心肌梗死三项:CK-MB 4.0ng/ml,MYO 80.4ng/ml,cTnI 0.19ng/ml;血生化:K+ 4.20mmol/L,Na+ 117mmol/L,Cl− 74mmol/L;3月20日复查CK-MB 14.4ng/ml,MYO 86.4ng/ml,cTnI 2.39ng/ml;血生化:K+ 3.20mmol/L,Na+ 116mmol/L,Cl− 69mmol/L,表明患者存在心肌损伤、心功能不全及电解质紊乱。给予补充电解质、营养心肌、抗感染等对症处理,病情无好转,评估患者无法耐受CABG术,于3月31日再次转入急诊内科病房药物治疗。
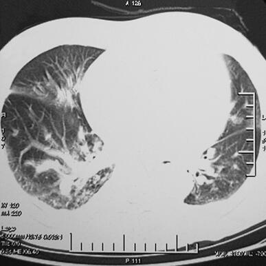
4月2日胸部CT(图1)示双肺见小片状高密度影,以右肺为著,双侧胸腔积液,少量心包积液。痰培养未找到致病菌,4月4日调整抗生素,给予美罗培南1.0g,每12小时1次,静脉滴注抗感染治疗。同时多次查血生化,血Na+均显著降低,多波动于105~115mmol/L,并伴有神志淡漠,予以限水及补钠未见效。为明确顽固性低钠血症的原因,与内分泌科讨论后行血ACTH、皮质醇节律及24小时尿钠定量。结果显示患者血ACTH及血皮质醇均明显低于正常,24小时尿钠在正常范围内,考虑存在腺垂体功能减退症,行垂体MRI及甲状腺功能检查。垂体MRI示空泡蝶鞍,甲状腺功能正常。遂给予氢化可的松100mg静脉滴注,每日2次,4月18日复查血生化K+ 4.53mmol/L,Na+ 130mmol/L,Cl− 98mmol/L,当天停用美罗培南,改为莫西沙星0.4g静脉滴注,每日1次,连续应用3天。4月25日复查胸部CT(图2)示感染征象已控制,准予出院。

图1 2011年4月2日胸部CT

图2 4月25日胸部CT
最终诊断:①冠心病,急性冠状动脉综合征,陈旧性下壁心肌梗死,心功能Ⅲ级(NYHA分级)QCA后;②肺部感染;③腺垂体功能减退症;④电解质紊乱,低钠血症;⑤2型糖尿病。
治疗和转归:患者经抗感染、抗栓、扩张冠状动脉、营养心肌、强心、利尿等综合治疗后症状好转出院,门诊随访中。
重要提示
1.老年男性,既往有糖尿病、陈旧性心肌梗死病史。
2.反复发作性前胸及后背部疼痛,活动后加重。
3.心肌生化标志物有动态变化,出现心肌损伤和心功能不全。
4.发生院内感染,胸部CT见肺部炎症改变,出现常规治疗无效的顽固性低钠血症。
【讨论】
该患者入院时冠心病、不稳定型心绞痛诊断明确,从冠状动脉造影结果看,严重三支冠状动脉血管改变,因合并糖尿病,适宜行CABG术。由于患者冠状动脉病变重,心肌缺血明显,心绞痛症状反复发作,在心外科进行术前准备过程中,出现心力衰竭症状,并发生肺部感染。
心力衰竭是一种以心脏泵血功能下降为特征的临床综合征,为各种心脏病的严重阶段,首先表现为运动耐量下降,随着疾病进展,最后发生体循环及肺循环淤血。一般诱因有感染、严重心律失常、过度体力劳动、过多或过快的输入液体等。该患者3月12日查体有双下肺湿性啰音,而无咳嗽、咳痰、发热等呼吸道症状,且辅助检查血常规正常,首先考虑心力衰竭发作所致,还应想到患者可能同时并发肺部感染。
随着病情的进展,冠状动脉缺血因素不能得到很好的解除,患者心力衰竭症状越来越严重,导致肺淤血,并发肺部感染,该患者4月2日胸部CT检查已存在明显的肺部感染征象。肺部感染又是诱发心力衰竭的重要因素,会加重心力衰竭的进展。心力衰竭是一种进行性病变,一旦开始,即使没有新的心肌损害,仍可通过心肌重构不断发展。冠心病、心肌缺血是导致心力衰竭发生的主要原因,而肺部感染是心力衰竭的重要诱因。
该病例的复杂之处在于患者并发肺部感染的同时出现了严重的顽固性低钠血症,而给予限水及补钠等对症处理,低钠血症仍不能得到纠正。一般情况下,心力衰竭合并低钠血症有以下几种原因:①慢性心力衰竭患者由于其带病生存期较长,又大多为老年人,各脏器功能有不同程度的降低,活动量减少,饮食量下降,本身易存在低钠状态,再加上限制钠盐摄入,很容易出现低钠血症;②慢性心力衰竭,尤其是以右心衰竭为主者,肝和胃肠道淤血,消化能力下降,使钠的摄入及吸收减少;③心力衰竭时,心排血量减少,有效循环血量减少,肾血流量及肾小球滤过率降低,使抗利尿激素(ADH)分泌增加,同时激活肾素-血管紧张素-醛固酮(RAAS)系统,造成钠水潴留,潴水多于潴钠,血管紧张素Ⅱ升高,刺激口渴中枢,摄水增加,最终造成稀释性低钠血症;④肝细胞长期淤血,肝功能有不同程度受损,体内产生过多的抗利尿激素、醛固酮灭活功能减退,加重钠水潴留;⑤心力衰竭患者反复应用利尿剂,加上心力衰竭时儿茶酚胺分泌增加,出汗较多,使钠丢失过多;⑥医源性因素:给患者大量应用利尿剂、单纯输葡萄糖液、嘱患者严格低盐饮食等。该患者存在肺部感染,还应考虑抗利尿激素分泌不当综合征(SIADH)的可能。SIADH指机体内抗利尿激素(ADH)分泌异常增多或其活性作用超常,导致水潴留、尿钠增多及稀释性低钠血症等。SIADH常见的病因包括:①异源ADH分泌,如恶性肿瘤、肺部感染性疾病;②药物或疾病导致ADH释放过多;③其他:如充血性心力衰竭、肾上腺皮质功能减退、肝硬化、腹腔积液等。诊断SIADH需结合原发病、用药史及实验室检查,包括血钠<130mmol/L,血浆渗透压<270mmol/L,尿渗透压>血浆渗透压,尿钠>20mmol/L,血ADH略升高或正常,糖皮质激素、皮质醇和醛固酮在正常水平等。再次转入急诊内科病房补钠无效后考虑过该患者是否为SIADH。但在完善相关检查的过程中,发现患者存在明显的腺垂体功能减退,而且24小时尿钠正常,因此考虑腺垂体功能减退导致的肾上腺皮质功能不全是引起患者低钠血症的原因,加用糖皮质激素(氢化可的松)后,患者血钠很快得到改善,这也反过来印证了诊断,而感染是肾上腺皮质功能失代偿的诱发因素。
该病例的几点启示:
1.严重的心肌缺血应尽快解除,长期严重的心肌缺血会导致心功能的急剧下降。
2.心力衰竭患者容易并发肺部感染,肺部感染会加重心力衰竭的进展,因此,严重心力衰竭患者应预防感染,一旦出现感染征象,应积极强化抗感染治疗,阻止感染的进展。
3.顽固性低钠血症发生原因多,应积极寻找发生因素,综合治疗。
【专家析评】
该患者诊断明确,为冠心病、不稳定型心绞痛、陈旧性下壁心肌梗死,入院次日冠状动脉造影示三支血管病变:RCA近段慢性闭塞病变,LAD及LCX均有严重狭窄,结合糖尿病病史20多年,建议首选CABG术。转到心外科等待CABG过程中发生严重肺部感染,并由此相继出现心力衰竭、电解质紊乱。心力衰竭常见的诱因有感染,特别是肺部感染、急性心肌缺血、心律失常、贫血、甲状腺功能亢进、劳累等,该患者心力衰竭的诱因有两个:肺部感染和持续的心肌缺血损伤。心力衰竭患者常常合并低钠血症,为稀释性因素,通常控制心力衰竭、限制摄入液体、补充高渗盐水可以纠正。该患者出现常规治疗无效的顽固性低钠血症,在积极抗感染后应用糖皮质激素,低钠血症得以纠正,说明其存在肾上腺皮质功能不全。由此病例提示,严重冠心病患者要特别注意预防感染,发生感染后要积极控制,防止引发心力衰竭,顽固性低钠血症要及时查找原因,想到肾上腺皮质功能不全和SIADH等的可能,对因施以相应治疗才能取得满意效果。
参考文献
1.Fonarow GC,Adams KF,Abraham WT,et al. Risk stratification for in-hospital mortality in acutely decompensated heart failure:classification and regression tree analysis. JAMA,2005,293:572-580.
2.Francis GS. Actue heart failure:patient management of a growing epidemic. Am Heart Hosp J,2004,2:10-14.
3.Michael R. Zile,Stacia M. DeSantis,Catalin F. Baicu,et al. Plasma Biomarkers That Reflect Determinants of Matrix Composition Identify the Presence of Left Ventricular Hypertrophy and Diastolic Heart Failure,Circulation,2011,4:246-256.
(环球医学编辑:余霞霞)
来源:《急诊临床病案评析:感染与心血管性疾病》
作者:陈旭岩 王仲
页码:312-316
出版:人民卫生出版社
- 评价此内容
- 我要打分
近期推荐
热门关键词
最新会议
- 2013循证医学和实效研究方法学研讨会
- 欧洲心脏病学会年会
- 世界帕金森病和相关疾病2013年会议
- 英国介入放射学学会2013年第25届年会
- 美国血液学会2013年年会
- 美国癫痫学会2013年第67届年会
- 肥胖学会 2013年年会
- 2013年第9届欧洲抗体会议
- 国际精神病学协会 2013年会议
- 妇科肿瘤2013年第18届大会
- 国际创伤压力研究学会2013年第29届…
- 2013年第4届亚太地区骨质疏松症会议
- 皮肤病协会国际2013年会议
- 世界糖尿病2013年大会
- 2013年国际成瘾性药年会
- 彭晓霞---诊断试验的Meta分析
- 武姗姗---累积Meta分析和TSA分析
- 孙凤---Network Meta分析
- 杨智荣---Cochrane综述实战经验分享
- 杨祖耀---疾病频率资料的Meta分析
合作伙伴
Copyright g-medon.com All Rights Reserved 环球医学资讯 未经授权请勿转载!
网络实名:环球医学:京ICP备08004413号-2
关于我们|
我们的服务|版权及责任声明|联系我们
互联网药品信息服务资格证书(京)-经营性-2017-0027
互联网医疗保健信息服务复核同意书 京卫计网审[2015]第0344号




会员登录

